|
Она хотела бы улучшить свою довольно типичную ситуацию: вес-тибулоположение, ротация латеральных резцов, и при этом ретрузия центральных. Данная патология прикуса довольно часто встречается и лечится ортодонтически. Наша пациентка по причине отсутствия времени, либо по ряду других причин категорически отказалась от брекет-системы. В качестве альтернативного решения в одной из клиник ей предложили депульпировать латеральные резцы. Она же, будучи терапевтом, выразила сомнение в необходимости этой процедуры -здравый смысл и профессиональная подготовка уберегли ее от этого шага. На мастер-классе пациентке был предложен другой вариант - керамические виниры, так как эта технология позволит пойти по пути добавления тканей, при этом инвазия будет минимальной.
Рис. 5-6. Проверка динамической окклюзии с использованием окклюзионного воска (Okklusal Indikator Wachs, SAM, Германия) Чтобы справиться с этой задачей препарирование выполнялось лишь после изготовления wax-up (восковое моделирование) под контролем силиконового ключа. Решение о препарировании ткани зубов всегда основывается на восковом макете, который создается совместными стараниями врача и техника. Только после совместного обсуждения принимается решение о редукции ткани. Без воскового моделирования даже у профессионала высокого уровня всегда есть риск сточить лишнее, кроме того, бывают ситуации, когда целесообразнее добавить, а ни в коем случае не убавить ткань зуба. |
|
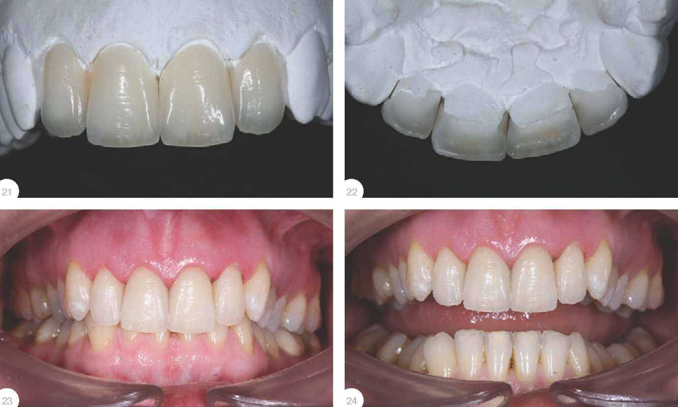
В представленном клиническом случае адекватное лечение позволяет достичь прекрасных функциональных и эстетических результатов - за счет использования виниров в силу их высокой эстетики, отличного краевого прилегания и полируемости - а соответственно и минимальной реакции па-родонта. Пародонт пациентки находился в здоровом состоянии, поэтому процесс эстетической реабилитации был значительно облегчен. Т.к. изменения цвета не планировалось, препарирование проходило на уровне десны. По словам организаторов работа, показанная на мастер-классе, была вполне обычной для «Арт Ораль» - разумеется, с поправкой на определенную нервозность, которая неизбежна при работе под прицелом телекамер и на глазах у зрителей. Планирование Как известно, лучше семь раз отмерить но один раз отрезать. Следуя народной мудрости, время на семинаре было поделено схожим образом, - основное количество времени было отдано именно планированию вмешательства. Из трех дней, в течение которых проходил курс, один был целиком посвящен именно ему. На этап планирования обычно отводится до 90% времени, а оставшуюся часть занимает техническое воплощение работы. Д.М. Никоненко: «Когда есть фундамент, когда план начерчен, работа выполняется легко и быстро, движение происходит по намеченной схеме». Перед тем как бор стоматолога коснется твердых тканей зуба, нужно проделать длинный путь, коим является диагностика, включающая в себя опрос, осмотр, функциональные методы обследования, анализ окклюзии, определение центрального соотношения/ центральной окклюзии, диагностические оттиски, диагностические модели, установку их в артикулятор, анализ моделей в артикуляторе, определение цвета, клиническую фото-документацию (без этого даже наша статья не смогла бы должным образом быть проиллюстрированной). Являясь одним из ключевых способов коммуникации между врачом и техником, клиническая фотография передает не только информацию о цвете, оттенке и структуре зубов, столь важную при создании винира, но и соотношение зубов, десен и губ что важно при планировании будущей улыбки.
Точные диагностические оттиски, модели, отлитые из «правильного» гипса, затем при помощи лицевой дуги установленные в в артикулятор позволяют зубному технику получить функциональные и эстетические ориентиры для создания восковой модели. Именно на этом этапе определяется, что врач и техник могут сделать, а что - нет.
Моделирование показало, что в данном случае можно исправить ситуацию при минимально инва-зивном вмешательстве, чтобы сохранить живые ткани. |
|
Планирование вмешательства проходило при активном участии пациентки. Вообще, мнение пациента играет немаловажную роль, хотя здесь кроется известное противоречие: специалисты ставят функцию на первое место, тогда как для пациента зачастую важнее эстетика, и одна из важнейших задач - устранить это противоречие так, чтобы все участники процесса остались довольны результатом. В результате за первый день, после диагностики, выполнено восковое планирование, на основании которого были изготовлены силиконовые ключи. С их помощью проведено препарирование и изготовлены временные виниры из пластмассы New Outline (AnaxDent, Германия) с которыми пациентка ушла домой. Пациенту необходимо какое-то время побыть со своими новыми зубами, ощутить себя в новом качестве - другими словами, нужно время на адаптацию. Именно на этом этапе мы можем при необходимости внести коррективы и необходимые изменения. У пациентки на это была только одна ночь, однако наутро она уже смогла высказать свои пожелания -вполне понятные и адекватные (видимо, сказался профессиональный опыт). С технической точки зрения проблем также не возникло - без труда выполнена коррекция, поскольку пластмассовые коронки легко позволяют укоротить или нарастить длину зуба, корректировать его форму и т.д.
Рис. 14. Замешивание артикуляционного гипса перед установкой моделей в артикулятор После того, как было получено согласие пациента на работу «в керамике», стало возможным перейти к лабораторному этапу. Лабораторный этап Лабораторному этапу был посвящен весь второй день мастер-класса. Подготовка моделей и дублирование проходило по традиционной схеме. Что касается нанесения керамических масс, то оно было выполнено в соответствии с планом, созданным на этапе диагностики и воскового моделирования. Внимание слушателей неоднократно обращалось на то, что наносится не один цвет массы, а разные оттенки. Цвет изначально закладывается на дентине - при этом лучше пользоваться не одним цветом, а привносить в него различные характеристики, используя несколько оттенков или применяя модификаторы. Поверхностными опаловыми массами также можно варьировать оттенки и влиять на светопроницаемость, добиваясь естественного результата. Цвет всей работы закладывается уже на этом уровне. |
|
Винир, как и любая керамическая реставрация, неодинаков по своей толщине, поэтому имелась необходимость скомпенсировать эту неоднородность, в данном случае при помощи дентина. Сначала реставрация достраивается до определенной формы - после этого уже не надо заботиться, что усадка будет неравномерной. После запекания форма стабилизируется в объеме, и только после этого можно вносить керамические массы, создавать тонкие эффекты, не опасаясь того, что они деформируются, «поплывут». В данном случае первый слой выполняет функцию каркаса (по аналогии с металлокерамикой) и поддерживает все последующие слои. При наличии ядра, как это было бы в случае с прессованием, облицовочная керамика создавала бы компрессионные напряжения, поскольку это два разных материала. В данной ситуации этого не произойдет, поскольку используется однородный материал. Из-за того, что нет ядра, не возникает внутренних напряжений. При температуре, при которой происходит стеклование керамики (порядка 500°С) и замедленном охлаждении снимаются все стрессовые напряжения.
Изготовление виниров требует 3-4 обжигов. Первый - это обжиг очень тонкого слоя, кондиционирующий, «моющий». Затем идет создание базовой формы. Следующий обжиг - наполняющий, он нужен в случае, если наполнение керамикой происходит неравномерно, если необходимо немного развернуть зуб, либо имеются скол или необходимость достроить фрагмент зуба. Затем следует дентино-эмалевый обжиг - основной, где закладываются все эффекты. В основном на этом этапе используются флуоресцирующие массы, которые имитируют мамелон зуба. С их помощью - в чистом виде или смешивая - получают мамелоно-вые «пальчики». В дентинное ядро можно внедрить цветовые модификаторы, воссоздавая природные особенности зуба. Далее приходит очередь транспарентных масс и эмалей. При этом не следует увлекаться транспарентными массами, их нанесение должно быть строго дозированным и целенаправленным: необходимо знать, куда и сколько их положить. Эффект будет хорошо смотреться только тогда, когда он очень аккуратно выполнен и находится на своем месте. Излишек прозрачной массы может спровоцировать появление серого оттенка. Также важно не перемешивать слои между собой, очень эффектно смотрится чередование разных по степени прозрачности слоев. С.О. Чикунов «На мастер-классе мы провели время весело и с пользой - пообщались с интересными людьми, профессионалами (аудитория была достаточно подготовленной), показали, что мы умеем делать, как у нас это получается, чему-то научились сами. Мы очень рады, если нам удалось передать зрителям свою энергию, свой оптимизм, и если хоть кто-то задумается о том, как можно улучшить свое профессиональное мастерство, значит, мероприятие проводилось не зря». |
|
У естественного зуба есть различные зоны прозрачности и светлоты: дистальный скат менее прозрачен, чем медиальный; наиболее светлая область - область экватора, серединная часть, более темная - резцовая треть. Зная это, можно в точности копировать природный зуб. После трех обжигов начинается работа с формой зуба в целом и микрорельефом в частности. Если на этом этапе возникет потребность в коррекции формы, то она выполняется более низкоплавкими керамическими массами, при этом глянцевый обжиг совмещается с коррекцией - чтобы не испортить уже созданную форму (если требуется значительная коррекция, лучше использовать обычные массы). После того как форма создана, необходимо дополнительно инди-
|
|
На мастер-классе был проведен небольшой эксперимент по оценке расширения гипса, замешанного различными способами. Опытный зубной техник один раз замешал гипс вручную, «на глаз», а второй раз - в вакууме, машинным образом, отмерив нужное количество порошка и жидкости. Разница составила 4% - достаточно большой процент для такой тонкой работы. Казалось бы, техник может сэкономить - как на качественном материале, так и на потраченном времени, но на самом деле он это время потеряет (а это, согласитесь, самое ценное, что есть у специалиста) на доработке некачественно выполненной работы. видуализировать реставрацию за счет создания текстуры поверхности. Она выполняется «псевдохаотичными» движениями - наносится сетка, которая состоит из вертикальных и горизонтальных борозд. Изначально наносится вертикальный рельеф, затем горизонтальный. Он соответствует перикиматиям - линиям роста зубов, и располагается не строго горизонтально, а несколько изгибаясь кверху - чем ближе к режущему краю, тем больше этот изгиб. Эти линии должны циркуляр-но охватывать всю коронку зуба, а не только со стороны лабильной пластины - за этим следует строго следить. Несколько слов о сколах. Несмотря на то, что изготавливаемая конструкция достаточно тонкая, О командной работе Главный успех работы - в командном подходе. Как складывается команда? Прежде всего, это должны быть единомышленники, люди, которые хотят чего-то достичь. Мы знаем много примеров знаменитых и успешных пар «врач-техник», которые стали таковыми за счет преимуществ работы в команде. Что необходимо для такой работы? В первую очередь, надо относиться очень критично к себе самому, не допускать ошибок, стараться выполнить работу максимально качественно, ведь каждая работа - это автопортрет ее создателя. Все клинические случаи требуют фотографировния и последующего анализа. Тогда придет понимание и появится возможность профессионального роста - через общение и взаимообогащение идеями и знаниями. сколы могут возникнуть лишь в том случае, если неправильно произведено пришлифовывание. Если не соблюдены нормы клыкового и резцового ведения или существует точка преждевременного контакта - тогда возможны сколы. Но этот вопрос должен решаться раньше - на стадии диагностики и планирования. Что касается самого фарфора, то за него можно быть спокойным. После того, как все этапы выполнены, начинается посадка конструкции на модель. Следует сразу сказать, что несмотря на все предпринятые меры, соблюдение технологии и следование плану, небольшие коррекции возможны. Эта часть работы не столько сложна, сколько требует особой терпеливости. Даже при правильном выполнении всех этапов и использовании материалов с контролируемыми физическими показателями существует риск появления поднутрений, что может послужить препятствием для идеальной посадки. После того как все коррективы были внесены, второй день семинара был закончен. Фиксация Третий день мастер-класса был посвящен фиксации в полости рта конструкций, изготовленных накануне. Поскольку все нюансы реставраций были учтены на предыдущих этапах, работа была сугубо технической, однако требовавшей не менее тщательного соблюдения технологии. Разумеется, обязательным элементом является изоляция рабочего поля с помощью коффердама - об этом говорится много, но все равно в процессе трансляции из стоматологического кабинета в зал, где находились участники семинара, неоднократно звучали вопросы о том, насколько этот этап обязателен. И это еще одно косвенное свидетельство того, что между знанием и практическим его применением, к сожалению, существует большая дистанция, которую многим специалистам еще предстоит пройти. Результат По окончании всех процедур пациентка не скрывала удовлетворения результатом. По ее словам, возможность получить адекватный ожиданиям результат за короткий срок и с минимальным препарированием живых зубов -это то, что позволило ей «пережить эти три дня», поскольку, безусловно, служить живой моделью для 30 участников мастер-класса, психологически довольно сложно. В процессе общего обсуждения, в котором приняли участие и авторы курса, и слушатели семинара, и пациентка, был сделан вывод об оправданности применения в данном случае технологии керамических адгезивных реставраций. Но, пожалуй, не менее важным результатом стало то, что помимо новых технических моментов участники мастер-класса смогли понять, насколько важно тесное взаимодействие доктора и техника - ведь именно в этом залог выполнения по настоящему успешных работ. Что ж, будем надеяться, что в российской ортопедии и зуботех-нике вскоре появятся новые именитые пары «ортопед-техник»... По признанию многих специалистов (порой с приличным стажем работы), принявших участие в мастер-классе, только сейчас они смогли осознать, что командный подход - это не просто красивые слова, а необходимость - ничуть не менее важная, чем точное следование технологии и применение адекватных методик. Врачебная часть работы: к.м.н., врач-стоматолог С.О. Чикунов клиника "Арт Ораль". Тел.: (495) 624-66-29 Лабораторная часть работы: зубной техник Д.М. Никоненко «Дентальные мастерские «Феникс». Тел.: (495) 616-39-93 |






