Далее снимают двухслойный или однослойный (монофазный) оттиск силиконовым оттискным материалом, препарированные зубы покрывают временными коронками (рис. 105). Определяют центральную окклюзию с формированием протетической плоскости. Этап 3. В лаборатории зубной техник изготавливает разборную модель из супергипса, гипсует модели в артикулятор и моделирует каркас коронок опорных зубов с патрицей или матрицей аттачмена, установленной в параллелометре (рис. 106). Обязательным условием при использовании жесткого замкового крепления является фрезерование опорных коронок (рис. 107).
Этап 5. После нанесения зубным техником керамической облицовки в клинике проводят припасовку металлокерамических коронок опорных зубов (рис. 109). Выверяют окклюзионные контакты, цвет. Этап 6. После глазуровочного обжига коронки фиксируют в полости рта на корригирующий оттискной материал для избежания смещения (рис. 110) и снимают оттиск для изготовления съемной части комбинированного протеза. Возможно применение индивидуальной ложки, изготовленной по предварительному альгинатному оттиску. Опорные коронки с замковыми креплениями переходят в оттиск (рис. 111). Этап 7. В лаборатории опорные коронки заливают воском и по полученному оттиску изготавливают рабочую модель (рис. 112). К замковому креплению, установленному на опорных коронках, присоединяют комплементарную часть (рис.113) или ее аналог. В зависимости от типа замкового крепления и конструкции съемной части протеза модель дублируют или проводят моделировку каркаса на рабочей модели, используя беззольную пластмассу (рис. 114).
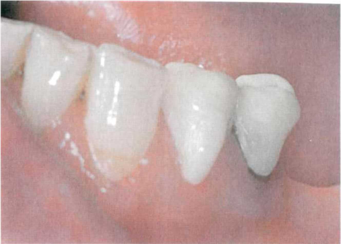
После литья изготовленный каркас припасовывают на модели (рис. 115). Затем проводят окончательную отделку каркаса, постановку зубов на воске, замену воска на пластмассу, окончательную отделку протеза. Для многих конструкций замковых креплений именно на этом этапе фиксируют вторую часть аттачмена в каркасе съемной части протеза.
Этап 8. На заключительном этапе проводится проверка готового протеза в полости рта (рис. 116). Оценивают точность посадки аттачмена, проводят коррекцию окклюзионных контактов. Проверяют функции аттачмена (изначально он не должен быть активирован). Цементирование несъемной конструкции осуществляют под контролем надетой съемной части. Между патрицей и матрицей должен быть помещен вазелин для предотвращения попадания цемента.
Необходимо дать пациенту рекомендации о правилах пользования и ухода за протезом, сроках контрольных осмотров, обучить правилам снятия и наложения протеза, назначить для осмотра на следующий день. |
КЛИНИКО-ЛАБОРАТОРНЫЕ ЭТАПЫ ИЗГОТОВЛЕНИЯ КОМБИНИРОВАННОГО ПРОТЕЗА С ЖЕСТКИМ ЗАМКОВЫМ КРЕПЛЕНИЕМ
| КЛИНИКО-ЛАБОРАТОРНЫЕ ЭТАПЫ ИЗГОТОВЛЕНИЯ КОМБИНИРОВАННОГО ПРОТЕЗА С ЖЕСТКИМ ЗАМКОВЫМ КРЕПЛЕНИЕМ Этап 1. Протезирование комбинированными протезами начинается с обследования, постановки диагноза, составления плана лечения. Для составления плана лечения изготавливают диагностические модели для оценки вертикального расстояния между зубными рядами, длины опорных зубов, плоскости окклюзии, топографии дефекта. Далее определяют центральную или привычную окклюзию, фиксируют модели в артикулятор для изучения пространства и места для расположения аттачмена между зубами-антагонистами (в случае использования экстракоронарного аттачмена). После выбора подходящего аттачмена проектируют конструкцию протеза на диагностических моделях. Для клинической ситуации, представленной на рисунке 103, было выбрано замковое крепление МК— 1. Предостережение. Последовательность клинико-лабораторных этапов приводится на примере замкового крепления МК—1. Для определения лабораторных этапов работы с другими замковыми креплениями используйте рекомендации фирмы-производителя.
|














