|
Глубина препарирования должна составлять около 0,3 мм. Край препарирования размещают над десной. Преимуществом таких реставраций является естественный цветовой фон, создаваемый опорным зубом, благодаря которому реставрация будет выглядеть естественной. Второй тип препарирования Цвет зуба/зубов, подлежащих реставрации, отличается от цвета предполагаемого протеза. В таких случаях для воспроизведения необходимого цвета в протезе цветовой фон, создаваемый естественным зубом, должен быть изменен. Сошлифовывание твердых тканей зуба должно составлять около 0,6 мм. Край препарирования размещают на уровне десневой борозды. Конечный цвет протеза является сочетанием цветового фона, создаваемого естественным зубом, и керамикой выбранного цвета. Например, если необходимо воспроизвести цвет А2, а цвет естественного зуба оценен образцом A3.5, то для достижения желаемого результата зубной техник должен воспользоваться керамикой цвета А1. Третий тип препарирования Цвет зуба/зубов, подлежащих реставрации, отличается от цвета предполагаемого протеза на три или большее число расцветок. В таких случаях для обеспечения необходимого цвета протеза цвет опорного зуба должен быть |
![]() |
| Рис. 1. Схема трех типов препарирования, основанных на определении цвета реставрируемого зуба. Тип I —сошлифование твердых тканей зуба на глубину 0,3 мм, тип II — на 0,6 мм, тип III — на 0,9 мм.. |
|
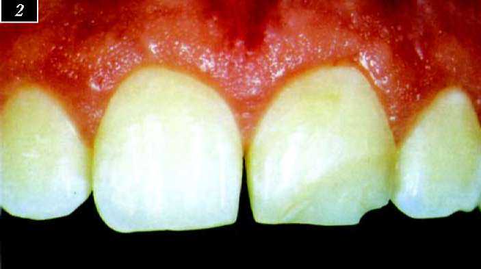
замаскирован. Керамические виниры позволяют закрыть нежелательные изменения цвета зубов и получить нужный цвет. Твердые ткани зуба подлежат сошлифовыванию на глубину около 0,9 мм. Край препарирования чаще всего размещают под десной. Определение цвета зубов пациента При определении цвета зубов пациента следует учитывать несколько моментов. Первый и наиболее существенный, это контроль за качеством освещения рабочего помещения. Цвет зубов определяется при дневном освещении. Иногда для обеспечения необходимого освещения используют лампы накаливания с разными температурами свечения. Если определение цвета зубов производят в помещении с окнами, то могут иметь место отрицательные влияния дневных колебаний освещения, зависящих от погодных условий, поэтому рекомендуется определять цвет при задернутых шторах и/или опущенных жалюзи. Желательно, чтобы потолок, стены и мебель были окрашены в нейтральный серый цвет. Следует избегать применения ярких цветов для оформления рабочего кабинета или зуботехнической лаборатории. Так как во время продолжительного осмотра зубы пациента утрачивают влагу, подбор цвета керамики следует осуществлять на первом этапе осмотра. Если из-за обезвоживания на зубах появляются белые пятна, то потребуется не менее 2 часов, чтобы цвет зубов вернулся к норме. Если перед фотографированием зубов щечным ретрактором пользовались дольше одной минуты, зубы следует увлажнить искусственным путем. При определении цвета естественных зубов пациента необходимо разработать стратегию точного подбора соответствующего цвета керамики с учетом оптических свойств каждого ее слоя. Цветовой тон и плотность (насыщенность) цвета готового протеза определяются оптическими характеристиками дентиновой керамики. Нанесение эмалевой и прозрачной масс поверх дентина влияет, в первую очередь, на яркость цвета протеза, а воспроизведение индивидуальных особенностей зубов пациента влияет не только на яркость цвета, но и на основной цветовой тон, на насыщенность цвета. Определение цвета в данном исследовании проводили в несколько этапов: (1) определяли основной (доминирующий) цветовой тон; (2) подбирали необходимую насыщенность цвета; (3) оценивали прозрачность (при определении цвета этот этап часто пропускают). Однако при изготовлении зубного протеза основное внимание необходимо уделять именно прозрачности. Так как общие методические рекомендации по оценке прозрачности еще не выработаны, прозрачность зубов сравнивают с прозрачностью разных образцов шкалы расцветок, а затем делают соответствующие пометки. Оценку прозрачности дентиновой и эмалевой масс проводят отдельно. В некоторых случаях только одна из этих упомянутых масс отличается прозрачностью от образца шкалы расцветок (либо дентиновая, либо эмалевая), но иногда отличия имеют обе массы. Одна из них может иметь большую прозрачность, чем у образца шкалы расцветок, а другая — меньшую. Если от расцветки отличается только эмалевая масса, прозрачность наружного слоя керамики можно отрегулировать путем смешивания эмалевой с прозрачной массой. Если от расцветки отличается дентиновая масса, можно подкорректировать ее прозрачность. Если позволяет место, возможно дальнейшее регулирование прозрачности масс путем изменения толщины слоев дентиновой или эмалевой массы, или нанесения прозрачной массы на их поверхность. Этот метод позволяет технику-керамисту более точно передавать цвет естественных зубов пациента. Выбранный образец шкалы расцветок должен быть запечатлен на общей фотографии. Абсолютный цвет этого образца на слайде будет зависеть от камеры, качества пленки, системы применяемой вспышки. Однако, если включить в общую фотографию изображение образца шкалы расцветок, разница между цветом зубов из образца и цветом естественных зубов пациента станет заметной. Эту разницу в дальнейшем можно будет использовать для коррекции цвета. Шкалу расцветок размещают рядом с зубами и в одной плоскости с ними. Если расцветку разместить выше вестибулярной поверхности препарированного или соседнего зуба, то она не будет находиться с ними в одной плоскости и поэтому будет выглядеть более светлой. В сомнительных случаях лучше сфотографировать не один, а не менее двух образцов шкалы расцветок. Кроме того, убедитесь в том, что маркировка образца шкалы расцветок будет видна на фотографии отчетливо. Если при фотографировании мамелонов камеру располагать перпендикулярно к вестибулярной поверхности зуба, отражение света от зубов будет слишком интенсивным. Следовательно, камеру нужно держать высоко, располагая ее с 30° наклоном книзу. Для оптимальной передачи прозрачности режущего края следует сделать несколько фотоснимков, на которых зубы пациента будут изображены в сомкнутом и разомкнутом положениях. Фотосъемка под углом в 30° позволит оценить толщину эмали и запечатлеть все трещинки на ее поверхности. Для фотографирования зубов на слайды следует использовать пленки для профессиональных фотосъемок. После определения цвета зубов эти пленки должны быть проявлены по возможности в самые короткие сроки. Перед изготовлением винира можно сделать набросок расположения слоев наносимой керамической массы. При необходимости можно заранее смешать порошки, выбранные для моделирования. Следует четко отмеривать и записывать взятые для смешивания количества порошков керамической массы, так как эти данные могут потребоваться для воспроизведения результатов или для передачи третьему лицу информации о том, как воспроизвести подобный индивидуальный цвет зуба. В клинической практике часто после многих лет пользования многоединичным протезом требуется переделка одной из его единиц. Если после примерки готового протеза появится необходимость коррекции его цвета, прежние записи о технике моделирования и выбранном соотношении смешиваемых масс существенно облегчат этот процесс. Контуры протеза Контуры будущего протеза можно оценить на компьютере или на обычной восковой модели. Как правило, в протезах воспроизводят профили наклона и анатомическую форму естественных зубов пациента. Однако в некоторых случаях для обеспечения высокого эстетического эффекта можно выделить индивидуальные особенности строения зуба, например, нарушения медиально-дистального или щечно-язычного положения зуба в зубном ряду. Длина зуба определяется его функцией и эстетикой. Длину зуба редко изменяют, исходя только из соображений эстетики. На этапе планирования контуров будущего протеза оценивают пропорции каждого зуба, а затем в комплексе — форму, функцию зубного ряда и его соотношение с губами пациента. Затем предполагаемые контуры уточняют при изготовлении временных протезов. Препарирование зубов С эволюцией развития стоматологических материалов принципы препарирования зубов претерпели существенные изменения. Методические рекомендации по препарированию зубов под протезы с частичной облицовкой из керамики определяются: 1) сошлифовыванием пораженных тканей; 2) качеством и количеством сохранившихся твердых тканей зуба; 3) обеспечением достаточного места под реставрацию требуемой формы, способной обеспечить оптимальные функциональные качества. Вид препарирования зуба зависит не только от трех вышеупомянутых факторов, но и от предполагаемой анатомической формы готовой реставрации. Препарирование должно быть щадящим с сохранением эмали в тех участках, где это возможно. Для изготовления керамических виниров, обладающих максимальной прочностью, следует учитывать геометрические принципы препарирования зуба под керамику. Для контроля адекватности препарирования зуба используют силиконовый «ключ», по которому изготавливают диагностическую восковую модель, помещаемую в полость рта пациента. Хотя глубина препарирования, требуемая для создания опорного ложа винира, должна находиться в пределах от 0,3 до 0,9 мм, это не означает, что зуб надо сошлифовывать именно на эту глубину. Зубы следует препарировать так, чтобы максимально сохранить эмаль. На количество снимаемой эмали может влиять положение зуба в зубном ряду. Например, если один из зубов смещен в язычную сторону по отношению к другим зубам зубного ряда, аномальное положение этого зуба может быть исправлено путем уменьшения сошлифовывания твердых тканей или полного отказа от его препарирования. Результаты современных исследований показывают, что сошлифовывание твердых тканей зуба по его режущему краю должно составлять 1,5 — 2 мм. После препарирования зуба получают окончательный оттиск и, руководствуясь ранее созданной диагностической восковой моделью, изготавливают временную реставрацию, по которой можно оценить эстетические, фонетические и функциональные качества будущего протеза. Проанализировав всю имеющуюся информацию, приступают к изготовлению постоянных реставраций. Клинические наблюдения Первый тип препарирования: наложение одиночного винира Верхний левый центральный резец подлежит реставрации керамическим виниром (рис. 2). Следует точно воспроизвести цвет, анатомическую форму и рельеф поверхности естественных зубов пациента. Очевидно, что имитация белых пятен в области средней трети коронки зуба станет определяющим фактором в формировании эстетических качеств винира. Так как цвет зуба не изменен, выбран первый тип препарирования (рис. 3 — 5). Основной цветовой тон зуба находится в оранжевой области шкалы расцветок Вита Люмин; он соответствует цвету группы А. Глубина цвета (плотность цветового тона) соответствует цвету А1, однако естественные зубы пациента имеют более тусклый цвет, т.е. являются менее яркими по сравнению с А1. Прозрачность правого центрального резца на 25% меньше прозрачности образца А1 (рис. 6). Для воспроизведения этого зуба была использована техника послойного нанесения керамической массы (расположение слоев представлено на рис. 7). Оранжевый дентин-модификатор был смешан с обычной дентиновой массой для перемещения основного цветового тона в оранжевую область. Если бы модификатор был добавлен в достаточном количестве для воспроизведения желаемого оранжевого цветового тона, то полученный в результате цвет был бы более густым (насыщенным), чем А1, даже при использовании более светлой керамической массы В1. Нами была выбрана дентиновая масса ВО из набора «Новые цвета Норитаке» (Darby Dental, Westbury, New-York, США) (рис. 8). Кроме того, для снижения прозрачности дентиновую массу смешали с некоторым количеством опакового дентина. Конечный результат определяется соотношением порошков при замешивании, что считается определяющим при восстановлении только одного зуба (рис. 9—11). |
![]() |
| Рис. 2. До лечения. Пациент обратился по поводу эстетической реставрации верхнего левого центрального резца, имеющего скол композитного винира. |
![]() |
| Рис. 3 и 4. Рабочая модель для достижения оптимальных результатов зубы препарировали по типу I. |
![]() |
| Рис. 5. Поперечный срез силиконового шаблона, помещенного на рабочую модель, для изготовления диагностической восковой модели. Видны, контуры препарированного зуба и место под моделирование воском.. |
Повышение яркости (светлости) цвета реставрации после первого моделирования и обжига керамической массы является очень сложной процедурой. На практике яркость легче понизить. Следовательно, мы должны выбрать более светлую эмалевую массу цвета А1. После первого моделирования и обжига яркость цвета реставрации можно легко уменьшить с помощью красителей из набора «Внутренние живые краски Норитаке». Отправленные в лабораторию слайды были тщательно изучены для последующего точного воспроизведения мамелонов, белых пятен кальцификации, тона и интенсивности цвета зубов, а также для имитации индивидуальных особенностей зубов пациента (рис. 12 — 15). Важным условием успешной передачи цвета является контроль прозрачности керамического винира в пришеечной области. Обычно для коррекции цвета в пришеечной области в керамическую массу добавляют оранжевый и розовый модификаторы, а для усиления прозрачности дентиновую массу смешивают с прозрачной массой. Соотношения при смешивании определяют индивидуально. Здесь требуется большое внимание, особенно когда пришеечный край винира планируется расположить над десной. Должно быть зарегистрировано точное количество (определенное с помощью мерной емкости) каждой массы, взятой для смешивания. При изготовлении керамических виниров очень важен контроль за наличием должного пространства для будущей реставрации. Для измерения толщины керамики на огнеупорном штампике мы предлагаем следующий метод. Перед последней дегазацией огнеупорного штампика на его вестибулярную поверхность специальным огнеупорным карандашом наносят 4 ориентировочных точки. На язычной стороне напротив этих ориентировочных точек отмечают 4 идентификационные пункты небольшого размера (рис. 16 и 17). Затем производят измерение толщины штампика между каждой парой ориентировочных/идентификационных отметок до и после нанесения керамики. Измеренную толщину регистрируют в плане лечения (рис. 18). Отметки карандаша визуально определяются даже после обжига керамической массы. При препарировании зубов по третьему типу с использованием маскирующих керамических масс, карандашные отметки не видны, и контроль толщины виниров можно осуществлять по идентификационным отметкам (рис. 19). Используя этот метод, можно контролировать толщину винира до его очистки от огнеупор- |
![]() |
| Рис. 6. Оценка цвета зубов пациента путем сравнения с образцами шкалы, расцветок А1 и В1. |
![]() |
| Рис. 7. Схема моделирования. Обратите особое внимание на составленную смесь дентиновой и пришеечной прозрачных масс. |
![]() |
| Рис. 8. Набор фарфоровой массы дополнительных расцветок «Новые цвета Норитаке». |
![]() |
| Рис. 9. Формирование мамелонов на этапе нанесения дентиновой и эмалевой керамических масс. |
![]() |
|
Рис. 10. Перед проведением первого обжига на режущий край винира наносят прозрачную керамическую массу. Рис. 11. Режущий край слегка сдвигают в язычную стороу для компенсации усадки при обжиге, приводящей к перемещению края в губном, направлении, что характерно для виниров, изготовленных на огнеупорых моделях. |
| Рис. 12. После первого обжига поверхность керамики шлифуют с целью обеспечения более гладкой и однородной поверхности перед нанеением внутренних красителей. |
![]() |
![]() |
| Рис. 13. Набор красителей Норитаке «Внутренние живые краски», предназначенный для внутреннего раскрашивания винира. |
| Рис. 14. После нанесения внутренних красителей. Рис. 15. Внутрененние красители после обжига. |
![]() |
![]() |
|
Рис. 17. Каждой ориентировочной отметке соответствует расположенная напротив нее индетификационная отметка на язычной поверхности. Этот метод позволяет, гарантировать сохранение толщины, винира после шлифования и полирования. Рис. 18. Перед началом моделирования измеряют толщину огнеупорного штампика между ориентировочной и индетификационной точками. Метод обеспечивает сохранение толщины каждого керамического слоя после шлифования и полирования винира. |
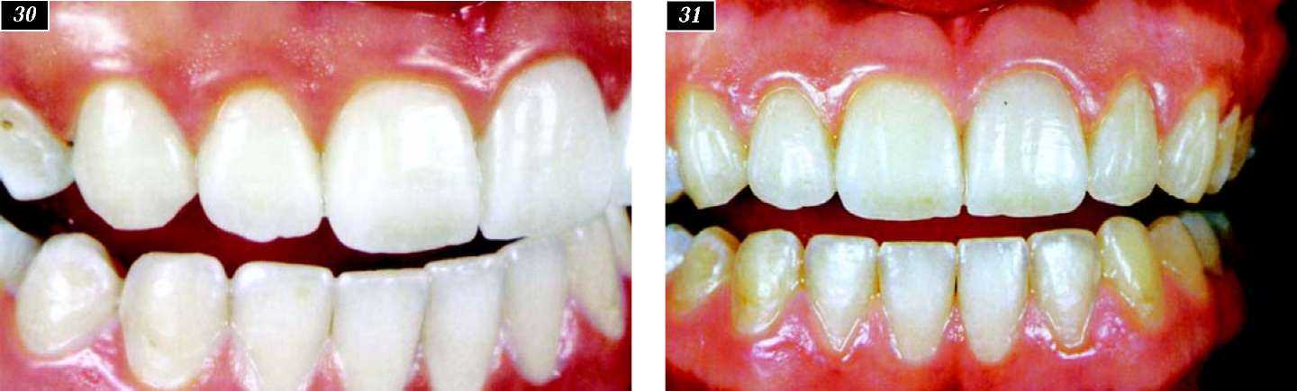
ного материала штампика. Контроль толщины винира позволяет правильно оценить цвет, основной цветовой тон, насыщенность цвета, его яркость и прозрачность реставрации. Температура глазурования керамики не должна влиять на поверхностный рельеф винира. Высокие эстетические результаты могут быть получены только при точной передаче рельефа поверхности естественных зубов пациента с помощью боров, шлифовальных дисков, полировочных материалов на этапе механического полирования винира (рис. 20 — 23). Второй тип препарирования: комбинация виниров с цельнокерамической коронкой Пациент направлен на ортопедическое лечение с восстановлением шести зубов верхней челюсти от правого клыка до левого клыка: левого центрального резца — полной жакетной коронкой, а остальные пять зубов — многослойными винирами (рис. 24). Так как восстановлению подлежат шесть передних зубов, есть определенная свобода в выборе их цвета и анатомической формы. Пациентка, молодая женщина, пожелала, чтобы восстановленные зубы гармонично сочетались в полости рта с остальными зубами. Мы постарались выполнить ее просьбу. В данном случае мы имеем дело с реставрациями двух разных типов, поэтому могут появиться проблемы с подбором цвета, так как для изготовления коронок и виниров используются разные материалы. Для восстановления левого центрального резца следует выбрать фарфоровую жакетную коронку, а не металлокерамику или один из альтернативных цельнокерамических материалов. Так как жакетная коронка будет изготовлена из того же материала, что и виниры (фарфор Норитаке), все единицы реставрации можно изготавливать одновременно. Фарфор ЕХ-3 Норитаке отличается повышенной прочностью на изгиб (111 Мпа), соответствующей прочности керамики Optec (Jeneric Pentron, Wallingford, Коннектикут, США), специально разработанной для изготовления цельнокерамических коронок (117 Мпа). С появлением высокопрочных адгезивных полимерных цементов для фиксации жакетных коронок реставрации приобрели еще большую прочность. В нашем случае коррекция цвета керамики не потребовалась (рис. 25). Зубы были препарированы по второму типу с глубиной сошлифовывания твердых тканей в 0,6 мм для обеспечения возможности коррекции заглушенности и совпадения прозрачности виниров и жакетной коронки (рис. 26 — 28). Для моделирования зубов от правого бокового резца до левого была выбрана дентиновая керамическая масса цвета А1, для клыков — цвета А2. Так как приоритетом моделирования было создание реставраций, неотличимых от собственных зубов пациентки, решающим фактором их успешного изготовления было воспроизведение индивидуальных особенностей в области режущего края и имитация поверхностного рельефа естественных зубов (рис. 29). При одновременной реставрации шести передних зубов особое внимание должно быть обращено на разную степень препарирования дентина у центральных и боковых резцов, а также у клыков. В дальнейшем это позволит воспроизвести переходы яркости и насыщенности цвета, наблюдаемые у естественных зубных рядов. Наибольшее срезание дентина проводится на боковых резцах, несколько меньшее — на центральных. Минимально дентин снимают на клыках. Существуют значительные различия между мамелонами центральных и боковых резцов. У клыков мамелоны отсутствуют (рис.30). Поверхности всех зубов покрывают люстровой керамикой Норитаке, отличающейся флюоресцентными и опалесцентными свойствами, характерными для естественных зубов, поэтому зубные протезы гармонично вписываются в естественный зубной ряд (рис. 31— 34). Третий тип препарирования: реставрация зубов четырьмя винирами Нарушены эстетические качества фронтальных зубов верхней челюсти. Имеет место перелом обоих центральных резцов в результате автоаварии. Один резец имел горизонтальный перелом коронки, другой — сложный искривленный перелом. Проведено эндодонтическое лечение левого центрального резца. После лечения |
![]() |
| Рис. 21. Прозрачность винира хорошо видна при смачивании его повнрхности жидкостью для разведения красителей и размещении на кончике пальца. |
![]() |
| Рис. 22 и 23. Виниры зацементированы на опорных зубах пациента. По просьбе пациента диастема была сохранена. |
![]() |
|
Рис. 24. Вид зубов до лечения. Скол коронковой части зуба по режущему краю в результате автомобильной аварии. Пациентка пожелала улучшить функцию и эстетические качества зубов верхнего ряда. Рис. 25. Определение цвета зубов пациентки. Выбран цвет А1. |
![]() ![]() |
| Рис. 26 и 27. Рабочая модель. Зубы препарировали по второму типу из-за наличия интерпроксимального кариеса. |
|
| Рис. 28. Поперечный срез силиконового шаблона, помещенного на рабочую модель, для изготовления диагностической восковой модели; видны, контуры препарированного зуба и место для моделирования воском. |
![]() |
|
Рис. 30. Обратите внимание на разное строение мамелонов у центральных и боковых резцов и на отсутствие мамелонов у клыков. Рис. 31 и 32. Законченное лечение. на верхней левый центральный резец поставлена форфоровая жакетная коронка. |
![]() |
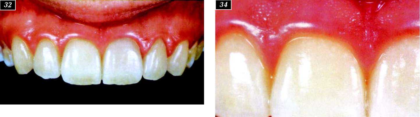
| Рис. 34. Реакция тканей пародонта и нетравмирующий переход керамики в область десны. |
![]() | Рис. 33. Люстровый фарфор Норитаке. Эффект опалесценции в отраженном свете. |
![]() |
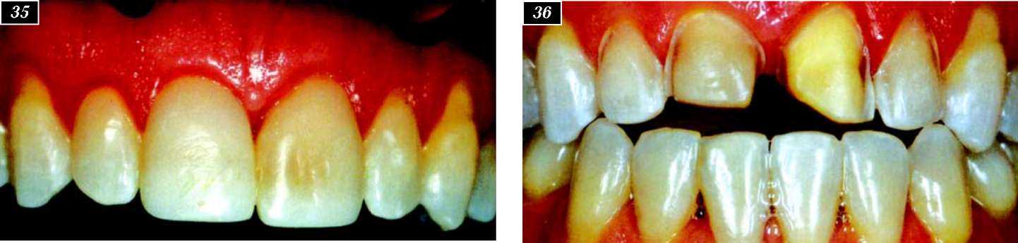
| Рис. 35. Вид зубов до лечения (препарирование по Рис. 36. Зубы были отбелены. Цвет центральных третьему типу). Превышение анатомического контура резцов существенно изменился по сравнению естественного зуба привело к развитию гингивита с цветом соседних зубов. и рецессии десны. |
![]() |
| Рис. 37. Рабочая модель. |
![]() |
|
Рис. 38. Поперечный срез силиконового шаблона для изготовления диагностической восковой модели, помещенного на рабочую модель: виды, контуры препарированного зуба и место для моделирования воском.. При препарировании зуба по третьему типу сошлифовываниетвердых тканей зуба с вестибулярной поверхности составляет, приблизительно 0,9 мм. Объем препарирования режущего края определяется объемом сохранившейся структуры зуба под композитным виниром. |
![]() ![]() |
| Рис. 39. Рис. 40. Частицы обычного (слева) и люстрирового Схема моделирования керамического покрытия. (справа) фарфоров. Фотография снята на растровом электронном, микроскопе под увеличением. 5000х. |
![]() |
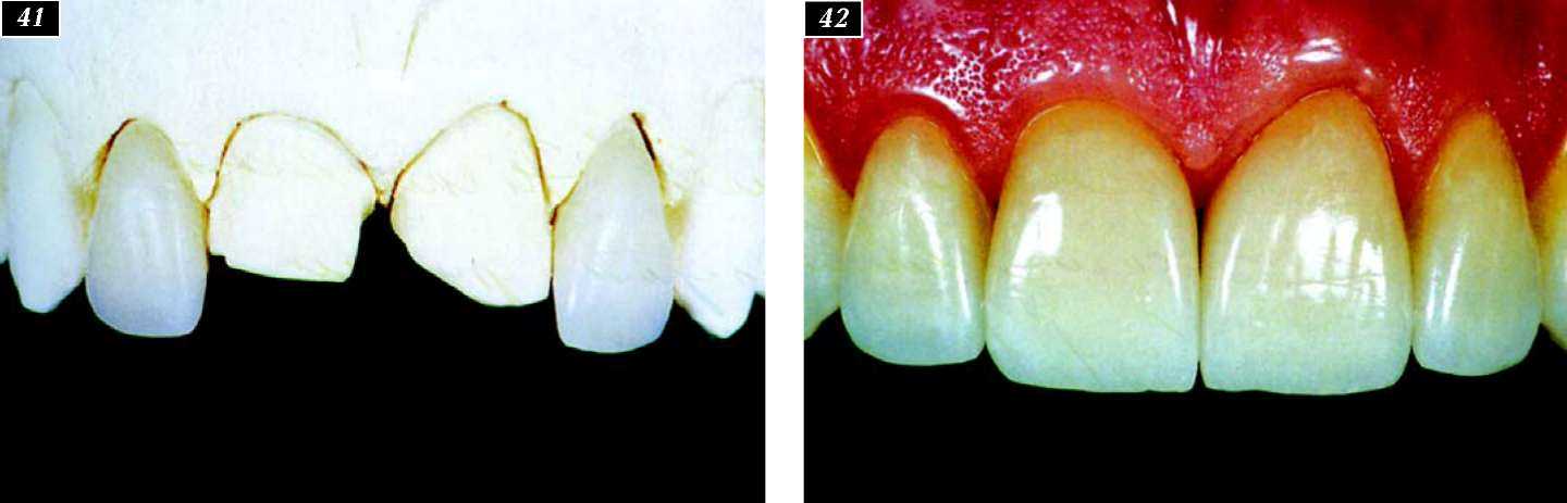
|
Рис. 41. Виниры на два боковых резца помещены на рабочую модель с целью демонстрации коротких центральных резцов перед началом, лечения. Рис. 42. Виниры, поставленные на цемент. Обратите внимание на эффект блокирования керамическим, виниром насыщенного цвета препарированных опорных зубов. |
![]() |
|
Рис. 43. Готовая реставрация. Вид сбоку справа. Обратите внимание на одинаковую прозрачность и глубину цвета у центрального и бокового резцов. Маскирующий фарфор использовался только на центральных резцах. Рис. 44. Готовая реставрация. Вид сбоку слева. Восстановлены правильные анатомические контуры центрального и бокового резцов. Обратите внимание на улучшение состояния пародонтальных тканей. |
|
было предпринято несколько попыток коррекции темного цвета центральных резцов с помощью композитных виниров, изготовленных прямым способом. Это привело к выступанию виниров за пределы пришеечных контуров естественных зубов и к их монотонному цвету. Возникли осложнения, связанные с эстетикой и состоянием тканей пародонта. У пациента наблюдались гингивит и рецессия десны. Оба центральных резца имели измененный цвет, а боковые сохранили свой обычный естественный цвет (рис. 35 и 36). Чтобы центральные резцы по цвету сочетались с боковыми было выбрано препарирование третьего типа, а на центральных резцах запланировано использование маскирующей керамики (рис 37 — 39). Маскирующую массу подготовили путем смешивания люстровой интенсив-массы кремово-белого цвета с опаковой дентиновой массой. Маскирующую способность приготовленной массы обеспечивало большее количество кремово-белой керамики, имеющей невысокую прозрачность. Частицы люстровой керамики имеют меньшие размеры по сравнению с частицами порошка традиционной стоматологической керамики. Сверхтонкие частицы люстровой керамики рассеивают свет, отражающийся от зуба с измененным цветом, поэтому нарушения цвета не видны (рис. 40). Цвет опорного зуба был замаскирован с одновременным сохранением некоторой прозрачности. Маскировочная керамика использовалась также для наращивания длины слишком коротких препарированных зубов и создания единого цветового фона опорного зуба и его культевой части (рис. 41). Остальные зубы пациента были отбелены. Для обеспечения цветового соответствия на область режущего края каждого винира нанесли эмалевую массу кремового цвета (рис. 42-46). Заключение Новая схема представленного плана, основанного на определении цвета протеза, упрощает достижение оптимального результата ортопедического лечения. Материал предоставлен московской фирмой «Экспо-Дент», эксклюзивным дилером фирмы Noritake в России.
|






























