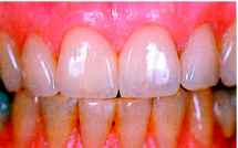
Ортопедическое лечение, результаты которого представлены на фотографиях, было проведено доктором Джеральдом Чайчем. Зубные протезы изготовлены мастером Хитоши Аосимой. Технические этапы изготовления реставраций с использованием системы Screening EX-3 Noritake 1. Изготовление диагностической и рабочей моделей При заливке гипсовых и огнеупорных моделей рекомендуется использовать систему точной заливки гипсовых моделей Асси-Trae® (Coltene/Thaledent, штат Нью-Джерси, США). В систему входят: цифровые индикаторы положения штампиков для моментального распознавания и быстрого размещения штампиков; три контактных направляющих для точной посадки штампиков; точная ложка, предазначенная исключительно для заливки моделей, и обеспечивающая значительную экономию времени и материалов; вмонтированный магнит для точной установки и простоты выемки модели из артикулятора; независимые фиксирующие захваты для надежного удерживания штампиков и быстрого доступа к каждому квадранту. Система точной заливки Accu-Trac® удобна в работе, позволяет существенно сократить время на изготовление модели и уменьшить расход материала. 2. Артикуляция рабочей модели. 3. Изготовление огнеупорной модели. На этом этапе я хочу остановиться более подробно. Для изготовления огнеупорных моделей специалистами фирмы Нори-такэ был специально создан огнеупорный материал нового поколения Nori-Vest, обладающий рядом ценных свойств. Он имеет оптимальную прочность, достаточную для того, чтобы модель выдержала все этапы обжига и моделирования керамического протеза, и при этом легко удаляется после обжига фарфора (вероятность сколов краев микропротеэов сведена к минимуму). Замешанный материал обладает высокой текучестью и легко заполняет все детали слепка, что является гарантией точного прилегания изготавливаемого микропротеза. Процедура изготовления огнеупорного штампика состоит из четырех этапов: Замешивание. Производится в вакуумном смесителе в течение 40 сек; Заливка. На слепок наносят увлажняющее вещество (например, Noritake Wax Cleaner), после чего аккуратно заливают материал с использованием вибростолика для избежания захвата воздуха. Извлечение из слепка. После заливки огнеупорную модель оставляют для твердения не менее, чем на 1 час, а затем извлекают из слепка. Время твердения влияет как на прилегание, так и на текстуру поверхности огнеупорной модели. Температурная обработка огнеупорной модели. Огнеупорный материал Nori-Vest является формовочным материалом на фосфатной связке, выжигание которой проводится в прокалочной печи по режиму, представленному в таблице 1. В некоторых лабораториях используют прокалочные печи с максимальной температурой до 1000°С. В таких случаях фирма рекомендует проводить обжиг модели в два этапа (табл. 2). На рис.6 представлен фотоснимок набора огнеупорного материала Nori-Vest. 4. Изготовление виниров. Существует два способа изготовления фарфоровых многослойных виниров, предназначенных для восстановления зубов с нарушенной окраской: 1. Метод маскирующего фарфора. 2. Метод взаимодополняющих цветов. Второй метод подробно описан в статье К. Ямады «Изготовление фарфоровых многослойных виниров для дисколориро-ванных зубов с использованием техники взаимодополняющих цветов»(4). В 1993 году эта статья была выбрана для ежегодника Мосби. Описание первого метода изготовления фарфоровых многослойных виниров приводим ниже. Смешивают дентинный фарфор ЕХ-3 и керамику Screening в соответствии с таблицей, представленной ниже. Огнеупорный штампик погружают в воду и выдерживают в ней до тех пор, пока не перестанут выделяться пузырьки. Для нанесения используют фарфор, выбранный в соответствии с таблицей, приведенной выше. Первый слой должен быть очень тонким. Обжиг смоделированного слоя проводят по режиму, представленному в таблице 4. После остывания огнеупорный штам-пик погружают в воду, как было описано выше. Для моделирования второго слоя используют ту же самую смесь фарфора. В пришеечной области наносят слой толщиной 0,2 мм и постепенно сводят его на нет, не доходя до режущего края на 1,0 - 1,5 мм. Область в пределах 1,0 - 1,5 мм от режущего края не должна быть покрыта вторым слоем. Обжиг ведут по режиму, указанному выше. Снова погружают огнеупорный штам-пик в воду. При моделировании третьего слоя наносят дентин, эмаль, и, если потребуется, прозрачную массу. Обжиг проводят по тому же режиму. После обжига проводят припасовку по окклюзии и коррекцию формы. Избыток фарфора в области краев винира аккуратно сошлифо-вывают карборундовым колесиком с алмазной крошкой. После коррекции работу промывают в ультразвуковой ванне. Глазурование проводят до очистки от огнеупорного материала по режиму, представленному в таблице 5. Аккуратно, стараясь не повредить краев изделия, удаляют огнеупорный материал. Большую часть огнеупорной модели срезают алмазным диском, после чего высверливают остаток огнеупорной массы алмазным бором. Очистку микропротеза завершают пескоструйной обработкой под давлением 0,2 Мпа мелкой стеклянной дробью размером 50 микрон. При окончательной припасовке следует обеспечить хорошее прилегание вини-ра к модели. У коронок особенно тщательно проверяют прилегание краев. Используя артикулятор, проводят припасовку по окклюзии, сошлифовывая выступающие контакты. При необходимости добавления керамики используют низкотемпературный фарфор для коррекции Noritake Addmate и сепарационную жидкость Noritake Addmate Porcelain Separator.
|
|
Заключение. Спрос пациентов на качественную эстетическую реставрацию зубов продолжает неуклонно повышаться и одновременно растет популярность микропротезов. Однако в ряде стоматологических клиник этот щадящий вид реставрации зубов пока еще не внедрен, а пациентам, желающим исправить темные, некрасивые по форме и неправильно расположенные передние зубы, предлагаются металлокерамичес-кие коронки с предварительным де-пульпированием зубов. Это не способствует росту престижа клиники. В современной клинике должны использоваться новые щадящие методы ортопедического лечения, тем более, что внедрение микропротезов не потребует больших капитальных затрат. Не потребуется переоснащение клиники - все работы выполняются на том же оборудовании, что и металлокерамика. А результаты будут говорить сами за себя. По данным М. Peumans с со-авт.(1998), за 5-летний срок клинических наблюдений у 99% пациентов керамические виниры сохранили хорошее краевое прилегание (1). Фирма Норитакэ предлагает полный комплекс материалов для изготовления вкладок, накладок, вини-ров и винирлеев. В этот комплекс входит и система NORI BOND, предназначенная для прочной адгезивной (адгезионной) фиксации микропротезов, и огнеупорный материал нового поколения Nori-Vest, замечательный набор каркасной керамики для изготовления цельноке-рамических протезов и микропротезов Screening Noritake, низкотемпературный фарфор для коррекции Noritake Addmate, и, конечно же, супер-фарфор EX-3 Noritake. Список литературы. 1. М. Peumans, Van Meerbeek, P. Lambrechts, M. Vuylsteke-Vauters AFive-year clinical performance ox porcelain veneers»//Quintessence International, 1998, v. 29, № 4, April, p. 211-221 2. P. Sturridge, I. Ahmad. Preparation and Fabrication of Ceramic Veneerlay Restorations»// QDT, v.22, 1999, 169-177 3. Chiche J., Aoshima H., Bruggers K»., Masters in concert, // QDT, 1997, v.20, стр. 10 - 20 4. К. Yamada, «Porcelain Laminate Veneers for Discolored Teeth Using Complementary Colors»/ /The International Journal of Prosthodontics, Quintessence, 1993, № 6, May/June, p. 12 |
| Таблица 2. Обжиг огнеупорной модели в два этапа с использованием прокалочной и вакуумной эуботехниче | ской печи. | ||
| Этап обжига Время высушивания Температура начала | Температура окончания Скорость нагрева, | Время выдержки | Уровень вакуума, |
| модели, мин обжига, °С | обжига, °С °С/мин | при конечной | см рт. ст |
| температуре, мин | |||
| 1-й этап-прокалочная печь О 20 - 300 | 700 30-40 | 30 | О |
| 2-й этап-зуботехническая печь 1 600 | 1080 45-50 | 10-20 | 0 |
|
||||||||||





