Недостатки, связанные с указанными причинами, можно устранить или предупредить следующими приёмами. Белизну конструкции можно повысить, воссоздавая микрорельеф поверхности (например, перикиматии) (рис. 141).
В результате увеличится рассеивание лучей поверхностью, что и усилит белизну. Придать более темный или светлый оттенок возможно, используя специальные красители (color), накладывая их под опаковые или эмалевые слои композита (рис. 142).
Конструкция может выделяться на фоне зуба после изменения источника освещения, что объясняется явлением метамеризма: зависимостью спектра отражения лучей пигментами от температуры и состава света. Различия в химическом составе красителей дентина и композита приводят к изменению спектра отражаемого света от тканей и появлению визуальных отличий реставрации по цвету (см. рис. 113). Во избежание феномена метамеризма необходимо на этапе выбора оттенков материала сравнивать эталоны цвета с зубом вначале при естественном освещении, а затем в свете искусственных источников (рис. 143).
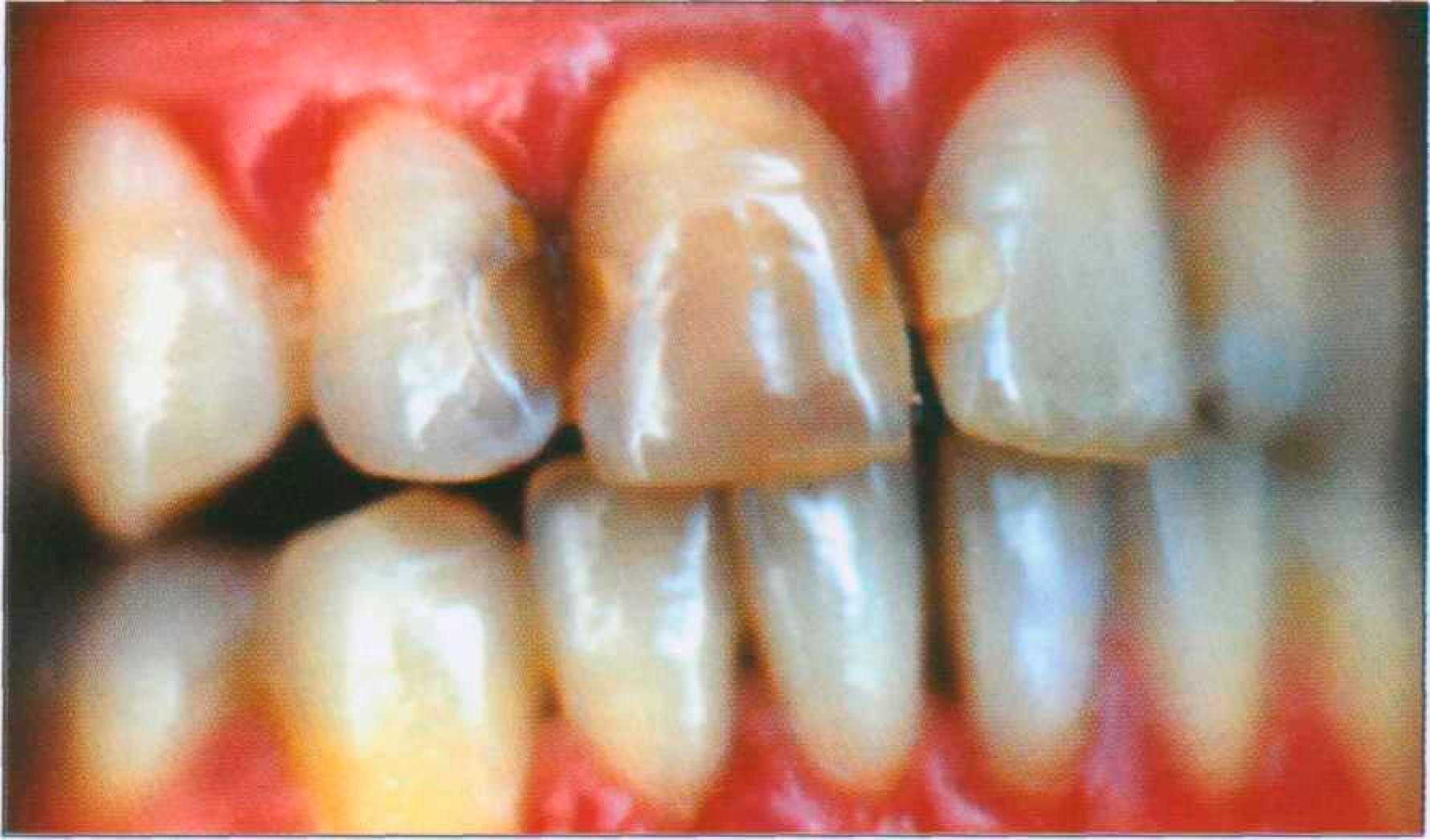
Пломба будет выделяться белизной, если цвет определялся после препарирования полости: сухие шероховатые ткани придают новые оттенки зубу (см. рис. 129). Цвет конструкции может изменяться со временем в результате «выцветания» пигментов. В таких случаях требуется замена реставрации. Отбеливание запломбированного зуба приведет к нарушению соответствия цвета зуба и пломбы, поскольку осветлению подвергаются пигменты дентина, и остаются стабильными красители композита. В связи с этим рекомендуется реставрировать дефекты твердых тканей через две недели после завершения процедуры отбеливания. К этому времени стабилизируется основной цвет зуба. 2. Нарушения цвета реставрации могут быть связаны с особенностями физиологии и психологии зрительного восприятия. Ошибки чаще всего допускаются на этапе определения цвета. Конструкция может отличаться по тону или насыщенности (светлоте), если оттенки определялись на фоне, отличающемся светлотным или цветовым контрастом. Расположенные рядом дополнительные (контрастные) цвета подчеркивают друг друга. На рис. 144 синий цвет коффердама усиливает оранжевые оттенки зуба. Красная губная помада усиливает зрительное восприятие серо-зеленых оттенков (см. рис. 118).
Светлый фон как бы «затемняет» основной цвет, а темный — усиливает белизну зубов. Режущий край воспринимается белым на фоне темной полости рта (рис. 145).
С другой стороны, фон может отбрасывать на поверхность зуба цветные тени (рефлексы). В таком случае на отдельных участках оттенки будут выбираться неправильно: эталоны цветов смещаются по тону или светлоте. На рис. 115 придесневая область зуба воспринимается в розовом цвете. Зуб приобретает голубые оттенки за счет теней, отбрасываемых коффердамом. Предупредить описанные ошибки удается, определяя цвет зуба на естественном фоне полости рта и здорового пародонта. Реставрация может отличаться по цвету, если эталоны подбирались в условиях яркого цветового окружения. Причина заключается в формировании последовательного отрицательного зрительного образа, например, если определению цвета предшествовало отверждение композита синим светом (см. рис. 130). Зрительный образ эталона приобретает контрастный желтый цвет, и подбираемые оттенки сместятся в эту часть спектра. Чтобы избежать подобной ошибки на рабочем месте исключаются цветные предметы, попадающие в поле зрения стоматолога. Определение цвета зуба предшествует использованию галогеновой лампы. 3. Ошибки в выборе оттенков цвета могут зависеть от неравномерности распределения световых лучей. Реставрация окажется светлее или темнее ожидаемого эффекта, если освещение зубов при определении цвета было неравномерным в результате неправильного размещения источника света по отношению к больному (рис. 146).
Режущий край зуба окажется значительно светлее основной массы зуба, если оттенки подбирались в лежачем положении пациента, когда максимальное освещение попадает на режущий край (рис. 147).
Ошибка при выборе цвета может быть связана с особенностями световой и цветовой среды, которая формируется совокупностью естественного и искусственного света, прямыми и отраженными лучами. В результате, спектр падающего света может существенно отличаться от спектра оптимальной воздушной среды, а визуальное восприятие цвета зуба будет неадекватным (рис. 148 а, б).
Чтобы исключить формирование неблагоприятного цветового окружения, при подготовке кабинета стоматолога необходимо создать нейтральную цветовую среду: предпочтительными оказываются серые или близкие к ним оттенки при окраске стен, выборе штор, жалюзи.
Рис. 149. Влияние уровня освещенности на восприятие цвета зуба: а — дневное освещение; б — высокий уровень освещенности; в — низкий уровень освещенности
Реставрация может оказаться светлее (темнее), если глаз не адаптировался к данному уровню освещенности, например, при переходе из темного в светлое помещение (или наоборот). В силу инертности зрительного анализатора, требуется некоторое время, пока рецепторы начнут адекватно воспринимать цветовые сигналы. Для предупреждения ошибок необходимо поддерживать оптимальный уровень освещенности на рабочем месте, избегать значительных перепадов яркости света. Несвойственный зубу оттенок конструкции может появляться, если источник освещения создает свою цветовую среду. Например, в свете ламп накаливания преобладают желтые лучи, которые окажут влияние на зрительное восприятие тона (оттенка) эталона и зуба. Предупредить данное осложнение позволит освещение, обеспечивающее адекватный спектральный состав (рис. 149 а, б, в). 4. Ошибки воссоздания цвета, возникающие в процессе изготовления реставрации, зависят от качественного препарирования, оптимального использования оттеночных слоев, правильной обработки пломбы. Если в процессе препарирования останется слой пигментированного дентина, то конструкция может оказаться темнее или отличаться по тону. Реставрация будет светлее зуба, если на дне полости использовалась прокладка из материалов белого цвета, либо гуттаперча выступает в полость зуба. Предупредить такое нарушение цвета возможно несколькими путями. По показаниям производится тщательное удаление пигментированных тканей. Участки, отличающиеся по цвету, перекрываются оттеночными слоями в соответствии с цветокорригирующей, или цветнейтрализующей, техникой (рис. 150 а, б).
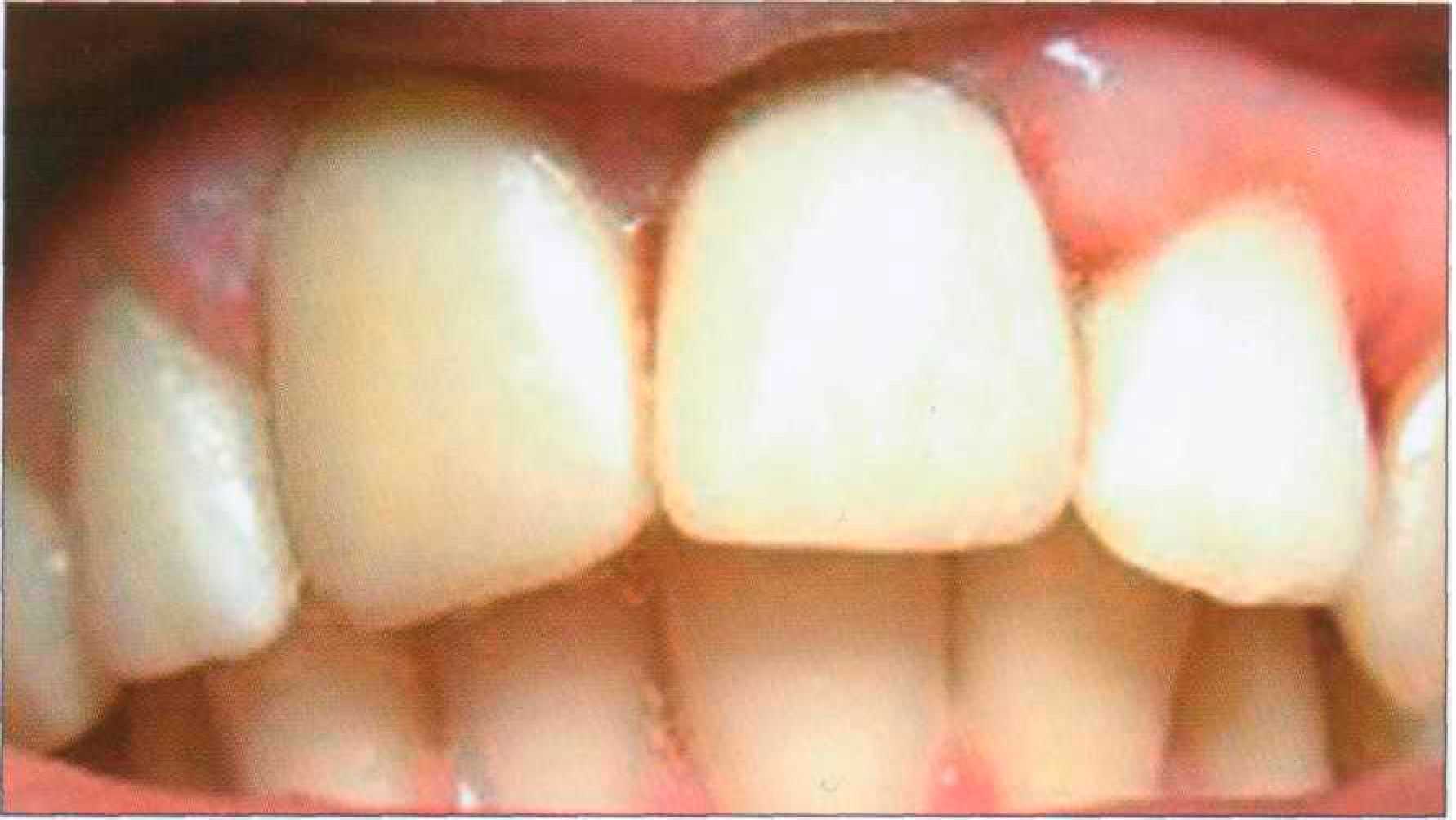
Цвет реставрации отличается от зуба, если не соблюдается послойное наложение композита. Во избежание подобной ошибки следует знать: воссоздание цветовой гаммы зуба возможно только при использовании пломбировочного материала отдельными слоями дентинных и эмалевых тонов. Именно фотополимеры обеспечивают данную технику работы (рис. 151).
Более глубокие участки дефекта заполняют непрозрачными желтоватыми оттенками, ближе к цвету дентина (опаковые, или дентинные). Последующие слои накладывают светлее и прозрачнее, подобные эмали. Если это необходимо, то несколько темнее используется материал в пришеечной области, прозрачный — у режущего края (рис. 152).
Толщина полимеризуемого слоя композита зависит от количества выбранных оттенков (шприцев), а также свойств самого материала. Композит со свойствами «хамелеона» требует меньшего количества слоев (рис. 153).
При этом основной объем полости будет занимать опаковкй (непрозрачный) материал, если полость глубоких размеров, или эмалевый (прозрачный), если дефект поверхностный. Утраченный дентин должен восстанавливаться дентинным слоем фотополимера. Если не использовать опаковый слой, конструкция окажется светопроводимой. В результате зуб приобретет неестественный вид. В случае избыточного наложения опака (по толщине или по высоте коронки зуба), при последующей обработке пломбы эмалевый и прозрачный слои могут быть полностью сошлифованы, а потому добиться устойчивого блеска и «прозрачности» реставрации не удастся (рис. 154).
По тем же причинам реставрация может оказаться более насыщенной по цвету. Не следует использовать слишком много шприцев композита: суммирование тонов может придать конструкции сероватый оттенок (рис. 155).
Прозрачность конструкции может отличаться от прозрачности зуба, если в процессе формирования реставрации неправильно воссоздан рисунок мамелонов: короче, длиннее, шире их выступы (рис. 156).
На знании типов прозрачности эмали базируется техника нанесения прозрачного слоя композита, который может быть выражен в области режущего края, либо на проксимальных участках, либо диффузно по всей поверхности пломбы (рис. 157).
Изменение типа прозрачности в конкретной ситуации приведет к иллюзии изменения размеров зуба. Отсутствие прозрачности режущего края визуально удлиняет коронку, а широкий прозрачный слой сделает зуб иллюзорно короче. Данная особенность влияния «светопроводимости» на восприятие размеров может использоваться при формировании стоматологических конструкций. Например, вызвать иллюзию увеличения поперечного размера зуба можно, отказавшись от «прозрачного» слоя на проксимальных поверхностях, а зрительно укоротить зуб — сформировав прозрачный режущий край. Реставрация жевательной группы зубов может отличаться от окружающих твердых тканей зуба по цвету в связи с изначально неправильно выбранными оттенками пломбировочного материала (рис. 158).
Определение цвета реставрации моляров имеет свои особенности в связи с наличием пигментированных фиссур (рис. 159).
Затруднения могут создавать отсутствие естественного освещения и наличие розового фона слизистой оболочки полости рта (рис. 160).
Причиной отличия реставрации жевательной группы зубов может явиться неправильное соотношение опаковых, эмалевых и прозрачных слоев пломбировочного материала. Реставрация может обладать меньшим блеском, чем зуб, если проведено слабое полирование поверхности или имеются явные шероховатости поверхности. Обработка конструкции в соответствии с возрастными и индивидуальными особенностями морфологии зуба позволит исключить указанные недостатки. Таким образом, ошибки и осложнения в выборе цвета реставрации и его воспроизведения могут быть связаны с целым рядом факторов, включающих оптические эффекты, особенности физиологии и психологии зрения, тонкости техники использования композитов и требуют специального обучения врача-стоматолога, подготовки рабочего места для достижения высокой эффективности ожидаемых результатов. |
ОШИБКИ ПРИ ВЫБОРЕ И ВОСПРОИЗВЕДЕНИИ ЦВЕТА
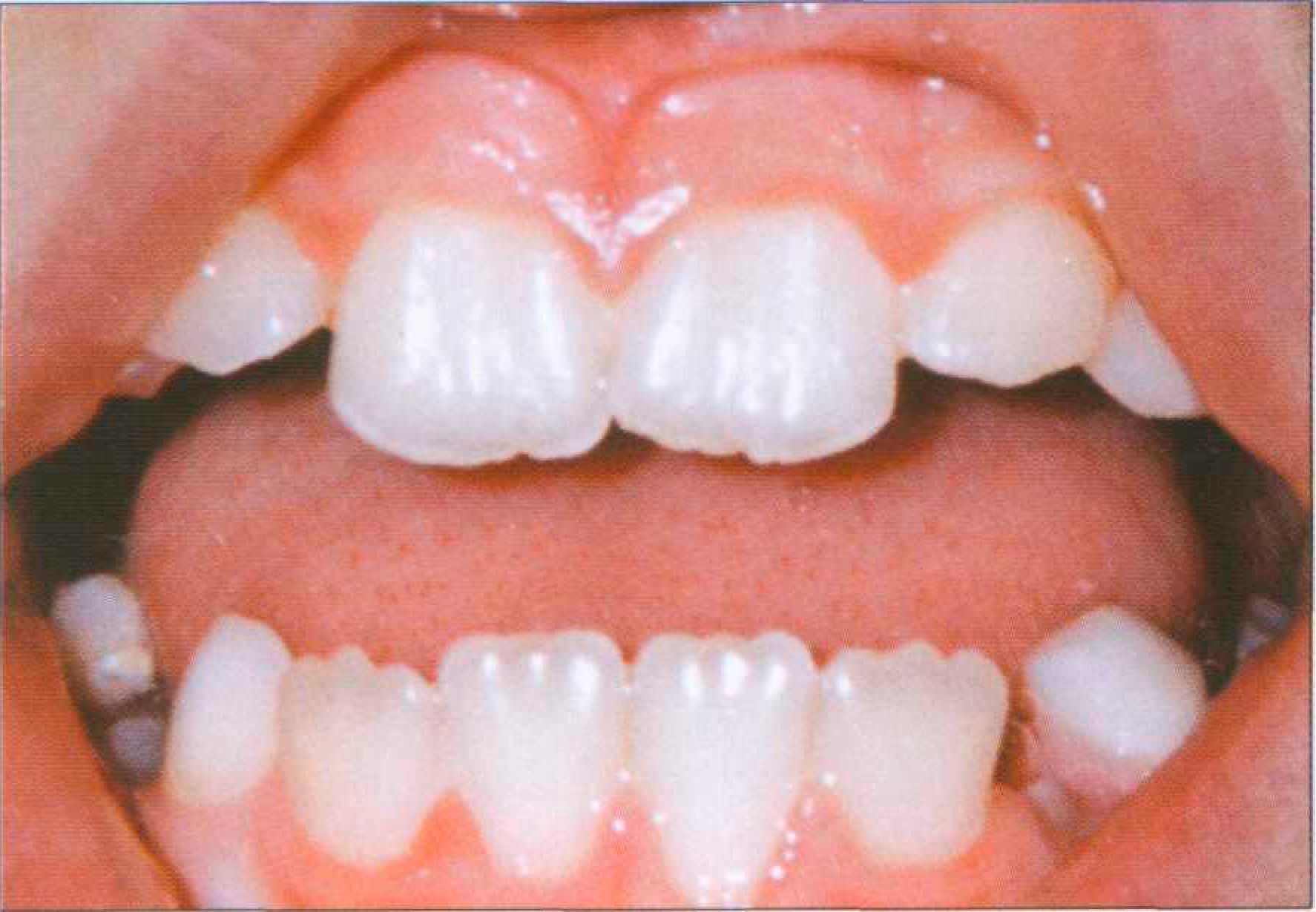
ОШИБКИ ПРИ ВЫБОРЕ И ВОСПРОИЗВЕДЕНИИ ЦВЕТА Современные стоматологические материалы характеризуются высокой прочностью и эстетичностью. Наиболее совершенные из них по большинству параметров приближаются к основным показателям зуба. Речь идёт об устойчивости к механическим и химическим воздействиям, биологической инертности, а также оптических свойствах. Однако выбор качественного материала ещё не является гарантией создания оптимальной конструкции. Причина не только и не столько в навыках использования композита или керамики, но в особенностях физиологии и психологии зрительного восприятия цвета, связанных как с составом и строением зуба (а соответственно, стоматологического материала), так и светоцветовой средой на рабочем месте. 1. Реставрация может отличаться от зуба вследствие разницы химического состава пигментов, содержащихся в дентине, и красителей, используемых в опаках и эмалевых цветах керамики, композита. Данный фактор может привести к следующим дефектам оптических свойств конструкции. Выполненная работа отличается тоном, интенсивностью, если оттенок зуба по светлоте или насыщенности превосходит гамму цветов, представленных в наборе материалов. Например, цвет зуба ребенка белее эталонного В1, или зуб пожилого человека, по интенсивности превосходит эталон D4 (рис. 139, 140).
|





















