|
Планирование Планирование всего лечения начи-нается с общения врача-ортопедаи зубного техника как основныхигроков команды с пациентом, гдеглавное внимание уделяется невозможному развитию ситуацииво время имплантации или после-дующего протезирования, а следующим факторам: • ожидания пациента, • курение, • высота линии улыбки, • биотип десны, • форма сохранившихся или восстанавливаемыхзубов, • инфекция в областипредстоящей имплантации, • ортопедический статусзубов, прилежащих к зоне дефекта, • вид дефекта зубного ряда, • ширина кости и мягких тканейв области адентии, • высота кости и мягких тканейв области адентии. После детализации конкретных пожеланий пациента врач-ортопедобязан подтвердить либо опровергнуть возможности получения запрашиваемого результата. |
|
Увы, стоит признать, что в большинстве случаев такое общение отсутствует, и причина одна —любой ценой заработать деньги и установить имплантат в максимально короткий срок после первого обращения. Однако после длительного и безрезультативного лечения часто наступает фиаско как для врача, так и для несчастного пациента! Имплантация бывает непосредственная после удаления зуба, таки отсроченная, не менее чем через два месяца - как правило, после удаления зуба при остром или обостренном хроническом инфекционном воспалении. Давайте рассмотрим ряд проверенных правил, которые позволят говорить обуспешном хирургическом лечении.
Удаление зуба и немедленная имплантация Основное правило, которое никогда не должен нарушать хирург -это атравматичное удаление, которое позволит сохранить альвеолярную вестибулярную стенку иустановить имплантат. В связи сэтим нельзя использовать элеваторы и щипцы без предварительной фрагментации зуба фрезами иработы периотомами. После того, как зуб удален, врачунеобходимо убедиться путем банального зондирования, что передняя стенка альвеолы цела - вслучае явных и выраженных окончатых дефектов имплантация невозможна. |
|
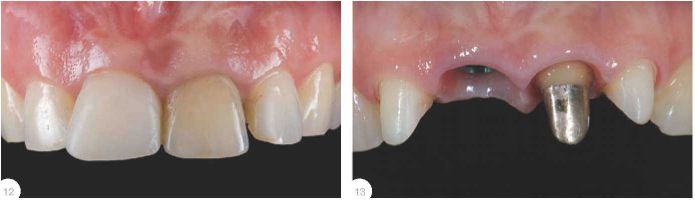
Устанавливая имплантат, необходимо помнить, что крайне нерекомендованным является использование диаметров имплантатов более чем 4,5 мм! Ошибочно суждение некоторых российских хирургов о том, что если размер лунки позволяет устанавливать имплантаты до или более 5 мм, то этооправдано идеальной первичной стабилизацией имплантата. Однако в обозримом будущем касание имплантата к вестибулярной стенке альвеолы даже в верхнейтрети лунки приведет к резорбциистенки, что в свою очередь явится причиной неудовлетворительного эстетического результата. Первичная стабилизация имплантата является, наверно, главным фактором, влияющим на позитивный исход всего лечения, однакодостигать его путем бикортикального заклинивания имплантата влунке удаленного зуба недопустимо. Все, что необходимо сделать -это углубить лунку не менее, чемна 3-4 мм, и сместить ось имплан-тата небно для отсутствия контактас передней стенкой альвеолы повсе протяженности (рис. 2). Расстояние между имплантатом ипередней стенкой должно составлять от 1,5 до 2 мм. Если даннаядистанция превышает указанное значение, то мы рекомендуем использовать аутогенную кость, смешанную в равной пропорции с материалом Bio-Oss, так как последний будет выполнять роль каркасадля поддержки аутокости.Откинут лоскут, планируется удаление 11 и 21 с одномоментной имплантацией (рис. 3).Зубы 11 и 21 удалены (рис. 4). Установлены имплантаты Биого-ризонт диаметром 3,8 (рис. 5).Правильно изготовленный шаблон позволяет позиционировать нетолько ось, но и расположение шейки имплантата (рис. 6).Смещенное в небном направлении положение имплантатов хорошовидно на рис. 7. Аутогенная кость с ветви нижнейчелюсти смешана с Bio-Oss и плотно скондесирована между имплантатом и альвеолой (рис. 8-10). Временное протезирование при немедленной имплантации Временное протезирование с использованием несъемной конструкции, например коронок с винтовой фиксацией для достижения эстетического результата и социальной реабилитации пациента,возможно только при хорошей фиксации имплантата. Если естьмалейшие сомнения по этому поводу, а также при проведении НТР,мы рекомендуем ушивать имплантат и фиксировать конструкцию мериленд. |
|
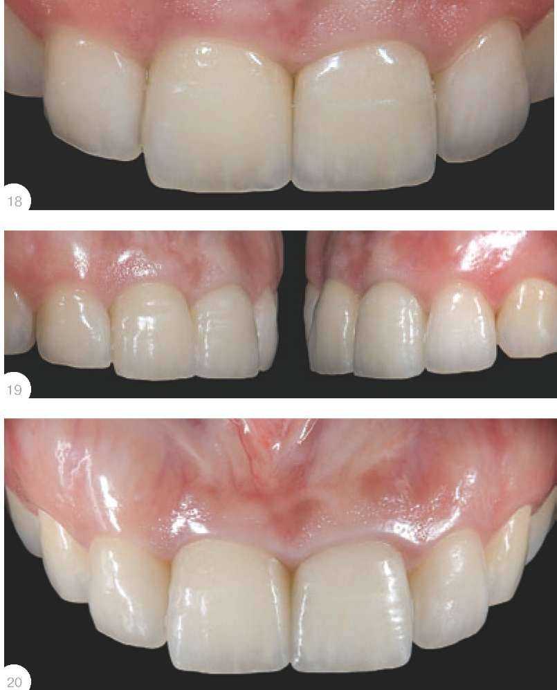
Винтовая фиксация Коронки с винтовой фиксацией могут быть изготовлены как прямым методом непосредственно врачом в клинике во время приема пациента, так и лабораторным путем. Умение применять прямой методявляется необходимым инструментом в арсенале ортопеда, который можно применить либо всилу удаленности лаборатории отклиники, либо в случае непредвиденного удаления и установки имплантата, и невозможности отпустить пациента без временной реставрации. К преимуществам прямого методанад лабораторным можно отнести возможность контроля необходимой поддержки мягких тканей впришеечной области, низкую себе стоимость, сроки.К недостаткам - не очень высокую либо вовсе низкую эстетику.Надо отметить, что применять метод винтовой фиксации стоит крайне осторожно. Следует ограничить количество откручиваний и прикручиваний таких коронок, особенно при тонком биотипе десны,так как (особенно на плохо отполированных конструкциях) из-за возникающего ложного прикрепленияи постоянной травматизации возможны большие рецессии. Лабораторный метод подразумевает под собой снятие оттиска ипосле получения из лабораториигипсовой модели ремоделирование десневого края согласно необходимому эстетическому контуру (лабораторную методику см.ниже). После того, как акриловыекоронки готовы, врач выполняетанестезию в области имплантатови прикручивает их до наступленияишемии десны (обязателен RVGконтроль). Важно помнить, что данная конструкция должна оказывать давле-ние только на мягкие ткани. В случае такого давления на подлежа-щую кость всегда развиваетсямощнейший болевой синдром спродолжительным воспалением и,как следствие, серьезной рецессией (рис. 12-13). Срок ремоделировки тканей в полости рта занимает от 4 до 6 недель и при достаточном количестве прикрепленной десны всегдадемонстрирует стопроцентный результат, который заключается видеальной имитации естественного десневого края. Однако, еслипланируется также протезирование соседних с имплантатами зубов, врач-стоматолог обязан помнить, что, не погружая уступ поддесневую область с апроксимальных сторон на границе с имплантатами, он рискует потерять десневой сосочек вследствие отсутствия его поддержки.В качестве иллюстрации этих теоретических построений позволюсебе привести небольшой пример. *) Отдавая дань моде, многие врачи изготавливают сегодня коронки издиоксида циркония на витальные зубы во фронтальном отделе, забывая отолщине колпачка будущей реставрации - 0,5 мм! Естественно, что техник для достижения эстетических запросов пациентананесет еще как минимум 1 мм керамической массы, и такая толщинанеизбежно приведет к чрезмерному препарированию! В то же время, применение на витальных зубах прессованных либо полученных на огнеупорных моделях конструкций позволяет врачу поройсохранять до 2/3 эмали (!), что многократно улучшает прогноз выживае-мости выполненной работы. Клинический случай Пациентка 29 лет, 11- перелом внижней трети. После детального разбора ситуации в присутствии зубного техника(Дмитрий Никоненко) принято решение об удалении 11 с одномо-ментной установкой имплантата,временной коронкой с винтовойфиксацией и протезированием 4резцов через 6 месяцев. По истечении этого срока мы приступили к эндодонтическому лечению 21 и изготовлению культевойвкладки. Принято решение изготовить индивидуальный абатмент идве коронки на каркасах из диоксида циркония на зубы 11 и 21, а навитальные 12 и 22 - бескаркасныекоронки толщиной не более 0,5 мм!* (рис. 14-17). Несмотря на превосходную эпителизацию, перед фиксацией коронок необходимо уложить междуабатментом, зубами и десной
ретракционную нить без пропитки диаметром не более 000 или 00 для захвата избытка цемента.Применяя позиционер в RVG, можно увидеть факты «недопосадки»каркаса коронки на абатменте илизубах! Обратите внимание на искаженный снимок 17а, где неопытному врачу может показаться, чтоположение коронки на абатменте идеально, однако при правильном расположении позиционера виднащель в медиально-апроксимальной зоне коронки на 11 зубе. Рис. 18 - зафиксированные на самопротравливающий и самоадгезивный цемент коронки через 7дней. Ситуация через три месяцаприведена на рис. 19. По прошествии года ситуация выглядит таким образом - рис. 20. Ни у стоматолога, ни у техника, ни у пациента нетнареканий к выполненной работе.А ведь это фронтальная зона...
|


Временное протезирование имплантата может выполняться с цементной или винтовой фиксацией,когда временный пластиковый абатмент выполняет роль ядра коронки, на которую техник напрессовывает акриловый материал(рис. 11). Лично я не рекомендую изготавливать временные коронкис цементной фиксацией на временных абатментах, которые небыли индивидуализированы поддесневой контур. Они не имеютничего общего с анатомией опери-руемой зоны, так как непредсказуемость величины погружения края коронки по направлению к шейке имплантата и, как следствие, выход временного цементав непосредственной близости кпоследней, могут приводить к возникновению периимплантита.

