|
Нельзя сказать, что все в ней просто - разумеется, как и в каждой технологии, здесь есть свои нюансы и обязательные к выполнению этапы, но в целом, то невысокое качество оттисков, которое попадает в лаборатории, никак и ничем не оправдано. Попробуем разобраться с тем, что необходимо сделать для того, чтобы оттиск не оказался забракованным «капризным зубным техником». При получении оттисков с имплантатов в эстетических значимых зонах и при индивидуально сформированной десне временными коронками тактика врача должна сводиться к индивидуализации стандартных трансферов, которая заключается в следующих этапах: • Объединение временных коронок, которые формировали десневой край, с лабораторными аналогами той имплантологической системы, которую вы используете, и получение оттиска с пришеечной части временных коронок таким образом, чтобы слепочный материал полностью перекрывал десневой конкур последних, и, соответственно, аналоги оставались бы в слепочном материале. Стоит помнить, что аналоги не должны провернуться в слепочном материале при откручивании коронок, поэтому следует избегать чрезмерно жесткой фиксации между аналогом и временной коронкой. Всегда используйте очень жесткие слепочные материалы высокой вяз кости. • После полимеризации материала временные коронки откручиваются и устанавливаются обратно в полости рта, и врач полностью концентрируется на работе со слепком. В аналоги вкручиваются слепочные трансферы, а в образовавшееся пространство между трансфером и оттискным материалом укладывается любой безусадочный материал (Picuplast, Bredent или Pattern Resin, GC). После полимеризации трансферы отделяются от аналогов и устанавливаются в полости рта. Всегда обращайте внимание на то, что трансфер не должен касаться соседних зубов, а материал, которым проводилась индивидуализация, должен осуществлять поддержку не только в вестибулооральном направлении, но и поддерживать десневые сосочки. • Получение оттиска осуществляется строго индивидуальной ложкой (о технике изготовления ложки подробно рассказано в предыдущих выпусках LAB) с заранее приготовленными отверстиями для трансферов. Стоит подчеркнуть, что основная ошибка при получении оттиска - совершение либо возвратно-поступательных, либо вращательных движений в попытке добиться выхода винтов трансферов из отверстий индивидуальной ложки. Такие движения свидетельствуют о неправильно изготовленной ложке или о ее плохой припасовке в полости рта и неизбежно приведут к тяжелым искажениям оттиска, которые не позволят сделать данную работу. |
|
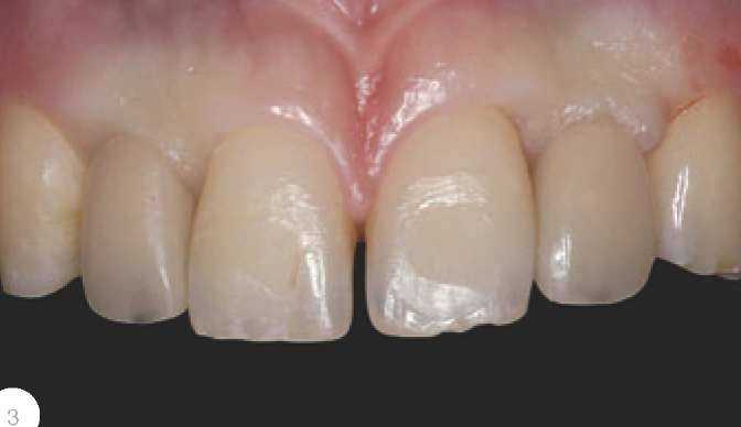
После полимеризации материала винты трансферов откручиваются, и оттиск аккуратно без резких рывков легкими люксирующими движениями выводится из полости рта (рис. 1-3). Кстати, если вы уважаете вашего техника и цените его время и свою работу, не присылайте оттиск в лабораторию без прикрученных аналогов с рекомендательной запиской, какую систему аналогов технику необходимо приобрести. Это наивысшая степень неуважения как к нему лично, так и к пациенту, что в свою очередь сформирует у техника халатное отношение к вашей работе.
|
|
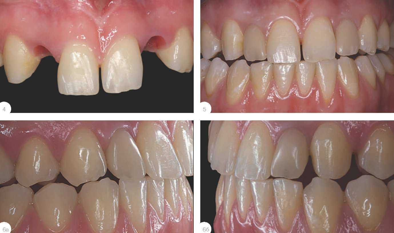
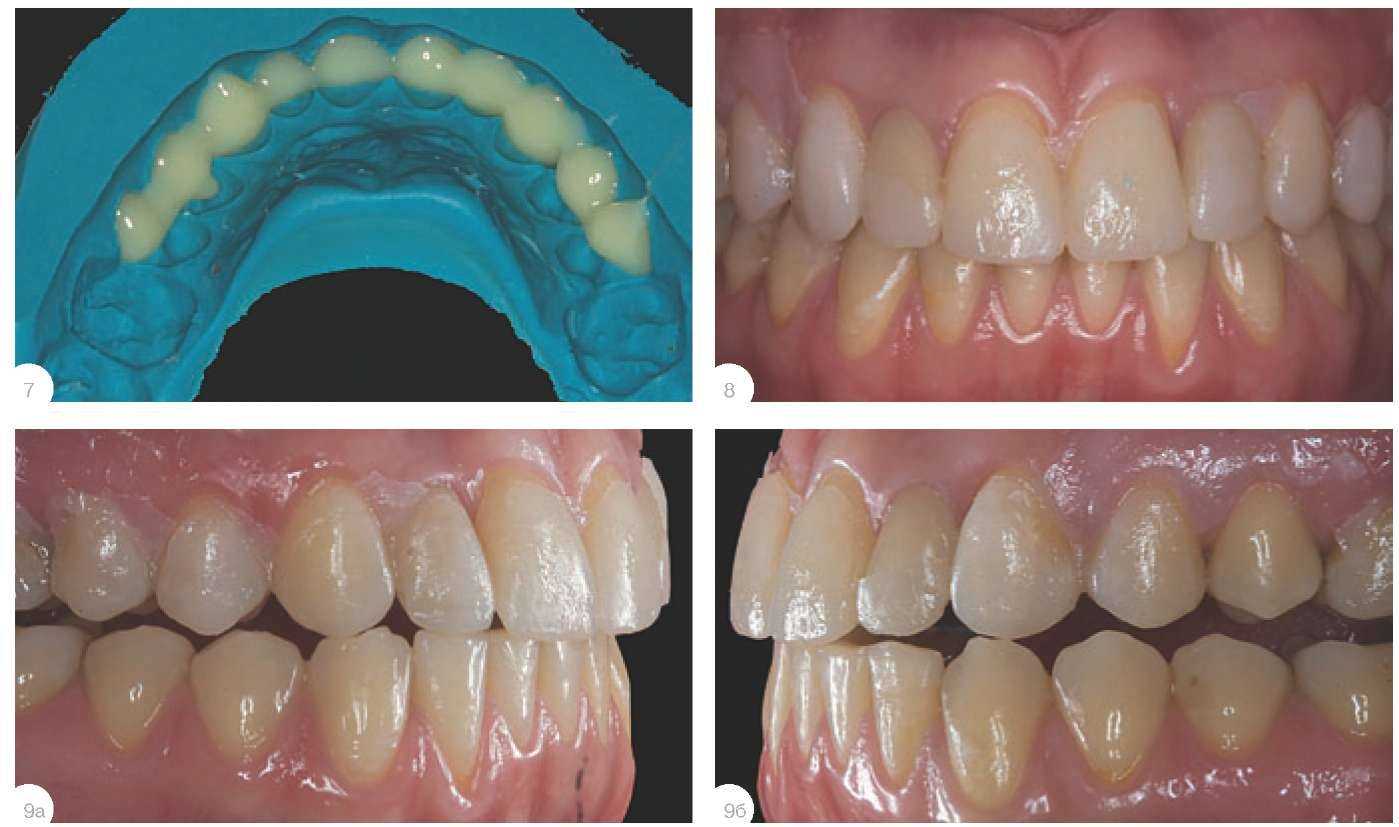
Клинический пример В качестве иллюстрации вышеприведенных положений рассмотрим этапы получения оттиска стандартными трансферами для изготовления временных коронок с винтовой фиксацией Исходная ситуация: пациентка 25 лет, первичная адентия (рис. 4), со стояние после ортодонтического лечения. Ее требования однозначны - 100% иммитация собственных 12 и 22 зубов. На рис. 5-6 - ситуация после прикуручивания временных коронок под инфильтрационной анестезией. Обратите внимание на ишемию, которая не проходит в течение 1015 минут, и, несмотря на заявление многих отечественных авторов о вреде сдавливания десневого края, приводит всегда к ремоделировке согласно необходимому и заложенному зубным техником контуру (состояние десны через шесть недель видно на рис. 10). В таких случаях пациенты обычно настаивают исключительно на протезировании на имплантатах, и в задачу врача-стоматолога входит наглядная демонстрация с помощью фотографий, моделей и примерочных реставраций, какие эстетические и функци о нальные па тологии присутствуют у пациента, и какие последствия они могут иметь (отсутствие клыковой и фронтальной направляющей). Как правило, наглядный пример по принципу «силы наглядного внушения» приводит пациента к нужному и ему, и нам решению более протяженной эстетической и функциональной реабилитации. Очень полезно для «внушения» при сутс т вие техника, который должен быть не менее красноречив нежели доктор. В данном случае в результате совместных усилий ортопеда и техника пациентка согласилась на установку виниров для коррекции имеющихся эстетических проблем. Говоря еще раз о препарировании, стоит отметить, что препарирование под виниры должно носить строго продуманный и лимитированый требованием сохранения эмали характер. В противном случае, множественная или даже полная экспозиция дентина приведет к отклеиванию винира, так как именно эмаль в долгосрочной перспективе способствует удержанию винира на поверхности зуба. Помните о поддержке сосочка в апроксимальных зонах, соответственно препарирование в этих зонах должно быть на доли миллиметра глубже по сравнению с вестибулярным препарированием Протравленная поверхность зубов демонстрирует, какое количество эмали удалось сохранить (рис. 10) благодаря препарированию, построенному на понимании объема сошлифовываемых тканей, исходя из воскового моделирования и применяемого силиконового ключа до препарирования (рис. 7-9). После того как зафиксированы виниры (рис. 11-12), через некоторое время можно приступать к протезированию имплантатов. |
|
Согласно протоколу получения оттисков с имплантатов, необходимо уберечь и себя, и техника от искажения истинной картины мягких тканей над имплантатами, которое случается каждый раз, как только откручены временные коронки. Это явление происходит из-за коллапса ничем не поддерживаемых тканей десны, и к недовольству многих, кто верит в высокую скорость своей работы («я быстро вкручу трансфер и сниму слепок» - знакомо?), уже через несколько секунд после извлечения временной конструкции десневой край не имеет ничего общего с той картиной, которую врач и техник так долго выводили. Данный коллапс с каждой секундой нарастает, поэтому очень важно с одной стороны индивидуализировать слепочный трансфер, который и позволит технику получить неискаженную картину, а с другой - не оставлять пациента длительно (во время приема) без временных конструкций. Как уже упоминалась выше, для индивидуализации необходимо объединение временных коронок, которые формировали десневой край, с лабораторными аналогами и получение оттиска с пришеечной части временных коронок таким образом, чтобы слепочный материал полностью перекрывал десневой контур последних и, соответственно, аналоги оставались в слепочном материале. После полимеризации материала временные коронки извлекаются из слепка и устанавливаются обратно в полости рта. В аналоги вкручиваются слепочные трансферы. В образовавшийся зазор между трансфером и слепочным материалом укладывается любой безусадочный материал (например, Picuplast, Bredent или Pattern Resin, GC). Трансферы необходимо перед такой процедурой либо отпескоструить, либо предать им бором шероховатость, так как материал для заполнения может плохо удерживаться на гладкой полированной по верхности. |
|
После полимеризации трансферы отделяются от аналогов и устанавливаются в полости рта (рис.13-16).
Автоматическое замешивание слепочного материала и сэндвичтехника - единственное возможное решение для получения точного оттиска при применении поливинилсилоксанов. Внесение материала происходит классическим образом: сначала материал (база + корригирующий слой) вносится в слепочную ложку (рис. 17), далее корригирующий слой наносится на высушенные зубы (рис. 18) и трансферы (некоторые авторы рекомендуют раздувать корригирующий слой воздухом), после чего слепочная ложка параллельно вносится на зубной ряд. |
|
Важно помнить, что если ложка плохо изготовлена или припасована, то врачу не удастся внести ее одним движением, придется совершать возвратно-поступательные движения для поиска правильного положения и попытки нащупать выход слепочных винтов из заранее подготовленных перфораций. Как итог: множественные оттяжки и размытые границы соседних с имплантатами зубов. После полимеризации пластырь, наклеенный для исключения выдавливания слепочного материала из отверстий ложки (рис. 19-20), отделяется и открывается доступ к слепочным трансферам. После их откручивания слепок аккуратно извлекается (рис. 21). В данном случае было принято решение изготовить абатменты и коронки из диоксида циркония (рис. 22-23). При фиксации такой работы стоит уделить особое внимание фиксации абатмента с необходимым динамометрическим усилием и возможности проникновения адгезивного цемента за уступ абатмента, поэтому необходимо укладывать между абатментом и десной ретракционную нить без пропитки диаметром не более 00 или 000. Соседние зубы можно изолировать с помощью сантехнической фумленты .
Финальный вид работы сразу после фиксации индивидуальных абатментов и коронок приведен на рис. 24-25. |




