Техника послойного нанесения
Искусство восстанавливать зубы керамикой осуществляется каждым специалистом своей индивидуальной техникой послойного нанесения.
Очень многие технологии достаточно сложны, трудоемки и неудобны в применении. Ошибки в нанесении слоев, например, при наложении эффектов, предопределяют неуспех реставрации, их, как правило, очень сложно, либо практически невозможно исправить. Поэтому очень важно знать такую технологию послойного нанесения, которую можно было бы использовать каждый день. Технологию, которая бы, с одной стороны, оставалась правильной с научной точки зрения, а с другой стороны, требовала бы минимальных затрат для получения максимального результата.
Именно по этой причине 15 лет назад я изобрел свою методику базисного обжига, которую использую до сегодняшнего дня.
Очень многие участники моих курсов по керамике, как в нашей стране, так и за границей, знакомы с этой технологией с 1985 года и ценят ее за огромное количество возможных манипуляций на каждом этапе отдельного обжига. Каждый этап является легко контролируемым, и его легко изменить. Важным является соблюдение элементарных основополагающих правил, изложенных в этой главе.
Меньше — это всегда больше. Для рациональной работы требуются немного инструментов, но при этом их выбор очень важен.
1. Мы наносим керамическую массу кисточкой «Adler krcller»-когти орла. Эта многофункциональная кисточка подходит для нанесения слоев, а также для окрашивания. Сменный кончик кисточки сделан из волос красной куницы. Другой конец этого инструмента отлично подходит для удаления мягкой керамической массы.
2. Нож для сепарации с очень тонким и сменным лезвием.
3. Шпатель для замешивания.
4. Держатель коронок с алмазными щечками (насадкой) для удержания облицованных коронок изнутри.

Для замешивания керамической массы используем простую гладкую кафельную 1Ьитку для ванной комнаты, которую можно приобрести за небольшие деньги в любом магазине, где продают строительные материалы. Снизу, справа выкладываем дентин. Над ним — место дуя замешивания модифицированного дентина оранжевого цвета. Соотношение при замешивании меняется в зависимости от того, нужно нам получить более светлый, либо более темный цвет. Слева, рядом с дентином, выкладываем эмаль, а в крайнем левом углу — прозрачную — транспарентную массу. Этот порядок расположения керамических масс остается всегда неизменным и в скором времени прочно укрепится в вашем подсознании. Оставшиеся свободные поверхности на пластине можно использовать дуя определенных индивидуальных замешиваний керамической массы.

Щечную поверхность полностью покрываем дентином.

Со стороны окклюзионной поверхности можно оценить толщину нанесенного дентина. Этот этап контролируем в артикуляторе и смотрим на правильность нанесения этого слоя в прикусе.

Теперь при помощи сепарационного ножа готовим место для нанесения эмали.

Мы начинаем с того, что замешанный модифицированный дентин наносим в область контактных поверхностей. Эти участки на естественных зубах имеют очень теплые тона, и насыщенность цвета здесь наибольшая.
Удаленный дентин заменяем эмалью. При этом нужно обращать внимание на то, чтобы обе массы были гомогенны и соединялись без пузырьков.

Снова проводим контроль толщины наложенного слоя со стороны окклюзионной поверхности.

Здесь используем только тоненький слой замешанного модифицированного дентина, который дает теплый тон.

Теперь используем кисточку «Adler Kraller».Удаляем лишний дентин и эмаль.

На язычную поверхность наносим слой дентина и оставляем достаточно места для нанесения эмали.

Очень простым, но достаточно эффектным, является промежуточный слой голубой прозрачной массы Transpa Blau — голубой транслюцент на проксимальных поверхностях. С помощью этой массы для создания эффекта получаются проксимальные контактные пункты с очень красивой глубиной цвета.

Примером для моделирования окклюзиоьшой поверхности является образец из техники моделирования воском, при которой жевательная поверхность похожа на рот рыбы. С помощью эмали покрываем ранее нанесенную массу голубой транслюцент — Transpa Blau.

Сначала завершаем моделирование рабочих бугров при помощи эмали.
Жевательные поверхности окончательно моделируем эмалью. От более детального моделирования отказываемся, потому что намного легче все эти мелкие детали потом создать путем сошлифовывания по жевательной поверхности с использованием алмазного инструмента.
Контактные пункты выкладываем эмалью. Теперь керамику необходимо обжечь
(по инструкции изготовителя).
После снятия коронки, небольшие промежутки, где отсутствует керамическая масса, заполняем модифицированным дентином.
Это результат после первого обжига. На проксимальных поверхностях хорошо видны области, где была вложена масса Transpa blauголубой транслюцент. Небольшой оранжевый оттенок на окклюзионной поверхности делает очень привлекательной эту технологию послойного нанесения, которую можно использовать каждый день с небольшими затратами.

Для последующей обработки я выбрал небольшое количество алмазных шлифовальных головок.
Крайний справа фиссурный бор — самого маленького размера, его я использую для шлифования центральных фиссур.
Для обработки мостов мне нужны эти три алмазных диска. 1. Для предварительной сепарации — толстый диск 2. Для последующей сепарации — тонкий диск 3. Для особых ситуаций в области фронтальных зубов очень подходят супертонкие мини — диски.
При изготовлении боковой группы зубов можно обойтись одним обжигом. При необходимости небольшие корректировки проведем в последующем с помощью глазурования.
После обжига первым шагом в работе является сошлифовывание всей поверхности коронки. При этом можно провести корректировку формы зуба. Важным является то, что коронка снова сядет на модель безупречно.
Эта методика изготовления коронок, начиная с 1985 года, используется мной и огромным числом участников моего курса, как в нашей стране, так и за границей.
В феврале 2002 года я посетил лабораторию Humula в Австрии.
Сначала
коронку
покрываем
тонким слоем
финишного
агента.
Необходимо
обращать
внимание на
то, чтобы в
фиссурах не
образовывалось
луж.
Я использую красители VITA.
Теперь можно индивидуализировать коронку, используя различные цвета, соединяя их глазурью или финишным агентом. Искусство заключается в том, чтобы все эти приемы не были видны потом и не выглядели нарисованными.


Дополнить подкрашивание можно, используя цвет фумо. На живых зубах в этих участках часто встречается темное окрашивание.
Результат после глазурования, которое я всегда провожу в вакууме. Такой результат я достигаю во всех работах, которые выполняю каждый день. Если к работе предъявляются особые требования, я провожу индивидуальную полировку керамики.
Разрисовывание фиссур должно ограничиваться небольшим количеством эффектов. Пациенты не хотят иметь грязные разрисованные фиссуры. Это достаточно приличный вид коронки, вне критики.
Коронку в области межзубного промежутка можно немного подкрасить с помощью темного оранжевого красителя.
Фото слева.
Сначала обрабатываем поверхность зуба резиновым полиром средней зернистости. Особенно тщательно полируем видимые поверхности, а также области стирания.
Фото справа. Теперь обработанные области полируем до сильного блеска. Для этого прекрасно подходит резиновая головка Diapol.
Фото слева.
Особенно важно отполировать области стирания до сильного блеска. За счет этого будет обеспечиваться отличное скольжение зубов во время функции жевания, и будут улучшены оптические характеристики зуба.
Фото слева, внизу.
Окончательно всю поверхность полируем до сильного блеска при помощи бизоновских щеточок, а также универсальной полировочной пасты, которую я называю «голубым чудом».
Это
окончательный результат. Коронка готова к фиксации в полости рта.
Коронки, расположенные рядом друг с другом, с неброско нанесенными голубым транслюцентом и модифицированным дентином, выглядят эстетично, а также хорошо передают анатомическую форму зуба.

Существует много методик нанесения керамики при работе с зубами фронтальной группы. Я хотел бы представить технику, которую можно использовать каждый день. Причем она оставляет возможность творческого подхода и одновременно делает каждый этап в работе контролируемым и изменяемым.

Как и в области боковой группы зубов, мы начинаем с межзубных промежутков с использованием модифицированного дентина.

Проксимальные и пришеечные поверхности покрываем дентином.
С его помощью мы моделируем контур зуба и контролируем этот этап работы в артикуляторе. Проверяем длину, ширину Зубов, а также прохождение линии режущего края резцов относительно резцов нижней челюсти по прикусу.

Теперь лабиальные поверхности заполняем дентиноьь На этом этапе удобно контрол ировать толщину будущей облицовки. Наносим массу до того момента, пока не закроем весь каркас.

Эмалью EN2 выкладываем валики.
Лабиальная поверхность с окончательно нанесенным слоем дентина.

Часть дентина убираем для нанесения эмали.
На этом этапе также могут быть выложены мамелоны и другие эффекты.


С палатинальной поверхности этот слой аккуратно срезаем. Здесь используем кисточку Adler Kraller.

Для лучшего контроля выкладываем сначала массу с лабиальной поверхности, вследствие чего образуется нечистый режущий край, который корректируем на следующем этапе.

Модифицированным дентином покрываем всю палатинальную поверхность.

Дополняем моделировку эмалью.
Моделировку аккурагтю разрезаем на мезиальную и дисшальную поверхности добавляем керам и чес кую массу для компенсации усадки.
Важно установить коронки на трегер так, чтобы во время обжига масса на режущем крае не стекала на одну сторону. Подобного рода ошибки практически невозможно исправить, поэтому работу приходится переделывать, повторяя первый обжиг.

Результат первого обжига на модели.
Когда я работаю над фронтальной группой зубов, для проверки правильности изготовления коронок на ранних этапах я приглашаю пациентов к себе в лабораторию. Здесь мы можем посмотреть линию, проходящую по режущему краю, и оценить ее соответствие линии губы.
Можно проверить характеристики коронок в полости рта и при необходимости произвести корректировку.


Для этого я использую обычный карандаш для губ, который продается в магазине косметики. Места, мешающие посадке, хорошо видны.

На контрольной модели припасовываем коронку и проверяем краевое прилегание.

Теперь коронка одета правильно.
Второй обжиг проводим с использованием в пришеечной области модифицированного дентина. Окончательно анатомическую форму зуба восстанавливаем, используя транспарентную массу Т4 или WINDOW.

Проверяем на других коронках. Обработанные таким образом пришеечные участки также будут хорошо припасовываться в полости рта.

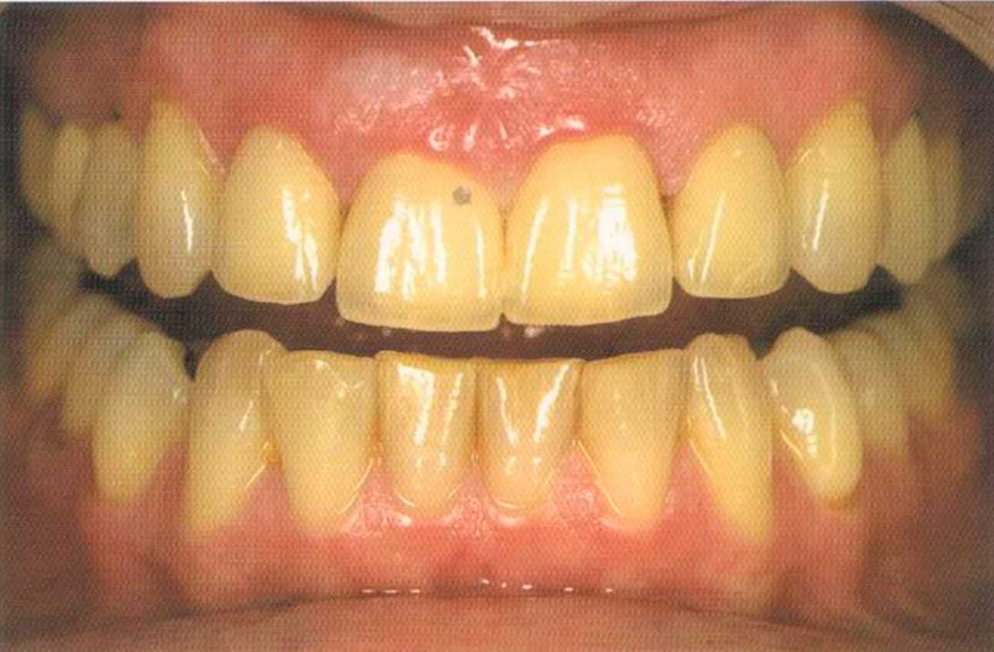
После глазурования и полировки работа примеряется в полости рта. Проверяем прикус и фонетику. Неправильная форма, а также длина зубов могут негативно влиять на правильность воспроизведения звуков пациентом. В этом случае нужна коррекция.

Десна все еще воспалена после ношения временных коронок.

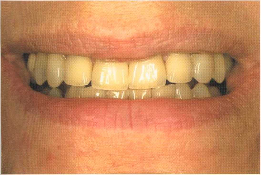
После второго обжига работу оцениваем в полости рта.

Последующую обработку и глазурование проводим так же, как было описано выше.

Для достижения желаемого результата различные варианты реставраций можно пробовать на фантомных моделях.

Великолепная гармония живых зубов нижней челюсти и искусственных коронок на верхней челюсти. Индивидуальный живой блеск, присущий естественным зубам, правильный режущий край. И этого мы добились использованием очень простой техники послойного нанесения.


На интенсивных курсах мы изучаем различные возможные варианты технологии послойного нанесения керамики — от простых до самых сложных.
План занятий появляется каждый год в расписании курсов фирмы VITA или на страничке
www.wetzler-dental.de
. *
`Примечание издательства: Планированием и организацией курсов Матиаса Вецлера в России занимается учебный центр Риком (Москва).