Керамика на неблагородном металле — особые требования



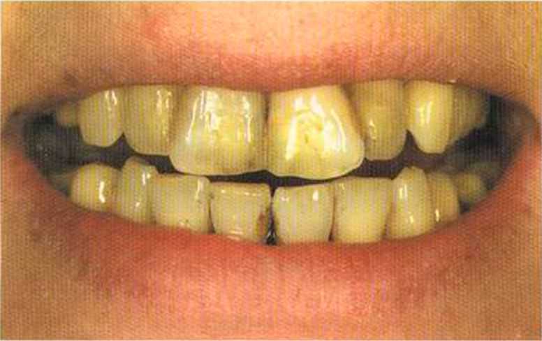
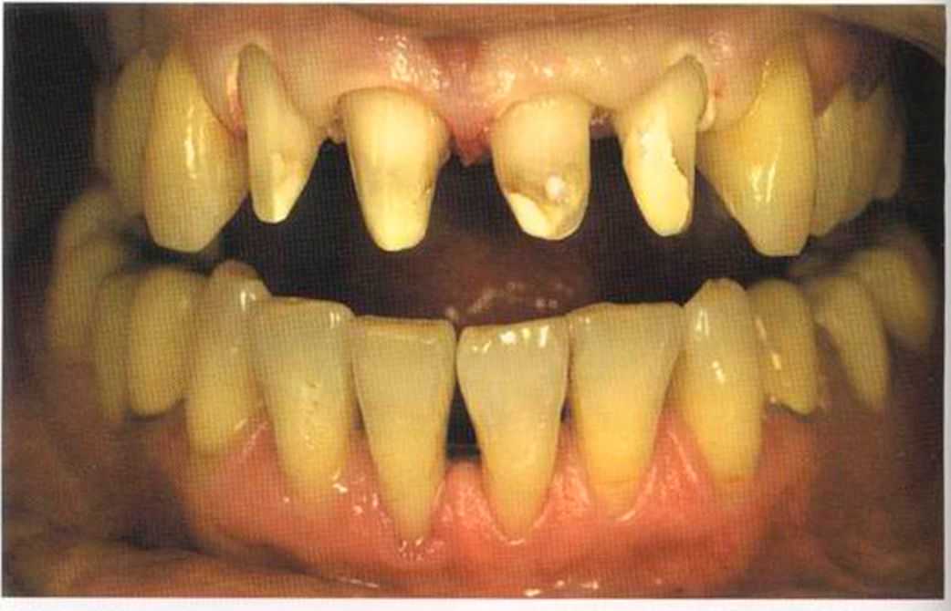
Эта пациентка пришла в нашу клинику с единственным желанием — иметь красивые зубы. Ей не нравились пломбы в области фронтальной группы зубов, которые бросались в глаза, не нравились два центральных резца, имеющих вид «крыльев бабочки ». Но проблема возникла, когда речь зашла о стоимости лечения. Сначала мы думали об изготовлении цельнокерамических конструкций или использовании сплава с высоким содержанием золота. Но это оказалось слишком дорого для пациентки. Остался еще один вариант — лечение с использованием каркаса из неблагородного сплава, которое мы здесь подробно и опишем.

При восстановлении дефектов зубов с использованием коронок и мостов мы в первую очередь предлагаем цельнокерамические коронки и лишь во вторую - металлокерамические. При этом металлокерамические работы выполняются на сплавах с высоким содержанием золота.
Бывают ситуации, как показано на следующих примерах, когда невозможно использовать оба выше названных материала из-за высокой стоимости. Я придерживаюсь мнения, что недопустимо на «дешевом» материале изготавливать плохие облицовки. Образование окисной пленки на неблагородных сплавах готовит нас к определенным, заранее известным нам трудностям при изготовлении облицовок. Но небольшие хитрости помогают справиться с этими проблемами. И керамическая работа получается не хуже, чем на сплаве с высоким содержанием золота или на безметалловом каркасе. Свою концепцию послойного нанесения керамики я представляю в одной главе.
Следующие три клинических случая от доктора Гюрпинар.



Мы видим окончательно отпрепарированные зубы. Вставлены ретракционные нитки для снятия оттиска. Для такого вида облицовок препарирование с небольшим уступом является достаточным.
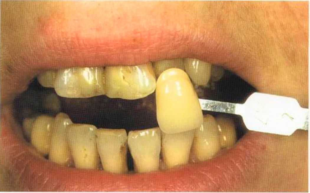
До того как мы проведем препарирование зубов, необходимо определить их цвет. В этом нам поможет уже давно оправдавшая себя на деле расцветка 3D-Master, имеющая логическое строение. С ее помощью мы всегда находим точно и быстро правильный цвет. Претензии к цвету сводятся к абсолютному минимуму.
Готовый оттиск. Есть небольшие неточности при снятии оттиска с корригирующей массой. Как видно на модели, которая показана на следующей фотографии, это не вызвало никаких проблем.

На рабочей модели — отпрепарированные зубы под металлокерамику. Небольшой уступ с небной стороны.
Штампики подготавливаем, как описано в главе «Изготовление моделей», и покрываем прозрачным лаком.
Справа и внизу: используем методику погружения в воск, оправдавшую себя на деле при изготовлении золотых колпачков. Здесь мы видим укороченные колпачки из воска ELASTODIP фирмы YETIDENTAL.

Край коронки моделируем мягким воском под микроскопом или с использованием увеличительной оптики. Можно, как в этом случае, углы культи восстановить твердым воском. Все колпачки моделируем с учетом анатомической формы зуба. Это требование часто не принимается во внимание, что ведет к проблемам, проявляющимся в виде сколов керамики. Старое правило гласит — мы должны по возможности наносить равномерный слой керамической массы.


Готовые смоделированные колпачки с литниковыми каналами имеют дополнительные депо, которые обеспечивают чистоту и гомогенность литья.

Здесь мы видим срезанные литники. Не забывайте, для литья каркасов из неблагородных сплавов мы используем более высокую концентрацию жидкости для смешивания паковочной массы, чем при работе с золотосодержащими
сплавами.


Каркасы обработаны твердосплавной фрезой с крестовой насечкой. Такая грубая обработка приводит к повышенному изнашиванию шлифовальных головок. Благоразумнее обрабатывать каркасы сепарационными дисками. Это легче и экономичнее, но коронку трудно держать в руках из-за ее повышенного нагрева.

Пескоструйную обработку неблагородных сплавов надо осуществлять в четком соответствии с инструкцией производителя (например, для Ni — Сг сплавов Giulini и Ведо давление — 4 bar, размер частиц — 250). В результате этой обработки края коронки могут стать короче, что не является недостатком, так как у нас появляется возможность закрыть темную окись без выкладывания плеча и достичь максимальной эстетики.
Я не провожу оксидного обжига. При очень чистой поверхности он необязателен. И напротив, я всегда делаю обжиг с использованием водянистого опака. Результат должен быть такой, как на фотографии, но не наносите слишком толстый слой, достаточно, чтобы появился легкий золотистый оттенок. Эта «основа» положительно повлияет на окончательный цвет зуба.
Наносим опак нужного цвета и обжигаем. Необходимо обращать внимание на равномерную толщину слоя.
При использовании неблагородных сплавов лучше пусть слой будет больше требуемого, чем недостаточным, чтобы не возникло проблемы с цветом.


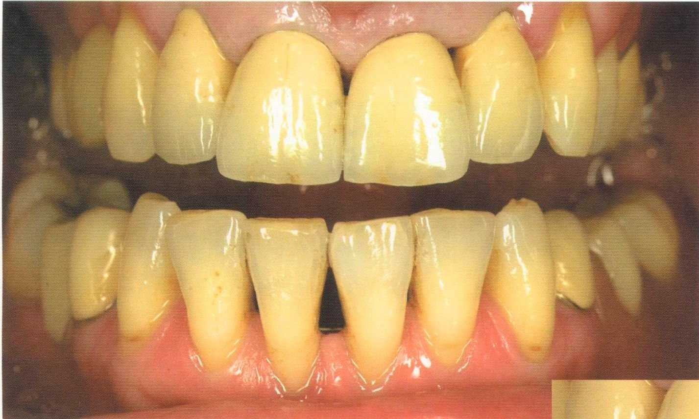
Готовые коронки на модели. Они необходимой светлоты. Мне удалось перекрыть цвет оксида металла. Отличное краевое прилегание за счет керамики. Отсутствуют эстетические недостатки.


Готовые коронки в полости рта. Керамические облицовки на каркасах из неблагородных сплавов гармонируют с остальными зубами и не бросаются в глаза. Еще раз подчеркнем насколько важно работать, используя правильную концепцию послойного нанесения. При этой комбинации материалов я действовал так же, как описано в главе «Техника послойного нанесения керамики».
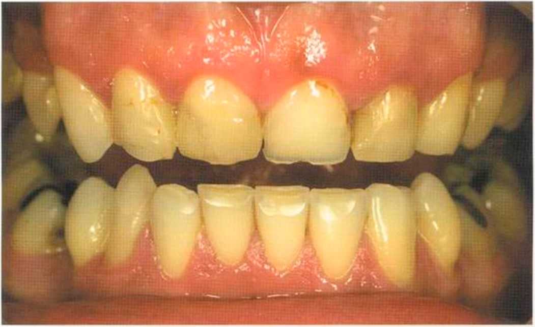
Для следующего пациента, молодого мужчины, стоимость работы на золоте оказсьась высокой. Он решился на изготовление работы на неблагородном сплаве. Все зубы верхней челюсти необходимо было покрыть коронками.

Особую сложность в этом случае составляли очень светлый цвет и гладкость естественных зубов. Это затрудняло изготовление керамической работы на неблагородном сплаве.
На рисунке показано определение цвета по системе 3D — Master фирмы VITA.
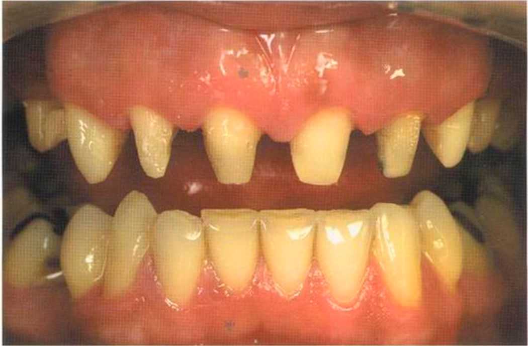
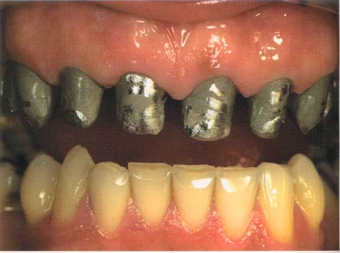
Отпрепарированные зубы до снятия слепка. Отпрепарированы небольшие уступы.

Колпачки припасовываем в полости рта.

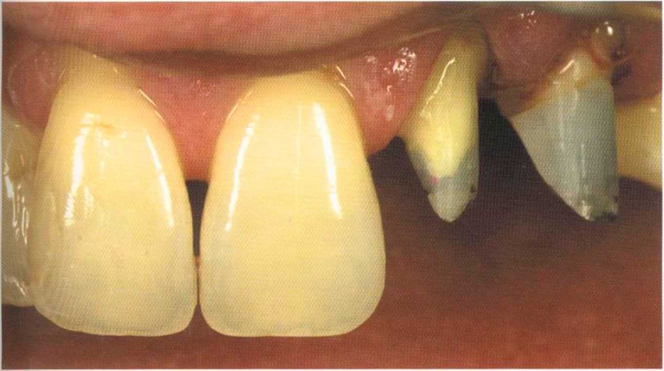
Готовые коронки (сверху и справа) зацементированы. Здесь еще раз отчетливо видно, как сложно изготовить светлые и гладкие реставрации на каркасе из неблагородного сплава.
Определили цвет по системе 3D — Master. Мы выбрали цвет 1М2 как основной. Индив идуальные особенности режущего края я доработал вместе с пациентом о моей лаборатории.

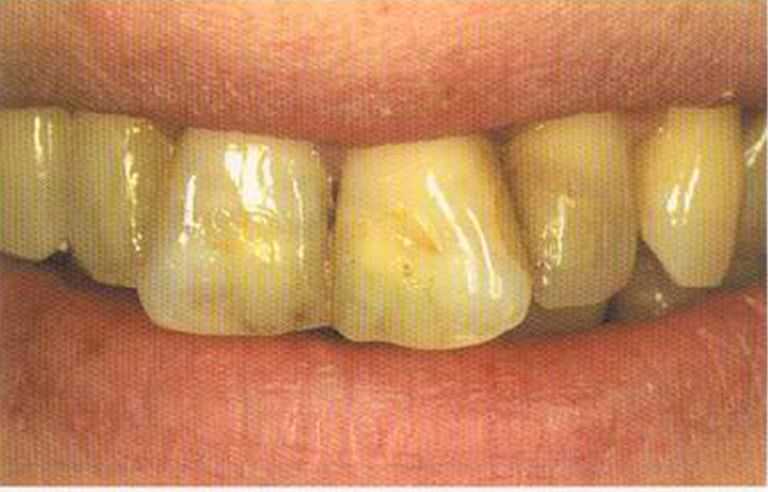
На третьем примере мы снова видим светлые и молодые зубы.
Эти коронки отлично гармонируют с естественными зубами. На этом примере отмечу, что работы, к которым предъявляются особые требования, должны проходить с участием пациента.