Металлокерамика
Металлокерамика
Металлокерамику я рассматриваю как стандартный ежедневный метод лечения. Эти работы я выполняю в своей лаборатории исключительно на сплавах с высоким содержанием золота. Я использую металлокерамику, когда по показаниям невозможно выполнить цельнокерамические коронки, или когда финансовые возможности пациента ограничены.
Omega 900 является подходящим материалом с очень хорошими характеристиками. Эта керамика имеет превосходные свойства цветопередачи, а также отлично обрабатывается.
Представлены клинические случаи.
Клинический случай 1. Отличный окончательный результат при очень сложной исходной ситуации. Работа выполнена доктором Рихтером (Билефельд).
Клинический случай 2. Лечение с использованием имплантатов, выполнено доктором Лангханке (РедаВиденбрюк).
Клинический случай 3. Цельнокерамический мост, выполненный доктором Кернером (Билефельд).



При оформлении зуботехнических работ я всегда вспоминаю о памятниках архитектуры, восстанавливая их, реставраторы всегда должны следить за тем, чтобы фасад соответствовал общему строению здания. Вот и я воспринимаю нашу работу больше как реставрационную деятельность.
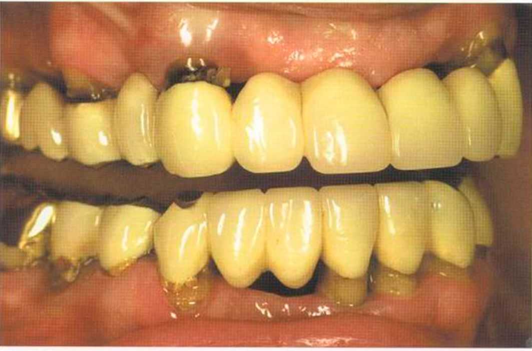
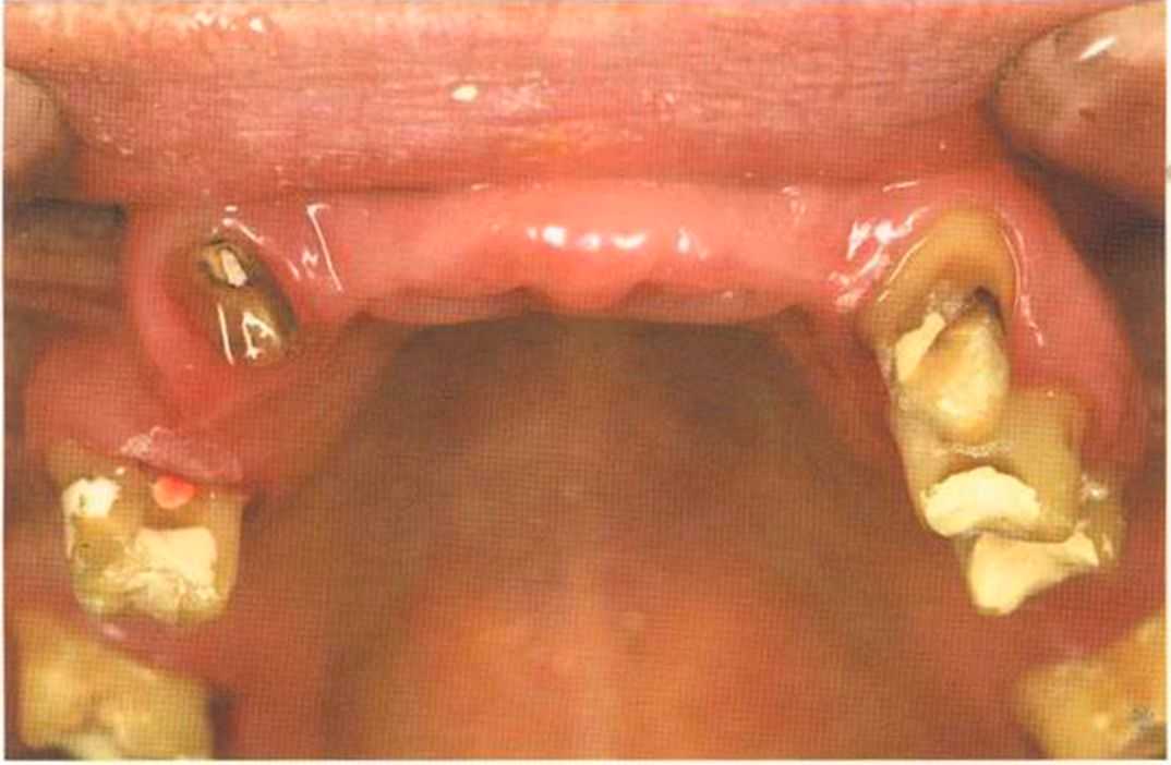
В первом клиническом случае представлена ситуация, когда пациент не был удовлетворен металлокерамической реставрацией, выполненной приблизительно 15 лет назад.
Фото слева и снизу. Сначала были сняты старые коронки.

Фото слева и снизу. Старые пломбы удалены, и культи зуба частично восстановлены цементом.




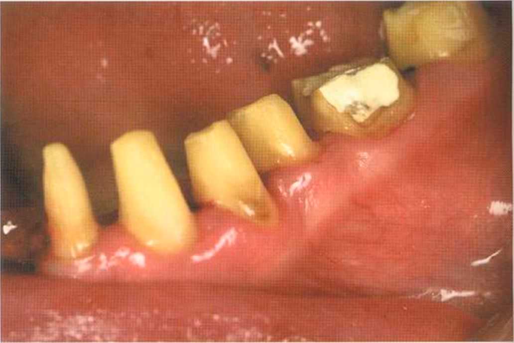
31 зуб должен быть удален.

На верхней челюсти после удаления старой конструкции видна та же картина. Все культи допрепарированы,
и поставлены новые пломбы.


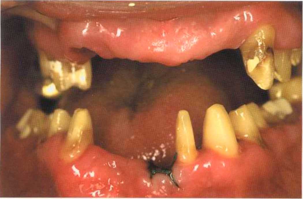
13 зуб был ранее допульпирован, но для улучшения статики будущей конструкции очень важен. По этой причине изготовлена культовая вкладка из золота.
Сначала изготавливаем временные коронки, на которых пробуем, как будет выглядеть будущая реставрация с эстетической и функциональной точки зрения.
По желанию пациента индивидуализируем постановку зубов после первой примерки.

Отпрепарированные культи зуба готовы к снятию оттиска из гидроколлоидной массы.


Для изготовления каркаса из золота я использую Elasto — Dip фирмы YET1-DENTAL. Здесь мы видим штампики, погруженные в воск.
В завершении пластмассу покрываем тонким слоем воска, чтобы в муфеле при расширении пластмасса не взаимодействовала с паковочной массой.

При примерке каркаса уже можно посмотреть, как будет располагаться промежуточная часть мостовидного протеза относительно альвеолярного гребня.



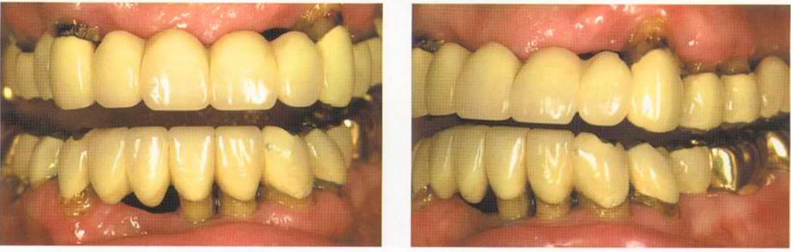
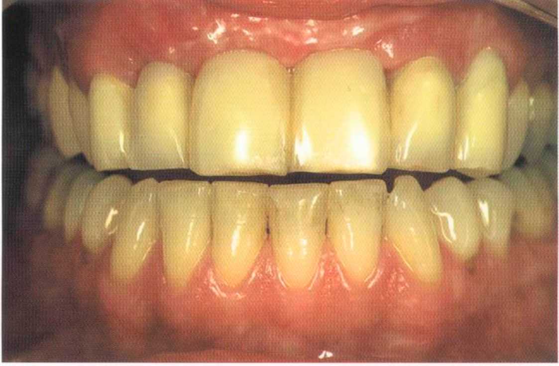
Готовая металлокерамическая работа в полости рта. Протез почти невозможно отличить от живых зубов.
С такой индивидуальной постановкой зубов пациент чувствует себя уверенно. После небольшой коррекции по окклюзии даем ему поносить протезы 14 дней и назначаем контрольный осмотр. При работе на фронтальной группе зубов необходимо обращать внимание на то, чтобы режущие края зубов верхней челюсти проходили по возможности параллельно верхнему краю нижней губы. Таким образом, мы получаем правильную линию улыбки.


Во втором клиническом случае представлены цельнокерамические коронки от 12 до 22 на имплантатах. По гигиеническим показаниям эту работу невозможно было выполнять на имплантатах. Но пациент категорически отказался от съемного протеза.


Третий клинический случай. Металлокерамический мостовидный протез от 13 до 23. На этой фотографии видны временные конструкции. Зубы с 12 по 21 удалены.



В этом случае также создается впечатление, что зубы растут из челюсти. Пациент после аварии уже не надеялся выглядеть так, как выглядел раньше. Из клиники доктора Кёрнера он ушел жизнерадостным.