После обработки Tubulitec на культях возникает белая пленка.


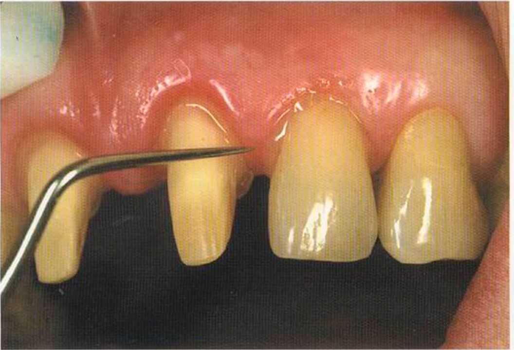
Излишки удалены.


Зафиксированные на цемент коронки в полости рта. Видны излишки цемента, которые потом легко удалить, они отскакивают, как яичная скорлупа.


Цемент замешивается на охлажденной стеклянной пластине до консистенции жидкой сметаны.

Вспомним, как все начиналось.
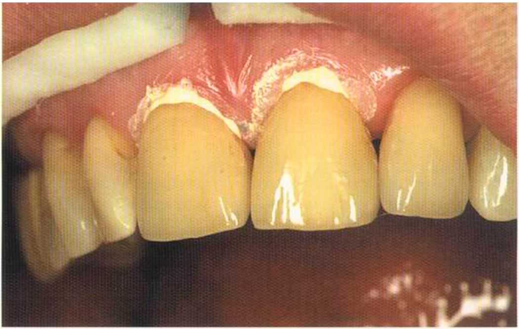
Только что зацементированные коронки. До сих пор сохранилось воспаление десневого сосочка. Уже через несколько дней он будет здоровым, бледно-розового цвета.


Окончательный результат и естественный цвет губ. Женщина была очень счастлива и довольна своим новым внешним видом. Наконец мечта осуществилась — нет больше этих щелей на видимом участке. Всей нашей команде было очень приятно видеть радость в ее глазах.
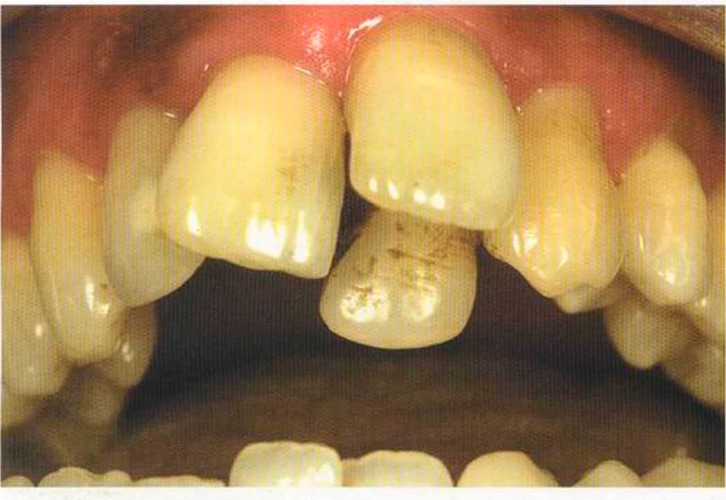
Первое лечение проходию много лет назад у другого доктора. Со временем ос те пи / ка уху дин ьась, особенно в пришеечной области. Этот пациент хотел новые коронки в области 12 и 22, по сомневсься, нас кол ько хорошо они будут выглядеть.
Фото внизу.
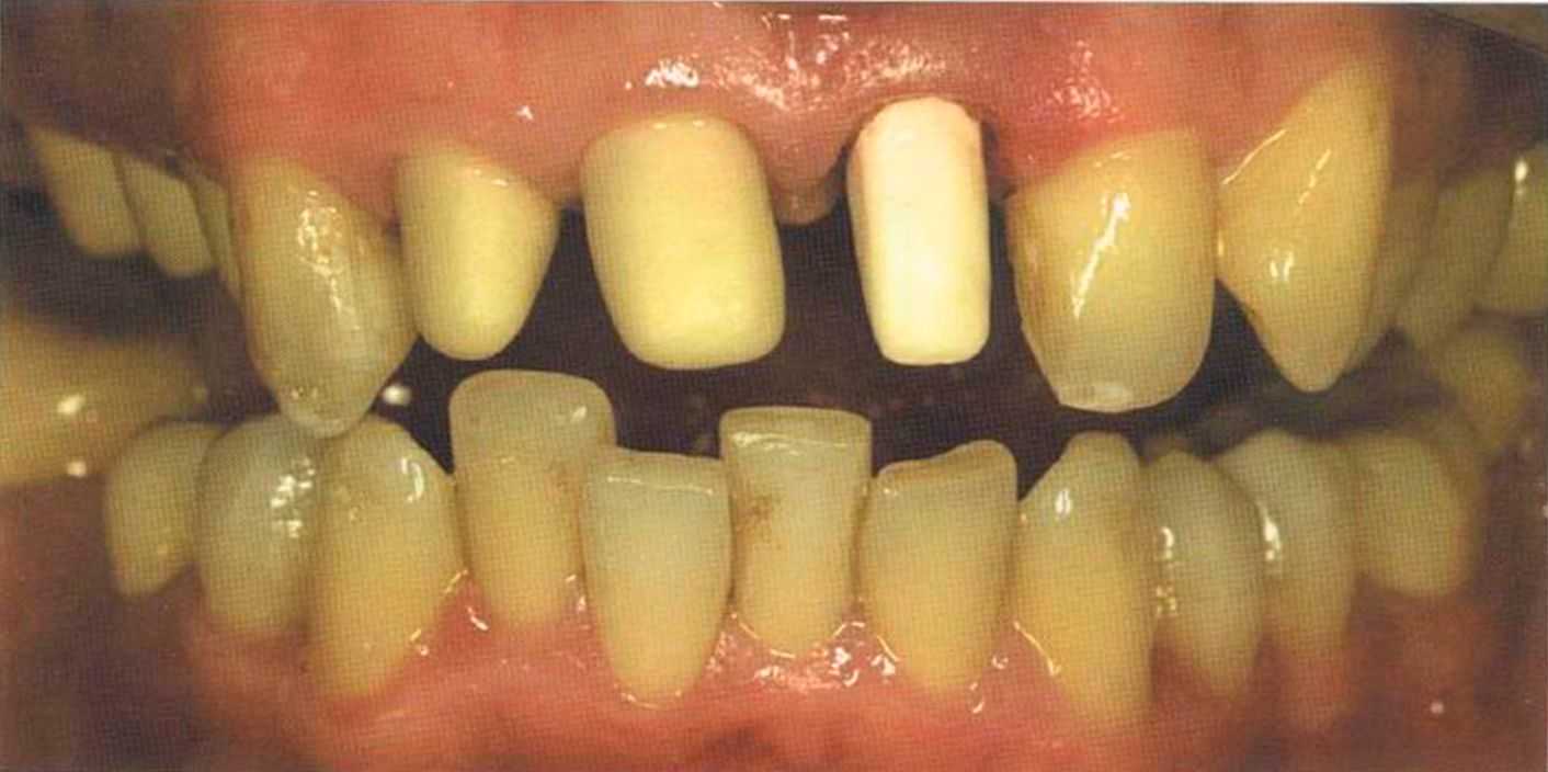
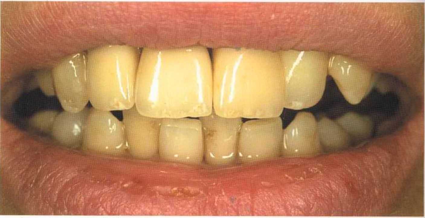
Результат с использованием In-Ceram развеял все сомнения, и решение об изготовлении коронки на другой боковой резец не заставило себя долго ждать.

После того как мы определит цвет зуба, решено быо сначсьа изготовить одну коронку.



Безметалловые реставрации также отлично подходят для пациеьипов с непереносимостью всех металлов. У этого пациента положительная аллергологическая проба даже на сплавы с высоким содержанием золота.

Так как 21 зуб депульпирован, и культя не подходит для изготовления коронки, была изготовлена культевая вкладка из Zirconia. Эта методика очень дорогая, но в данном случае были все показания для ее применения.

Го то вый результат. Зуб 21 со штифтом из Zirconia. От 12 до 21 изготовлены три отдел1>ные коронки 1п-Сегат. Все зафиксировано в полости рта на цемент Panavia ТС.

На примере большой работы я подробно объясню этапы изготовления индивидуальных штифтов из Zirconia.
Данный материал был протестирован при высокой степени аллергии.
Этот метод не признан официально фирмой Vita, и поэтому рассматривается как «экспериментальная технология». Для многих пациентов это последняя возможность провести лечение с изготовлением несъемного протеза.


После
изготовления моделей и установки в артикулятор штифты моделируем из воска аналогично методике изготовления культевых вкладок из золота. Прилитые воском депо имеют в этом случае особое значение.
Первые сложности возникают уже при препарировании. Корневые каналы должны быть расширены максимально, в противном случае изготовление штифтов невозможно. При этом стенки корней не должны быть слишком тонкими, иначе они могут поломаться при цементировании или в последующем при жевательных нагрузках.


Для изготовления индивидуальной литейной формы, которая в данном случае должна состоять из двух частей, отливаемые объекты приклеиваем воском на восковую пластинку.
Используем соответствующий дублирующий материал фирмы Vita. Две половины, снабженные «ключом», заполняем жидким Zirconia по отдельности, затем соединяем. Соединенные половины на одну минуту ставим на вибратор для оптимального смешивания материала.

После застывания Zirconia обе половины осторожно отделяем.

Это тот этап, с которого я могу все начать сначала. Канал для литья, а также депо, служат резервуаром для Zirconia, который при затвердевании дает заметную усадку.

После синтеризации делаем стеклоинфильтрационный обжиг. Здесь действуем, как при работе с каркасами мостовидных протезов. Очень важно, чтобы объекты были хорошо проинфильтрировапы. От этого зависит их стабильность.

Все еще очень мягкие, но стабильные объекты выкладываем на трегер для синтеризационного обжига, который проводим так же, как для коронок и мостовидных протезов.

Теперь штифт окончательно отпрепарирован. Можно снимать оттиск. В этом случае мы изготовим цельнокерамический мостовидный протез из Zirconia.

Штифт на 14 зафиксирован на цемент Panavia ТС.
Соотношение размеров готовых вкладок и спички. Они маленькие, но требуют много работы и могут быть очень полезны пациенту.


Вкладки все еще выглядят очень грубо. После фиксации в полости рта их надо препарировать.

Этому пациенту были изготовлены керамические вкладки в области боковой группы зубов и коронки 1п-Сегат. Перед лечением удалены старые пломбы из амальгамы, снят размягченный дентин.

Сначала зубы, на которые будут изготовлены керамические вкладки, были отпрепарированы и подготовлены под коронки 1п-Сегат.

Матиас Вецлер сконцентрирован на работе.
Хороший контакт с доктором начинается с помощницы в регистратуре. Это очень важное связующее звено между лабораторией и клиникой. Я знаю Элке с 1994 года. Мы четко наладили работу по предварительной записи. Так как я — «воин-одиночка», необходимо тщательно планировать все заказы и беседы с новыми пациентами по времени.

Уже готовая рабочая модель с огнеупорными штампиками 14 и 24 из VITADUR-Vest. На них очень просто наносим слоями керамические массы и обжигаем. По сравнению с прессованными керамическими вкладками, послойно нанесенные выглядят всегда естественнее, даже когда в полости рта необходимо провести пришлифовывание. При использовании различных масс — дентина, эмали или транспарента - реставрация получается похожей на живой зуб. Штампики под коронки In-Ceram перед дублированием покрываем тонким слоем воска.
Коронки 15 и 16, также как 25 и 26, должны быть заблокированы.

Для рациональной работы в своей лаборатории я использую две печи Inceramat.` В одной я провожу синтеризационный обжиг, а во второй — стеклоинфильтрационпый.
`Примечание издательства. С 2002 года Матиас Вецлер с успехом использует систему CEREC inLab.

Шликер наносим очень тщательно. Затем осторожно освобождаем границу препарирования. Так как штампики при синтеризационном обжиге дают усадку, их нужно разделить, даже если коронки соединены. Материал для культей при обжиге коронок все равно разрушается.


Каркасы из шликера отправляются в печь для обжига.
Готовый к облицовке каркас In-Сегат па рабочей модели Zeiser. Керамические вкладки уже готовы, но они все еще находятся на огнеупорных штампиках до полного изготовления коронок. В заключение вкладки пескоструим и припасовываем на гипсовых штампиках.



Доктор Лангханке фиксирует вкладки.

Присутствие техника, выполнившего работу, при фиксации коронок в полости рта — хорошее подспорье для доктора. Сведения о проблемах или трудностях, которые возникли и были решены при изготовлении реставрации (например, путь введения), являются полезной и важной информацией для врача.

Часто забывают упомянуть о важности работы ассистента. Но если была допущена ошибка при подготовке керамической вкладки, всё придется делать сначала.
Только что зацементированная работа в полости рта. Цементирование керамических вкладок осуществлено на цемент двойного отверждения Vivadent, а коронок ln-Сегат на Panavia ТС.

Здесь были установлены керамические, послойно нанесенные вкладки. Они выглядят более живыми по сравнению с прессованными.

Оформление комнат лаборатории самим Матиасом Вецлером дает ощущение газового света и благополучия.



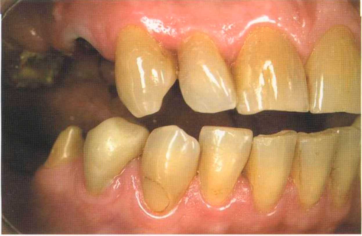
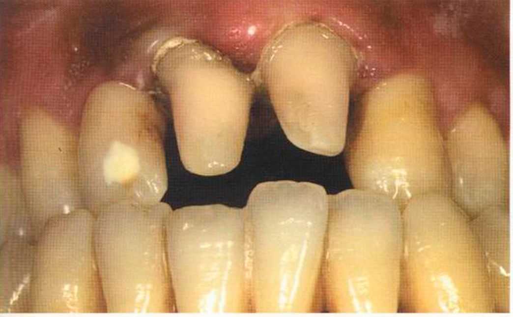
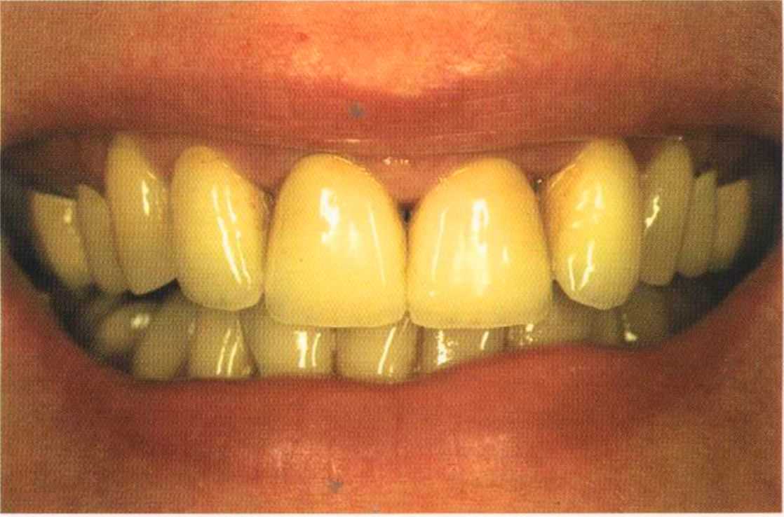
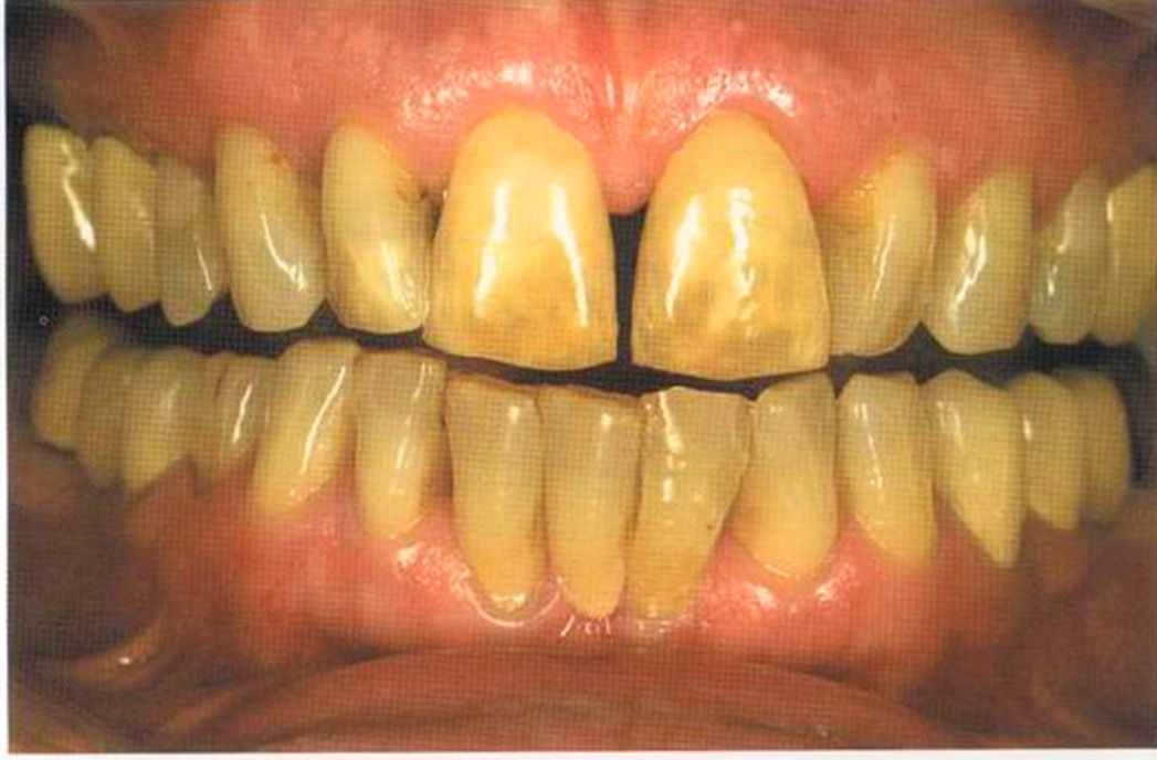
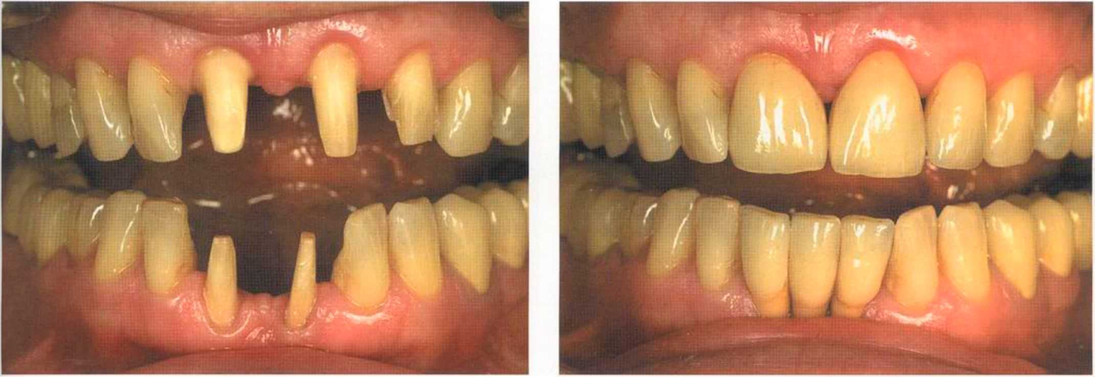
Этот пациент — португалец. Он всю жизнь имел такое положение зубов. Небнорасположенный боковой резец теперь необходимо удалить, а затем воссоздать как эстетику, так и функцию в области фронтальной группы зубов. Планируется изготовить коронки In-Ceram в области 11 и 21 и соединить их вместе из-за увеличивающейся подвижности зубов.

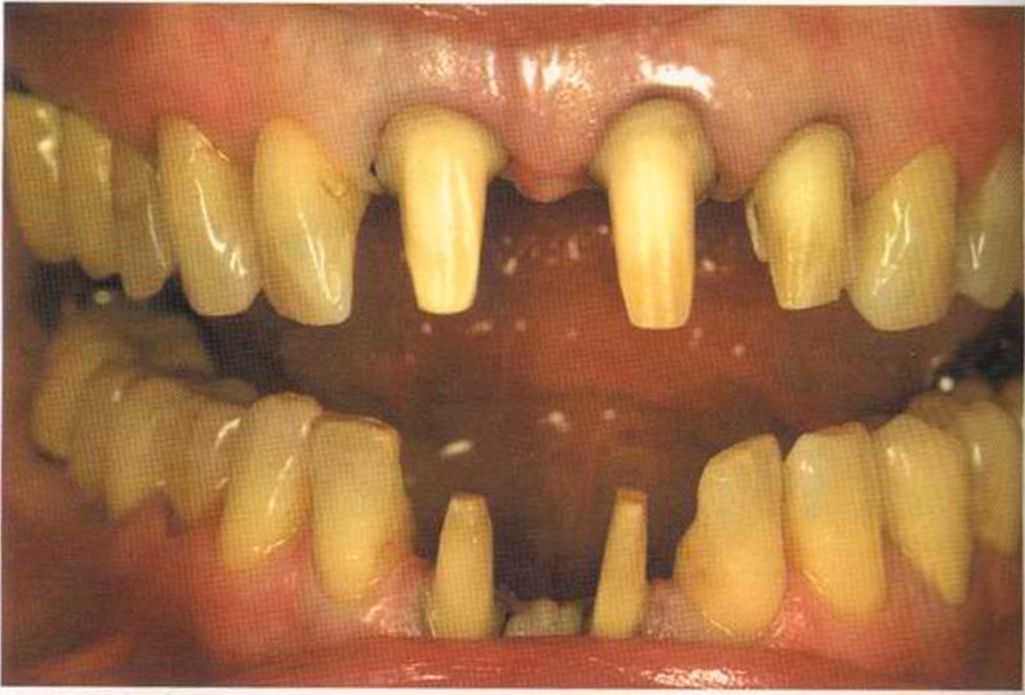
Препарирование, проводимое доктором Риссе, оценивается как очень сложное. Режущие края центральных резцов сильно дивергируют, что создает неудобство при формировании хорошего уступа.



Из-за сильной протрузии центральных резцов на них всегда падает итого света, и они кажутся очень большими. Чтобы смягчить этот эффект, мы выбрали более темный цвет для реставрации.

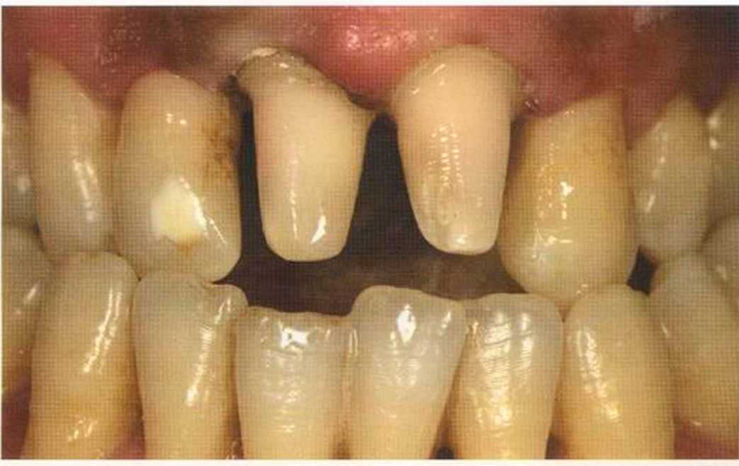
Фото сверху и слева: отличный результат препарирования зубов с уже уложенными нитями для снятия оттиска.

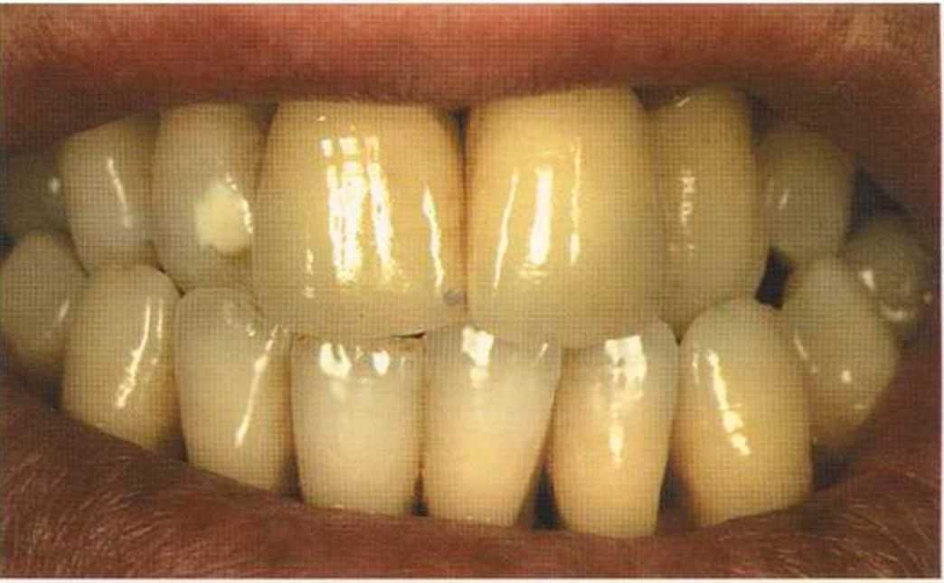
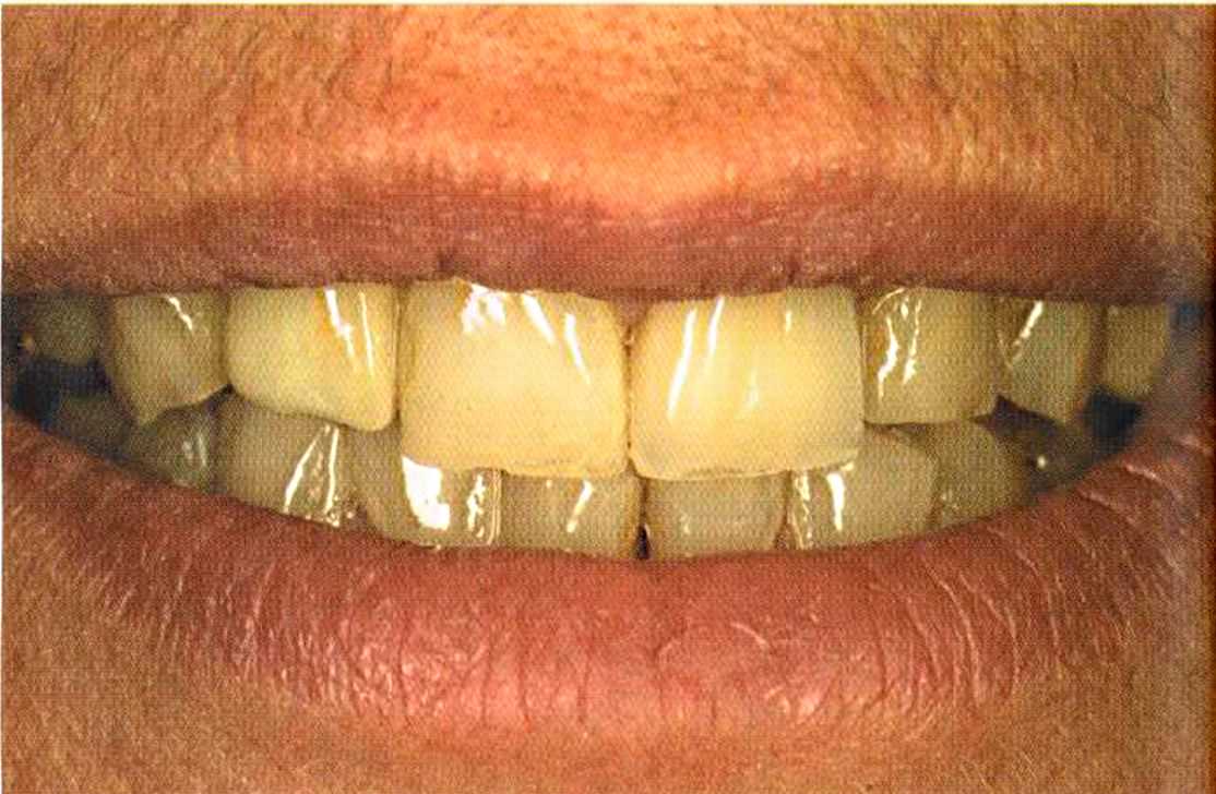
Готовая работа привела в восторг нашего пациента. Он даже не мог себе представить, что соединенные вместе коронки могут выглядеть так естественно. Мы решили не копировать на реставрацию белое пятно, имеющееся на 12 зубе.
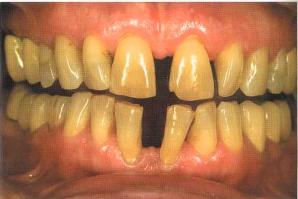
Эта женщина пришла в клинику доктора Лангханке с металлокерамической реставрацией.

Ей не нравились типичные в таких случаях темные края коронок и опаковость керамики.

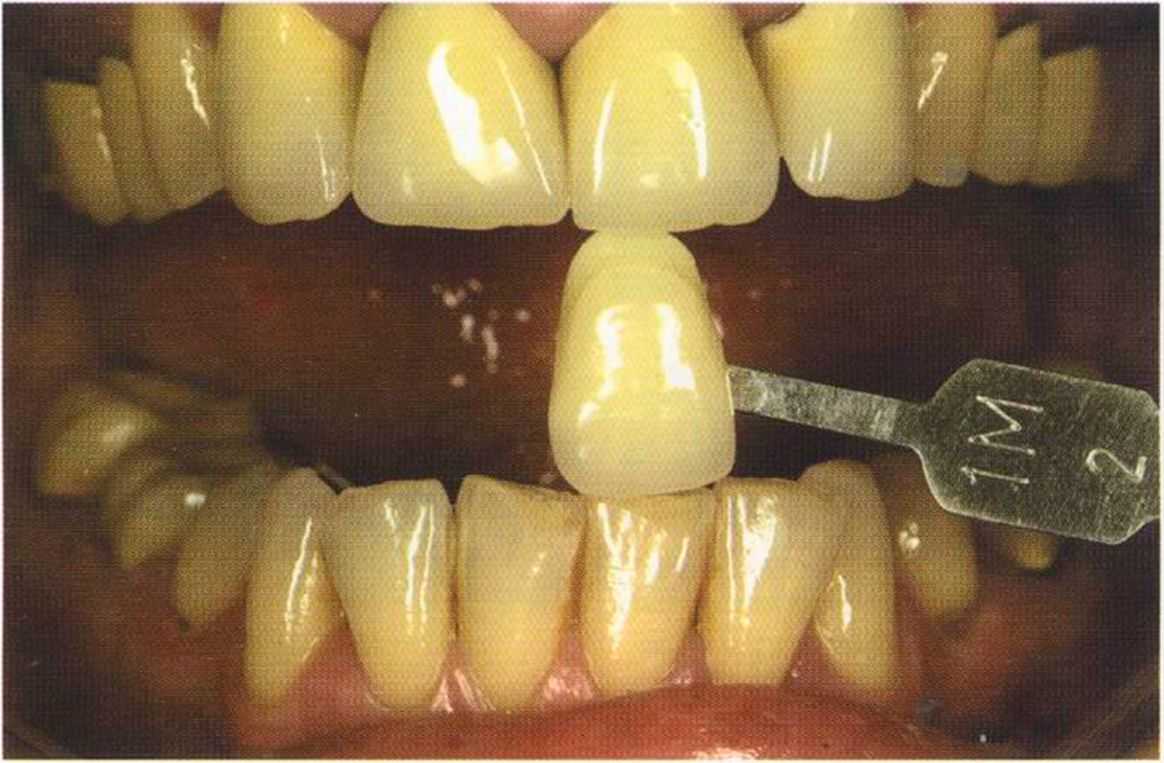
Цвет 1М1 до 1М2 основной цвет в данном случае.


Часто эти валики можно увидеть лишь под определегшым углом. Важно осмотреть работу со всех сторон. Поворот и наклон зуба затрудняют соблюдение и контроль этого
«правила отражения валиков».

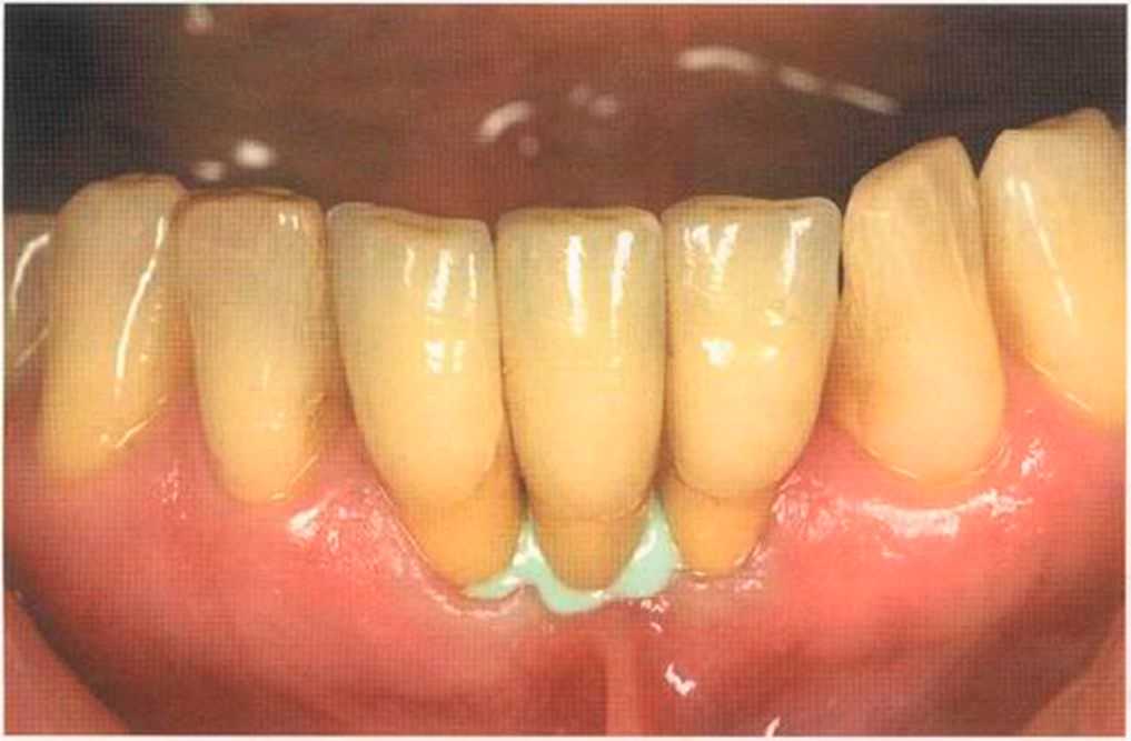
Отмечаем, что десна здоровая. Она гармонирует с коронкой ln-Сегат за счет отличных свойств материала
и отличного краевого прилегания.
«Когда человек знает, что все возможно, он всегда хочет
большего!»
Теперь коронки в области боковой группы зубов не нравятся, и в скором времени их тоже будем переделывать.
Коронки выполнялись в моей лаборатории вместе с пациентом. Мы работали долгих четыре часа, чтобы всем понравился результат. Обратите внимание на отражение света по краевым валикам. Мезиальные валики коронки 12 зуба гармонично переходят в дистальные валики 42 зуба. В идеальном варианте «отражающиеся валики» должны проходить по прямой линии. Это привило для всех мезиальных и дистальных валиков фронтальной группы зубов. Оно имеет очень важное значение и влияет на результат нашей работы.

Эти валики проходят перемещаясь, однако по одной линии. Примером здесь являются мезиальные поверхности на коронке 11 и на 31.

Еще один клинический случай с использованием In-Ceram на 21 и 22. Лечащий врач Демонд был доволен естественным видом зубов. «Белая эстетика» прекрасно гармонирует с «красной эстетикой».


Работа выполнена вместе с доктором Кватчем. Коронка из In-Ceram на 21 не видна. Здесь выражение «Невидимый протез» имеет буквальный смысл.
Увеличение коронки In-Ceram в области 21 показывает, как сделанные с небной стороны пазы на режущем крае воспроизводят транспарентный эффект. Образцом служил 11 зуб.


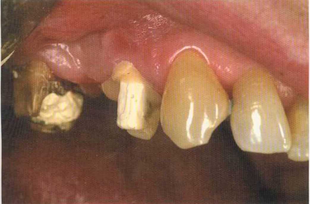
Отпрепарировать зуб по всем требованиям для врача не составляет проблем. Коронка на имплантате в области 12 в скором времени будет заменена на коронку In-Ceram.






























