|
Положение и диффузия цветов естественных зубов в сфере цветового пространства показаны на рис. 72 а. Цветовое пространство оттенков зубов имеет форму банана. Область преобладающих тонов вытянута вдоль желто-оранжевой оси. Область светлоты натуральных зубов расположена в верхней трети ахроматической оси — ближе к белому полюсу (рис. 72 б).
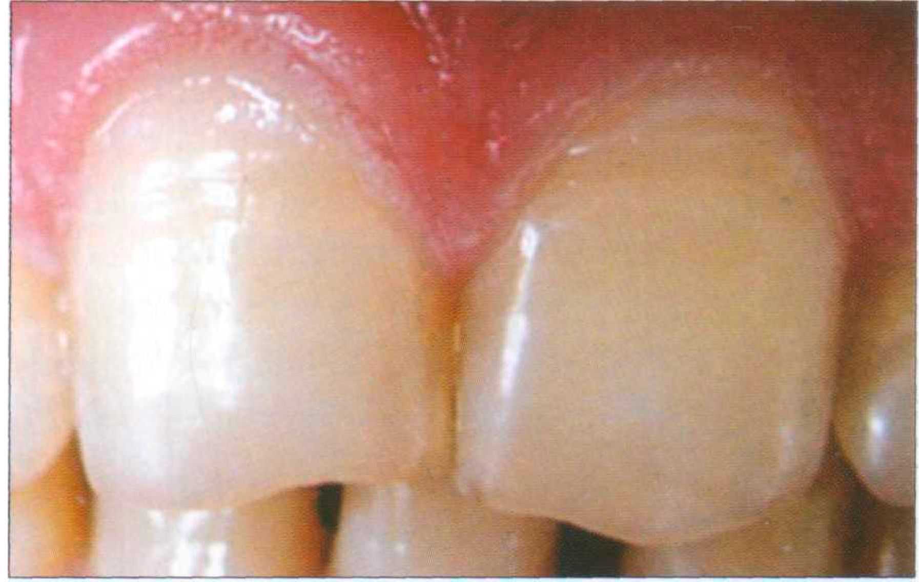
Максимальное отражение всех цветных лучей поверхностью эмали обусловливает белый цвет. Кроме того, обладая склонностью к внутреннему рассеиванию света, эмаль придает голубые оттенки цветовой гамме. Цвет дентина можно оценить благодаря светопроницаемости эмали. От толщины эмалевого слоя зависит степень преломления и отражения падающего света лежащим глубже дентином. Область режущего края не имеет дентина, поэтому кажется прозрачнее. Срединная часть зуба чаще содержит основную массу желтоватого дентина, который и определяет цвет зуба в целом. Однако этот оттенок средней части может отличаться преобладанием не только желтого, но оранжевого, голубого, серого или белого тонов (рис. 73).
Пришеечный участок зуба имеет слой эмали тоньше, поэтому цвет лежащего под ней дентина выражен более четко, проявляя множество цветовых оттенков от оранжевого до коричневого. Небольшая часть органических веществ и воды, имеющих иные оптические свойства, чем кристаллические неорганические компоненты, вызывают внутреннее рассеивание падающего света. Отсюда свойство зубов опалесцировать. Благодаря свойству эмали частично пропускать, а частично рассеивать свет, к цвету зуба примешивается видимость объема. Опаковость придает глубину восприятия. С возрастом цвет зуба меняется, однако оттенок может оставаться прежним, увеличивается его насыщенность, и снижается светлота. Зрелые зубы соответствуют в расцветке VITA группам А и С. Интенсивность высокая АЗО-35, С20-40. Возрастные характеристики оптических свойств зуба в совокупности можно представить следующим образом. «Молодой» зуб своей поверхностью отражает больше света, чем зрелый, обладая при этом высокой рассеивающей способностью. Его дентин содержит меньше пигментов. В результате в спектре отражения превалирует белый цвет (рис. 74).
Для «зрелого» зуба характерна сниженная рассеивающая способность эмали и одновременно имеет место повышение избирательного отражения дентина, что и придает зубу присущий ему оттенок (рис. 75).
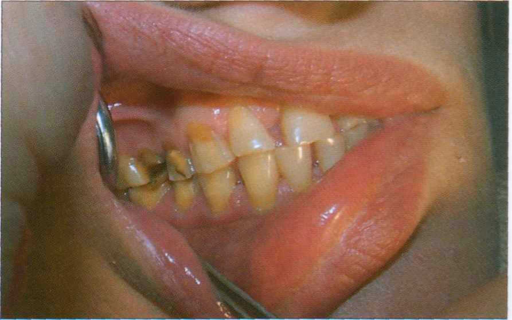
Возрастные изменения оптических свойств зуба, а именно снижение белизны, повышение блеска, изменение цвета, связаны с возрастными преобразованиями структур эмали, дентина, пульпы. Уменьшение промежутков между кристаллическими структурами, количества зубной жидкости и органического компонента эмали приводит к повышению однородности эмали. В результате ослабляется эффект рассеивания света, а соответственно снижается голубизна и опалесценция эмали. Важнейшее значение в изменении оптических свойств имеют преобразования, происходящие на поверхности зуба. Физиологическое стирание зубов формирует индивидуальные формы режущего края. Обнажившийся слой дентина придает ему темный желтоватый, коричневатый оттенок (рис. 76).
Когда преимущественно стирается небная поверхность, истонченная вестибулярная стенка у режущего края выглядит прозрачной (рис. 77). Причиной возрастного потемнения тканей может стать убыль эмали, связанная с истончением прозрачных, голубоватых поверхностных слоев в процессе жизнедеятельности.
Отмечается истирание эмали жесткой пищей, зубной щеткой, пастой, воздействие реактивными средами полости рта, особенно кислотами. Начинает просвечиваться, а затем обнажаться дентин, имеющий желтоватый или коричневый оттенок (рис. 78).
Кроме того, в результате функциональной нагрузки, физиологического стирания, одонтобласты секретируют дентинный матрикс в направлении пульпы, что приводит к образованию заместительного дентина (рис. 79).
Параллельно просветы дентинных трубочек закрываются минеральными компонентами, образуя склерозированный дентин. Цвет склерозированного и вторичного дентина желто-коричневый или прозрачно-серый, что делает стареющие зубы темнее или более серыми, в первую очередь на участках высокой стираемости, особенно по режущему краю. Потемнение усиливают пигменты, легко проникающие в обнаженный дентин. Появление коричневой окраски обусловлено также наличием микропор в интактной эмали. Заполненные ликвором, они обеспечивают высокую проницаемость для пигментов, содержащихся в ротовой жидкости. Изменение оптических свойств отдельных зубов наиболее часто отмечается в результате кариозного процесса, девитализации или некроза пульпы. Системные нарушения цвета могут быть связаны с эндогенными или экзогенными воздействиями на различных стадиях формирования или функционирования зуба. |
ЦВЕТОВЫЕ ХАРАКТЕРИСТИКИ И ВОЗРАСТНЫЕ ИЗМЕНЕНИЯ ЦВЕТА ЗУБА
ЦВЕТОВЫЕ ХАРАКТЕРИСТИКИ И ВОЗРАСТНЫЕ ИЗМЕНЕНИЯ ЦВЕТА ЗУБА Сочетание оптических свойств эмали, дентина и пульпы характеризуют эстетические параметры зуба в целом. Так, изучение отражающей способности интактных зубов показало, что коэффициент диффузного отражения света R от их поверхности колеблется от 12 до 17% в коротковолновой части спектра и от 18 до 28% в длинноволновой. Коэффициент диффузного отражения лучей поверхностью зуба ниже, чем отражение поверхностью шлифа эмали. Это связано с естественной (шероховатой) поверхностью зуба. При этом показатель молодых зубов на 6-10% выше, чем зрелых. Снижение с возрастом диффузного отражения объясняется изменениями состава и структуры твердых тканей зуба. Включение пигментов повышает избирательное отражение цветовых лучей. Поток рассеянного излучения от поверхности интактных незрелых зубов значительно выше, чем от поверхности минерализованных зубов. При величине угла регистрации излучения 60° интенсивность рассеянного излучения составляет 0,8 для молодого и 0,4 для зрелого зуба. Эти значения близки к показателям эталонов эмалевых и опаковых цветов фотополимера. Светопропускающая способность зуба зависит от длины волны проходящего света. В спектре пропускания пучка света молодым зубом присутствуют лучи всех длин волн. Для зрелого зуба в коротковолновой части спектра (400 нм) коэффициент пропускания снижен до минимума, т.е. минерализованные и пигментированные ткани пропускают меньше «голубых» волн. Низкая светопроницаемость зуба, особенно для коротких волн, характеризует избирательное поглощение цветовых лучей. Светопроводимость молодых зубов по показателям коэффициента диффузного поглощения Т(%) совпадают с эталонами композиционных материалов А10, А20, АЗО. Светопроницаемость зрелых аналогична фотополимерам — А35, С20, С40. Собственный, или предметный, цвет зуба, таким образом, формируется лучами, отра женными эмалью, ЭДС, различными слоями дентина, пульпой, что затрудняет интерпретацию результатов исследования оптических свойств. С другой стороны, становится понятной сложная игра оттенков зуба, которая нередко встречается в клинике (рис. 71). Качественными характеристиками цвета зуба являются тон, светлота, насыщенность.
Воспринимаемые визуально тона, или оттенки, можно охарактеризовать как белые, желтые, серые, голубые, коричневые. По светлоте тона различаются следующим образом: желтые — варьируют; серый, голубой бывают светлыми; коричневые — очень светлыми. По насыщенности можно выделить следующие градации: желтые тона — варьируют; для серых, голубых характерна низкая насыщенность, для коричневых оттенков — очень низкая. |









