|
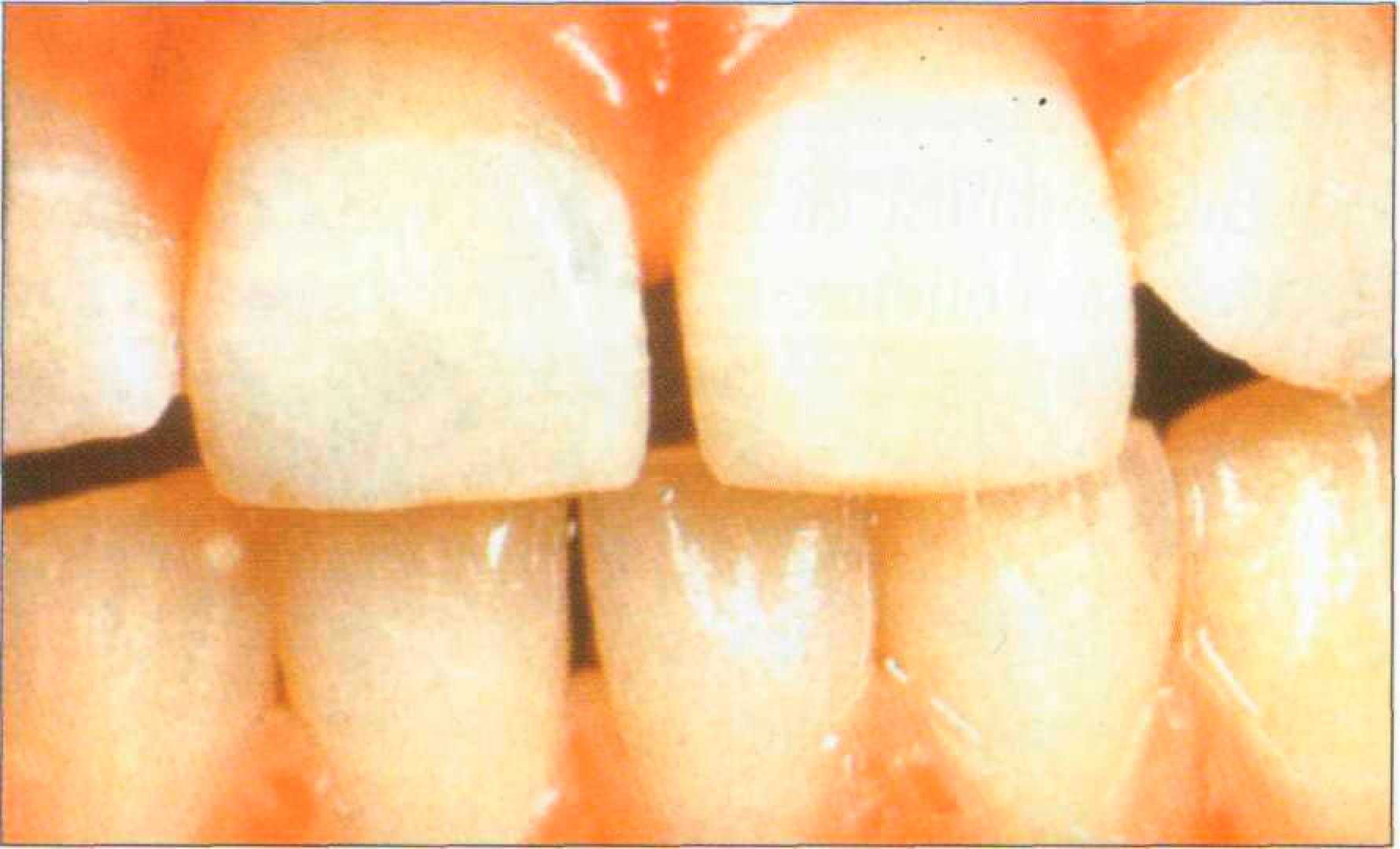
Положение зуба в дуге может сущест венно влиять на его освещенность, а значит и оптическое восприятие. Зуб будет казаться более темным, если он расположен орально, или светлым, ярким при вестибулярной позиции (рис. 110).
Рис. 110. Тени, связанные с положением зубов.
Лежачее положение пациента в кресле дуге: ярко освещен 11 зуб, расположенный вестибулярно приведет к изменению, по отношению к обычному, угла падения и отражения лучей, что может сказаться на освещенности поверхностей зуба. Темнее будет казаться основная область коронки; очень светлым — режущий край (рис. 111).
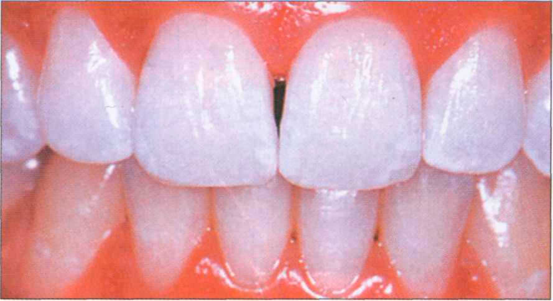
Общий цветовой фон в комнате (кабинете) формируется совокупностью не только естественного и искусственного света, но также лучей, отраженных от стен, штор и других объектов, что окажет воздействие на восприятие цветовых параметров зуба (рис. 112 а, б).
Причем, подобное влияние может быть настолько существенным, что при выборе эталонов допускаются ошибки не только по светлоте, но и тону. Кроме того, на восприятие оттенков зуба оказывает воздействие спектральный состав лучей конкретного источника. Чем ниже температура источника света (лампы накаливания), тем интенсивнее желтые, оранжевые, красные лучи. Зубы с совпадающей окраской становятся более насыщенными. Изменение восприятия цвета в зависимости от природы источника света и состава красителей — метамеризм — в данном случае заключается в обнаружении различий цвета конструкции и зуба при изменении источника освещения (в стоматологическом кабинете они выглядели одинаково) (рис. 113).
Подобный феномен связан с тем, что пигментный состав дентина и композита разнятся, при изменении освещения начинают отличаться спектры отраженного света, следовательно, пломба выделяется на фоне зуба. Существенное влияние на восприятие цвета зуба оказывает уровень освещенности. Зуб будет казаться бледным (обесцвеченным) как при высокой, так и при недостаточной освещенности. Цвет зуба, тем более нюансы (тончайшие оттенки и градации по насыщенности или светлоте) не различаются (рис. 114 а, б).
|
ВЛИЯНИЕ ОСВЕЩЕННОСТИ И ФОНА НА ОПРЕДЕЛЯЕМЫЙ ЦВЕТ ЗУБА.РОЛЬ ОСВЕЩЕННОСТИ
ВЛИЯНИЕ ОСВЕЩЕННОСТИ И ФОНА НА ОПРЕДЕЛЯЕМЫЙ ЦВЕТ ЗУБА РОЛЬ ОСВЕЩЕННОСТИ Одним из факторов, влияющих на субъективное восприятие цвета зуба, является освещенность. Цвет зуба может измениться под воздействием силы и спектрального состава света, характера освещения, а также расположения источника света и направления лучей. Так, в лучах естественного солнечного света, идущих практически параллельно и равномерно освещающих поверхность, воспринимаемая картина оптических характеристик зуба будет наиболее объективной (рис. 109).
Искусственные источники света, особенно близко расположенные, вызывают яркое освещение выпуклой вестибулярной поверхности. Макрорельеф зуба способствует тому, что свет, направленный на поверхность, распределяется . неравномерно, образуя светотени. Самый яркий участок, отражающий наибольшее количество света, создает блик (участок белого цвета). На поверхности, освещенной косым, скользящим пучком света, образуется полутень. На самом темном участке располагается собственная тень. |







