|
Стены, пол и потолок должны иметь преимущественно серую окраску: самый светлый (возможно, белый) потолок и наиболее темный — пол. Обивка стоматологического кресла желательна также нейтрально-серая. На стенах не должно быть ярких цветных изображений. Стеклянные медицинские шкафы, содержащие упаковки с материалами размещаются вне поля зрения работающей бригады (врач-ассистент). Нежелательна цветная форменная одежда (голубая, зеленая и т.д.) Следующим важным моментом является освещение кабинета и рабочего места (рис. 121 а, б).
Наиболее благоприятным является естественный свет из окна, обращенного на север, желательно в сторону водоема, поверхность которого рассеивает лучи. Причем наиболее высокой остротой зрительного восприятия характеризуется период с 11 до 14 часов. Искусственные источники освещения — флюоресцентные лампы дневного света — должны иметь показатель цветопередачи (CRI) более 90. Существенное значение имеет количество света, падающего на исследуемые зубы (рис. 122).
Уровень освещенности не должен превышать 1 500-2 400 лк (флюоресцентные лампы дневного света обеспечивают постоянное качественное освещение). В рабочей комнате не должно быть посторонних звуков, тем более, шумов, вспышек света, пыли, температурного дискомфорта, которые могут повлиять на эффективность эстетического лечения. Следующим шагом в объективизации выбора оттенков цвета является непосредственная организация рабочего места. Необходимо «задрапировать» яркие цвета одежды у пациента, используя для этого светло-серые салфетки (рис. 123).
У женщин снять яркую губную помаду (рис. 124).
Медицинской бригаде следует избегать использования цветного лака для ногтей или цветных перчаток (рис. 125).
При определении цвета необходимо привлекать женщин-ассистенток. Возраст их не должен превышать 30—35 лет, поскольку процессы естественного старения хрусталика глаза сопровождаются снижением остроты зрительного восприятия. Нежелательно определение цвета в конце рабочего дня, когда глаза устали. При оценке цветов периодически глазам необходимо отдохнуть на нейтральном фоне, например, созерцанием пейзажа за окном (лужайки, голубого неба). Наличие аспекта «субъективного» в восприятии обусловливает участие в оценке качеств объекта обследования не менее трех наблюдателей и принятие во внимание не менее двух совпадений мнений. Выбор оттенка цвета эмали производится врачом-стоматологом с обязательным участием ассистента и привлечением администратора и самого пациента. Калибровка по определению индивидуального видения цвета заключается в том, чтобы определить, насколько индивидуальное видение цвета соответствует объективной реальности. Для этого берутся 2 абсолютно идентичные расцветки зубов (например, VITA), одна из которых разбирается на составляющие ее элементы, а вторая остается нетронутой. Цифровые и буквенные обозначения на разобранных эталонах заклеиваются лейкопластырем. Необходимо определить соответствие каждого зуба из разобранной расцветки зубу-образцу эталонной шкалы и обозначить их на лейкопластыре. Процесс производится по всем правилам определения цвета зубов «in vivo», занимает немного времени и является хорошей тренировкой для всей бригады, участвующей в определении цвета (врач, ассистент, зубной техник). До проведения выбора оттенков осуществляется калибровка врача и ассистента на предмет колориметрии таких параметров цвета эмали как тон , насыщенность и светлота или интенсивность. Для этого два исследователя независимо друг от друга оценивают по шкале VITA окраску эмали до тех пор, пока начнут совпадать 90% показателей. Если в условиях клиники мнение врача и его помощника будут расходиться, то консенсус достигается привлечением третьего специалиста. При расхождении мнений более правильным считается цвет, который назвали 2 человека из 3, сравнивая исследуемые зубы и образец. Участие пациента в оценке цвета нередко следует рассматривать лишь как психологический момент: целый ряд случаев не будет объективным по различным причинам (например, недостаточный уровень эстетического восприятия, излишняя или неадекватная требовательность). Объективность результата повышается, если производится фотографирование на цветочувствительную пленку, лучше — слайд. Контроль воздействий осуществляется при помощи фотографирования цифровым фотоаппаратом на 35-миллиметровую цветочувствительную пленку при каждом посещении пациента. Причем, необходимо помнить, что изображение цвета в значительной степени зависит от свойств аппаратуры и материалов.`Квалифицированно выполненные фотоснимки фронтальных зубов помогают в изучении многообразия цвета естественных зубов (рис. 126).
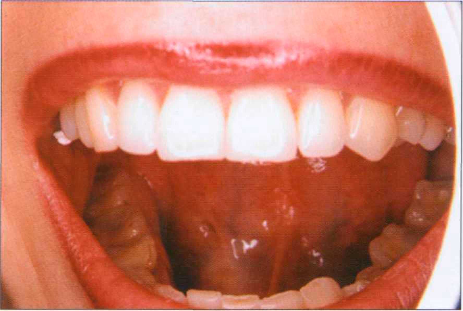
Таким образом, правильность оценки обеспечивается тройным контролем: 1 — определение цвета при помощи шкалы двумя компетентными специалистами, 2 — фотографирование на цветную пленку, 3 — самооценка пациентом. Если требуется участие зубного техника в выполнении части работы, то он получает от врача четкие инструкции в отношении форм, размеров, окраски. Они должны иметь как описательную часть, так и возможное количественное выражение параметров. С этой целью используется, в частности, стандартная шкала цветов VITA или эталоны фирмизготовителей конкретных материалов. Прежде чем непосредственно приступать к определению цвета, необходимо разобраться в основных цветовых соотношениях: самый светлый и самый темный участок, различия по оттенку и насыщенности. Определение цветовых отношений лучше начинать с наиболее светлого участка, затем оценить самый темный, и все другие определять по отношению к ним. Сравнивать нужно контуры (границы) оттенков. Они могут быть довольно четкими либо расплывчатыми. Переход бывает резкий или сглаженный. Не следует забывать о создаваемой форме, в рамках которой укладываются оттенки. Рассматривать и оценивать окраску не следует вскользь, второпях. Более того, при детальном, внимательном наблюдении, такое свойство зрительного анализатора как адаптируемость позволяет даже при отсутствии хорошего естественного освещения рассмотреть отдельные черты объекта. В нашем случае, сравнить оттенки цвета эмали с эталонными. Общий цветовой фон зубного ряда лучше оценивать путем использования ретрактора для щек (рис. 127).
При этом необходимо следить за уровнем освещенности зубов. Наиболее частой ошибкой при восприятии цвета бывает желание врача вначале провести препарирование зуба на том основании, что это позволит затем рассматривать его в более удобной позиции. Однако не следует забывать, что за время работы рецепторы глаза утомляются от блеска зуба, и острота зрения резко снижается. Кроме того, эмаль в процессе работы высыхает и становится белее, менее прозрачной (рис. 128).
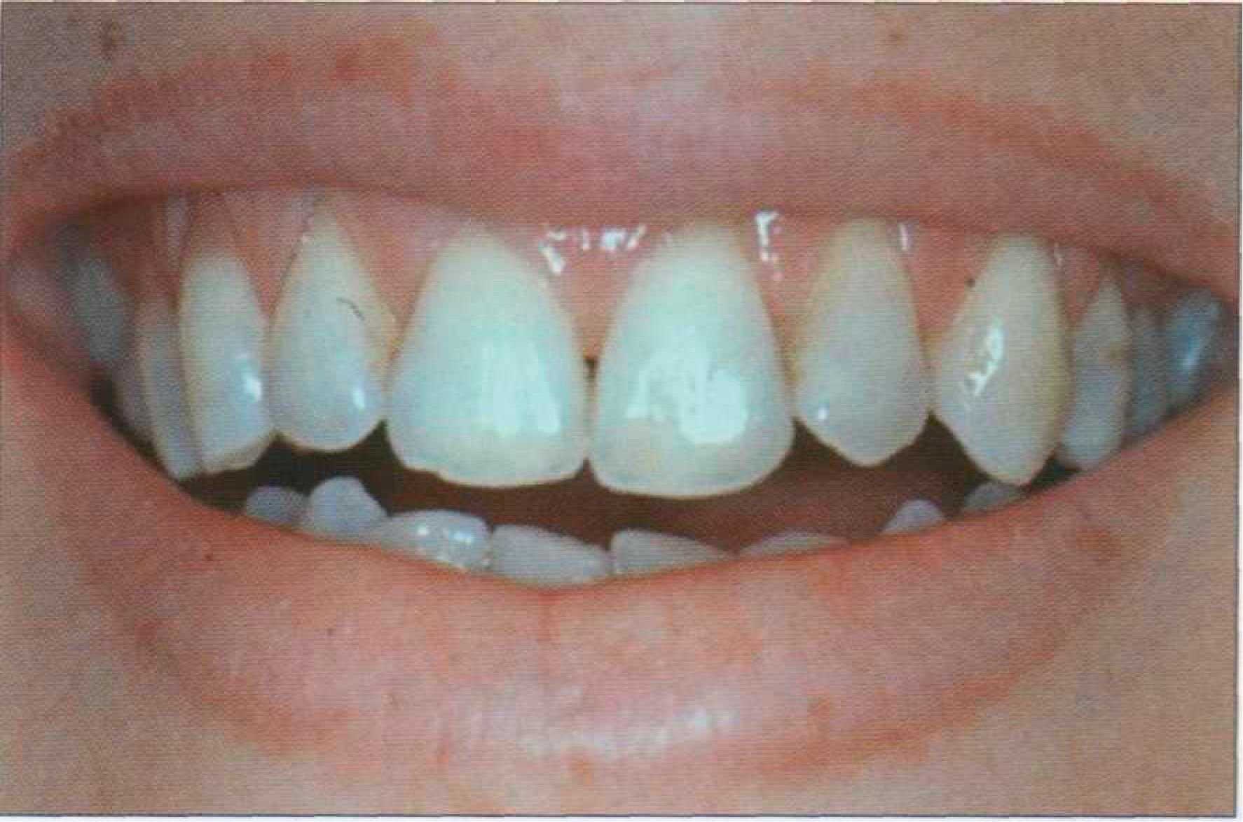
Обнаженный дентин придает зубу желтоватые оттенки. Исключить явление метамеризма (влияние природы и температуры источника света на восприятие цветов) удается, проводя оценку оттенков при естественном, а затем уточнение при искусственном освещении. Перед определением цвета не рекомендуется смотреть на яркий свет, поскольку палочки и колбочки, поглощая кванты света, изменяют свою чувствительность. Не рекомендуется перед определением цвета производить полимеризацию светоотверждаемого материала (рис. 129).
Во время определения цвета зубы и образцы должны быть одинаковой влажности (смочены ротовой жидкостью). Сухие зубы могут выглядеть значительно ярче (вследствие перехода луча из одной оптической среды в другую — зуб-воздух), чем влажные, имеющие дополнительную среду с промежуточной оптической плотностью (зубвода- воздух). Рассматривать зубы необходимо с различных углов зрения, при этом расстояние до глаза должно быть около 50 см. Не следует производить определение цвета в достаточно длительном временном диапазоне (не более 15-25 секунд каждый зуб). Пациент должен находиться сидя в стоматологическом кресле (ни в коем случае не лежа) напротив окна. Эталонным фоном в стоматологии принято считать серый цвет с отражающей способностью 18%. Поэтому наиболее благоприятные условия для глаз создаются при использовании фона светло-серых тонов, при таком же цвете стен, мебели, одежды медперсонала (рис. 130).
Выпускаются специальной формы серые карты, с вырезкой в центральной части, что позволяет сопоставить и сравнить естественный зуб с эталоном. Серый фон, будучи достаточно нейтральным, не создает резкого контраста оттенкам зуба. Использование специальных серых пластин (Pensler Shield) снимает проблемы фоновых воздействий при подборе нужного тона. |
ВЫБОР ОТТЕНКОВ ЦВЕТА
ВЫБОР ОТТЕНКОВ ЦВЕТА Высокая эффективность эстетической реставрации невозможна без выбора оптимальных оттенков цвета зуба. Наличие неудовлетворительных результатов при отбеливании зубов, изготовлении реставраций характеризует важность данной проблемы. Правильная оценка зависит от целого ряда объективных и субъективных факторов, в том числе, от соответствия квалификации и опыта работы сотрудников, физиологических и психологических особенностей восприятия глазом оттенков цвета, осознанности стоматологом выполняемых манипуляций. Оптимизация условий работы и выбора оттенков цвета в эстетической стоматологии включает несколько аспектов, которые схематически представлены в виде алгоритма (рис. 120).
Первый шаг предусматривает создание цветового фона рабочего места стоматолога. |










