|
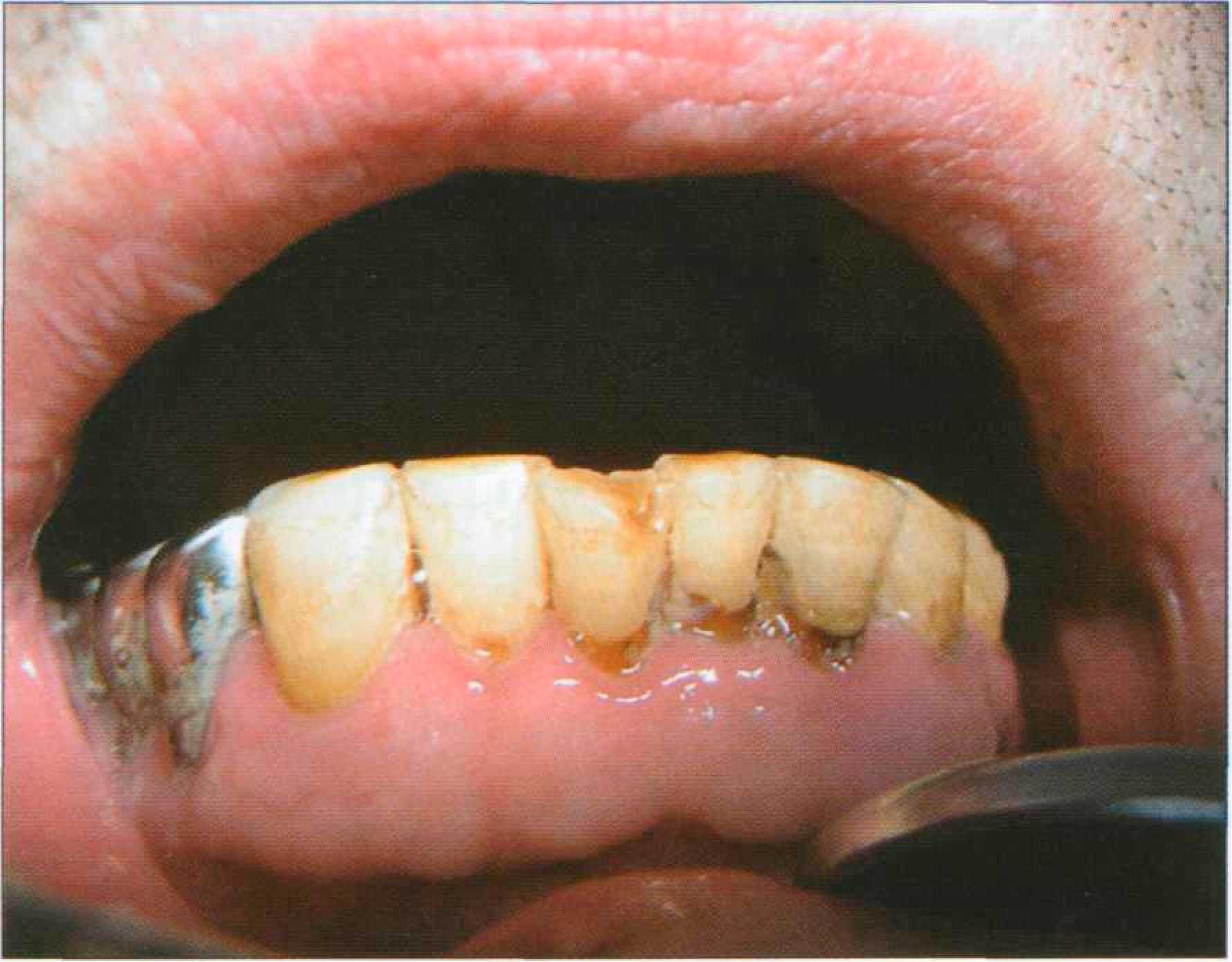
Благодаря высокой пористости участки деминерализации могут пигментироваться, приобретая желтоватую, бурую, коричневую окраску в зависимости от воздействующего красителя. Пары брома и йода окрашивают пришеечные области зубов в желтоватый цвет. Коричнево-черный налет на зубах появляется у лиц, занятых обработкой металлов (марганец, железо, никель). Хроническое отравление ртутью, сулемой, свинцом приводит к диффузному окрашиванию зубов различной интенсивности от серого до черного или от желтого до коричневого цвета. Особо следует остановиться на пигментации зубов у курильщиков (экзогенное, системное, поверхностное и глубокое окрашивание). Наиболее характерно образование темно-коричневого, почти черного налета вдоль шеек зубов, а также на тех поверхностях, которые не участвуют в жевании и плохо очищаются. Образованию «налета курильщиков» способствует плохая гигиена полости рта (рис. 173 а, б).
Рис. 173. Выраженная пигментация язычной поверхности резцов: налет "курильщика" — а; состояние после профессиональной гигиены — 6 Сходная окраска, которую можно отнести к воздействию пищевых пигментов, однако менее интенсивная и менее стойкая, чем у курильщиков, наблюдается у любителей крепкого чая и кофе. Содержание в питьевой воде железа может вызвать устойчивую синеватую окраску зубов. Выраженная пигментация органических покровов зуба может появляться в результате воздействия хлоргексидина, который назначают для полосканий (рис. 174).
Чрезмерное использование фтористых препаратов при сочетанной местной и системной профилактики кариеса у детей может привести к помутнению эмали постоянных зубов. Возрастные изменения окраски эмали и дентина, которые являются одним из внешних признаков старения зуба, связаны с эндо- и экзогенными воздействиями. Желтизна зуба проявляется с убылью прозрачных, голубоватых поверхностных слоев эмали в процессе жизнедеятельности. Уменьшение объема пульпы за счет образования зместительного дентина также способствует изменению цвета зубов. Вторичный дентин, будучи серым или желтым, придает зубу новые оттенки цвета. Кроме того, обнаженный дентин более проницаемый, чем эмаль, достаточно легко пигментируется извне. Пигментация дентина проявляется при утрате эмали вследствие эрозии или клиновидного дефекта (рис. 175).
Появляющиеся с возрастом трещины также способствуют проникновению в твердые ткани красителей (рис. 176).
Системные глубокие пигментации, развивающиеся эндогенным путем, могут быть связаны с общими заболеваниями или эндокринными расстройствами. Описаны случаи окрашивания зубов в розовый или красный цвет в результате повреждения капилляров пульпы у больных холерой, тифом, ревматизмом, а также при острых высыпаниях на коже — экзантемах. При дизентерии, порфинурии, отравлении угольной кислотой зубы также приобретают красноватые оттенки. Желтый и коричневый цвет эмали бывает при гематогенной желтухе, аддисоновой болезни. У лиц с высокой активностью мозгового слоя надпочечников описана желтая и темно-желтая окраска коронок зубов, которая на жевательных поверхностях приобретает красноватый оттенок. При тимолимфатическом статусе описан молочно-белый цвет зубов с прозрачной эмалью. В зубах человека, больного аргирией,можно обнаружить частички серебра не только в одонтобластах, но также и в дентинных канальцах, отчего зубы приобретают сероватый оттенок. Описан характерный цвет зубов при гипотиреозе: желто-серый, серый, зеленоватый , грязно -желтый, грязно - зеленый. Эмаль при этом выглядит тусклой, безжизненной. Окраска зубов при гипертиреозе также изменена: зубы имеют жемчужно-белый, бело-голубой, синеватый цвет с ярким блеском, нередко с повышенной прозрачностью у режущего края. Гипопаратиреоз нередко ведет к повышенной прозрачности анатомически полноценной эмали зубов. |
СИСТЕМНОЕ НАРУШЕНИЕ ОКРАСКИ ЗУБОВ
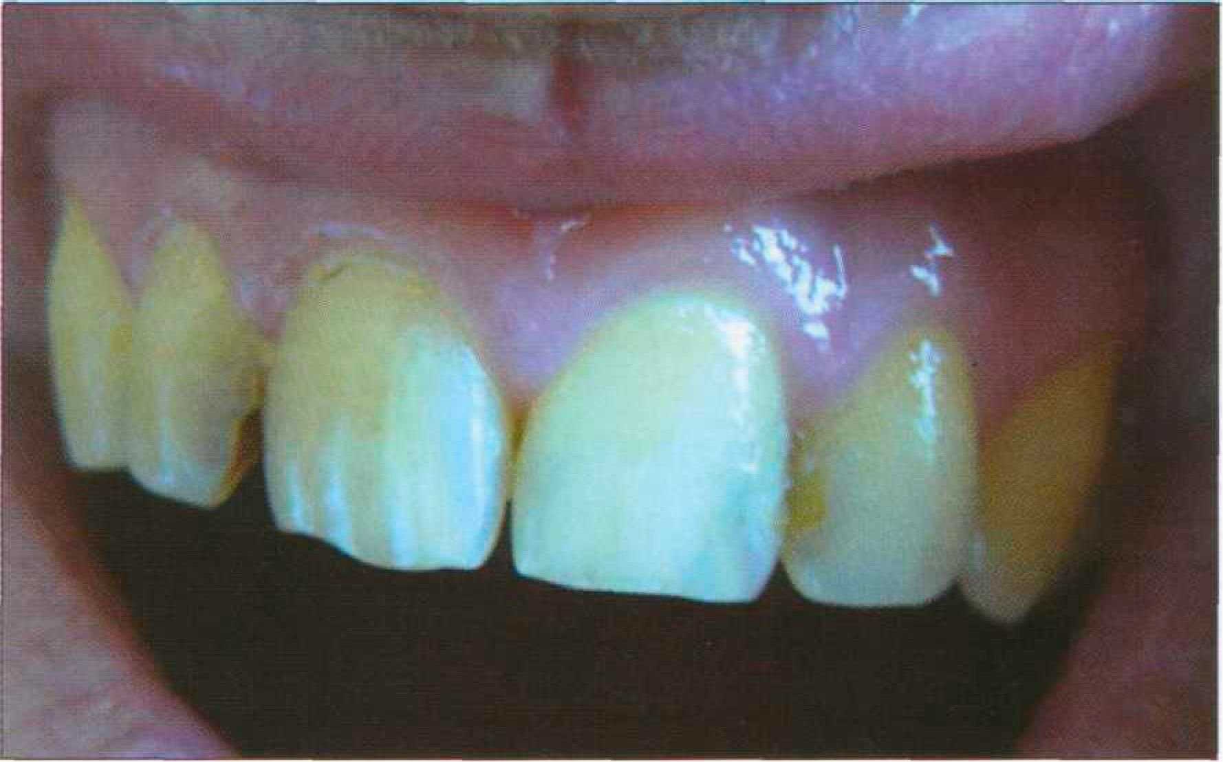
СИСТЕМНОЕ НАРУШЕНИЕ ОКРАСКИ ЗУБОВ Очаговая деминерализация эмали в виде системного поражения пришеечных участков зубов как разновидность приобретенной гипоплазии или гипокальцификации, формируется в период созревания тканей после прорезывания. В отличие от начального кариеса поражаются не отдельные, а практически все зубы. Клинически определяются меловидно измененные участки, особенно контрастные при высушивании струей воздуха (рис. 172).
Экзогенное системное нарушение окраски эмали (дентина) может быть связано с действием неблагоприятных производственных и экологических факторов. Начальные этапы кислотного некроза эмали клинически и морфологически мало отличаются от начального кариеса. Множественные меловидные пятна локализуются на вестибулярной поверхности преимущественно фронтальных зубов, занимая площадь от режущего края до придесневой области. |





