|
Нужно сопоставить его с боковыми поверхностями зуба. Каждый раз зуб-эталон подбирается до полного совпадения его оттенка с конкретным участком зуба пациента. Затем вычисляется и регистрируется среднее значение оттенков (в цифровом выражении шкалы VITA). Изготовление защитной пластинки (каппы). Защитная пластинка должна надежно ограничивать область воздействия отбеливающего геля, предотвращая его попадание на слизистую оболочку, а также предупреждать растворение его ротовой жидкостью. Стандартная каппа изготавливается в лаборатории на гипсовой модели с точного оттиска зубов, включающего как минимум 5-6 мм вестибулярной и оральной поверхности десны (рис. 184).
При использовании густого, вязкого геля, необходимо иметь промежутки между губной поверхностью зубов и внутренней поверхностью пластинки. Для этого в лаборатории на моделях на вестибулярные участки зубов наносят светоотвервдаемый материал толщиной около 0,5 мм таким образом, чтоб он не достигал 0,5 мм режущего и десневого края (рис. 185).
Когда впоследствии на модели при помощи вакуума формируют виниловую пластинку, то именно на месте отверждаемого композита создаются места-«резервуары» для помещения отбеливающего геля. Кроме того, эти «резервуары» выполняют роль клапана, улучшающего фиксацию устройства, снижают ортодонтическое давление на зуб. Пластинка тщательно подгоняется в области шеек зубов, снижая риск контакта отбеливающего средства с десной. Такая «фестончатая», обрезанная вдоль шеек зубов пластинка может использоваться только с густым, вязким гелем, обеспечивая высокую степень прилипания к зубам. Отбеливающие материалы в виде пасты не требуют создания пространства-резервуара и фестончатой обработки края пластинки. В качестве примера эффективного отбеливающего средства может служить система Perfect Bleach (VOCO), которая представляет собой гель вязкой консистенции, содержащий 10% перекиси карбамида. Действующим началом является 3% перекись водорода. Используется для самостоятельного домашнего отбеливания, которое может проводиться ночью, в дневное время или сочетанно. При необходимости лечение можно повторять в течение 1-2 ночей каждые 4-6 месяцев. Режимы лечения: 1) защитную пластинку одевать на ночь, минимум на 4 часа во время сна; 2) использовать пластинку днем на 4-6 часов (для лиц, у которых есть проблемы со сном); 3) каппу с гелем одевать и на ночь и днем — перерыв между процедурами не менее 2-х часов. Показаниями служат прижизненная возрастная пигментация зубов, белые пятна, тетрациклиновые зубы, поверхностная пятнистость эмали при флюорозе, поверхностные нарушения цвета при гипоплазии, девитализированные зубы. Проводится санация полости рта, включающая удаление некачественных пломб, виниров, лечение корневых каналов. При наличии внутренних пигментации тщательно удаляются остатки пломбировочных материалов. Кариозные полости после препарирования заполняют временными пломбировочными материалами. После профессиональной гигиены полости рта, определяется группа зубов, требующих отбеливания. Оценивают оттенки зубов при помощи шкалы VITA, заполняют формуляр с цифровым обозначением выбранного материала, а также предполагаемого после отбеливания цвета твердых тканей. При на личии поверхностных пятен можно удалить их методом микроабразии, микросошлифовывания, затем отполировать поверхность. Снимают оттиск альгенатными массами, которые дают точный отпечаток зубов и линию десны (рис. 186 а, б).
Затем изготавливают индивидуальную каппу (защитную пластинку). Для этого сразу после получения слепка делают пластмассовую модель с основанием на 4 мм ниже линии десны. Высушивают модель на воздухе не менее 2 часов или струей теплого воздуха. На вестибулярную поверхность зубов, подлежащих отбеливанию, накладывают слой специального геля толщиной 0,5-1 мм, захватывая проксимальные поверхности (рис. 187).
Гель не должен выходить на жевательную поверхность (режущий край) или область десны. Зубы на модели покрывают тонким слоем материала, из которого будет формироваться защитная пластинка. Модель помещают в вакуумную камеру, где формируется защитная пластинка. Затем охлаждают модель и осторожно отделяют каппу, чтоб не повредить ее. Обрезают края пластинки на 0,2-0,3 мм выше линии десны, освобождая тем самым межзубные сосочки и предупреждая воспаление слизистой оболочки. Края пластики сглаживают, полируют, чтобы избежать травмирования слизистой. Наконец, каппу очищают и стерилизуют. Пациент получает защитную пластинку, а также инструкцию по отбеливанию зубов. Врач демонстрирует правильное заполнение углублений отбеливающим гелем, введение в полость рта защитной пластинки, удаление избытка геля с десны. После завершения лечения сравнивают результаты в клинике с изображением на цветной фотографии (рис. 188).
Необходимо предупредить пациента, что в ближайшие недели цвет зубов незначительно потемнеет. Возможно повторное отбеливание зубов таким же путем, поэтому пациенту предлагают сохранить защитную пластинку. Vivastyle — средство от IvoclarVivadent для домашнего отбеливания зубов. Набор содержит флакон с гелем 10%-ного пероксида карбамида и аппликаторы. Vivastyle наносится 2 раза в сутки утром и вечером самим пациентом на вестибулярные поверхности зубов после предварительной гигиены полости рта и последующего высушивания вестибулярных поверхностей. Процедура отбеливания длится 10 мин, после чего необходимо механически удалить зубной щеткой высохшую пленку с поверхностей зубов. Количество геля рассчитано на 14 дней отбеливания. Осложнения, наиболее часто наблюдаемые при отбеливании, — это незначительная гиперестезия зубов в процессе или непосредственно после лечения, как правило, проходящая самостоятельно. При появлении у пациента побочных действий отбеливающих средств на десну и слизистую оболочку в виде гиперемии, ощущения дискомфорта, жжения, болезненности проводятся следующие мероприятия: — Пропускается 1-2 дня лечения после появления чувствительности или раздражения слизистой. — Проводится коррекция защитной пластинки таким образом, чтобы не раздражались ткани десны, особенно с язычной поверхности. — Уменьшается количество вещества, помещаемого в резервуары защищающей конструк ции. — После помещения защитной пластинки в полость рта удаляются все выдавленные за ее пределы избытки отбеливающего средства (пальцами, зубной щеткой, полосканием рта в течение 5 секунд). — Снижается ежедневная длительность воздействия отбеливающего состава. При необходимости «домашнее отбеливание» комбинируется с клиническими воздействиями или сопровождает их: отбеливание, сошлифовывание, эстетическое восстановление дефектов. Высокую результативность обеспечивает сочетание профессионального и самостоятельного воздействия. В данной схеме пациент начинает лечение с процедур, выполняемых стоматологом, продолжает его дома, используя отбеливающий гель со специально изготовленной защитной пластинкой в течение 1 часа в день всего 6 дней. В конце этого периода терапия заканчивается профессиональными процедурами, в том числе восстановительными конструкциями. Эта система определяет хороший эффект, достигаемый совместными усилиями врача и пациента (рис. 189 а, б).
|
Техника домашнего отбеливания.
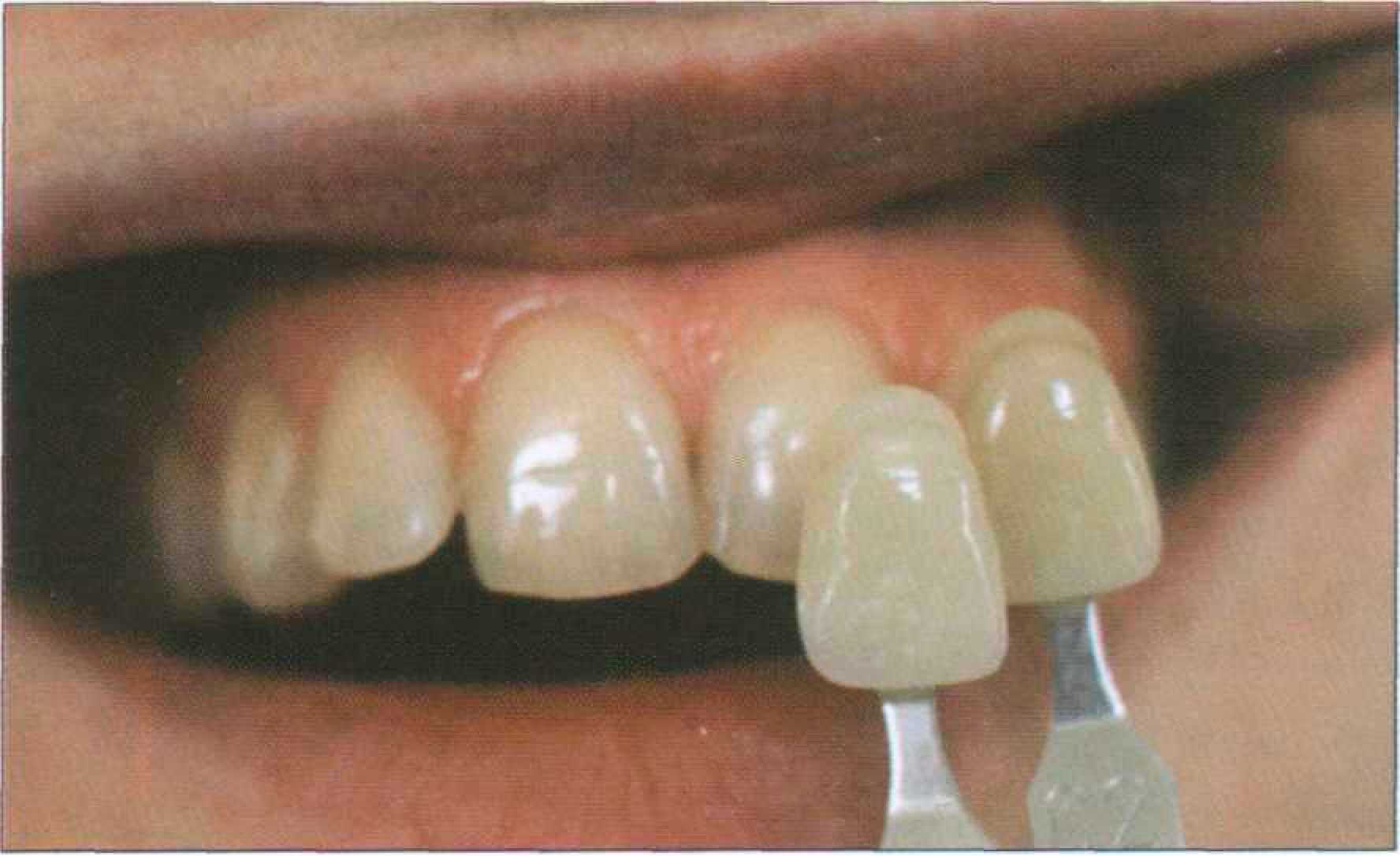
Техника домашнего отбеливания. Все более популярным становится метод отбеливания зубов посредством самостоятельного домашнего использования перекиси карбамида с помощью специальной каппы. Результативность зависит от двух моментов: от концентрации активного агента в системе и длительности контакта с зубами. Поскольку перекись карбамида инактивируется в процессе взаимодействия с зубом и ротовой жидкостью, показателем эффективности является не столько продолжительность пребывания на пластинке отбеливающего агента, сколько частота смены его порций. Риск развития гиперестезии в процессе отбеливания зубов можно снизить путем постепенного наращивания интенсивности воздействия. Так, в течение первой недели используют 5% перекись карбамида 1 час в день, следующую неделю - 10% гель- 1-2 часа вдень, затем можно увеличивать либо концентрацию отбеливающего средства, либо длительность контакта с зубами. Использование домашнего отбеливания показано для темных зубов как интактных, так и депульпированных. Ограниченные участки пигментации устраняются лучше, чем большие по площади. Глубокое прокрашивание в пришеечной области более устойчиво к осветлению, чем пигментация у режущего края. «Тетрациклиновые» зубы, имеющие глубокое сине-зеленое окрашивание плохо поддаются осветлению. Исследования показывают, что эффективность воздействия можно улучшить, если применять способы длительного лечения (до 6 месяцев). Консервативным методом устранения желто-коричневых пятен при флюорозе также является использование домашнего отбеливания. Если оно не дало ожидаемого результата, далее применяется избирательная микроабразия и микроистончение (сошлифовывание) с удалением поверхностного слоя пятнистой эмали. Для достижения эффекта требуются повторные аппликации с тщательным соблюдением техники. Ночное и дневное отбеливание. В большинстве современных домашних отбеливающих систем используется 10-15% перекись карбамида в качестве активного агента, а также добавки придающие вкус, запах, гелеобразную консистенцию. Пациент использует отбеливающую систему с предварительно изготовленной зубным техником защитной конструкцией, которая остается в полости рта от 1 до 4 часов в день или в течение ночи. Длительность лечения обычно составляет от двух до шести недель преимущественно ночного или дневного отбеливания. Ночное применение отбеливающих средств позволяет повысить эффективность действия геля в условиях снижения слюноотделения и отсутствия жевательной нагрузки, однако, при\этом исключает возможность смены порций избранного средства. Объективизировать регистрацию отбеливающего эффекта, давая полуколичественную цифровую оценку вместо качественной «темнее», «светлее» позволяет использование шкалы цветов VITA (см. рис. 132). Чем более крайнее правое положение в шкале занимает начальный оттенок эмали, тем более высокий результат отбеливания может быть достигнут (от 2-3 тонов до максимум 15 — при начальном значении интенсивности С 4 — №16). Зуб-эталон подходящего цвета вплотную подводят к исследуемому зубу пациента (рис. 183).
Необходимо сравнивать вблизи режущий край зуба и режущий край эталона, пришеечную область одного с соответствующим участком другого, таким же образом оценивается и область экватора. |








