Этап 2. На диагностических моделях изготавливают базисы с окклюзионными валиками и определяют центральное соотношение челюстей (рис. 129) или центральную окклюзию. Этап 3. Анализ диагностических моделей, составление плана лечения и выбор конструкции протеза проводят совместно с зубным техником, который на этом этапе проводит, при необходимости, параллелометрию зубов и альвеолярного гребня. Наличие поднутрений, например грибовидного альвеолярного гребня, может препятствовать наложению будущего съемного протеза, плоскость введения которого определяется отфрезерованной под углом 2° поверхностью первичных коронок. После решения вопроса о выборе конструкции протеза зубной техник приступает к изготовлению временного протеза, которым пациент будет пользоваться в период изготовления постоянного протеза. Это может быть съемная пластиночная конструкция или комбинация несъемной и съемной частей из пластмассы, в зависимости от топографии дефекта и числа оставшихся зубов. Зубной техник изготавливает индивидуальную оттискную ложку с накусочными валиками из воска.
Этап 4. В клинике проводится препарирование опорных зубов с круговым поддесневым уступом 135° и высотой коронковой части не менее 5 мм (рис. 130). Для этого обычно используют алмазные боры №314.697.524 для маркировки кругового уступа, для снятия слоя эмали №314.142.534, для препарирования дентина №314.173.524, для предварительного оформления уступа №314.131.514, для обработки окклюзионной поверхности №314.033.534 (формы рабочей части даны по стандарту ISO). Окончательное оформление уступа проводят микромотором со скоростью вращения до 50000 оборотов в минуту алмазными или лучше твердосплавными борами. Препарирование завершают сглаживанием острых кромок и маркировкой вертикального желобка по месту изготовления фрикционного штифта. Этап 5. Оттиск препарированных опорных зубов и челюстей снимают, используя силиконовый оттискной материал (рис. 131). Оттиск можно снимать индивидуальными ложками корригирующим силиконовым материалом, стандартными ложками в технике двухслойного оттиска или однослойного оттиска (монофазным силиконовым материалом).
Этап 6. По полученному оттиску зубной техник изготавливает разборную рабочую модель, на которой проводит моделировку первичных коронок с формированием утолщения (1,2 мм) для паза фрикционного штифта (рис. 132). Затем, используя фрезерное устройство, проводится фрезерование до уровня десневого края восковым шабером, имеющим конусность Т (рис. 133). Этап 7. Смоделированную восковую композицию штифтуют и отливают. Для первичных коронок и каркаса покрывного протеза обычно используют один и тот же металлический сплав. После литья первичные коронки припасовывают на модели (рис. 134). Этап 8. В клинике припасовывают первичные коронки на опорных зубах (рис. 135), фиксируют их временно на корригирующую силиконовую оттискную массу и скрепляют коронки между собой пластмассой холодного отверждения, если они находятся в непосредственной близости друг от друга. Для лучшего позиционирования первичной коронки в оттиске, упрощения удержания при припасовке для этого этапа зубной техник оставляет часть литника со сформированной в нем ложбинкой. Оттиск для изготовления металлического каркаса покрывного протеза снимают индивидуальной ложкой аналогичной оттискной массой (рис. 136). Этап 9. Зубной техник подготавливает новую рабочую модель, где четко должны прослеживаться границы будущего покрывного протеза. Затем первичные коронки с помощью специального приспособления переносятся на площадку для фрезерования, где проводится фрезерование твердосплавными фрезами с конусностью Т и закругленным торцом. После фрезерования первичные телескопические коронки полируют тонкодисперсной алмазной пастой (рис. 137). Этап 10. Рабочую модель с первичными коронками готовят к дублированию силиконом и изготавливают огнеупорную модель из специальной массы, например из массы «Deguvest» (рис. 138).
На огнеупорной модели изготавливают восковой каркас съемной части протеза и отливают. Отлитый каркас припасовывают на первичные коронки, ответные вторичные наружные телескопические коронки полируют изнутри мелкодисперсной алмазной пастой и подготавливают всю систему к электроискровой эрозии (рис. 139). Этап 11. Электроискровая эрозия производится на специальном оборудовании фирмы SAE. Рабочую модель с помещенными первичными коронками, закрепленную на рабочем столике, устанавливают в аппарат искровой эрозии (рис. 140). Медный электрод вертикально ориентируют в утолщение, созданное для производства эрозионного паза. Затем на первичных коронках закрепляют каркас съемной части протеза и подают сигнал к началу электроискровой эрозии, которая производится в автоматическом режиме (рис. 141). После проведения электроискровой эрозии зубной техник припасовывает в образовавшиеся пазы фрикционные штифты выбранного диаметра, фиксирует их контактной сваркой к металлическому каркасу съемной части (рис. 142).
Этап 12. В клинике проводится припасовка каркаса съемного протеза и вторичных коронок. Проверка конструкции проводится при неактивированных фрикционных штифтах. Если вторичная телескопическая коронка не обладает достаточной силой сцепления, это может означать, что она опирается на торец внутренней телескопической коронки. В этом случае необходимо с помощью грубого резинового диска отполировать торец первичной коронки так, чтобы боковые прилегающие поверхности контактировали друг с другом. Аналогичная проблема возникает, если вторичная телескопическая коронка упирается в первичную в пришеечной зоне до того, как соприкоснутся их боковые поверхности. В этом случае следует пришлифовывать эту ступеньку в наружной телескопической коронке. На этом этапе проводят выбор цвета искусственных зубов. Этап 13. В лаборатории проводят облицовку вторичных телескопических коронок, постановку зубов и замену воскового базиса на пластмассу по общепринятой технологии (рис. 143).
Этап 14. После наложения протеза проводят коррекцию окклюзии и фиксируют первичные коронки на цемент поочередно под контролем покрывного протеза (рис. 144, 145). После фиксации пациента обучают снятию и наложению покрывного протеза, гигиеническим мероприятиям. Уведомляют о необходимости регулярного (каждые 6 месяцев) диспансерного наблюдения у стоматолога. Коррекции базиса покрывного протеза проводят традиционным способом. При необходимости на этапах диспансерного наблюдения проводят перебазировку базиса покрывного протеза. Для этого корригирующим силиконовым оттискным материалом сначала определяют участки атрофии костной ткани. Чаще всего эти участки располагаются по вестибулярной поверхности альвеолярных гребней, так как известно, что наибольшее воздействие оказывают боковые смещения базиса протеза. После этого проводят непосредственно перебазировку (прямым или лабораторным способом).
|
Покрывной протез с телескопическими фиксаторами с фрикционными штифтами
|
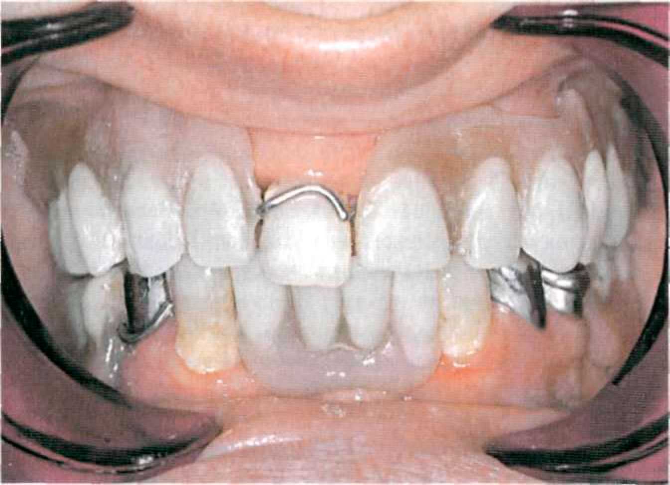
Покрывной протез с телескопическими фиксаторами с фрикционными штифтами Этап 1. После необходимого предварительного обследования, оценки ситуации в полости рта (рис. 127, 128) и санации снимают диагностические оттиски с верхней и нижней челюстей альгинатной массой стандартными ложками, подготавливают диагностические модели из прочного гипса.
|


















