Пролежневые язвы болезненны, иногда сопровождаются обильным слюноотделением и являются самой частой причиной отказа больных от пользования протезом. Острые декубитальные язвы быстро исчезают после исправления краев протеза. Когда последнее по какимлибо причинам не делается, они переходят в хронические.
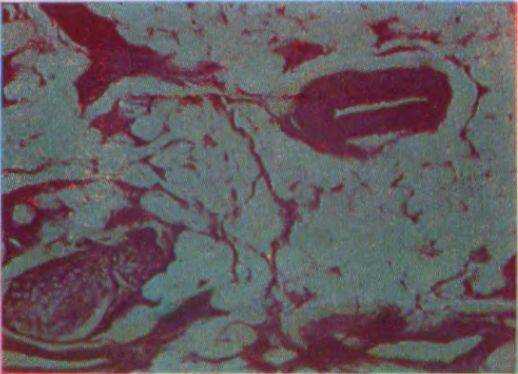
Хронические декубитальные язвы слизистой оболочки протезного ложа, которые нам приходилось наблюдать, обычно располагались на границе базиса протеза. Они имели щелевидную форму, были окружены валиком отечной слизистой оболочки синюшного цвета, наплывающий на край протеза. Иногда здесь отмечались гиперпластические разрастания слизистой оболочки (рпс. 3). При гистологическом исследовании биопсийного материала обнаруживалось хроническое воспаление с явлениями гиперкератоза и погружного роста эпителия.
Когда причина, вызывающая травму слизистой оболочки устраняется, декубитальные язвы заживают при обычном гигиеническом уходе за полостью рта. Но на месте пролежней образуются рубцы переходной складки, препятствующие в последующем созданию замыкающего клапана по краю протеза.
Декубитальные язвы — явление весьма распространенное. Почти у каждого больного на следующий день после наложения протеза обнаруживаются повреждения слизистой оболочки в виде катарального воспаления или язвы. После устранения дефектов в протезе они очень быстро исчезают. Хронические же декубитальные язвы возникают при нарушении принципа законченности ортопедического лечения больного.
Ортопедическая терапия предусматривает не только обследование, подготовку и проведение клинических манипуляций, связанных с протезированием, но и наблюдение за больным после наложения протеза. Принцип законченности лечения требует, чтобы врач не выпускал больного из-под наблюдения до того, как он убедиться в том, что период привыкания закончился благополучно, больной пользуется протезом, восстановлены нарушения речи и устранены все причины, вызывающие травму слизистой оболочки протезного ложа.
Наложение протеза — ответственная задача, но не менее важно наблюдение за больным во время привыкания к протезу, когда необходимо устранять ряд мелких дефектов. Многие больные, которым были наложены съемные протезы, ими не пользуются, потому что за ними не было соответствующего наблюдения после наложения протеза. Следует признать обязательным следующую форму обращения к больному: «Прошу Вас завтра придти на прием, я должен буду осмотреть Вас и устранить имеющиеся недостатки». Встречи врача и больного должны продолжаться до тех пор, пока врач не убедится, что больной пользуется протезом и что состояние протезного ложа хорошее. Только после этого врач может записать в истории болезни, что лечение закончено. Нарушением принципа законченности лечения следует признать такую форму обращения к больному: «Если Вас что-либо будет беспокоить, зайдите ко мне». При такой форме обращения больному поручается самому решать вопрос о своем состоянии, хотя у него для этого нет профессиональных возможностей.
У многих больных декубитальные язвы проявляются после длительного пользования протезом, пришедшим в негодность от починок, деформаций, несоответствия поверхности базиса протезному ложу вследствие атрофии альвеолярного отростка. В этом случае вина лежит на плохой информации наших больных при наложении протеза и плохой санитарно-просветительной пропаганде.
Принято проявлять онкологическую настороженность при всех хронических язвах слизистой оболочки полости рта. Это разумная врачебная тактика преследует профилактические цели. Когда в полости рта обнаруживается хроническая декубитальная язва по краю протеза, последний следует откорригировать, освободив от давления область язвы. К этому прибегают тогда, когда нет показаний к замене протеза. Когда же протез впервые был наложен более 3 лет назад, больному следует запретить пользоваться им и после исчезновения язвы вновь протезировать его. Если в течение 10—15 дней не выявляется четких признаков заживления язвы, больного следует консультировать со стоматологом-онкологом.
Травматические протезные стоматиты, начиная от небольшой гиперемии и кончая декубитальными язвами, возникают там, где имеется несоответствие рельефа и краев протеза, поверхности и границ протезного ложа. В основе патогенеза язвы лежит концентрация давления на небольшом участке слизистой оболочки протезного ложа с последующим развитием ее некроза. При пользовании съемными протезами травматические стоматиты возникают: 1) при дефектах оттиска или гипсовой модели; 2) при смещении тканей протезного ложа (переходная складка, уздечки и др.) во время снятия оттиска краями стандартной ложки, черствыми оттискными массами (густой гипс, остывшая термопластическая масса), 3) при деформации, трещинах, поломке или балансировании базиса, 4) при порочном наложении кламмера, его неисправностях, 5) при неправильном планировании границ протеза.
Исходя из этого и следует проводить профилактику травматических стоматитов. Она в первую очередь заключается в воспитании у техника-лаборанта аккуратности в работе, точного соблюдения технологии изготовления протезов.
Большое значение имеет совершенствование самих методик протезирования и, в частности, способов получения оттисков. Ранее считалось, что функциональные оттиски следует снимать только с беззубых челюстей. По этой причине при протезировании больных с частичной потерей зубов главное внимание уделяли выбору стандартной ложки, коррекции ее в соответствии с формой и высотой беззубого альвеолярного отростка. Но как бы мы ни приспосабливали стандартную ложку, хорошего оттиска с ее помощью в сложных клинических условиях получить почти невозможно.
Несложная технология изготовления пластмассовых базисов открыла широкие возможности к применению индивидуальных оттискных ложек, а большой ассортимент оттискных масс позволяет снимать оттиски с применением функциональных проб.".
В то время как теория и практика функционального оттиска с беззубых челюстей постоянно совершенствовалась всеми ведущими клиниками нашей страны, окончательный оттиск при протезировании больных с частичной потерей зубов с применением индивидуальных ложек и функциональных проб был незаслуженно обойден вниманием. По-видимому, мы были первыми (Гаврилов Е. И., Иванов А. А., 1972), кто в отечественной литературе высказался о более широком применении функционального оттиска при протезировании больных с частичной потерей зубов съемными протезами.
Применение функционального оттиска открывает большие возможности для улучшения результатов лечения. Особое место он должен занять при протезирование больных с концевыми изъянами зубных рядов на нижней челюсти, где в связи с развивающейся атрофией возникают сложные клинические условия. Особенно большие трудности при протезировании создают продольные складки слизистой оболочки альвеолярного отростка.
В руководимой нами клинике было проведено специальное исследование (Погодин В. С., 1975) 150 больных (106 женщин, 44 мужчины) с концевыми изъянами зубного ряда нижней челюсти. Складки слизистой оболочки, затрудняющие протезирование, были обнаружены у 31 больного (20,7%), т. е. у каждого пятого больного.
Механизм возникновения продольной складки на границе протезного ложа с язычной стороны как будто бы ясен. Она возникает при значительной атрофии или при полном исчезновении альвеолярного отростка, когда ткани дна полости рта наплывают на протезное ложе. Эта складка подвижна и легко смещается. Труднее объяснить возникновение продольных складок, лежащих посередине протезного ложа. Но одна закономерность очевидна — складки всегда сопутствуют большой атрофии альвеолярного отростка.
Учитывая сохранность альвеолярного отростка, направление, положение и подвижность складок, было выделено три типа их при концевых дефектах зубного ряда нижней челюсти (рис. 4).
Первый тип. Альвеолярный отросток с различной степенью атрофии имеет округлую или заостренную форму (см. рис. 4). Покрывающая его слизистая оболочка плотная, гладкая, малоподвижная. На язычном скате альвеолярного отростка имеется выраженная, легко расправляющаяся продольная складка слизистой оболочки. При крайней степени атрофии такая складка возвышается над гребнем, иногда наплывая на него. Возможно сочетание этого вида складки с подобной, но менее выраженной и расположенной на вестибулярной поверхности альвеолярного отростка. Складки могут располагаться только на одной или на обеих сторонах челюсти.
Второй тип. Альвеолярный отросток с различной степенью выраженности атрофии имеет округлую или несколько заостренную форму, покрыт гладкой малоподатливой слизистой оболочкой (см. рис. 4, д, е). На внутреннем скате его определяется выраженная складка слизистой оболочки продольного, иногда косого направления. В зависимости от степени атрофии альвеолярного отростка складка может располагаться ниже или выше его гребня. Она обычно сочетается с другой, легко смещающейся складкой, но расположенной посередине альвеолярного отростка. Иногда встречается и вестибулярное расположение подобной, но менее выраженной складки.
Третий тип. Альвеолярный отросток мало сохранился или совсем отсутствует (см. рис. 4, ж). На языч-

Рис. 4. Три типа беззубого альвеолярного отростка, сформировавшихся после удаления малых и больших коренных зубов (Погодин В. С.).
1-й тип (а, б, в, г) — альвеолярный отросток с различной степенью атрофии имеет округлую или заостренную форму. Покрывающая его слизистая оболочка плотная, гладкая и малоподатливая. На язычном скате альвеолярного отростка имеется выраженная продольная, легко расправляющаяся складка.
2-й тип (д, е) — альвеолярный отросток с атрофией различной выраженности имеет округлую или несколько заостренную форму. На язычной поверхности видна продольная складка, часто сочетающаяся с продольной складкой, идущей по середине альвеолярного отростка. Последняя складка легко смещается. 3-й тип (ж) — альвеолярный отросток атрофирован. На язычной поверхности имеется продольная складка, налегающая иа протезное ложе. Она может.
сочетаться с другими иераоправляющимися продольными складками.
ной поверхности челюсти имеется выраженная складка слизистой оболочки, наплывающая на протезное ложе. Она сочетается с другими нерасправляющимися мелкими складками, идущими в сагиттальном направлении.
Наибольшие трудности для протезирования возникают при втором и третьем типах протезного ложа, когда попытка расправить складки, в том числе и тяж, расположенный на гребне альвеолярного отростка, приводит к их деформации и смещению. В дальнейшем они ущемляются базисом протеза, вызывая боль. Коррекции протеза редко приносят успех и больные отказываются ими пользоваться. Из 31 больного с концевыми изъянами нижнего зубного ряда, обследованных В. С. Пого-.
диным, 24 были протезированы, но только 4 больных пользовались протезами.
Опыт руководимой нами клиники убеждает в том, что избежать неудач при протезировании двусторонних концевых дефектов можно, во-первых, путем применения индивидуальных жестких ложек, а при наличии складок при помощи (дублированного) двойного оттиска.
Несколько ранее мы говорили о том, что не только функциональный оттиск, но даже индивидуальная ложка были незаслуженно игнорированы. Мы полагаем, что индивидуальная ложка показана при протезировании больных: 1) с концевыми изьянами зубного ряда; 2) с одиночно стоящими зубами на верхней и нижней челюстях, особенно при применении телескопической системы крепления; 3) с_2—3 рядом стоящими зубами, когда стандартные ложки"не позволяют получить оттиск с четким отображением границ протезного ложа и, в частности, зоны перехода неподвижной слизистой оболочки в подвижную. Чаще всего это бывает при высоких клинических коронках, сопровождающихся значительной атрофией альвеолярного гребня; 4) во всех других случаях, когда форма сохранившейся части зубного ряда и беззубых альвеолярных отростков нетипична и не позволяет добиться успеха в получении оттиска стандартной ложкой.
В этой связи следует сказать, что расширение показаний к применению индивидуальной ложки принесет пользу больным и облегчит труд врача.
В руководимой нами клинике при протезировании больных с частичной потерей зубов применяется следующая методика получения функционального оттиска. Вначале стандартной металлической ложкой получают ориентировочный (анатомический) оттиск. Его снимают альгинатными оттискными массами (стомальгин, эластик) или гипсом. При одиночно стоящих зубах оттиск можно получить термопластической массой или акродентом, если изъян расположен на нижней челюсти.
На гипсовой модели врач очерчивает границы индивидуальной ложки. На беззубом альвеолярном отростке граница проходит по переходной складке, обходя уздечки языка, губ и тяжи слизистой оболочки щек.
Возможны три варианта границы ложки у естественных зубов (рис. 5). При первом варианте край ложки располагается с язычной стороны немного выше шеек

Рис. 1. Очаговое воспаление слизистой оболочки альвеолярного отростка нижней челюсти через 3 года после наложения дугового протеза.
Рис. 2. Разлитое воспаление слизистой оболочки твердого неба.


Рис. 3. Хроническая декубитальная язва слизистой оболочки с гиперплазией эпителиальной ткани.
Рис. 7. Краевой травматический пародонтит.

Рис. 10. Заеды.
К стр. 124.
Рис. 25. Соединительная ткань слизистой оболочки твердого неба мужчины 23 лет с интактными зубными рядами. Нейтральные мукополисахариды в волокнистых структурах межклеточного вещества, кровеносных

сосудов и нервов. Метод Шабадаша. Х120 (ШаПмерденова Р. Ш.).

К стр. 125 Рис. 26. Соединительная ткань слизистой оболочки альвеолярного отростка нижней челюсти мужчины 79 лет с полной потерей зубов, не пользовавшегося съемными пластиночными протезами. Накопление кислых мукополисахаридов в стенках сосудов и межуточном веществе. Окраска по Хэйлу. Х120 (ШаНмерденова Р. Ш.).
Рис. 27. Соединительная ткань слизистой оболочки передней трети твердого неба мужчины 59 лет с полной потерей зубов, пользовавшегося съемными пластиночными протезами в течение 8 лет.
Очаговая v-метахромазия межуточного вещества. Окраска толуидиновым синим. XI20.

К стр. 127
К стр. 128.
Рис. 28. Эпителий слизистой оболочки средней трети твердого неба мужчины 34 лет с интактными зубными рядами. Равномерное распределение РНК в клетках эпителиального пласта.
Окраска по Браше. Х250 (Шаймерденова Р. Ш.).

К стр. 241.
Рис. 63. Собственно жевательная мышца собаки через 21 день после повышения межальвеолярНой высоты. Гликоген выявляется в виде большого числа мелких гранул.
Метод Шабадаша. Х900 (Иванов J1. И ).


Рис. 5. Три варианта границ индивидуальной ложки, а — край ложки в области естественных .чубов располагается с язычной стороны немного выше шеек зубов; б — край ложки перекрывает режущие поверхности зубов; в — пунктиром обозначены границы ложки в случае перехода ее на вестибулярную поверхность зубов и альвеолярного отростка.
зубов на нижней челюсти и ниже на верхней челюсти. Это делается при наклоне зубов в язычную или небную сторону или при выраженном экваторе коронок (что часто отмечается у премоляров). При втором варианте край ложки достигает режущих поверхностей зубов или перекрывает их. Подобное положение границы ложки возможно у тех больных, у которых зубы имеют низкие клинические коронки или зубы наклонены в сторону губы. При третьем варианте ложка, перекрывая зубы полностью, переходит на вестибулярную поверхность альвеолярного отростка и заканчивается на переходной складке (см. рис. 5, в). Трудно дать один совет, пригодный для всех больных. В каждом случае границы ложки в области сохранившихся зубов определяет врач, исходя из возможности свободного выведения оттиска без опасности его деформации и свойств имеющихся под рукой оттискных масс.
Жесткая индивидуальная ложка изготовляется по первому восковому слою. Около зубов ее утолщают еще одним слоем воска. Делают это потому, что когда ложка будет припасована, фрезой расширяют ложе для естественных зубов и тем самым увеличивают пространство, которое заполняется оттискным материалом.

В противном случае оттискная масса продавливается и четкого отпечатка зубов не получается. Ложку можно изготовить и по второму восковому слою. Зубной ряд при этом перекрывают краем ложки, доходящей до переходной складки. Но следует иметь в виду, что при припасовке возникает относительная подвижность ложки и могут встретиться определенные трудности в точности наложения ее на протезное ложе. Иначе говоря, при функциональных пробах ложка может смещаться.
Перед получением оттиска индивидуальную ложку тщательно припасовывают. Край ее должен располагаться на 2 мм выше переходной складки на нижней и нТШёГна верхней челюсти, обходя уздечки языка, губы и тяжи слизистой оболочки. Слизистые бугорки нижней челюсти, как правило, не перекрываются. Однако при значительной атрофии альвеолярного отростка, при «ножевидном» гребне его упругие, малоподвижные слизистые бугорки перекрываются задним краем ложки. Дополнительно при припасовке ложки необходимо воспользоваться некоторыми функциональными пробами (облизывание красной каймы верхней губы, касание кончиком языка слизистой оболочки щек, широкое открывание рта и глотание и др.). При всех пробах ложка не должна смещаться. Если края ложки коротки, их можно удлинить быстротвердеющей пластмассой.
После припасовки край ложки окантовывают узкой по`лШжои воска~или ортохора. Для "этого"лучше"применять" воск из стандартных" пластин, но предварительно переплавленный. После небольшого разогревания воскового канта над пламенем спиртовки с помощью тех же самых функциональных проб оформляют край ложки. Затем ложку охлаждают и снимают оттиск. При этом могут применяться различные материалы. Мы чаще пользовались дентолом. После получения оттиск оценивают. Если оттиск оказался неудовлетворительным, процедуру повторяют. При мелких погрешностях оттиск можно исправить дополнительным наслоением дентола в дефект и повторным наложением ложки на протезное ложе.
Если ложка не перекрывает режущие края и оканчивается у шеек зубов или перекрывает только их режущие края, проводят второй этап получения оттиска. На функциональный оттиск накладывают стандартную оттискную ложку с какими-либо оттискными материала* ми (стомальгин, эластик). При этом необходимо просиять не только режущие края и вестибулярную поверхность зубов, но и альвеолярный отросток до переходной складки. Когда индивидуальная ложка перекрывает зубы и альвеолярный отросток полностью (третий вариант), оттиск снимают одномоментно. Для этого удобны альгинатные оттискные материалы.
В сложных клинических условиях (атрофия альвеолярного отростка, подъязычный валик, налегающий на протезное ложе, продольные складки и тяжи слизистой оболочки, имеющие высокое прикрепление), когда необходимо расправить складки или оттеснить их, показан двойной функциональный оттиск. Для этого в руководимой нами клинике применяется следующая методика двойного функционального оттиска (Погодин В. С., 1975). Индивидуальную ложку готовят на гипсовой модели, отлитой по ориентировочному оттиску. Зубы и их альвеолярный отросток с вестибулярной и оральной сторон покрывают слоем гипса толщиной 3 мм. На подготовленной таким образом модели из одного слоя воска готовят модель ложки.. Границы ее уточняют в полости рта пальпаторно, визуально, а также с использованием некоторых функциональных проб (открывание рта, движение языка вперед и в стороны, глотание). Если складки слизистой оболочки легко расправляют, то предварительный оттиск снимают с помощью термопластической массы. Она позволяет не только расправить складки, но и оформить край оттиска. Однако при выведении оттиска из полости рта происходит его деформация около естественных зубов. Для устранения этого недостатка массу в этих местах удаляют, а в других участках оттиска наносят неглубокие бороздки (ретенционные пункты). После этого снимают окончательный оттиск с массами с продолжительной фазой пластичности (эластик, сиеласт, тиодент). Модели отливают тотчас же после выведения оттиска из полости рта. Этот способ показан при первом типе альвеолярного отростка.
Если складки слизистой оболочки не расправляются или расправление язычной складки приводит к смещению тяжа, идущего посередине альвеолярного отростка (второй — третий тип), то оттиск снимают материалами, обладающими текучестью и не вызывающими смещения слизистой оболочки (гипс, эластик, тиодент).
Анализы результатов протезирования больных при описанной выше клинической картине с применением функциональных оттисков показали, что частота протезных травматических стоматитов падает, пролежни быстро обнаруживаются и легко устраняются. Случаи с неопределенной локализацией болей, когда врач находится в затруднительном положении, единичны. В последних случаях лучше не испытывать терпение больного, а повторить протезирование. При настойчивости, в сочетании с точным выполнением всех клинических и технологических приемов протезирование всегда можно закончить с хорошими результатами. Уменьшение травмы и раздражения слизистой оболочки сокращает сроки привыкания больных к протезам, а функциональная ценность их быстро достигает максимума.
Нельзя недооценивать значения в профилактике травматических стоматитов предварительной хирургической подготовки альвеолярного отростка. Когда-то удаление зубов и начало протезирования разделялось большим временным промежутком (2—3 мес). В настоящее время этот промежуток значительно сокращен. Но если возможно сократить сроки протезирования, то вряд ли можно ускорить атрофию и формирование беззубого альвеолярного отростка, при котором седло протеза прилегало бы к слизистой оболочке протезного ложа всей своей поверхностью, равномерно распределяя жевательное давление.
К сожалению, организация хирургической подготовки нуждается в усовершенствовании. Нами (Кондрашов В. А., 1968) было обследовано 3726 больных, направленных в руководимую нами клинику на протезирование. Из них у 286 больных хирургическая подготовка не была закончена, у 48 — были острые выступы альвеол после удаления зубов. Иначе говоря, у каждого шестого больного операция удаления зуба была проведена без учета возможности будущего протезирования.
В профилактике повреждений тканей протезного ложа большую пользу приносит информация больного о правилах пользования протезами, ухода за ними. Он должен знать, как вести себя и куда обратиться при появлении недостатков в протезе (нарушение фиксации, балансирование, трещины, поломки базиса, кламмеров, выпадение искусственных зубов).
Когда протезирование будет закончено, больного нужно снабдить памяткой, в которой в доступной форме, без излишней медицинской специальной терминологии следует изложить правила пользования протезом, основы гигиены полости рта, советы, как вести себя при появлении неудобств, поломках протеза. В этой же памятке необходимо рекомендовать больным не реже 1 раза в год посещать врача. Нужно также предупредить больного о предлагаемых сроках нового протезирования.