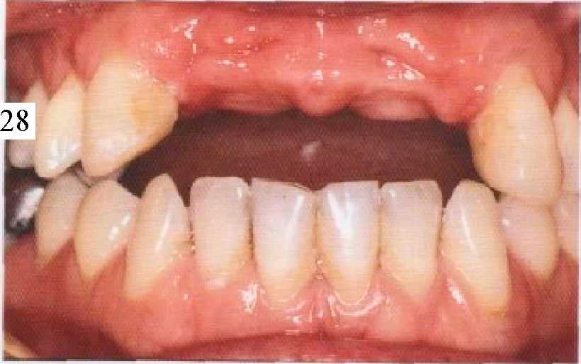
прогноз, касающийся их состояния. Неудачное положение (наклон) потенциальных опорных зубов может помешать применению несъемных протезов из-за необходимости устранения значительного объема твердых тканей зуба с целью установления удобного пути введения (рис. 2-7). Отмечается возрастающее неприятие препарирования интак-тных зубов под обычные несъемные протезы, в особенности у пациентов молодого возраста. Потеря здоровых тканей зуба является необратимой. И хотя есть данные, свидетельствующие, что срок пользования великолепно выполненными несъемными протезами может составить 15 лет и более, вероятность потери опорного зуба очень велика.
Адгезионные несъемные протезы показаны при замещении небольших дефектов зубных рядов протяженностью максимум в 2 зуба (рис. 28). Неблагоприятный прогноз в отношении опорных зубов делает сомнительным отдаленное успешное пользование несъемными про-
Рис. 2-7. Положение верхних клыков не способствует применению обычного несъемного мостовидного протеза.

Рис. 2-8. Использование двух адгезионных мостовидных протезов с односторонней опорой ятя замещения дефекта зубного ряда протяженностью в 2 зуба.

тезами, особенно при их значительной протяженности и сложности конструкции. К другим факторам риска относятся предшествующая терапия (обширное вмешательство), необходимость эндодонтического лечения или его адекватность, а также ослабленный пародонт. В данных обстоятельствах частичные съемные протезы являются простейшим, прагматичным и эффективным способом замещения утраченных зубов.

