Вертикальные нагрузки при жевании и сжатии зубов передаются на подлежащую кость через твердые и мягкие ткани протезного ложа — опору для съемного протеза. Это может быть сила растяжения через териодонт сохранившихся естественных зубов (опора на зуб), компрессия, действующая непосредственно через слизистую оболочку (опора на слизистую оболочку), или сочетанная опора как на зуб, так и на слизистую оболочку (см. рис. 3-4). Все частичные съемные протезы попадают под одну из этих трех категорий.
Способность тканей протезного ложа выдерживать жевательную нагрузку возрастает с увеличением имеющейся площади опоры. Наибольшая опора нужна при внедрении искусственных зубов в пищевой комок. Плошадь опоры, обеспечиваемая здоровым пародонтом зуба, в 3 или 4 раза больше той, что образуется на оставшемся гребне после удаления зуба. Кроме того, известно, что кость более благоприятно реагирует на нагрузку, вызываемую растяжением, чем сжатием. По этим причинам опора на зуб должна использоваться всякий раз, когда это возможно,
При планировании опоры на зуб необходимо учитывать количество и расположение искусственных зубов на протезе, функциональную принадлежность опорных зубов и состояние их пародонта. Как правило,
Таблица 3-2
Стабильность функции: обобщение критериев конструирования
Компоненты, обеспечивающие адекватную опору, ретенцию и стабилизацию
Опора на з6ы с помощью окклюзионных накяадок, когда это возможно Базисы (седла), опирающиеся на слизистую оболочку протезного ложа,
должны иметь большую площадь Дуги, ответвления, окклюзионные накладки и стабилизирующие элементы должны быть жесткими Наличие множественных окклюзионных контактов между естественными и искусственными зубами
Рис. 3-4. Варианты опоры для частичных съемных протезов, (а) Опора на зубы с помощью окклюзионных накладок, вызывающая вертикальный вектор нагрузки на челюстную кость через периодонт. (б) Компрессия кости, возникающая в результате опоры базиса частичного съемного протеза на слизистую оболочку, (в) Сочетание опоры на зуб и слизистую оболочку, имеющее место у частичных съемных протезов с концевыми седлами.



Рис. 3-5. Выбор опорных зубов, (а) Клыки и моляры являются отличными потенциальными опорными зубами для включенного дефекта зубного ряда, (б) Наклоненные моляр и боковой резей не могут быть использованы в качестве адекватных опорных зубов для данного включенного дефекта большой протяженности. Их нужно сочетать с опорой на слизистую оболочку. Сочетание опоры на зуб и на слизистую оболочку — лучший вариант, который может быть создан для концевого дефекта зубного ряда справа.
опорный зуб может выдержать свою собственную жевательную нагрузку в совокупности с нагрузкой полутора искусственных зубов. Клыки, первые и вторые моляры обеспечивают надежную опору, тогда как все нижние резцы и боковые верхние резцы представляют собой слабую опору, хотя, в свете ранее имевшегося заболевания пародонта, ситуация может изменяться (рис. 3-5).
Там, где опора на зуб признана недостаточной, должно использоваться применение дополнительной опоры на ткани протезного ложа. При использовании опоры на ткани протезного ложа необходимо попытаться уменьшить нагрузку на ткани. Этого можно добиться путем расширения прилегающей поверхности съемного протеза настолько, насколько это возможно, а также путем уменьшения количества искусственных зубов протеза или их ширины (см. рис. 3-6).
Это, безусловно, является хорошим приемом протезирования, который применяется в конструкции полного съемного протеза. Таким образом, если искусственные зубы должны улучшать функцию жевания, необходимо, чтобы они обеспечивали двусторонний и одновременный контакт между естественными и искусственными зубами, фиксируя при этом приемлемую окклюзионную высоту лица. Для многих пациентов это будет совпадать с существующим стабильным состоянием максимальных межбугорковых контактов (см. рис. 3-7),

Рис. 3-7. Окклюзионные контакты частичных съемных протезов созданы таким образом, чтобы они совпадали с существующим межбугорковым соотношением и поддерживали его.
Устойчивость к силам, стремящимся сместить съемный протез с тканей протезного ложа вертикально, —ретенция съемного протеза — зависит от нескольких факторов. Общими из них для всех типов съемных протезов являются удержание съемного протеза пациентом с помощью мышц и физические силы адгезии и когезии, создаваемые плотным прилеганием внутренней поверхности съемного протеза к тканям протезного ложа. В отдаленные сроки они служат значимыми факторами успешной ретенции. Однако для многих частичных съемных протезов необходима дополнительная механическая ретенция. Это достигается с помощью прямых и непрямых фиксаторов.
Прямые фиксаторы обеспечивают устойчивость к смешению съемного протеза с тканей протезного ложа по планируемому пути его выведения. Непрямые фиксаторы действуют с целью предотвращения сбрасывания съемного протеза с протезного ложа, например при наличии концевых седел (базисов). Величину ретенции, необходимую в каждом конкретном случае, определить трудно. Вероятно, это зависит от протяженности, количества и характера дефектов зубного ряда. То есть чем больше протяженность дефектов, тем сильнее требуется ретенция.
Включенные дефекты требуют меньшей ретенции, чем концевые. Кроме того, традиционно через несколько лет фиксаторы становятся неэффективными. Тем не менее, пациенты могут не замечать уменьшения ретенции (рис. 3-8). Это подчеркивает важность мышечного удерживания, осуществляемого пациентом, в отдаленные сроки полъзова-
Рис. 3-6. Применение основного принципа протезирования, заключающегося в расширении границ протеза, когда требуется опора на слизистую оболочку.


Рис. 3-8. Ретенция частичного съемного протеза, (а) Несмотря на неэффективность кпаммера в области левого первого нижнего премоляра, пациента устраивает ретенция частичного съемного протеза, (б) Два правильно сконструированных кламмера обеспечивают адекватную ретенцию данного частичного съемного протеза.
ния протезом. Учитывая их изначальную эффективность, на практике редко возникает необходимость более чем в двух прямых фиксаторах.
Боковые смещающие силы считаются потенциально наиболее повреждающими опорные ткани зубов и альвеолярного гребня, поэтому рекомендуется оказывать им сопротивление (устойчивость). Указанное сопротивление называется стабилизацией, В качестве опоры зубы обеспечивают лучшую устойчивость, чем ткани беззубого альвеолярного гребня или нёба (рис. 3-9). Рис. 3-9. Ответвления, противодействующие плечи кламмера. окютюзион-ная накладка над зубным бугорком клыка и борта базисов частичного съемного протеза вместе будут содействовать стабилизации данного частичного съемного протеза. Нх эффективность обеспечивается за счет жесткой небной дуги.

Для того чтобы элементы протеза могли эффективно передавать нагрузку на зубы, сами они должны быть жесткими и соединяться с базисами (седлами) и другими элементами жесткими дугами и ответвлениями.
Конструирование и предотвращение побочных эффектов
Наиболее важным фактором, предотвращающим увеличение поражаемое™ кариесом и прогрессирование заболевания пародонта в отдаленные сроки пользования протезом, несомненно, является эффективное удаление зубного налета. По аналогии, определенные принципы конструирования помогают свести к минимуму побочные действия протеза. Они обобщены в таблице 3-3.
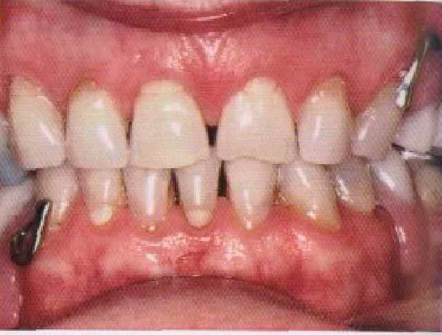
Покрытие десневого края, в частности, связано с ухудшением гигиены, увеличенным образованием зубного налета, поэтому его следует по возможности избегать (рис. 3-10). Если же это невозможно, то часть съемного протеза, покрывающая десну, должна также опираться на зуб и быть изолированной от десневой бороздки. Неправильное создание указанной опоры приведет к травме тканей десны во время экскурсий съемного протеза при жевании. Изоляция перекрытого десневого края без адекватной опоры на зуб вызовет пролиферацию и гипертрофию тканей десны с заполнением ею образовавшегося свободного пространства.
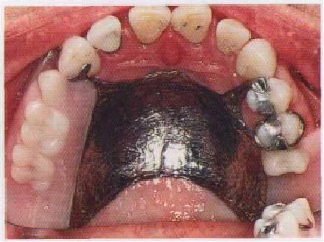
Конструкция съемного протеза должна быть настолько проста, насколько это допускает функция. Многие элементы частичного съемного протеза могут быть исключены без ущерба для качества восстановления функций с помощью указанной конструкции (рис. 3-11). Как было сказано выше, клинический опыт склоняет к мысли, что расширенные базисы, опирающиеся на слизистую оболочку, имеют тенденцию уменьшать резорбтивные изменения в подлежащей кости.
Таблица 3-3
Предотвращение побочного действия: обобщение критериев конструирования
Избегать ненужного покрытия десневого края
Обязательная опора на зубы при перекрытии десневого края
Простота конструкции
Максимальное увеличение площади седел, опирающихся на слизистую оболочку
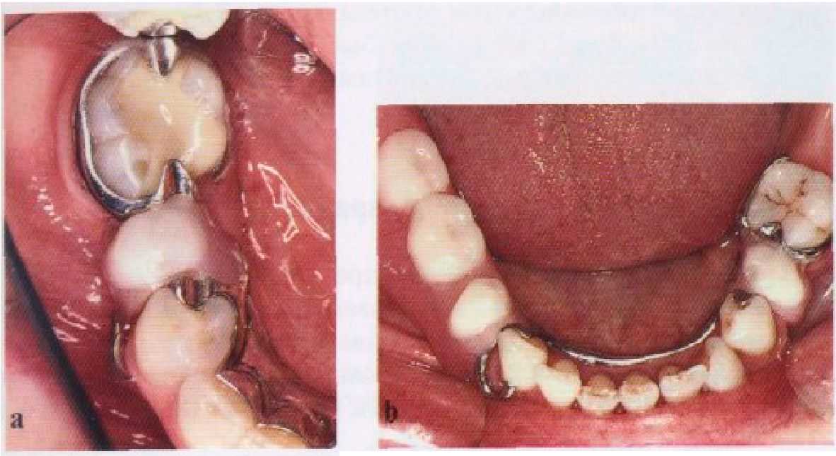
Рис 3-10 Примеры частичных съемных протезов: (а) на верхней и (б) на нижней челюсти где элементы протеза расположены таким образом, чтобы оставить свободным десневой край. (С разрешения проф. В, 0*al 1.)
Рис. 3-Й. Упрощение конструкции протеза путем устранения элементов, не являющихся необходимыми
Частичные съемные протезы
Рис. 3-12. Применение основополагающих принципов планирования частич-

ного съемного протеза традиционной (а) и «гигиеничной» (б) конструкции. (С разрешения проф. В.Оуа 11.)
П