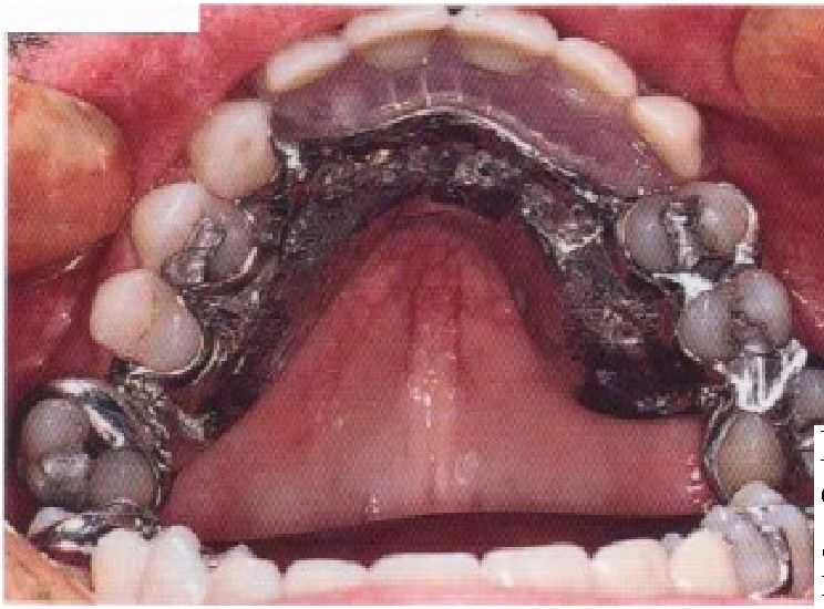
Название этой дуги точно отражает ее очертания (см. рис. 5-3). Это, вероятно, наименее желательная конструкция дуги на верхней челюсти, поскольку зачастую очень трудно совмещать адекватную жесткость с зазором с десневым краем. Эта дута показана при выраженном нёбном валике, препятствующем размещению дуги в серединных или дистальных участках твердого нёба, или при наличии у пациентов непереносимости дистального расположения верхнечелюстной дуги (вследствие повышенного рвотного рефлекса. —Примеч. ред.}. ™- 5-2, Кольцевидная дуга.

Рис. 5-3. Подковообразная дуга. К сожалению, использование этой дуги часто связано с `
Л
перекрытием десневого края.