Создание временных частичных съемных протезов часто показано при повышенной стираемости зубов и связанной с этим потере окклюзионной высоты лица (рис. 7-5). Эти съемные протезы используются с
рис. 7-4. Временный частичный съемный протез верхней челюсти применен для сохранения удовлетворительных внешнего вида и окклюзии на период лечения тканей пародонта и восстановления боковых зубов.


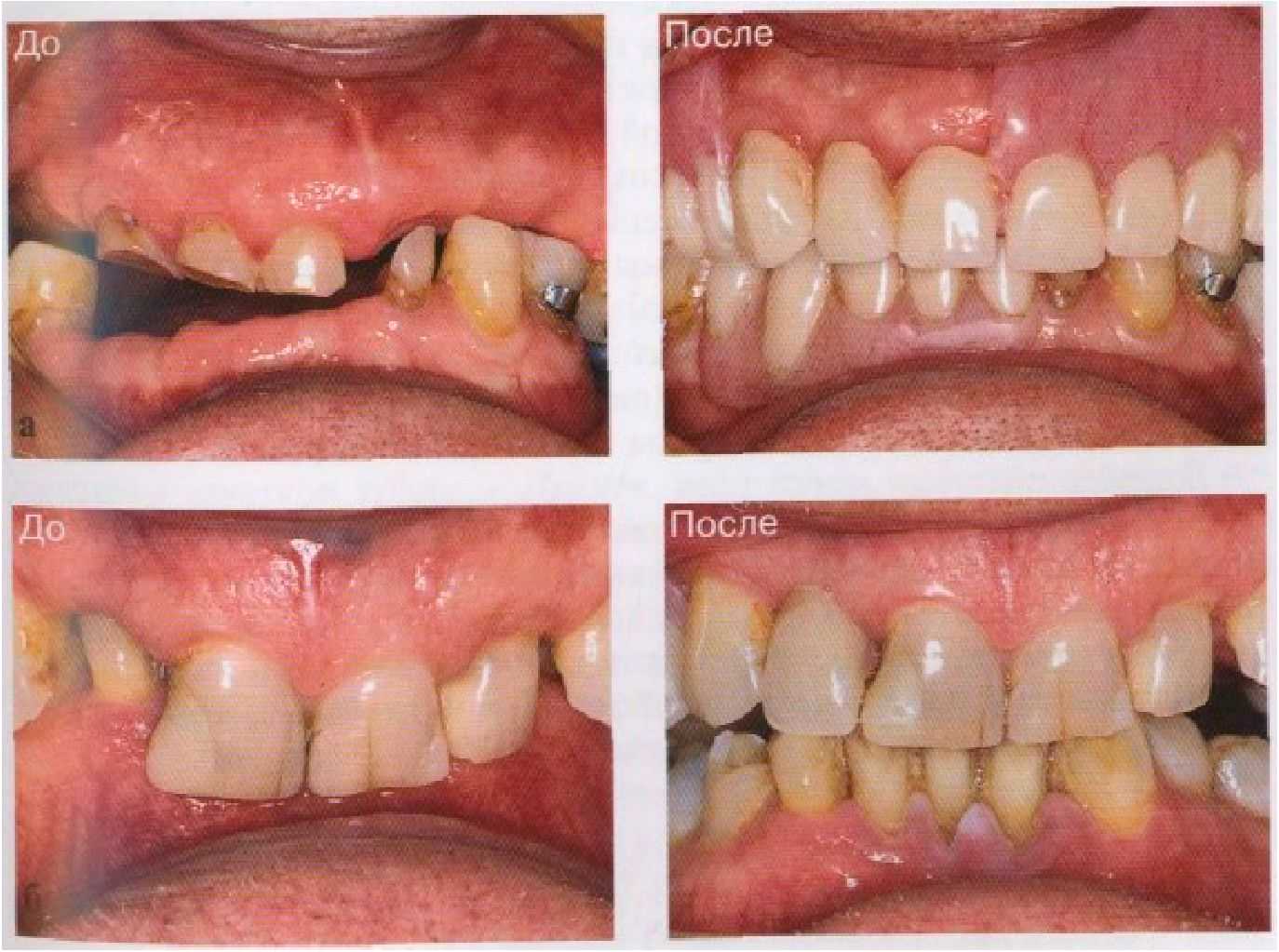
Рис. 7-5. (а б) Примеры применения временных частичных съемных протезов в качестве промежуточного средства восстановления приемлемого внешнего вида и увеличения высоты лица.
целью замещения утраченных зубов и сохранения стабильной окклюзии с учетом приемлемой окклюзионной высоты лица до и во время создания постоянных искусственных коронок, несъемных и съемных протезов.
В применении временных частичных съемных протезов только с целью установления приемлемой доя пациента увеличенной окклюзионной высоты лииа нет необходимости. Дело в том, что подавляющее большинство пациентов с частичной потерей зубов охотно соглашаются с увеличением окклюзионной высоты лица, необходимым доя восстановления удовлетворительного внешнего вида
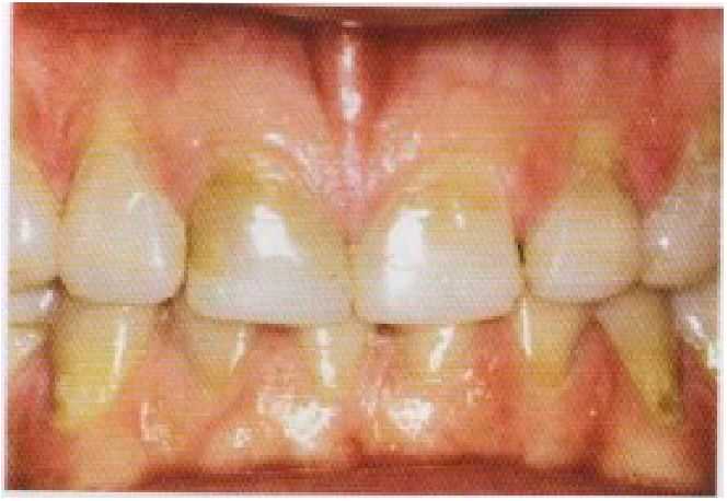
. Если замещения утраченных зубов временными частичными съемными протезами не требуется, то предпочтение отдается применению обычных адгезионпых композиционных пломбировочных материалов, обеспечивающих одномоментное увеличение высоты лица (рис. 7-6).
Возраст
Рис. 7-6. Использование обычного композиционного пломбировочного материала лля восстановления приемлемого внешнего вида и окклюзионной высоты лица без применения частичных съемных протезов. (С разрешения Мг.К. Топез.)

Молодым пациентам с частичной потерей зубов не требуется постоянных протезов на период роста, и, следовательно, возникает необходимость в серии временных съемных протезов. У детей с гиподентией постоянное замещение отсутствующих молочных зубов зачастую откладывается до момента прорезывания постоянных зубов и завершения их необходимого ортодонтического перемещения

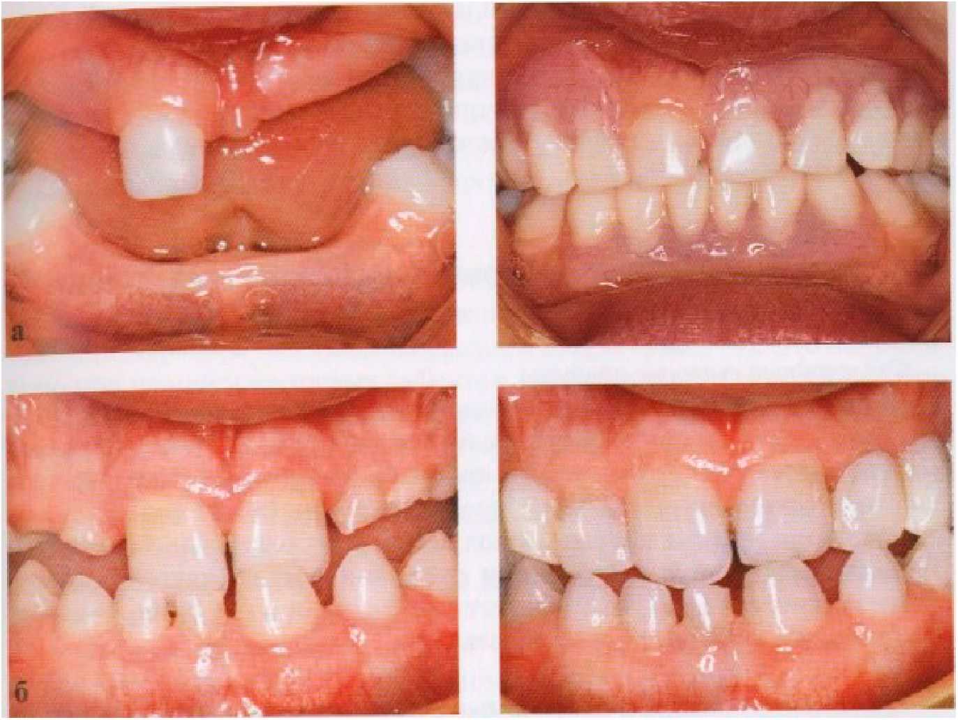
Рис. 7-7. (а, б) Примеры применения временных частичных съемных протезов у детей со значительной гиподентией.
Когда планируется постоянное замещение адентии (врожденного отсутствия зачатков зубов. — Пргшеч. ред.) путем протезирования с использованием имплантатов, этот план не реализуется до тех пор, пока не завершится период роста. В течение этого времени по эстетическим и функциональным показаниям применяются временные частичные съемные протезы. Это обычно имеет место у пациентов со значительной гиподентией. У них применение обычных съемных протезов, опирающихся на слизистую оболочку, а также перекрывающих имеющиеся зубы и восстанавливающих окклюзионную высоту лица, вызывает значительное улучшение внешнего вида и функций жевания и речи (рис. 7-7).
Подобные протезы также могут применяться в качестве ретенционных аппаратов после завершения активного периода ортодонтического лечения. С учетом происходящего роста челюстей и прорезывания зубов, съемный протез обычно делается из акриловой пластмассы, что позволяет его легкую подгонку и реконструкцию. И это предпринимается несмотря на возможность поломки и потери съемного протеза. В большинстве случаев достаточное улучшение внешнего вида и функций жевания и речи может быть достигнуто путем создания только протеза верхней челюсти. Это облегчает применение конструкции, которая, улучшая внешний вид пациента, исключает нежелательные повреждения мягких тканей.