Рис. 7-11. Планирование удаления всех имеющихся зубов, (а) Количество и состояние сохранившихся зубов не позволяет использовать их в качестве опоры частичного съемного протеза, (б) Сочетание деформации зубных рядов, атрофии альвеолярного гребня и некоторых других факторов делает невозможным создание функциональных постоянных частичных съемных протезов. Значительно переместившиеся зубы необходимо удалить.
При этом полные съемные покрывающие протезы нижней челюсти, использующие клыки в качестве опор, а также временный частичный съемный протез верхней челюсти будут оптимальным выбором, (в) Ретенция за счет сохранившихся зубов нижней челюсти возможна. Однако нижний зубной ряд смыкается с полным съемным протезом верхней челюсти, которому присуща некоторая нестабильность из-за неидеальной опоры на сохранившийся беззубый альвеолярный гребень верхней челюсти. В этой ситуации полный покрывающий протез нижней челюсти будет более функциональным, чем частичный съемный протез.
съемным протезом до того, как все оставшиеся зубы будут утрачены. Отсюда название протезов — учебные, или тренировочные.
Процедура удаления будет зависеть от конкретных обстоятельств (индивидуальных особенностей), но часто ее первая стадия включает удаление всех или большинства боковых зубов. На протяжении нескольких месяцев, пока альвеолярный гребень в области удаленных боковых зубов примет относительно стабильную форму, пациент пользуется временными съемными протезами. После того как эти протезы будут использоваться в течение определенного периода времени, их можно одномоментно превратить в полные съемные протезы (рис. 7-12).


Искусственные зубы добавляются к съемным
протезам сразу вслед за удалением естественных зубов. Подобный подход обычно менее травма-тичен для пациентов, многие из которых получают
■ значительную функциональную пользу от | зубов, кажущихся безнадежными, на i протяжении достаточно длительного времени, откладывая при этом окончательное применение полных съемных протезов.
Для немедленного добавления искусственных зубов к съемному протезу необходимо получить оттиск челюсти вместе с протезом, расположенным на тканях протезного ложа. Съемный протез остается в оттиске во время отливки модели и затем переходит на готовую модель, а гипсовые зубы, подлежащие замещению, срезаются на модели один за дру-
им. Каждый удаленный зуб замещается искусственным зубом, который занимает то же самое положение.
Рис. 7-12. Перевод (а) обычного временного частичного протеза в (б) полный съемный протез.

Таблоца 7 -1 Преимущества и недостатки применения частичных съемных протезов с целью облегчения перехода к полной потере зубов
Недостатки Простота и экономичность Повторяющиеся добавления к протезу отвлекают больного от привычного социального ритма Относительная атравматичность Неожиданно возникающие проблемы со стороны сохранившихся зубов Сохранение удовлетворительного Трудности конструирования функвнешнего вида, функции жевания и цельных съемных
протезов Можно использовать информацию о Положение и топография сохранивфиксированнои сохранившимися
нежелательными зубами межовеолярнои высоте
Увеличение сроков лечения Предпочтение (одобрение) со стороны
пациента Адаптация к съемным протезам После приведения к соответствию рельефа мягких тканей, предполагаемого после удаления зуба, искусственный зуб крепится к съемному протезу с помощью быстротвердеющей акриловой пластмассы, а затем формируется борт протеза. В итоге, когда все удаления проведены, реконструированные съемные протезы заменяются согласно назначению.
Преимущества и недостатки указанного использования временных частичных съемных протезов с целью облегчения перехода к полным съемным протезам представлены в таблице 7-1.
Когда определены зубы, пригодные в качестве опор для покрывающего протеза, добавление сверхлежащих искусственных зубов будет представлять собой этап окончательной реконструкции имеющихся протезов в полные съемные. Необходимое эндодонтическое лечение обычно выполняется до добавления искусственных зубов к частичным съемным протезам, в то время как коронка зуба может сошлифовывать-ся так, чтобы служить опорой для перекрывающего протеза (рис. 7-13).
Если пациент пользуется удовлетворительными частичными съемными протезами, то существует возможность преобразования этих конструкций в полные съемные протезы путем непосредственного их дополнения. Имеющиеся частичные съемные протезы далеко не всегда подходят для этой цели. Поэтому они могут быть использованы в качес-
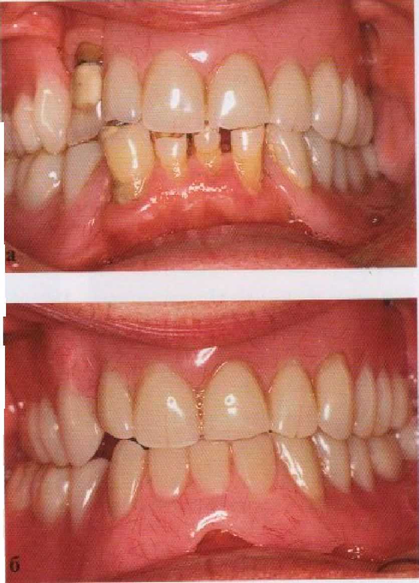
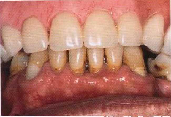
Рис. 7-13. Серия фотографий, показывающая окончательную реконструкцию временных частичных съемных протезов в полные перекрывающие протезы, (а) Временный частичный съемный протез, располагающийся на тканях про тезного ложа до получения оттиска и добавления левых клыка и первого премоляра верхней челюсти к съемному протезу, (б) Левый первый премоляр верх ней челюсти был удален, а клык препарирован в качестве опоры для перекры вающего протеза, (в) Непосредственное наложение реконструированного съемного протеза в полость рта.
тве промежуточного этапа для добавления боковых зубов, пока готовятся обычные непосредственные замещающие полные съемные протезы.
Ключевые моменты
• Временные частичные съемные протезы играют важную роль в качестве промежуточных конструкций, восстанавливающих и сохраняющих внешний вид пациента и стабильные множественные окклюзионные контакты.

Существуют показания к их применению в качестве непосредственных замещающих частичных съемных протезов, а также промежуточных протезов во время длительного восстановительного лечения у молодых пациентов, в период роста и прорезывания зубов. Простые учебные (тренировочные) частичные съемные протезы играют важную роль в постепенном переходе к полной потере зубов.
Глава