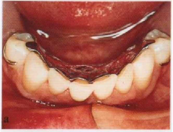
Наиболее распространенный способ заключается в том, чтобы сначала улучшить прилегание каркаса съемного протеза. Затем нужно присоединить плотно прилегающие временные седла протезов, замещающих концевые дефекты зубного ряда, с помошью которых и будет получен оттиск беззубого альвеолярного гребня (см. рис. 11-4).
Может потребоваться оформление дистального края базиса с язычной поверхности. Это лучше осуществить с помошью быстротвердею-щей пластмассы или зеленой термопластической массы. Реже возникает необходимость окантовки шечного борта.
Для получения равнозначно приемлемых результатов может быть использовано несколько отгаскных материалов. К ним относятся цинкоксидэвгеноловая масса, эластомеры низкой вязкости и оттискные воски, хотя первый из перечисленных является, вероятно, наиболее подходящим
. При использовании циинкоксидэвгенолового оттискного мате-

1"Рлл`лОДДОТО`-`я» *
У
""РЯ
ЛЛ
Рис. 11-4. Функциональный оттиск: (а) каркас с плотно прилегающими базисами установлен на ткани протезного ложа и на седла оказывается давление. Образующееся в результате этого смещение седел приводит к приподниманию дуги над язычными поверхностями передних зубов. Если этого смешения не произошло и границы седел являются приемлемыми, то получение функционального оттиска не
____требуется; (б) окантовка дис-
тального отдела язычного борта с помощью зеленой термомассы; (в) оттиск, полученный с помощью цинкоксидэвгеноловой оттискной пасты.
риала полезно удалить излишки из поднутрений, с дистальной поверхности опорных зубов перед его затвердеванием.
Для того чтобы достичь смещения мягких тканей за счет компрессии, важно полностью полагаться на оттискной материал. Оказываемое давление должно падать на ту часть каркаса, которая опирается на зубы, в то время как непосредственно на седла давления оказываться не должно. Это дополнительно подтверждает полное наложение каркаса и сохраняет его в этом положении во время получения оттиска. Излишки оттискного материала следует отделить от полученного оттиска, и оттиск повторно вводится в полость рта для подтверждения правильного наложения каркаса.
Функниона1ьный оттиск используется для коррекции рабочей модели, и дальнейшее создание съемного протеза осуществляется на этой новой модифицированной модели (рис. 11-5). Помимо теоретической выгоды методики получения измененной модели важным практичес-



Рис. 11-5. (а, б) Модификация рабочей модели при помощи функционального оттиска.
ким преимуществом является то, что она создает условия дгея более четкого определеЕшя границ съемного протеза и области дуги. Это обычно сложней достигается на основе рабочего оттиска.
Дэешьей факт скорее является практичесЕсим, а не теоретичесЕсим преимуществом, приводящим к улучшеЕшой стабильности седел протезов, замещающих концевой дефект зубного ряда, несомненно связэнешм с исполь зованием вышеуказанной методиЕси.
Обычные ошибки
• Излишнее расширение вестибулярного борта и использование избыточного количества отгисесного материала.
• Неплотное прилегание каркаса к зубам во время получения отгасЕса.
Окончательная регистрация
Целями этой стадии являются:
• регистрация окоЕмательного цеЕггрального соотношения челюстей дгея частичЕшх съемЕшх протезов;
• выбор цвета и формы исЕсусствеЕшых зубов.
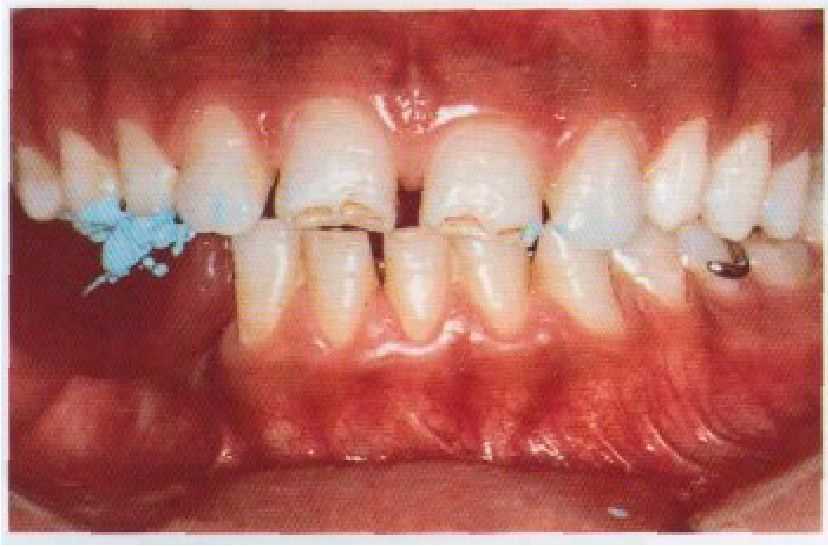
Регистрация цеЕггрального соотношения челюстей должна быть ранее определена при обследовании пациеЕгга и изучении артикулирующих диагностичесЕсих моделей челюстей. ОкоЕтчательная регистрация делает возможной артикуляцию рабочей модели с наложенным на нее каркасом согласно этим оесклюзиоешьем взаимоотношениям (см. рис. 11-6). В со-

Рис. 11-6. Окончательная регистрация центральной окклюзии, как указывалось выше. Имеют место нормальные межзубные контак ты, и элементы съемного протеза подогнаны так, что накладки и кламмерные плечи не создают помех правильным окклюзионным взаимоотношениям.
ответствии с
предварительной
регистрацией, доя подавляющего большинства пациентов определяемое соотношение челюстей представляет собой положение центральной окклюзии.
Если утрачены только несколько зубов, то нет необходимости в проведении окончательной регистрации и рабочие модели челюстей с каркасами могут быть точно составлены в положении центральной окклюзии «вручную». Но чаше доя обеспечения стабильной окончательной регистрации необходимо использование восковых базисов с окклюзионными валиками. Последние должны быть обработаны так, чтобы обозначить направление окклюзионных плоскостей и шечно-язычного положения искусственных зубов, если это недостаточно точно определяется положением зубов-антагонистов и опорных зубов.
Определение окклюзионной высоты лица необходимо, когда при помоши частичных съемных протезов планируется коррекция глубокого перекрытия, образовавшегося в результате повышенной стираемости твердых тканей зубов или потери фиксированной межальвеолярной высоты. Новая окклюзионная высота лица должна быть установлена на артикулирующих диагностических моделях челюстей одновременно с окклюзионными взаимоотношениями, соответствующими новой высоте.
Обращение к высоте функционального покоя и свободному межокклюзионному пространству при потере зубов на обеих челюстях требуется на практике довольно редко, но представляет очевидную ценность тогда, когда противоположный зубной ряд восстановлен с помощью полного съемного протеза.
В подборе зубов помогают сохранившиеся естественные зубы, предоставляющие зубному технику необходимую информацию. Выбор цвета искусственных зубов может представлять определенные сложности и потребовать индивидуальных изменений искусственных зубов для точного их соответствия соседним сохранившимся зубам.
Обычные ошибки, допускаемые на этой стадии, во многом подобны ошибкам, допускаемым на этапе предварительной регистрации, которые описаны в главе 8.