|
В идеальном случае границы препарирования в придесневой области должны быть видны невооруженным глазом или доступны для проверки зондом. Такое наддесневое или придесневое положение края коронки идеально для снятия оттиска, оценки точности прилегания и последующего проведения гигиенических мероприятий. Однако в этом случае страдает эстетика. Поэтому подобное препарирование целесообразно проводить только в жевательной области. Во фронтальном отделе с вестибулярной стороны проводится поддесневое препарирование с погружением коронки на 0,5 мм в зубодесневой желобок. Положение уступа при кариозном разрушении зуба определяется степенью разрушения. Между краем коронки и восстановительным пломбировочным материалом должно находиться около 1 мм полноценных твердых тканей зуба (рис. 90).
Препарирование опорных зубов при применении интракоронарных замковых креплений проводится так же, как и для жестких экстракоронарных аттачменов. Также следует учитывать расположение фрезерованных ответвлений съемной части протеза на оральной поверхности коронок. Отличием является заключительный этап, на котором формируют ящикообразную полость для расположения матрицы замкового крепления. Полость должна быть сформирована таким образом, чтобы поместить замковое крепление в пределах контура коронковой части. Для правильного создания полости врач должен знать габаритные размеры замкового крепления, которые следует увеличить приблизительно на 0,6 мм по ширине и на 0,3 мм по глубине для расположения стенок коронки (рис. 91).
Рис.91. Препарирование при применении интракоронарных замковых креплений Препарирование при применении телескопических фиксаторов Препарирование опорных зубов при применении телескопических фиксаторов проводят с круговым поддесневым уступом в 135° и сохранением высоты коронковой части не менее 5 мм (рис. 92). По сравнению с препарированием под металлокерамическую коронку сошлифовывается на 0,3 мм больше твердых тканей для размещения первичной коронки. В работе можно использовать алмазные турбинные боры: № 314.697.524 для маркировки кругового уступа, для снятия слоя эмали № 314.142.534, для препарирования дентина № 314.173.524; № 314.131.514 для предварительного оформления уступа № 314.033.534 для обработки окклюзионной поверхности (формы рабочей части даны по стандарту ISO). Окончательное оформление уступа проводится микромотором со скоростью вращения до 50 тыс. об./мин алмазными или твердосплавными борами. Препарированиезавершается сглаживанием острых кромок и маркировкой вертикагьного желобка по месту изготовления фрикционного штифта. Рис.92. Препарирование опорных зубов под телескопическую коронку При незначкельном количестве сохранившихся зубов, когда и применяются главным образом телескопические коронки, на опорных зубах оченьчасто определяется пародонтальный карман, глубиной более 1,5 мл. При нормальных условиях граница препарирования лежит у дна зубодесневой борозды, здесь проходит замыкающий край телескопичэской коронки. В условия пародонтального кармана не следует стремиться проводить препарирование на всю глубину. Чем глубже в пощесневую область планируется погружение края коронки, тем больие неточностей может возникнуть при снятии оттисков и, в конечном итоге, ухудшится качество прилегания первичной коронки к отпрепарированному зубу, что может приводить к хронической травме дэсневого края, ретракции десны и развитию вторичного кариеса под коронкой. Поэтому целесообразно в условиях пародонтального кармана проводить поддесневое препарирование на глубину не более 1 мм или проводить предварительную пародонтологическую коррекцию хирургическим способом. Поддеснева! часть отпрепарированной культи закрывается только каркасом перзичной коронки, поэтому поддесневой край внутреннего телескопа специально выделяют путем полировки от поверхности сцеплени!, покрываемой наружным телескопом. Край наружюй телескопической коронки заканчивается непосредственно перед десневым краем и не погружается под десну. Слишком длинный наружный телескоп, который погружается в поддесневую область вызывает образование неприятного запаха вследствие того, что в «зазор» между первичной и вторичной коронками всасывается жидкость из зубодесневой борозды. Поэтому внутренняя телескопическая коронка длиннее наружной коронки на величину поддесневого полированного края (рис. 93).
Существует несколько видов подготовки опорных зубов для изготовления покрывных протезов: • с телескопическими фиксаторами; • с поддерживающими элементами; • с аттачменами в канале корня; • с аттачменами на корневых колпачках; • с магнитными фиксаторами. Подготовка опорных зубов при применении покрывных протезов с телескопическими фиксаторами ничем не отличается от препарирования при изготовлении комбинированных протезов с фиксацией телескопическими коронками. Препарирование опорных зубов под поддерживающие элементы может проводиться двумя способами. В первом случае после сошлифовывания опорного зуба до 1 мм выше десневого уровня производится закрытие входа в корневой канал пломбировочным материалом. Во втором случае опорный корень покрывают литым колпачком, поэтому подготовка твердых тканей производится как при изготовлении культевой вкладки. Подготовка корней зубов под ретенционные элементы, установленные непосредственно в канал корня и под магнитные фиксаторы, аналогична установлению анкерного штифта. К каждому ретенционному элементу фирма-производитель прилагает специальные развертки для подготовки канала корня (рис.94).
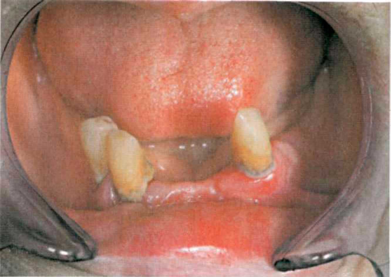
В начале препарирования следует укоротить опорные зубы до 1,5-2 мм (рис.95). Затем распломбировывают канал на 2/3 длины корня. Стандартными развертками расширяют канал и формируют площадку, перераспределяющую жевательное давление (рис. 96). После этого примеряют и цементируют фиксирующие элементы: ретенционные элементы, установленные непосредственно в канал корня, или магнитные фиксаторы (рис. 97).
При препарировании под элементы, установленные на корневые колпачки, над уровнем десны следует оставлять не менее 1,5 мм твердых тканей. Вначале укорачивают опорный зуб на 2 мм и производят распломбировку канала на 2/3 длины корня. Далее стандартной разверткой расширяют канал и устанавливают для ориентира продольной оси зуба оттискной штифт. Такие штифты могут быть стандартные (например, фирмы Mailleffer) или изготовленные самостоятельно, как при моделировании литой культевой вкладки. Затем производится препарирование наружных стенок корня, параллельно длинной оси зуба, допускается погружение уступа-скоса на 0,5 мм ниже десневого уровня (рис. 98).
На следующем этапе сглаживают острые края с укорочением твердых тканей до 1,5 мм выше десневого уровня. С вестибулярной стороны формируют круглый уступ, располагающийся выше пришеечного уступа. После этого производится препарирование внутренней части корня под полость ящикообразной формы, распределяющей жевательную нагрузку (рис. 99).
|
Препарирование опорных зубов
| КЛИНИКО-ЛАБОРАТОРНЫЕ ЭТАПЫ ИЗГОТОВЛЕНИЯ КОМБИНИРОВАННЫХ ПРОТЕЗОВ С ЗАМКОВОЙ И ТЕЛЕСКОПИЧЕСКОЙ ФИКСАЦИЕЙ ПРЕПАРИРОВАНИЕ ОПОРНЫХ ЗУБОВ Одним из наиболее важных факторов, определяющих успех лечения, является правильное препарирование опорных зубов. При протезировании комбинированными протезами существует несколько видов подготовки твердых тканей опорных зубов: • при применении замковых креплений; • при применении телескопических коронок; • при применении покрывных протезов. Препарирование при применении замковых креплений Препарирование опорных зубов при применении полулабильных и лабильных экстракоронарных замковых креплений ничем не отличается от препарирования под металлокерамическую коронку. Следует соблюдать следующие правила: высота культи должна быть не менее 5 мм, конусность стенок 2-3°. На фронтальных зубах создается прямой или 135° вестибулярный уступ и символ уступа с оральной поверхности. На жевательных зубах — круговой уступ в 135°. При препарировании для применения жестких экстракоронарных аттачменов с обязательным фрезерованием опорных коронок следует подготовить достаточно места для размещения интерлоков в межзубных промежутках и фрезерованных ответвлений съемной части протеза с оральной поверхности, чтобы избежать увеличения контура опорных коронок. Оптимальная толщина фрезерованного ответвления и диаметр интерлока составляют 0,8 мм. Поэтому с оральной поверхности следует создать уступ шириной 1,1 мм, а в межзубном пространстве расстояние между проксимальными стенками опорных зубов должно составлять не менее 1,4 мм. Положение уступа по отношению к десневому краю (наддесневое, придесневое и поддесневое) определяется эстетическими условиями и кариозным разрушением твердых тканей (рис. 89).
|









