|
Для клинической ситуации, представленной на рисунке 117, было выбрано несъемное протезирование мостовидным протезом на верхней челюсти и малый седловидный протез нижней челюсти с замковым креплением Deguswing. Этап 3. Проектирование протеза на диагностических моделях, определение плана подготовки полости рта к протезированию. Этап 4. Препарирование опорных зубов. Жевательные опорные зубы препарируют с круговым поддесневым или придесневым уступом в 135° и сохранением высоты коронковой части не менее 5 мм (рис. 118).
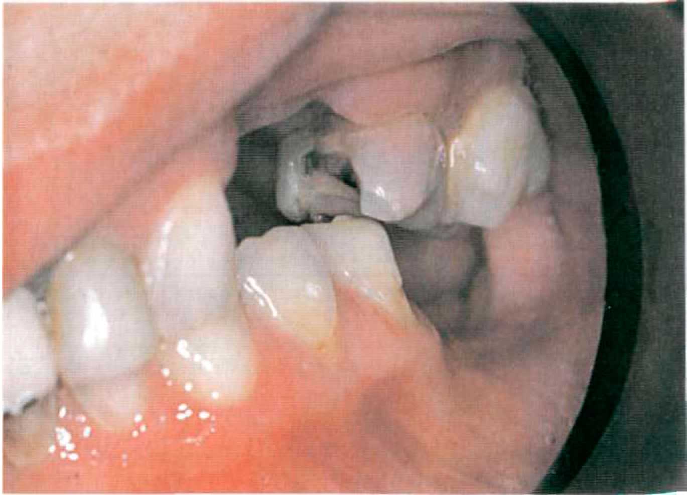
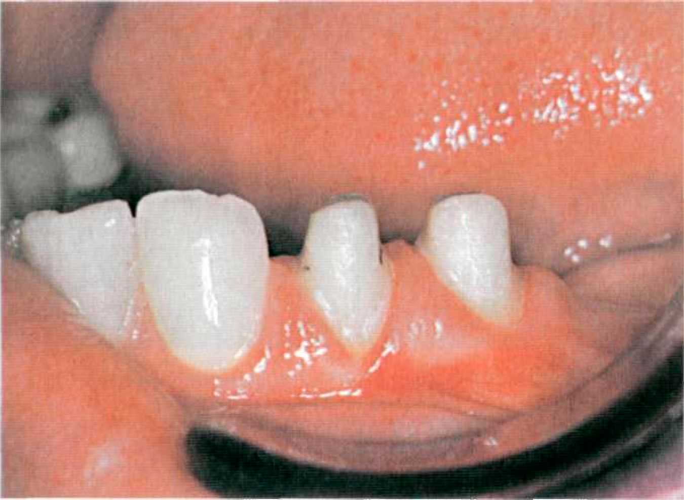
В данной клинической ситуации оттиск препарированных опорных зубов и челюстей снимали, используя поливинилсилоксановую массу «Dentstar» (Германия), препарированные зубы покрывали временными коронками (рис. 119). Этап 5. Изготовление каркаса коронок опорных зубов с патрицей или матрицей аттачмена, установленной в параллелометре. В случае замкового крепления Deguswing на восковые колпачки опорных коронок устанавливается патрица аттачмена (рис. 120). Этап 6. Примерка каркаса коронок опорных зубов во рту (рис. 121). Выбор цвета керамической облицовки. Этап 7. Примерка коронок опорных зубов с облицовкой (рис. 122). Коррекция окклюзии, цвета.
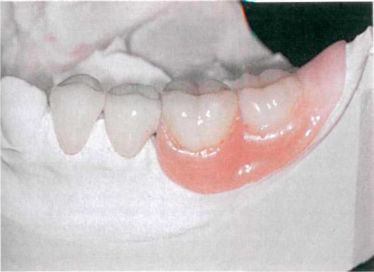
Этап 9. Изготовление рабочей модели (рис. 124). После изготовления рабочей модели в патрицу или матрицу замкового крепления, закрепленного на опорных коронках, устанавливают комплементарую часть замкового крепления (или ее аналог, в зависимости от типа аттачмена). Чаще всего модель дублируют и моделировку базиса съемной части протеза проводят на огнеупорной модели. Затем каркас отливают, припасовывают на модели, проводят постановку зубов. По обычной методике заменяют воск на пластмассу, проводят шлифовку и полировку протеза. На последнем этапе в съемной части протеза закрепляют вторую часть замкового крепления. В случае применения полулабильного крепления Deguswing базис малого седловидного протеза изготавливается без металлического каркаса (рис. 125).
Этап 10. Проверка готового протеза в полости рта. Оценивают точность посадки аттачмена и при необходимости корректируют, проверяют функцию аттачмена. Затем выверяют окклюзионные контакты. Этап 11. Цементировка несъемной конструкции под контролем надетой съемной части (рис. 126). Между патрицей и матрицей должен быть помещен вазелин или залит воск для предотвращения попадания цемента.
Этап 12. Рекомендации пациенту о правилах пользования и ухода за протезом, сроках контрольных осмотров. Обучение правилам снятия и надевания протеза. Этап 13. Все пациенты на протяжении всего срока пользования комбинированными протезами должны находиться под диспансерным наблюдением. После предварительного контроля плотности прилегания базиса протеза к протезному ложу корригирующим слоем силиконового оттискного материала при необходимости следует провести перебазировку базиса протеза. В полости рта перебазировку прямым методом можно провести базисной пластмассой холодного отверждения, например, «REBARON» (фирмы «GC», Япония). Следует отметить, что чем больше степень податливости слизистой оболочки, тем чаще приходится проводить перебазировку базиса протеза. |
КЛИНИКО-ЛАБОРАТОРНЫЕ ЭТАПЫ ИЗГОТОВЛЕНИЯ КОМБИНИРОВАННЫХ ПРОТЕЗОВ С ПОЛУЛАБИЛЬНЫМ ЗАМКОВЫМ КРЕПЛЕНИЕМ
| КЛИНИКО-ЛАБОРАТОРНЫЕ ЭТАПЫ ИЗГОТОВЛЕНИЯ КОМБИНИРОВАННЫХ ПРОТЕЗОВ С ПОЛУЛАБИЛЬНЫМ ЗАМКОВЫМ КРЕПЛЕНИЕМ Основные клинико-лабораторные этапы изготовления комбинированного протеза с полулабильным замковым креплением аналогичны изготовлению комбинированного протеза с жестким креплением. Отличием является отсутствие фрезерования опорных коронок, применение которого приведет к устранению подвижности между опорными коронками и съемной частью протеза. Последовательность клинико-лабораторных этапов мы приводим на примере изготовления малого седловидного протеза с полулабильным замковым креплением Deguswing фирмы Degussa/ Degudent. Этап 1. Изготовление диагностических моделей для оценки вертикального расстояния между зубными рядами, размеров и формы опорных зубов, плоскости окклюзии, топографии дефекта, степени и формы атрофии альвеолярного гребня. Определение и регистрация привычной и центральной окклюзии в артикуляторе. Изучение пространства для расположения аттачмена между зубами-антагонистами (в случае использования экстракоронарного аттачмена). Этап 2. Выбор подходящего аттачмена, исходя из клинической ситуации и результатов рентгенографического исследования топографии пульповой камеры.
|









