|
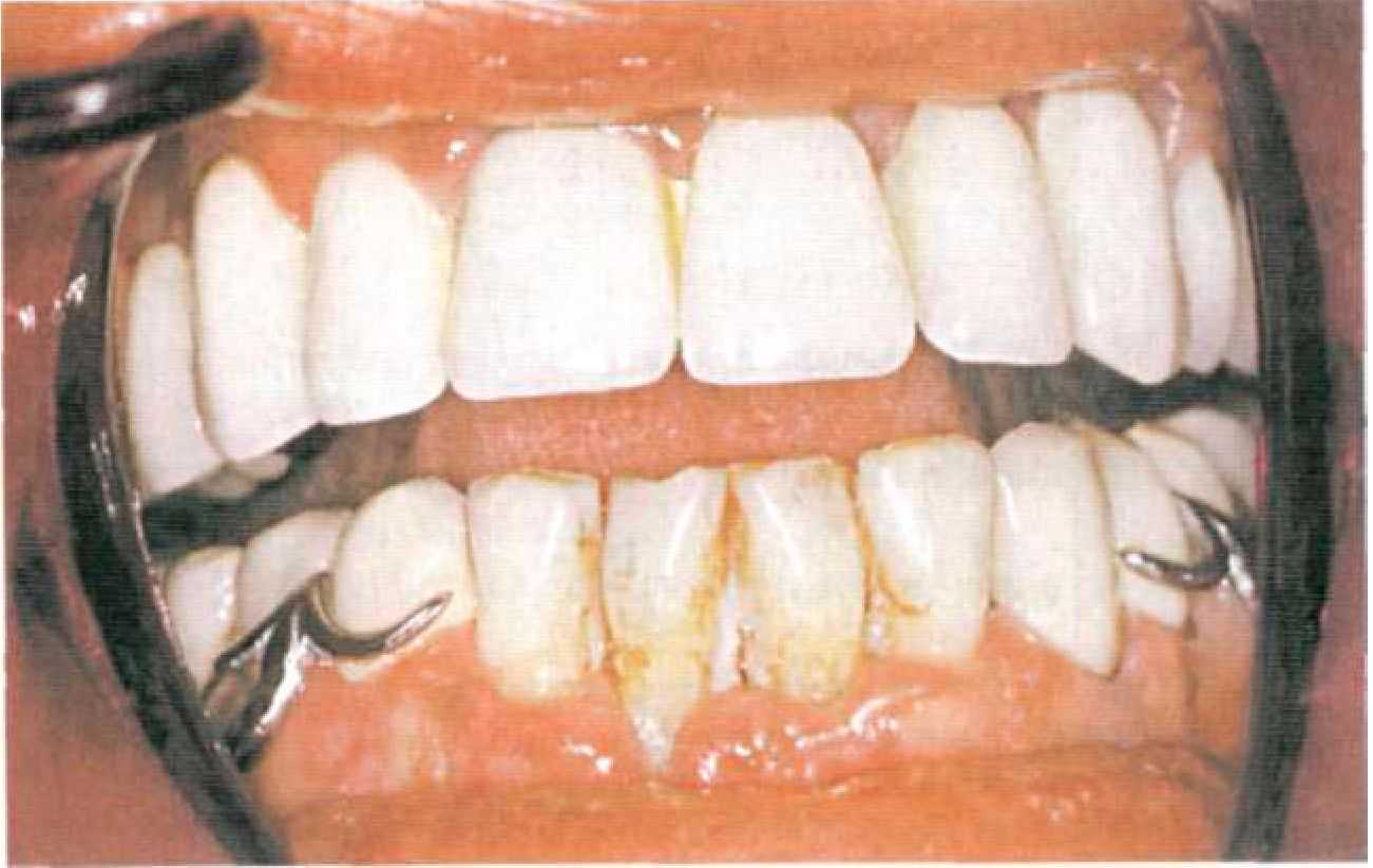
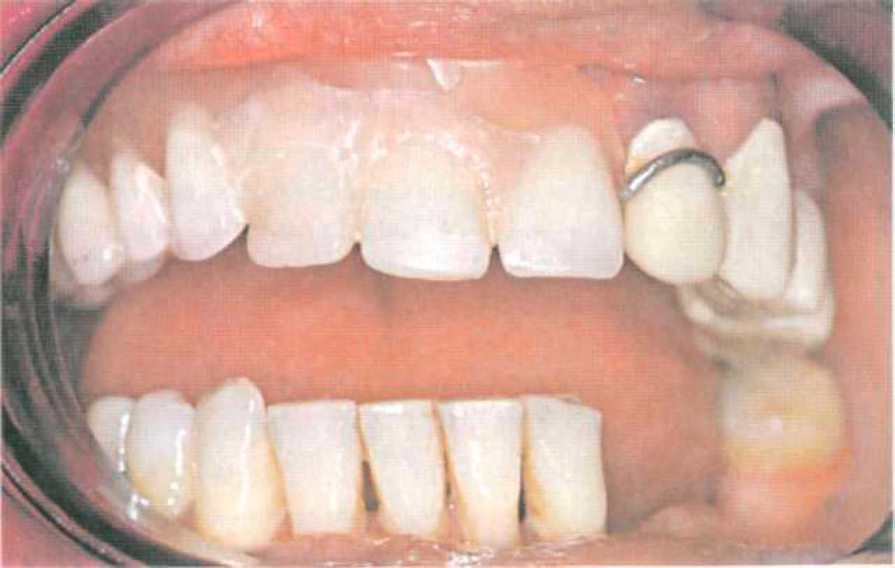
Дефект зубного ряда нижней челюсти 1 класса по Кеннеди, компенсированный клинически удовлетворительным бюгельным протезом с кламмерной фиксацией. ТТЗ — 16, 15, 13, 12, 11 зубы депульпированы. Каналы запломбированы удовлетворительно, изменения в периапикальных зонах отсутствуют. Культевые части опорных зубов укреплены анкерными штифтами с восстановлением композитным материалом. Пар — Хронический генерализованный пародонтит в стадии компенсации и субкомпенсации у 41 и 31. Низкая гигиена полости рта. ПЛ — Слизистая оболочка протезного ложа I типа по Люнду. Гипертрофический гингивит в области 41-31. Атрофия альвеолярного отростка беззубого участка верхней челюсти I типа по Эльбрехту. Пр — Прикус ортогнатический. Результаты обследования приведены на одонтопародонтограмме (рис. 172).
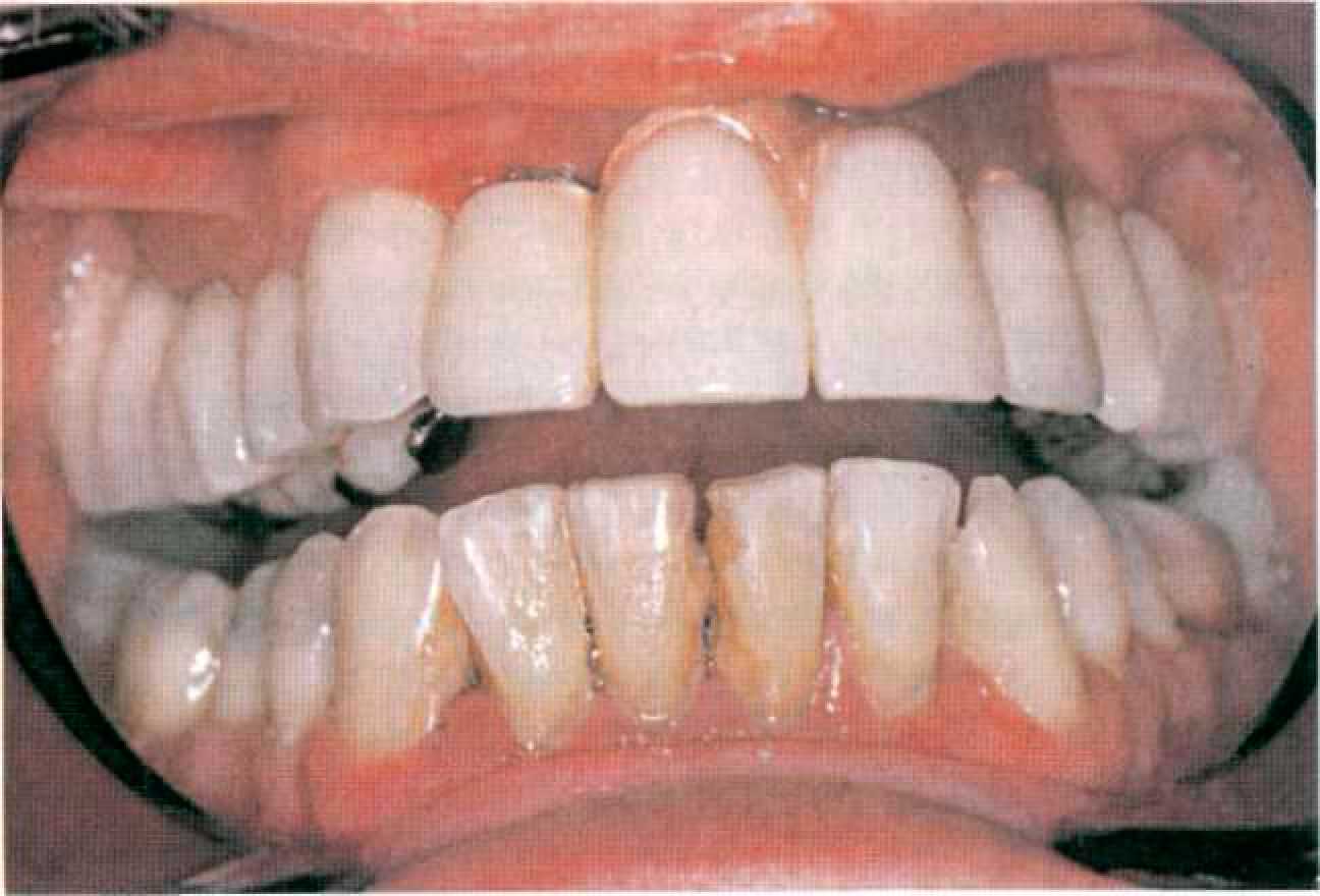
После обследования составлен план лечения: I. Подготовительный этап. 1.1. Обучение гигиене полости рта и правилам ухода за протезами. 1.2. Профессиональная гигиена полости рта. 1.3. Пародонтальная санация в области 41-31. II. Протезирование зубного ряда верхней челюсти. 2.1. Изготовить временную съемную косметическую пластинку на верхнюю челюсть с перекрытием опорных зубов 16-11 по типу покрывного протеза. 2.2. Изготовить комбинированный протез на верхнюю челюсть (рис. 173). 2.2.1. Металлокерамический протез с опорой на 16, 15, 13, 12, 11 с фрезерованием небной поверхности всех коронок и фасетки, интерлоков между 14-13; 12-11 и дистально на 16, а также интеркоронарного аттачмена между 16-15 и интеркоронарной матрицы Т-образного аттачмена на 11, пришеечного уступа на коронках 16, 14, 13, 12, 11. 2.2.2. Бюгельный протез верхней челюсти с поперечной расширенной дугой-пластинкой в задней трети твердого неба (16-26) с гингивально-пародонтальной опорой на слизистую оболочку альвеолярного отростка и отфрезерованные оральные поверхности коронок и фасетки мостовидного протеза с пришеечным уступом. Фиксация: Т-образные расщепленные активные аттачмены в 11 и между 15 и 16. Стабилизация: вертикальные упоры-интерлоки между 11-12, 13-14 на дистальной поверхности 16, а также вертикальная небная стенка отферезерованных коронок. III. Реабилитационно-профилактический этап. 3.1. Не реже 1 раза в полгода контрольные осмотры для оценки состояния гигиены полости рта и проведения при необходимости перебазировки протеза.
На рисунке 174 представлен вид мостовидного протеза с небной стороны. Хорошо заметны отфрезерованные пришеечные уступы, вертикальные небные стенки, интерлоки, Т-образные аттачмены: матрицы на 1 1 и между 1 6 и 1 5. На рисунке 175 представлены съемная и несъемная части комбинированного протеза. Фиксацию несъемной части проводили на стеклоиономерный цемент Fuji I под контролем съемной части.
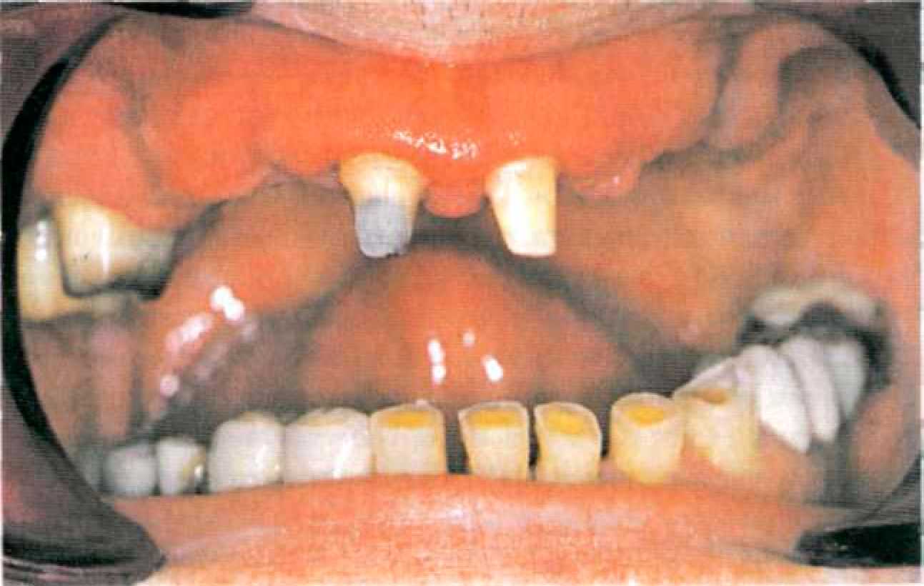
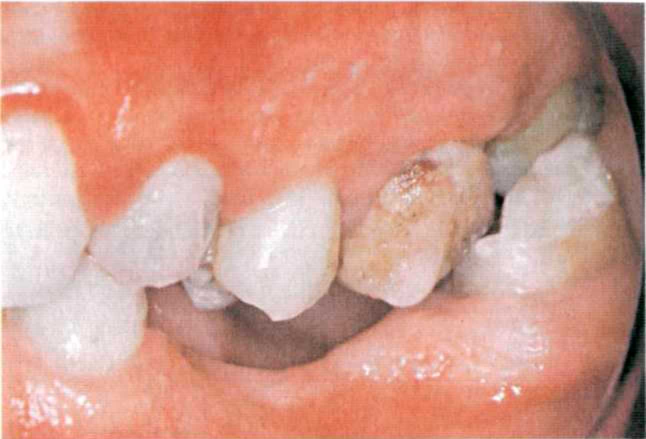
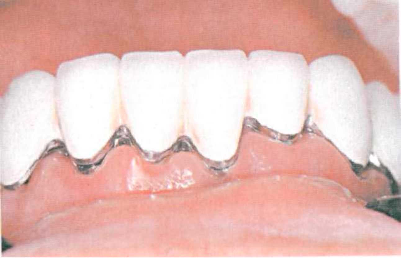
Все пациенты, пользующие комбинированными протезами, должны находиться под диспансерным наблюдением. Если пациент не соблюдает гигиену полости рта, это может привести к резкому уменьшению срока эксплуатации комбинированного протеза из-за ослабления пародонта опорных зубов и их быстрой утраты. К сожалению, констатируем, что больная Б. не соблюдала гигиену полости рта, и на контрольном осмотре через 6 месяцев было выявлено обилие налета на 32, 31, 41, 42 зубах, обострение пародонтита в области 41 31 (рис. 177). Поэтому не реже 1 раза в полгода всем пациентам должен проводиться контроль индекса гигиены, при необходимости профессиональная гигиена полости рта и подробная беседа с пациентом. Ситуация 2 В клинику кафедры Госпитальной ортопедической стоматологии МГМСУ обратилась больная Р. 47 лет с жалобами на затрудненное пережевывание пищи из-за отсутствия боковых зубов нижней челюсти, подвижности резцов нижней челюсти. Схема клинической ситуации представлена на рисунке 178. Зубные протезы на верхней челюсти соответствовали клиническим требованиям.
Было проведено подробное обследование, включающее обследование зубных рядов (ЗР), твердых тканей зубов (ТТЗ), пародонта (Пар), протезного ложа (ПЛ), прикуса (Пр). ЗР — Дефект зубного ряда верхней челюсти 3 класса Кеннеди, компенсированный мостовидным протезом. Дефект зубного ряда нижней челюсти 3 класс 1 подкласс по Кеннеди, группа А по Керберу. ТТЗ — Кариес 17, 11, нарушена анатомическая форма 15, 47, 43, 32, 37 из-за некачественного пломбирования; 23 зуб депульпирован, канал запломбирован до верхушки. Пар — Хронический генерализованный пародонтит в стадии компенсации. ПЛ — Слизистая оболочка протезного ложа I типа по Люнду. Пр — Прикус ортогнатический. Результаты клинико-инструментального и рентгенологического обследования приведены на одонтопародонтограмме, представленной на рисунке 179.
По результатам обследования был составлен план лечения. I. Подготовительный этап. 1.1. Депульпировать 42, 41, 31, 32; лечение кариеса 17, 11, замена пломбы 15. 1.2. Пародонтальная санация. 1.3. Обучение гигиене полости рта. II. Протезирование зубного ряда нижней челюсти. 2.1. Изготовление временных коронок и временного пластиночного протеза нижней челюсти. 2.2. Изготовление комбинированного протеза нижней челюсти (рис. 180). 2.2.1. Шинирование передних зубов нижней челюсти от 33 до 43 коронковой металлокерамической шиной с экстракоронарными на 33 и 43 поворотными фиксаторами, фрезерование интерлоков между 32-33 и 42-43, пришеечного язычного уступа и вертикальной язычной стенки на 33 и 43. 2.2.2. Цельнолитые коронки на 37 и 47 с фрезерованием язычной поверхности с образованием язычного уступа и вертикальной оральной стенки. 2.2.3. Съемный бездуговой опирающийся протез с расширенным язычным многозвеньевым кламмером с опорой на коронковую шину и цельнолитые коронки 37 и 47. Фиксация — поворотные фиксаторы на 33 и 43. Стабилизация — интерлоки между 32-33, 42-43, отфрезерованные вертикальные стенки оральной поверхности коронок 33, 43, 37, 47. III. Реабилитационно-профилактический этап. 3.1. Не реже 1 раза в полгода контрольные осмотры для оценки гигиенического ухода за протезами.
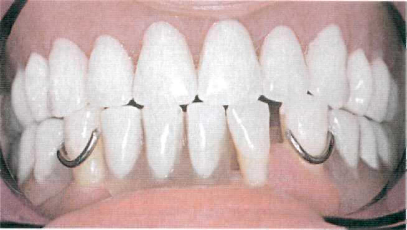
Клиническая ситуация больной Р. характеризуется двухкратным силовым превалированием пародонта зубов верхней челюсти над нижними: 15,4:7,2. Поэтому необходимо шинировать все оставшиеся зубы нижней челюсти, а также применить комбинированный протез с пародонтально-гингивальной опорой. Учитывая изменения в пародонте резцов нижней челюсти (на 1/2 длины корня), сочли целесообразным их депульпировать при подготовке под металлокерамические коронки; клыки и моляры не имели показаний кдевитализации. Сразу после их препарирования (под инфильтрационной анестизией артикаином) они были обработаны дентинпротектором и закрыты временными коронками, фиксированными на «Temp-Bond». Данная клиническая ситуация представляет собой включенные дефекты зубного ряда, поэтому в качестве аттачменов использованы жесткие поворотные фиксаторы, не оказывающие дополнительной нагрузки на опорные зубы при снятии протеза. На рисунке 181 представлена несъемная коронковая металлокерамическая шина с экстракоронарными патрицами поворотных фиксаторов на 33 и 43 и отфрезерованными интерлоками, а также съемная часть комбинированного протеза с открытыми поворотными оральными фиксаторами.
Одной из особенностей поворотного фиксатора является механизм его открытия и закрытия (рис. 183, 184), поэтому в день фиксации и наложения комбинированного протеза проводили подробный инструктаж пациентки и обучение правилам пользования и ухода за протезом. Через 1,5 года пользования протезом пациентка отметила ослабление ретенции поворотного фиксатора. Для активации фиксирующего элемента аттачмена, расположенного в съемной части протеза, скальпелем расширили специальную прорезь поворотного фиксатора.
Ситуация 3 В клинику кафедры Госпитальной ортопедической стоматологии МГМСУ обратилась больная К. с жалобой на эстетический дефект из-за изменения цвета и формы передних зубов верхней челюсти, а также на затрудненное пережевывание пищи из-за отсутствия боковых зубов верхней челюсти справа. Схема клинической ситуации на верхней челюсти больной К. представлена на рисунке 185. Зубные протезы на нижней челюсти соответствовали клиническим требованиям.
Было проведено подробное обследование, включающее обследование зубных рядов (ЗР), твердых тканей зубов (ТТЗ), пародонта (Пар), протезного ложа (ПЛ), прикуса (Пр). ЗР — Дефект зубного ряда верхней челюсти I класса по Кеннеди, группа В по Керберу. Дефект зубного ряда нижней челюсти 3 класс 1 подкласс по Кеннеди, компенсированный мостовидным протезом по дуге. ТТЗ — Множественный кариес на всех зубах верхней челюсти, изменение цвета и формы зубов. Металлокерамические коронки на всех зубах нижней челюсти. Пар — Хронический генерализованный пародонтит в стадии компенсации. Низкая гигиена полости рта. ПЛ — Слизистая оболочка протезного ложа I типа по Люнду. Атрофия альвеолярного отростка беззубого участка верхней челюсти I типа по Эльбрехту. Пр — Прикус ортогнатический. После проведенного обследования, результаты которого были внесены в одонтопародонтограмму (рис. 186), нами был составлен план лечения. I. Подготовительный этап. 1.1. Лечение кариеса на зубах верхней челюсти. 1.2. Обучение гигиене полости рта. II. Протезирование зубного ряда верхней челюсти. 2.1. Покрытие препарированных зубов временными коронками. 2.2. Изготовление комбинированного протеза верхней челюсти (рис. 187). 2.2.1. Изготовление металлокерамической коронковой шины на все зубы верхней челюсти с фрезерованием и экстракоронарным поворотным фиксатором. 2.2.2. Изготовление комбинированного малого седловидного протеза с пародонтально-гингивальной опорой на слизистую оболочку альвеолярного отростка (с перекрытием верхнечелюстного буфа) и отфрезерованную поверхность коронок 14-12. Фиксация: экстракоронарный поворотный аттачмен на 15.
Стабилизация: интерлоки между 11-12, 12-13, 13-14, вертикальные оральные стенки фрезерованных коронок 14-12. III. Реабилитационно-профилактический этап. 3.1. Контрольные осмотры не реже 1 раза в полгода для оценки гигиены полости рта, а также для своевременной перебазировки малого седловидного протеза. При выборе замкового крепления учитывали несколько факторов: податливость слизистой оболочки протезного ложа, протяженность и топографию дефекта. Совокупность этих факторов позволяла нам выбрать в качестве замкового крепления поворотный фиксатор, который при расположении дефекта на верхней челюсти обеспечивает 100% ретенцию съемной части протеза. Осложнением в данной клинической ситуации явилось отсутствие достаточного места для расположения замкового крепления, поэтому окклюзионная поверхность искусственного зуба съемной части протеза выполнена из металла (рис. 188).
При проверке конструкции протеза обращают внимание на выполнение фрезерования опорных коронок, которое обеспечивает разгрузку конструкционного элемента, перераспределение вертикальной жевательной нагрузки, предохранение протеза от боковых сдвигов. Дополнительным ретенционным элементом для фиксации съемной части протеза в горизонтальной плоскости служат направляющие каналы (интерлоки) между опорными коронками 11-12, 12-13, 13-14 (рис. 189).
Ситуация 4 В клинику кафедры Госпитальной ортопедической стоматологии МГМСУ обратился больной Л. 44 лет с жалобами на затрудненное пережевывание пищи из-за отсутствия жевательных зубов на нижней челюсти (схема клинической ситуации представлена на рис. 190). Зубные протезы на верхней челюсти соответствуют клиническим требованиям. Было проведено подробное обследование, включающее обследование зубных рядов (ЗР), твердых тканей зубов (ТТЗ), пародонта (Пар), протезного ложа (ПЛ), прикуса (Пр).
ЗР — Дефект зубного ряда верхней челюсти 3 класс 1 подкласс по Кеннеди, компенсированный клинически удовлетворительными мостовидными протезами. Дефект зубного ряда нижней челюсти 1 класс по Кеннеди, группа В по Керберу. ТТЗ — Кариес 21, 32, 42, нарушена анатомическая форма 44, 41, 34, 35 некачественным пломбированием. Пар — Хронический генерализованный пародонтит в стадии компенсации. Силовое превалирование зубного ряда верхней челюсти в 1,5 раза. Низкая гигиена полости рта. ПЛ — Слизистая оболочка протезного ложа I типа по Люнду. Атрофия альвеолярного гребня беззубого участка нижней челюсти I типа по Эльбрехту. Пр — Прикус ортогнатический. После обследования, результаты которого внесены в одонтопародонтограмму (рис. 191), нами был составлен план лечения. I. Подготовительный этап. 1.1. Лечение кариеса зубов 21, 32, 42. 1.2. Профессиональная гигиена полости рта. 1.3. Обучение гигиене полости рта. II. Протезирование зубного ряда нижней челюсти. 2.1. Изготовление временных коронок и временного съемного пластиночного протеза. 2.2. Изготовление комбинированного протеза нижней челюсти (рис. 192). 2.2.1. Коронковая металлокерамическая шина на все зубы нижней челюсти с экстракоронарными рельсовыми аттачменами с вестибулярными и оральными пазами для фрикционных штифтов, фрезерованием интерлоков между 35-34-33, 42-43-44, пришеечных язычных уступов и вертикальной язычной стенки коронок 34, 35 и 43, 44. 2.2.2. Съемный бюгельный протез на нижнюю челюсть.
Фиксация — рельсовые экстракоронарные аттачмены с дополнительной ретенцией за счет фрикционных штифтов (рис. 193). Стабилизация — интерлоки между 33-34-35 и 42-43-44 (рис, 194, 195), отферезерованные вертикальные стенки оральной поверхности коронок 34, 35 и 43, 44, экстракоронарные фиксаторы. III. Реабилитационно-профилактический этап. 3.1. Контрольные осмотры не реже 1 раза в полгода для оценки гигиены полости рта, а также для своевременной перебазировки съемной части протеза. Последовательность изготовления комбинированного протеза с рельсовым экстракоронарным аттачменом с фрикционными штифтами выглядит следующим образом. На рабочей модели техник моделирует обычным методом восковые композиции опорных коронок, патрица рельсового аттачмена моделируется индивидуально из беззольной пластмассы. Затем выполняется фрезерование как патрицы замкового крепления, так и оральной поверхности коронок. Зачастую в литературе встречаются различные рекомендации по количеству фрезеруемых опорных коронок. В клинике кафедры Госпитальной ортопедической стоматологии МГМСУ правилом является фрезерование не менее двух опорных коронок при концевых дефектах зубных рядов (рис. 196). Дальнейшие этапы традиционны до момента изготовления каркаса бюгельного протеза. После полной обработки и полировки каркаса бюгельного протеза техник совмещает каркас бюгельного протеза и опорные коронки на модели, которую закрепляет на столике для искровой эрозии. После этого электродом определенного калибра прожигает в каркасе отверстия и пазы по поверхности патрицы аттачмена, установленной на опорных коронках. Затем производится припасовка штифта и его фиксация лазерной сваркой в теле вторичного каркаса. Облицовка съемной части протеза проводится по обычной методике. В проекции матрицы аттачмена наносят специальный композитный материал для облицовки съемной части протеза. После этого производят постановку искусственных зубов. Существует методика, когда съемную часть протеза не пакуют, а замену воска осуществляют, используя силиконовые блоки и пластмассу холодного отверждения. Обработке и полировке съемной части протеза должно уделяться особое внимание. Плохо отполированная поверхность протеза приводит к ретенции остатков пищи, размножению патогенных микроорганизмов. На контрольных осмотрах проверяют не только необходимость перебазировки, но и уровень гигиены полости рта и поверхности съемных частей протеза. Также проводят профессиональную чистку.
Ситуация 5 В клинику кафедры Госпитальной ортопедической стоматологии МГМСУ обратилась больная М. 42 лет с жалобами на неудовлетворительную эстетику и дискомфорт при пользовании съемным пластиночным протезом на верхней челюсти (схема клинической ситуации представлена на рис. 197). Зубные мостовидные протезы на нижней челюсти соответствуют клиническим требованиям.
Было проведено подробное обследование, включающее обследование зубных рядов (ЗР), твердых тканей зубов (ТТЗ), пародонта (Пар), протезного ложа (ПЛ), прикуса (Пр). ЗР — Дефект зубного ряда верхней челюсти 2 класс 1 подкласс по Кеннеди, группа С по Керберу. Дефект зубного ряда нижней челюсти 3 класс 4 подкласс по Кеннеди, компенсированный клинически удовлетворительными мостовидными протезами. ТТЗ — Кариес 21 зуба, нарушена анатомическая форма 11, 22, 24 и 27 зубов некачественным пломбированием. 27 зуб депульпирован, щечные каналы запломбированы не полностью. Пар — Хронический генерализованный пародонтит в стадии компенсации. Силовое превалирование в 2 раза нижнего зубного ряда. Гигиена полости рта удовлетворительная. ПЛ — Слизистая оболочка протезного ложа 1 типа по Люнду. Атрофия альвеолярного отростка беззубого участка верхней челюсти I типа по Эльбрехту. Пр — Прикус ортогнатический без снижения высоты нижнего отдела лица. Результаты обследования больной М. представлены в одонтопародонтограмме (рис. 198). Следует добавить, что 27 зуб депульпирован 7 лет тому назад, каналы щечных корней запломбированы не до верхушек, от перелечивания пациентка отказалась. Поэтому применить штанговую систему фиксации 24-27 не представлялось возможным.
По результатам обследования был составлен план лечения, включающий несколько этапов. I. Подготовительный этап. 1. Депульпация 21 зуба (глубокий кариес), восстановление коронковой части композитным материалом с анкерным штифтом. II. Протезирование зубного ряда верхней челюсти. 2.1. Изготовление временных коронок и временного съемного пластиночного протеза. 2.2. Изготовление комбинированного протеза верхней челюсти (рис. 199). 2.2.1. Металлокерамическая коронковая шина на 11, 21, 22, 23, 24 зубы с Т-образными жесткими аттачменами на 11 и 24, фрезерованием интерлоков между 11-21-22-23-24, пришеечных уступов и вертикальных небных стенок на оральной поверхности каждой коронки. 2.2.2. Одиночная цельнолитая коронка на 27 зуб с круговым фрезерованием под кольцевой кламмер.
2.2.3. Съемный бюгельный протез на верхнюю челюсть с расширенной дугой-пластинкой в области 16-26. Фиксация — Т-образные аттачмены на 11 и 24. Стабилизация — небный многозвеньевой дентоальвеолярный кламмер на 11-24 зубы и круговой кламмер на 27 зуб, интерлоки, отфрезерованные вертикальные стенки опорных коронок 11-24 и 27. III. Реабилитационно-профилактический этап. 3.1. Контрольные осмотры не реже 1 раза в полгода для оценки гигиены полости рта и проведения перебазировки протеза верхней челюсти при необходимости. Последовательность клинико-лабораторных этапов изготовления комбинированного протеза с Т-образными аттачменами фирмы SAE выглядит следующим образом. На восковой композиции опорных коронок индивидуально из беззольной пластмассы моделируется площадка под матрицу интракоронарного крепления. Выполняется фрезерование опорных коронок, после чего вся композиция отливается из выбранного сплава. После повторного фрезерования каркаса опорных коронок на металле специальным электродом методом искровой эрозии прожигается форма матрицы интракоронарного Т-образного аттачмена. На каркас опорных коронок наносится керамическая масса, опорные коронки припасовываются и фиксируются в полости рта на оттискной корригирующий силиконовый материал. На рабочей модели (рис. 200) в матрицу аттачмена помещается патрица (рис. 201), модель дублируется, и выполняется моделирование каркаса бюгельного протеза.
После окончательной отделки каркаса бюгельного протеза в него вклеивается патрица аттачмена. В дальнейшем производится постановка искусственных зубов, замена воска на пластмассу, окончательная отделка протеза (рис. 202) и фиксация несъемной части в полости рта под контролем съемной (рис. 203).
Ситуация 6 В клинику кафедры Госпитальной ортопедической стоматологии МГМСУ обратился больной С. 28 лет с жалобами на сообщение полости рта с полостью носа, неудовлетворительную эстетику паяного мостовидного протеза на верхней челюсти (схема клинической ситуации представлена на рис. 204). Зубной ряд нижней челюсти без дефектов, требует терапевтической санации, улучшения гигиены полости рта.
Осложнением в данной клинической ситуации является наличие врожденной расщелины альвеолярного отростка и передней трети твердого неба, оральное положение левых боковых зубов (рис. 207). После проведенного обследования, включающего заполнение одонтопародонтограммы (рис. 205), был составлен план лечения. Было принято решение заменить мостовидный протез верхнего зубного ряда, изготовив комбинированный протез с фиксацией на телескопических коронках (зубы 12, 11, 23) и Т-образных аттачменах (между 17 и 16 и в фасетке 25). Съемный бюгельный протез изготовить с небной защиткой — разобщающей пластинкой в области расщелины (рис. 206). Первым этапом ортопедического лечения после санации зубного ряда нижней челюсти, обучения гигиене полости рта явилось снятие паяного мостовидного протеза, ревизия и восстановление коронковых частей опорных зубов, препарирование под цельнолитые коронки и покрытие опорных зубов временными коронками и съемной косметической пластинкой во фронтальном участке.
Следующий этап — снятие оттиска индивидуальной ложкой для изготовления первичных телескопических коронок на 12, 11, 23 и каркасов металлокерамических протезов (рис. 208). Зубной техник провел моделировку из воска и отлил из кобальтохромового сплава два каркаса металлокерамических протезов и каркасы трех одиночных первичных коронок для телескопической фиксации с фрикционными штифтами. Во время восковой моделировки провели фрезерование интерлоков, орального уступа, небной стенки при соблюдении параллельности. После этого в каждом каркасе металлокерамических протезов методом искровой эрозии были сформированы по одной матрице Тобразного фиксатора и проведено окончательное фрезерование интерлоков, параллельных пазам для матриц (рис. 209). Оценка точности выполнения операции проводилась под контролем патрицы аттачмена (рис. 210). После чистовой обработки каркасов (рис. 211) и припасовки их в полости рта провели нанесение керамической массы, припасовку металлокерамических протезов в полости рта, коррекцию окклюзии, цвета (рис. 212). Готовые металлокерамические протезы и первичные коронки зафиксировали во рту на корригирующий силиконовый материал, сняли оттиск индивидуальной ложкой для изготовления съемной части комбинированного протеза (рис. 213). Зубной техник изготовил новую модель, на которой проводил окончательное фрезерование опорных коронок и первичных телескопических коронок, подготовил модель к дублированию. На огнеупорной модели проводили моделирование съемной части протеза с вторичными телескопическими коронками с облицовкой композитом и фасеткми в области 21, 22, 23 с искусственной десной и небной сетчатой пластинкой для обтуратора (рис. 214). После отливки каркаса съемной части протеза из кобальто-хромового сплава его тщательно припасовали и отполировали. После этого зубной техник методом искровой эрозии прожег отверстия в съемной части протеза и паз в первичных коронках для установки фрикционных штифтов. Фрикционные штифты приварили лазером в каркас съемной части протеза. В дальнейшем по обычной методике производили изготовление съемной части комбинированного протеза: облицовку коронок и фасеток композитом, изготовление искусственной десны и разобщающей пластинки из акриловой базисной пластмассы (рис. 215, 216). Фиксацию металлокерамических протезов и телескопических первичных коронок в полости рта проводили под контролем съемной части протеза, изолируя их вазелином (рис. 217, 218). Пациента проинформировали о правилах пользования и ухода за протезом, сроках контрольных осмотров. На контрольном осмотре через полгода выяснилось, что пациент плохо соблюдает гигиену полости рта (рис. 219), была проведена профессиональная чистка зубов и повторное обучение гигиене.
Ситуация 7 В клинику кафедры Госпитальной ортопедической стоматологии МГМСУ обратился больной Ф. 56 лет с жалобами на неудовлетворительную фиксацию и эстетику съемного пластиночного протеза на верхней челюсти (схема клинической ситуации представлена на рис. 220).
Было проведено подробное обследование, включающее обследование зубных рядов (ЗР), твердых тканей зубов (ТТЗ), пародонта (Пар), протезного ложа (ПЛ), прикуса (Пр). ЗР — Дефект зубного ряда верхней челюсти 2 класс 1 подкласс по Кеннеди, группа С по Керберу. Дефект зубного ряда нижней челюсти 1 класс по Кеннеди, компенсированный клинически удовлетворительным бюгельным протезом с кламмерной фиксацией. ТТЗ — Нарушена анатомическая форма 11 и 21 зубов из-за обширных пломб. Повышенная стертость 42, 41, 31, 32, 33 горизонтальная форма 1 степени. Зубы 11, 21, 34, 35, 43, 44 депульпированы, каналы запломбированы удовлетворительно. Пар — Хронический генерализованный пародонтит компенсированной формы. Силовое превалирование зубного ряда нижней челюсти в 1,5 раза. ПЛ — Слизистая оболочка протезного ложа I типа по Люнду. Атрофия альвеолярного отростка беззубого участка верхней челюсти слева III типа по Эльбрехту. Пр — Прикус ортогнатический без снижения высоты нижнего отдела лица. Диастема и тремы между резцами нижней челюсти. Результаты обследования больного Ф. представлены в одонтопародонтограмме (рис. 221). По результатам обследования был составлен план лечения, включающий несколько этапов.
I. Протезирование зубного рядя нижней челюсти. 1.1. Изготовление металлокерамических коронок или виниров на 42,41, 31,32. 1.2. Косметическое пломбирование 33 или восстановление керамическим виниром. II. Протезирование зубного ряда верхней челюсти. 2.1. Изготовление временного съемного пластиночного протеза. 2.2. Изготовление комбинированного протеза верхней челюсги (рис. 222). 2.2.1. Телескопические коронки для фрикционно-штифтовой фи<сации на 11 и 21. 2.2.2. Блок из коронок 16, 17 — металлокерамические и 18 — цельнометаллическая с фрезерованием интерлоков с небной поверхности 16-17-18, вестибулярного интерлока 17-18 и оральной вертикальной стенки опорных коронок 16-18, с экстракоронарным Т-обргзным жестким фиксатором на 16. 2.2.3. Съемный пластиночный с металлическим каркасом протезе границей базиса по передней трети твердого неба. Фиксация — телескопические коронки с фрикционными штифтами на 11 и 21, Т-образный аттачмен на 16. Стабилизация — небный многозвеньевой кламмер с интерлоками на 16-17-18, круговой кламмер на 18 с вестибулярным интергоком 17-18, базисная пластинка с перекрытием бугра верхней челксти слева и передней трети неба. III. Реабилитационно-профилактический этап. 3.1. Контрольные осмотры не реже 1 раза в полгода для оценки гигиены полости рта и проведения перебазировки протеза верхнэй челюсти при необходимости. 3.1. Динамическое наблюдение на контрольных осмотрах за состоянием пародонта 11 и 21 зубов с помощью периотеста. К сожалению, по финансовым соображениям пациент просш отсрочить протезирование зубов нижней челюсти. Последовательность клинико-лабораторных этапов протезирования зубного ряда верхней челюсти комбинированным протезом выглядела следующим образом. Первый этап — ревизия и восстановгение коронковых частей опорных зубов, их препарирование под оперные коронки (рис. 223). Обязательным являлось изготовление врэменных коронок и временного съемного пластиночного протеза (в данной клинической ситуации была произведена перебазировка старого пластиночного протеза с перекрытием отпрепарированных зубов пластмассой холодного отверждения по типу покрывного протеза).
Очень важным этапом является определение протетической плоскости, межальвеолярного расстояния и фиксация положения центрального соотношения челюстей. Контролем служил имеющийся у пациента протез. После этого силиконовым оттискным материалом сняли двухслойный оттиск для изготовления первичных телескопических коронок и каркасов искусственных коронок 16-18. Зубной техник изготовил разборную модель, на которой провел моделировку каркасов металлокерамических коронок, первичных телескопических коронок и установку стандартной заготовки матрицы аттачмена. На воске было выполнено фрезерование опорных и первичных телескопических коронок параллельно друг другу и матрице аттачмена. После отливки каркасов из кобальтохромового сплава зубной техник провел припасовку и обработку. Затем провели припасовку каркасов искусственных коронок в полости рта, выбрали цвет керамической облицовки. После изготовления несъемной части комбинированного протеза (рис. 224) провели ее припасовку в полости рта (рис. 223), коррекцию окклюзии, цвета. Временно зафиксировав несъемную часть на корригирующий силиконовый оттискной материал, сняли оттиск индивидуальной ложкой для изготовления съемной части комбинированного протеза. Зубной техник изготовил новую модель, установил патрицу замкового крепления и подготовил модель к дублированию. Моделирование съемной части протеза проводили с учетом последующего покрытия фронтальных зубов нижней челюсти искусственными коронками. Отливку съемной части протеза проводили на огнеупорной модели. После припасовки и обработки каркаса методом искровой эрозии прожигали отверстия в телескопических коронках съемной части и пазы в первичных телескопических коронках для установки фрикционных штифтов. Облицовку телескопических коронок на съемной части проводили композитным материалом. Постановку искусственных зубов проводили с учетом последующего покрытия фронтальных зубов нижней челюсти искусственными коронками. Патрицу Тобразного фиксатора вклеили в съемную часть после окончательной обработки протеза (рис. 226). Цементирование несъемной части производили под контролем съемной части комбинированного протеза, изолируя их вазелином. На рисунке 227 — работа сфотографирована с помощью внутриротового зеркала. Через полгода пациент был вызван на контрольный осмотр (рис. 228). Была выявлена неудовлетворительная гигиена полости рта. Проведена беседа, указано на необходимость соблюдения правил ухода за зубами и протезом. Контроль состояния пародонта зубов 11 и 21 с помощью периотеста показал достоверное совпадение с исходными значениями.
Ситуация 8 На кафедру Госпитальной ортопедической стоматологии МГМСУ обратился больной А. с жалобами на затрудненное пережевывание пищи. Частичное отсутствие зубов нижней челюсти у данного пациента осложнялось зубоальвеолярным удлинением в области 24, 25, 26 зубов, низкой гигиеной полости рта (рис. 229). После обучения гигиене полости рта, тщательного анализа диагностических моделей было принято решение выровнять окклюзионную плоскость путем депульпации и укорочения коронковой части 24, 25, 26 зубов с последующим изготовлением цельнолитых коронок с керамической облицовкой вестибулярной поверхности. На нижней челюсти изготовить металлокерамические мостовидные протезы с опорой на 33, 34 и 37 (без облицовки), 44, 45 и 48 (без облицовки). После выравнивания окклюзионной плоскости высота коронковой части зубов 25 и 26 составила менее 5 мм (рис. 230), поэтому было принято решение для улучшения ретенции искусственных коронок применить вспомогательные аттачмены, разработанные в МГМСУ.
Аттачмены, которые выполняют функцию присоединения несъемных ортопедических конструкций к опорным зубам, относятся к вспомогательным замковым креплениям. На кафедре Госпитальной ортопедической стоматологии МГМСУ для решения проблемы ретенции несъемных ортопедических конструкций на зубы, клиническая высота коронок которых менее 5 мм, предложен аттачмен в виде втулки и удерживающего винта (патент РФ № 2128480 от 27 октября 1998 года). Он используется как дополнительный метод фиксации коронок, мостовидных протезов, балочных систем на зубах с низкой клинической коронкой.
Предложенный винтовой внутризубной аттачмен состоит из втулки и винта (рис. 231). Втулка (на рисунке окрашена в синий цвет), имеет наружную и внутреннюю резьбу. Наружный диаметр втулки равен 1,2 мм. Винт (красного цвета) имеет резьбу, соответствующую внутренней резьбе втулки. Винт имеет головку с прижимным конусом, что увеличивает площадь его контакта с искусственной коронкой, участвует в перераспределении жевательной нагрузки с опорной культи на стенки корня зуба. Благодаря резьбовому элементу и конусной шляпке, винт, самоцентрируясь, притягивает покрывную конструкцию к отпрепарированной культе, обеспечивая хорошее прилегание и профилактику расцементировки. После выравнивания окклюзионной плоскости в предварительно раскрытый небный корневой канал опорного зуба была зафиксирована втулка, имеющая наружную резьбу (для удержания в корневом После фиксации втулки в нее был вкручен оттискной штифт, который переносит направление втулки из полости рта в оттиск (рис. 233). Из пластмассы холодного отверждения был изготовлен индивидуальный лоток на 24, 25 26 зубы с окклюзионными окнами для оттискных штифтов. Вместе с оттискными штифтами индивидуальным лотком снимали оттиск корригирующим слоем (рис. 234). Вначале накладывается лоток с материалом, затем вкручиваются оттискные штифты. После затвердения силиконового материала получают оттиск всего зубного ряда оттискной ложкой с окклюзионными окнами для штифтов, выступающих за ее пределы. После затвердевания оттискной массы (силиконового материала высокой вязкости) выкручивали оттискные штифты и ложку выводили из полости рта. После антисептической обработки в готовой оттиск вводили оттискные штифты (рис. 235), на них накручивали втулки, аналогичные тем, что зафиксированы в полости рта, и отливали рабочую модель из супергипса (рис. 236). канале) и внутреннюю (для вкручивания фиксирующего коронку винта) (рис. 232).
Во втулки помещала винты, вокруг конуса шляпки которых зубной техник производил моделировку покрывной конструкции. Следующими клиническими этапами были: припасовка металлического каркаса (рис. 237), а за`ем готовой работы в полости рта (рис. 238).
В клинику кафедры Госпитальной ортопедической стоматологии МГМСУ обратилась пациентка Б. 63 лет с жалобами на затрудненное пережевывание пищи из-за плохой фиксации пластиночного протеза на верхней челюсти. Схема клинической ситуации представлена на рисунке 240. Раннее пациентке проводилось ортопедическое лечение мостовидными протезами на нижней челюсти, на верхней челюсти — съемным пластиночным протезом с кламмерной фиксацией. После обследования, заполнения одонтопародонтограммы (рис. 241), постановки диагноза было решено изготовить комбинированный протез на верхнюю челюсть с балочной фиксацией на зубах 12, 13, 23 с использованием вспомогательного аттачмена (см. клиническую ситуацию 8) и кламмерной фиксацией (из-за финансовых возможностей пациентки) на зубах 17 и 27 (рис. 242).
После укорочения зубов 12, 13, 23 до 3 мм выше десневого уровня корневые каналы были подготовлены для фиксации втулок. Втулки были зафиксированы на цемент двойного отверждения, культи зубов отпрепарированы (рис. 243). Оттиск для изготовления несъемной части протеза получали с помощью оттискных штифтов и индивидуальных лотков по вышеупомянутой технологии (см. клиническую ситуацию 8). Важным этапом для правильной моделировки балочной системы является определение протетической плоскости, межальвеолярного расстояния. Нередко в сложных случаях вначале проводят постановку зубов, а затем выбирают расположение балочного замкового крепления, чтобы восстановить функцию жевания, фонетики и эстетики.
На следующем этапе в полости рта припасовывали балочную систему в полости рта (рис. 244). После этого снимали оттиск индивидуальной ложкой для изготовления съемной части протеза. Во время получения оттиска в отверстия опорных колпачков балки устанавливали и оттискные штифты (рис. 245).
После изготовления каркаса съемной части протеза проводили его припасовку в полости рта. Фиксация несъемной части комбинированного протеза проводилась под контролем съемной части (рис. 246). После фиксации одиночных коронок и балочной конструкции дополнительно фиксировали несъемную часть вспомогательными аттачменами (рис. 247).
Ситуация 10 Наряду с фрикционными штифтами в телескопической системе для усиления ретенции между внутренней и наружной коронкой может использоваться плунжер (вспомогательный аттачмен). В клинику кафедры Госпитальной ортопедической стоматологии МГМСУ обратился больной Б. 62 лет с жалобами на затрудненное пережевывание пищи, плохую фиксацию съемных пластиночных протезов на верхней и нижней челюсти. Схема клинической ситуации представлена на рисунке 250.
Было проведено подробное обследование, включающее обследование зубных рядов (ЗР), твердых тканей зубов (ТТЗ), пародонта (Пар), протезного ложа (ПЛ), прикуса (Пр). ЗР — Дефект зубного ряда верхней челюсти 2 класс 2 подкласс по Кеннеди, группа Е по Керберу. Дефект зубного ряда нижней челюсти 1 класс 1 подкласс по Кеннеди, группа Е по Керберу. ТТЗ — Зубы 13, 11, 27, 33, 43, 44 депульпированы, каналы запломбированы удовлетворительно. Коронковая часть зубов изменена некачественными обширными пломбами. Пар — Хронический генерализованный пародонтит в стадии субкомпенсации. Низкая гигиена полости рта. ПЛ — Слизистая оболочка протезного ложа I типа по Люнду. Атрофия альвеолярного гребня нижней челюсти I типа по Эльбрехту. Пр — Ортогнатическое соотношение челюстей, без снижения высоты нижнего отдела лица. Результаты обследования больного Б. представлены в одонтопародонтограмме (рис. 251)
По результатам обследования был составлен план лечения, включающий несколько этапов. I. Подготовительный этап. 1.1. Обучение гигиене полости рта, правилам ухода за протезами. 1.2. Ревизия опорных зубов после удаления пломб, восстановление коронковых частей композитом при необходимости с анкерными штифтами. II. Протезирование зубных рядов верхней и нижней челюстей. Чтобы избежать нарушения соотношения челюстей и для достижения лучшего эстетического эффекта, протезирование верхней и нижней челюстей должно проводиться одновременно. 2.1. Изготовление временных коронок и перебазировка старых пластиночных протезов. 2.2. Изготовление съемных пластиночных покрывных протезов с телескопической фиксацией (рис. 252). 2.2.1. Телескопические коронки для плунжерной фиксации на 13, 11, 27, 33, 43,44. 2.2.2. Изготовление съемных покрывных протезов с вторичными телескопическими коронками со стандартными плунжерами, литым металлическим каркасом и функционально оформленными границами базиса. Фиксация — стандартные плунжеры в телескопических коронках. Стабилизация — телескопические коронки, перекрытие базисом протеза бугров верхней челюсти. III. Реабилитационно-профилактический этап. 3.1. Не реже 1 раза в полгода контрольные осмотры для проверки гигиены полости рта, устойчивости протезов (при необходимости перебазировки), степени фиксации протезов (при необходимости — активации пружин плунжера). 3.2. Динамический контроль состояния пародонта опорных зубов с помощью периотеста. На первом этапе лечения под контролем имевшихся съемных протезов были отпрепарированы опорные зубы под телескопические коронки. При необходимости после удаления имевшихся пломб коронковые части зубов были восстановлены композитным материалом с анкерными штифтами (рис. 253). На всех этапах ортопедического лечения пациент пользовался старыми пластиночными протезами, опорные зубы были покрыты временными коронками. По обычной методике снимали силиконовые двухслойные оттиски для несъемной части покрывных протезов. После изготовления первичных телескопических коронок их припасовывали в полости рта, фиксировали на корригирующий слой силиконового оттискного материала и снимали оттиск индивидуальной ложкой для съемной части протеза. На новой рабочей модели зубной техник проводил окончательное фрезерование, полировку первичных коронок (рис. 254). На середине контактной поверхности первичной коронки создавал углубление для пружинящей кнопки плунжера (рис. 255).
Расположение плунжера на медиальной или дистальной поверхности выбирают для достижения максимальной эстетики постановки зубов (рис. 257). Зубной техник моделировал каркасы покрывных конструкций съемных протезов, используя беззольную пластмассу и восковые заготовки для бюгельных протезов (рис. 258, 259). В каркас съемной части протеза плунжер был установлен с помощью литьевого присоединения (рис. 260). После литья зубной техник припасовывал и обрабатывал каркасы (рис. 261). Постановка искусственных зубов, замена воска на пластмассу были произведены по обычной методике (рис. 262). Фиксацию первичных телескопических коронок проводили под контролем съемной части протеза (рис. 263). Наблюдения в течение 2 лет показали достаточную эффективность плунжерной фиксации. Активации не требовалось. Данные периотестометрии у всех зубов были стабильными на 4 осмотрах.
Ситуация 11 В клинику кафедры Госпитальной ортопедической стоматологии МГМСУ после недавнего удаления подвижных зубов в поликлинике по месту жительства обратился больной Л. 48 лет с жалобами на затрудненное пережевывание пищи. Схема клинической ситуации представлена на рисунке 264, ситуация в полости рта — на рисунке 265. Было проведено подробное обследование, включающее обследование зубных рядов (ЗР), твердых тканей зубов (ТТЗ), пародонта (Пар), протезного ложа (ПЛ), прикуса (Пр). ЗР — Дефект зубного ряда верхней челюсти 1 класс 2 подкласс по Кеннеди, группа С по Керберу. Дефект зубного ряда нижней челюсти 1 класс 1 подкласс по Кеннеди, группа В по Керберу. ТТЗ — Кариес 21. Клиновидные дефекты 12, 23, 25, 33. Пар — Хронический генерализованный пародонтит в стадии субкомпенсации. Подвижность резцов верхней челюсти II степени. Низкая гигиена полости рта.
ПЛ — Слизистая оболочка протезного ложа I типа по Люнду. Атрофия альвеолярного отростка верхней челюсти IV типа по Эльбрехту. Атрофия альвеолярных гребней нижней челюсти III типа по Эльбрехту. Пр — Прикус ортогнатический. Снижения высоты нижнего отдела лица (на съемных протезах) нет. Результаты обследования представлены на одонтопародонтограмме (рис. 266).
По результатам обследования был составлен план лечения, включающий несколько этапов. I. Подготовительный этап. 1.1. Профессиональная гигиена полости рта. 1.2. Обучение гигиене полости рта, правилам ухода за протезами. 1.3. Депульпация 12, 11, 21, 23, 25, 33, 42. II. Протезирование зубного ряда нижней челюсти. 2.1. Изготовление временных коронок и временного съемного пластиночного протеза. 2.2. Изготовление металлокерамического мостовидного протеза 44, 43,42-33. 2.3. Изготовление бюгельного протеза с кламмерной фиксацией. III. Протезирование зубного ряда верхней челюсти. 3.1. Изготовление временных коронок и временного пластиночного протеза. 3.2. Изготовление комбинированного (покрывного) протеза с телескопической фиксацией (рис. 267). 3.2.1. Изготовление телескопических коронок под фрикционные штифты на 12, 11, 21, 23, 25. 3.2.2. Изготовление съемной части протеза с вторичными телескопическими коронками, фрикционными штифтами, фасетками в области 13, 22 и 24; поперечным расположением небной расширенной дуги-пластинки и перекрытием верхнечелюстных бугров пластмассовым базисом. Фиксация — фрикционные штифты в телескопических коронках. Стабилизация — телескопические коронки, перекрытие базисом протеза бугров верхней челюсти. IV. Реабилитационно-профилактический этап. 4.1. Не реже 1 раза в полгода контрольные осмотры для проверки гигиены полости рта, устойчивости протезов (при необходимости перебазировки), степени фиксации протезов (при необходимости — активация фрикционных штифтов). 4.2. Динамический контроль состояния пародонта опорных зубов с помощью периотеста.
Протезирование покрывным протезом с телескопическими фиксаторами проводили в обычной последовательности клинико-лабораторных этапов. Препарировали опорные зубы (рис. 268) под контролем прикусных шаблонов со сформированной протетической плоскостью и определенным межальвеолярным расстоянием. Снимали оттиск для несъемной части протеза силиконовым материалом.
Изготовленные первичные коронки тщательно припасовывали на модели (рис. 269), а затем в полости рта (рис. 270). Для изготовления съемной части протеза снимали силиконовый оттиск индивидуальной ложкой (рис. 271). На следующем этапе припасовывали каркас съемной части покрывного протеза в полости рта (рис. 272). После припасовки каркасы прожигали методом искровой эрозии: делали пазы в первичных коронках и отверстия во вторичных телескопических коронках съемной части для установки фрикционных штифтов. Штифты фиксировали в телескопических коронках лазерной сваркой. Облицовка вторичных коронок и фасеток композитом, постановка искусственных зубов, замена воска на пластмассу и окончательная отделка протезов были проведены по обычной методике. Первичные коронки фиксировали в полости рта на стеклоиономерный цемент под контролем съемной части протеза, изолируя детали вазелином (рис. 273-275).
Динамическое наблюдение за больным Л. показало, что он быстро адаптировался к новым протезам. Данные периотестометрии на протяжении 3 лет свидетельствуют о стабилизации процесса в пародонте, что во многом связано с высокой гигиеной полости рта и протезов. Ситуация 12 В клинику кафедры Госпитальной ортопедической стоматологии МГМСУ обратилась больная С. 42 лет с жалобами на затрудненное пережевывание пищи из-за отсутствия зуба 36 и подвижность зубов 37 и 38 (рис. 276, 277). Результаты обследования представлены на одонтопародонтограмме (рис. 278). Зубы 37, 38 имеют атрофию костной ткани пародонта на 1/2 длины корня, поэтому применение мостовидного протеза противопоказано. Было принято решение изготовить съемный комбинированный протез, расположенный только на стороне дефекта. Для этого зубы 34, 35 следовало покрыть металлокерамическими коронками с поворотным экстракоронарным аттачменом, а зубы 37, 38 — первичными телескопическими коронками (рис. 279). Достоинством такой конструкции является возможность ее использования после возможного удаления 37 и 38 зуба (в этом случае производится починка-перебазировка съемной части протеза).
Клинико-лабораторные этапы ортопедического лечения данной пациентки полностью совпадают с общепринятой последовательностью протезирования комбинированными протезами. На первом этапе проводится препарирование опорных зубов (рис. 280), снятие оттисков и покрытие зубов временными коронками. На рабочей модели зубной техник изготавливает каркасы металлокерамических коронок с фрезерованием интерлока, оральной вертикальной стенки и пришеечного многозвеньевого уступа и экстракоронарной патрицей поворотного фиксатора, первичные телескопические коронки (рис. 281). У пациентки была выявлена непереносимость кобальтохромовых сплавов, и каркасы съемной и несъемных частей комбинированного протеза были изготовлены из золотоплатинового сплава «Супер КМ» («Плагодент»), выпускаемого подмосковным предприятием «Суперметалл». Замковое крепление фирмы SAE также подобрано из золотоплатинового сплава с более высокой температурой плавления, чем у каркасов ортопедической конструкции. Каркасы металлокерамических коронок и первичные телескопические коронки припасовывали в полости рта. После нанесения керамической облицовки проводили коррекцию окклюзии, цвета и снимали оттиск для изготовления съемной части протеза. Зубной техник изготовил новую рабочую модель (рис. 282). Далее проводили моделирование каркаса съемной части протеза. Литье, обработку и нанесение композитной облицовки осуществляли по обычной методике (рис. 283-285). Фиксацию несъемных частей протеза проводили под контролем съемной части, тщательно изолируя вазелином (рис. 286-288).
Ситуация 13 В клинику кафедры Госпитальной ортопедической стоматологии МГМСУ обратилась больная 3. 53 лет с жалобами на затрудненное пережевывание пищи, эстетический дефект (рис. 289).
Было проведено подробное обследование, включающее обследование зубных рядов (ЗР), твердых тканей зубов (ТТЗ), пародонта (Пар), протезного ложа (ПЛ), прикуса (Пр). ЗР — Дефект зубного ряда верхней челюсти I класс 2 подкласс по Кеннеди. Дефект зубного ряда нижней челюсти 2 класс 1 подкласс по Кеннеди, группа В по Керберу. ТТЗ — Пластмассовые коронки на 12 и 11 широкие, частично расцементировались, изменены в цвете. Металлопластмассовый мостовидный протез подвижен, некроз твердых тканей под опорными коронками 22 и 25 с вестибулярной стороны. Нарушена анатомическая форма 37 зуба. Зубы 22, 23, 25, 12, 11, 37 — депульпированы, каналы запломбированы до верхушек, патологических изменений нет. Пар — Хронический генерализованный пародонтит в стадии компенсации и субкомпенсации. Низкая гигиена полости рта. ПЛ — Слизистая оболочка протезного ложа плотная, нормально увлажнена. Атрофия альвеолярного отростка беззубой части верхней челюсти 1\/типа по Эльбрехту. Атрофия альвеолярных гребней беззубой части нижней челюсти I типа по Эльбрехту. Пр — Смыкание зубных рядов по ортогнатическому типу без снижения высоты нижнего отдела лица. По результатам обследования был составлен план лечения, включающий несколько этапов. I. Подготовительный этап. 1.1. Профессиональная гигиена полости рта. 1.2. Обучение гигиене полости рта, правилам ухода за протезами. 1.3. Снятие всех протезов на верхней челюсти, ревизия и восстановление культей опорных зубов композитным материалом с анкерными штифтами. II. Протезирование зубного ряда нижней челюсти. 2.1. Изготовление временных коронок и временного съемного пластиночного протеза. 2.2. Изготовление искуственной коронки под опорно-удерживающий кламмер на 37. 2.3. Изготовление бюгельного протеза на нижнюю челюсть с опорой на 37 и многозвеньевым опорным кламмером на 45-32, удерживающие кламмера Роуча на 45 и 32, спорно-удерживающий кламмер на 37. III. Протезирование зубного ряда верхней челюсти. 3.1. Изготовление временных коронок и временного пластиночного протеза. Результаты обследования представлены на одонтопародонтограмме (рис. 290).
3.2. Изготовление комбинированного (покрывного) протеза с телескопической фиксацией (рис. 291). 3.2.1. Изготовление телескопических коронок под фрикционные штифты на 12, 1 1,22,23,25. 3.2.2. Изготовление съемной части протеза с вторичными телескопическими коронками, фрикционными штифтами, поперечным расположением небной расширенной дуги-пластинки в области задней трети неба (16-26), металлокомпозитными фасетками 13, 21, 24 и перекрытием верхнечелюстных бугров пластмассовым базисом. Фиксация — фрикционные штифты в телескопических коронках. Стабилизация — телескопические коронки, перекрытие базисом протеза бугров верхней челюсти. IV. Реабилитационно-профилактический этап. 4.1. Ежеквартальные в течение 1 года, а затем 1 раз в полгода контрольные осмотры для проверки уровня гигиены полости рта, устойчивости протезов (при необходимости перебазировки), степени фиксации протезов (при необходимости — активация фрикционных штифтов). 4.2. Динамический контроль состояния пародонта опорных зубов с помощью периотеста.
После профессиональной гигиены и снятия коронок и мостовидного протеза зубы 12, 11, 22, 23, 25 были восстановлены композитом с анкерными штифтами, отпрепарированы под телескопические коронки (рис. 292). Проведена починка съемного протеза пластмассой холодного отверждения белого цвета по типу назубной шины и изго товлены временные пластмассовые коронки (рис. 293). Этим протезом пациентка 3. пользовалась на всем протяжении протезирования верхнего зубного ряда.
37 зуб был препарирован под штампованную коронку. Сняты альгинатные оттиски для: изготовления штампованной коронки на 37, изготовления индивидуальной ложки для верхней челюсти, изготовления жестких базисов с прикусными восковыми валиками, для определения и фиксации центрального соотношения челюстей. После припасовки и фиксации коронки на 37 зуб снят альгинатный оттиск нижнего зубного ряда для изготовления бюгельного протеза, двойной силиконовый оттиск верхней челюсти индивидуальной ложкой для изготовления телескопических коронок. Определено центральное соотношение челюстей с тщательным формированием протетической плоскости. Телескопические первичные коронки моделировались техником с утолщением для формирования паза фрикционного штифта. Учитывая размеры зубов пациентки 3., было принято решение установить по одному фрикционному штифту на телескопическую коронку. Припасованные первичные коронки временно фиксировали на зубах корригирующим слоем силиконового материала и получали оттиск протезного поля тем же материалом с помощью индивидуальной ложки. Зубной техник по оттиску индивидуальной ложкой изготавливал новую рабочую модель для изготовления покрывной конструкции (рис. 294). Учитывая сложность в подборе размера, цвета и фасона гарнитурного зуба и коронки с облицовкой композитом, мы считаем оптимальным способом эстетического протезирования — моделирование покрывной конструкции в виде вторичных коронок и фасеток, минимум от клыка до клыка. В случае пациентки 3. техник смоделировал каркас с вторичными телескопическими коронками на 12, 11, 22, 23, 25 и фасетками на 13, 21, 24. Для придания большей жесткости протезу коронки и фасетки выполнены цельнометаллическими с оральной стороны (рис. 295, 297, 298) На этапе клинической припасовки каркаса комбинированного протеза верхней челюсти и бюгельного протеза нижней челюсти тщательно проверяли окклюзионные взаимоотношения, а также величину искусственных передних зубов верхней челюсти по их видимости из-под губы в состоянии покоя (рис. 296).
Прожигание пазов в первичных коронках и отверстий во вторичных коронках проводили электроискровым методом. Фрикционные штифты фиксировали лазерной сваркой. Готовые протезы тщательно припасовывали в полости рта в статической и динамической окклюзии. Фиксацию первичных коронок стеклоиономерным цементом (рис. 299) осуществляли под контролем съемной покрывной части в прикусе, тщательно изолировав вазелином. Через 1 час после фиксации обучали пациентку правилам пользования протезами (надевания, снятия, очистки, хранения), гигиенического ухода за зубами, особенно верхней челюсти с телескопическими коронками. Динамическое наблюдение за пациенткой с проведением периотестометрии на контрольных осмотрах показало стабилизацию процесса в пародонте опорных зубов (рис. 300). На контрольных осмотрах своевременно проводили не только перебазировку съемной части протеза, но и осуществляли профессиональную чистку зубов.
Ситуация 14 В клинику кафедры Госпитальной ортопедической стоматологии МГМСУ обратилась больная Е., 57 лет с жалобами на косметический дефект из-за перелома и выпадения металлокерамического мостовидного протеза 22-25. Металлокерамические мостовидные протезы на верхней и нижней челюсти изготовлены 4 года назад. Гигиена полости рта удовлетворительная. Было проведено подробное обследование, включающее обследование зубных рядов (ЗР), твердых тканей зубов (ТТЗ), пародонта (Пар), протезного ложа (ПЛ), прикуса (Пр). ЗР — Дефект зубного ряда верхней челюсти 3 класс по Кеннеди, группа А по Керберу. Дефект зубного ряда нижней челюсти I класса по Кеннеди компенсирован клинически удовлетворительным бюгельным протезом. ТТЗ — Все зубы верхней и нижней челюсти депульпированы, каналы запломбированы удовлетворительно; изготовлены металлокерамические протезы клинически удовлетворительные. 25 зуб — полный некроз коронковой части. 22 зуб — дефект коронковой части, перелом анкерного штифта (рис. 301). Пар — Пародонт в стадии компенсации, в области 22 — гипертрофический гингивит. ПЛ — Слизистая оболочка полости рта I типа по Люнду. Пр — Смыкание зубных рядов по ортогнатическому типу без снижения высоты нижнего отдела лица. По результатам обследования был составлен план лечения, включающий несколько этапов. I. Подготовительный этап. 1.1. Удалить корень 25. 1.2. Коагуляция гипертрофированной десны вокруг корня 22. 1.3. Удалить сломанный штифт в корне 22. II. Протезирование зубного ряда верхней челюсти. 2.1. Восстановить коронковую часть 22 зуба с помощью анкерного штифта и пломбировочного материала. 2.2. Изготовить съемный мостовидный протез с телескопической фиксацией на 22, кламмерной фиксацией на 21 и 26. III. Реабилитационно-профилактический этап. 3.1. Ежегодно 1 раз в полгода профилактические контрольные осмотры для проверки состояния опорных зубов и окклюзионных контактов, гигиены полости рта. Выбор подобного плана лечения связан с тем, что пациентка Е. категорически отказалась от имплантации и каких-либо небных съемных элементов. В принципе при таком дефекте зубного ряда (группа А) возможно изготовление мостовидного протеза (с опорами на 11, 21, 22, 26), однако это потребовало бы снятия имеющихся металлокерамических коронок на 11, 21 зубах, от чего пациентка также категорически отказалась.
На первом этапе был удален сломанный штифт из 22, коронковая часть восстановлена новым анкерным штифтом и композитным материалом химического отверждения «Core-max» (рис. 302). Культя 22 зуба была отпрепарирована под телескопическую коронку. Дальнейшие этапы были аналогичны изготовлению комбинированного протеза с телескопической фиксацией. Цементирование несъемной части проводили под контролем съемной (рис. 303). На рисунке 304 изображен съемный мостовидный протез (вид со стороны протезного ложа) с телескопической коронкой на 22, жестким опорно-удерживающим кламмером Анкера на 26 и опорно-удерживающим кламмером 2 типа (с вестибулярным придесневым кламмером Роуча) на 21 зубе.
Пациентка Е. очень довольна протезом, успешно пользуется им уже более 2 лет. (рис. 305, 306). Ситуация 15 В клинику кафедры Госпитальной ортопедической стоматологии МГМСУ обратилась больная К. 73 лет с жалобами на косметический дефект из-за нарушения целостности облицовки металлопластмассовых коронок на передних зубах нижней челюсти, неприятный запах изо рта, слабую фиксацию съемного протеза нижней челюсти (рис. 307). Металлопластмассовые коронки изготовлены 3 года назад. Съемными протезами пользуется более 20 лет. Последний съемный протез изготовлен также 3 года назад. Было проведено подробное обследование, включающее обследование зубных рядов (ЗР), твердых тканей зубов (ТТЗ), пародонта (Пар), протезного ложа (ПЛ), прикуса (Пр). ЗР — Полное отсутствие зубов верхней челюсти, компенсированное клинически удовлетворительным съемным пластиночным протезом. Дефект зубного ряда нижней челюсти I класс по Кеннеди, группа В по Керберу. ТТЗ — Частичная расцементировка металлопластмассовой коронковой шины, некроз твердых тканей 33, 41, 42 с вестибулярной и язычных поверхностей. Все зубы нижней челюсти депульпированы, каналы запломбированы полностью, изменения в периапикальных зонах отсутствуют. Пар — Хронический генерализованный пародонтит компенсированной формы. ПЛ — Слизистая оболочка полости рта 1 типа по Люнду, гипертрофический гингивит в области искусственных коронок. Пр — Смыкание зубных рядов по ортогнатическому типу.
По результатам обследования был составлен план лечения, включающий несколько этапов. I. Подготовительный этап. 1.1. Снятие металлопластмассовых коронок 42-33. 1.2. Восстановление культи разрушенных зубов композитным материалом с анкерными штифтами. 1.3. Профессиональная гигиена. II. Протезирование зубного ряда нижней челюсти. 2.1 На период лечения изготовить временные пластмассовые коронки на 42-33, точно прилегающие к десневому краю. 2.2. Изготовить покрывной протез нижней челюсти с телескопическими коронками на 42-33 (рис. 309). Фиксация — Внекоронковые рельсовые аттачмены с фрикционными штифтами на 42 и 33. Стабилизация — телескопические коронки и внекоронковые аттачмены на 43-33 зубах. III. Реабилитационно-профилактический этап. 3.1. Ежегодно 1 раз в полгода профилактические контрольные осмотры для контроля гигиенического ухода за зубами и протезами и своевременной перебазировки протеза. Выбор телескопической системы оправдан необходимостью шинирования оставшихся зубов, а также достижением надежной стабилизации съемного протеза при резкой атрофии (в дистальных зонах) альвеолярной части нижней челюсти (II тип по Эльбрехту). Однако из-за малых вестибулооральных и мезиодистальных размеров резцов нижней челюсти весьма затруднительно найти место для расположения фрикционных штифтов, поэтому было предложено ввести в конструкцию первичной коронковой шины два консольных элемента в виде рельсовых экстракоронарных аттачменов с язычным и вестибулярным пазами для фрикционных штифтов (рис. 311-313). На рисунках 310-314 представлены некоторые клинические и лабораторные этапы протезирования больной К., которые мало отличались от описанных ранее. Следует лишь обратить внимание на обязательное выполнение каркаса съемной части комбинированного протеза с плотным точечным касанием металлическим каркасом седловидной части вершины альвеолярного гребня в области 36 и 46 зубов (рис. 312). Это необходимо для предотвращения ошибок при паковке базисной пластмассы. Высокое качество изготовленного протеза, точное соблюдение пациенткой рекомендованных реабилитационно-профилактических мероприятий позволяют нам наблюдать в течение 5 лет высокую эффективность данной конструкции протеза.
Ситуация 16 В клинику кафедры Госпитальной ортопедической стоматологии обратилась пациентка Щ. 67 лет с жалобами на дискомфорт при пользовании съемным протезом нижней челюсти, подвижность зубов нижней челюсти, «страх утраты последних зубов» (рис. 315, 316).
Съемным протезом при полном отсутствии зубов на верхней челюсти пользуется 15 лет, съемным протезом на нижней челюсти около 10 лет. Гигиенический уход за протезами — хороший. Съемный протез на верхней челюсти клинически удовлетворителен. Съемный протез на нижней челюсти хорошо фиксируется кламмерами, однако подвижен вместе с оставшимися зубами нижней челюсти (рис. 317).
Было проведено подробное обследование, включающее обследование зубных рядов (ЗР), твердых тканей зубов (ТТЗ), пародонта (Пар), протезного ложа (ПЛ), прикуса (Пр). ЗР — Полное отсутствие зубов на верхней челюсти. Частичный дефект зубного ряда на нижней челюсти 1 класс 1 подкласс по Кеннеди, группа D по Керберу. ТТЗ — 43, 32, 33 подвижность II степени. Пар — Субкомпенсированный генерализованный пародонтит в стадии ремиссии. ПЛ — Слизистая оболочка полости рта I типа по Люнду. Резко выраженная атрофия альвеолярных гребней нижней челюсти в боковых отделах I типа по Эльбрехту. Атрофия альвеолярного отростка верхней челюсти 2 степени по Курляндскому. Пр — Прямое соотношение челюстей. Трема 2 мм между 32-33. Результаты обследования внесены в одонтопародонтограмму (рис. 318). По результатам обследования был составлен план лечения, включающий несколько этапов.
I. Подготовительный этап. 1.1. Депульпировать 43, 32, 33. 1.2. Укоротить зубы 43, 32, 33 на величину коронковой части. II. Протезирование зубного ряда нижней челюсти. 2.1. Провести починку старого пластиночного протеза нижней челюсти. 2.2. Изготовить съемный пластиночный покрывной протез на нижнюю челюсть (рис. 319). Фиксация — магнитные фиксаторы и культевые штифтовые вкладки в 43, 32, 33 из ферромагнитного сплава. Стабилизация — телескопические коронки 43, 32, 33. III. Реабилитационно-профилактический этап. 3.1.Ежегодно 1 раз в полгода профилактические контрольные осмотры для своевременной перебазировки протеза нижней челюсти и проверки гигиены полости рта. В данном случае выбор конструкции покрывного протеза преследовал цель изменить соотношение внеальвеолярной и внутрикостной частей оставшихся зубов вместо 2:1 на 1:1, а магнитная фиксация считается самой «мягкой» и щадящей. Дополнение магнитных фиксаторов телескопическими коронками позволяет реализовать стабилизирующий эффект, который отсутствует у магнитов, являющихся чистыми удерживающими элементами.
Клинические этапы протезирования больной Щ. представлены на рисунках 320-324: укорочение депульпированных зубов, припасовка и фиксация внутрикорневых ферромагнитных штифтовых вкладок, препарирование культей зубов под телескопические коронки, фиксация телескопических, припасовка и наложение покрывного протеза нижнего зубного ряда с комбинированными магнитно-телескопическими фиксаторами.
Зуботехнические этапы отличались от общепринятых этапом моделировки вторичных коронок (с учетом магнитных фиксаторов) и фиксации магнитов специальным клеем внутри вторичных телескопических коронок. Наблюдение за пациенткой Щ. в течение 2,5 лет показало эффективность предложенного и реализованного нами плана ортопедического лечения. Данные периотестометрии, которую мы проводили на каждом контрольном осмотре, свидетельствуют о стабилизации процесса в пародонте (рис. 325).
|
КЛИНИЧЕСКИЕ ПРИМЕРЫ с применением замковых креплений
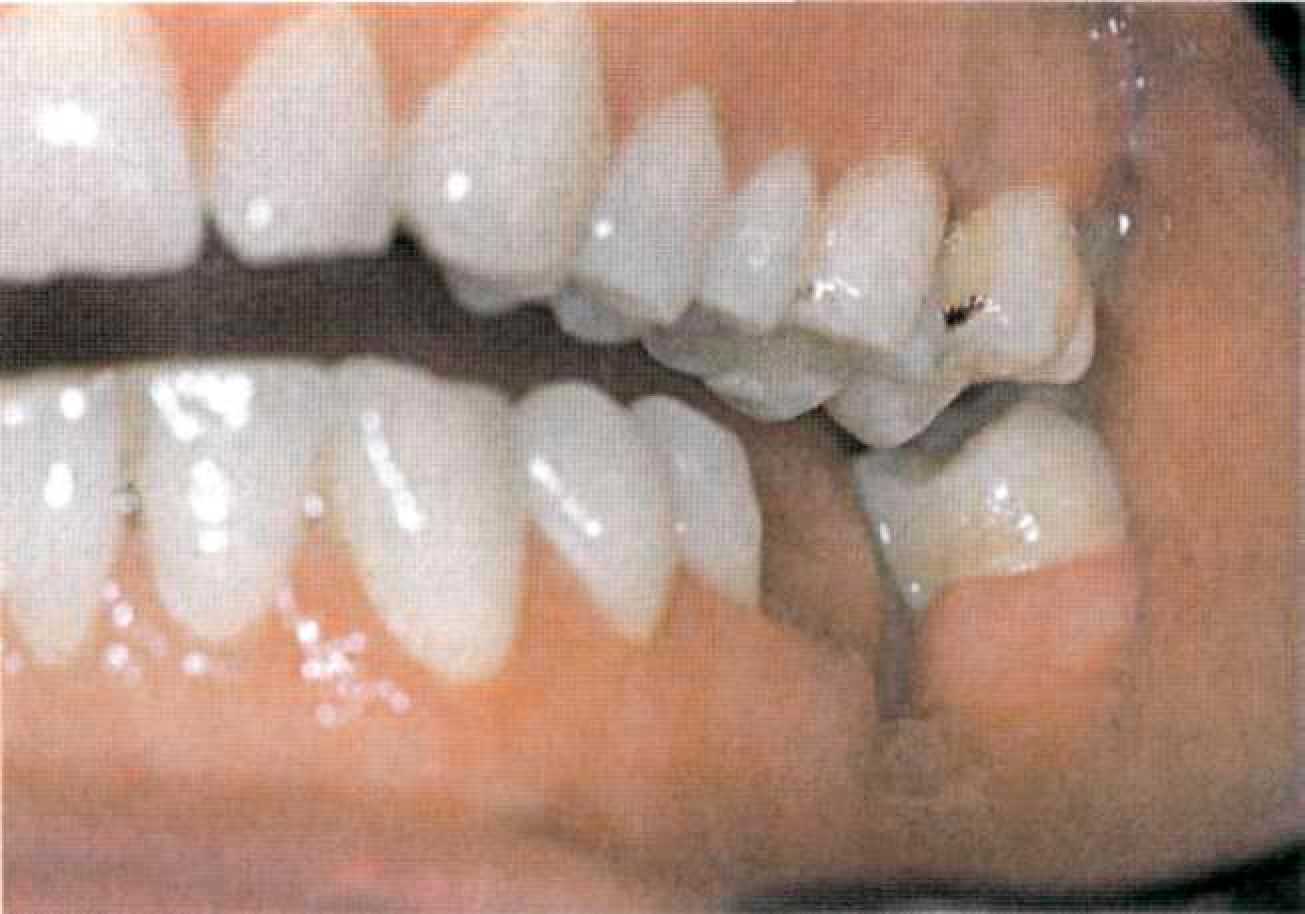
| КЛИНИЧЕСКИЕ ПРИМЕРЫ Для успешного ортопедического печения с применением замковых креплений в основном требуется сочетание трех факторов: правильный выбор замкового крепления в зависимости от клинической ситуации, высокопрецизионное выполнение технической работы и правильный уход за протезом и полостью рта со стороны пациента. Приводя клинические примеры, хотели бы обратить внимание на врачебную тактику и техническое исполнение работы, правильное проведение фрезерования опорных коронок. В качестве замковых креплений в большинстве описываемых клинических случаев использованы поворотные фиксаторы и рельсовые экстракоронарные Т-образные аттачмены. Ситуация 1 В клинику кафедры Госпитальной ортопедической стоматологии МГМСУ обратилась больная Б. 53 лет с жалобами на перелом металлокерамического мостовидного протеза верхней челюсти (рис. 170).
После удаления зубов с III степенью подвижности клиническая ситуация на верхней челюсти выглядела следующим образом (схема представлена на рис. 171). Сложность данной ситуации заключается в том, что все опорные зубы находятся на одной половине верхней челюсти, что может привести к появлению ротационых движений базиса протеза при жевательной функции, поэтому главной задачей при ортопедическом лечении данной больной, является создание надежной стабилизации съемного протеза.
Было проведено подробное обследование, включающее обследование зубных рядов (ЗР), твердых тканей зубов (ТТЗ), пародонта (Пар), протезного ложа (ПЛ), прикуса (Пр). ЗР — Дефект зубного ряда верхней челюсти 2 класс 1 подкласс по Кеннеди. |



























































































































































