Балки типа рычаг.
Соединительные балки этого типа используются только при изготовлении полных протезов с опорой на имплантаты. Для обеспечения надежного результата в челюсти должно быть ус тановлено не менее 4 имплантатов (рис. 11-13).
Рис. 15е.
.. непосредственно в полости рта заполняется полимерным материалом (GC-Pattern Resin, GC, Токио/Япония), после чего шина покрывается тонким слоем полиэфирного адгезива.

Рис. 15a. Путь к изготовлению оптимального слепка начинается с первичного слепка винтов для фиксации слепочных абатментов ...
Рис. 15Ь.
...на основе которого отливается модель для изготовления индивидуальной слепочной ложки с соединительной шиной.
Рис. 15с. Подготовка к изготовлению основного слепка. 1 -й этап: установка слепочных абатментов и рентгеновский контроль точности их фиксации (Steri-Oss-System, Nobel-BioCare, Гетеборг/ Швеция).
Рис. 15d.
2-й этап: стабилизация положения слепочных абатментов с помощью полимерной шины. Свободное пространство...
Рис. 15f.
3-й этап: примерка индивидуальной слепочной ложки, в ходе которой проводится заключительный контроль наличия доступа и положения фиксирующих винтов.
Рис. 15д.
4-й этап: с помощью шприца слепочная масса Impregum (ESPE, Seefeld/Германия) наносится вокруг слепочных абатментов,...
Рис. 15h. ...после чего вся ложка заполняется той же слепочной массой. Сразу после установки ложки необходимо открыть доступ ко всем фиксирующим винтам. Внимание! По истечении времени полимеризации слепочного материала сначала нужно удалить все фиксирующие винты и только после этого извлекать ложку из полости рта!

Рис. 17а. Внутриротовая регистрация: на верхней челюсти установлен регистрирующий шаблон с пишущим штифтом (Candulor, Wangen/CH).
Рис. 17Ь. Внутриротовая регистрации угла сагиттального сдвига нижней челюсти при помощи регистрирующего шаблона, установленного на нижней челюсти.
Рис 17с. Рабочие модели подготовлены к установке в артикулятор при помощи регистрирующих шаблонов.
Рис. 16а. Оптимальная форма слвпачиой ложки для переноса позиции имплантатов с возможностью одновременной регистрации движений нижней челюсти с помощью лицевой дуги.
Рис. 16Ь. Соединительная шина для изготовления слепков 5 имплантатов (на модели).
Рис. 16с. Оптимальный слепок для переноса на рабочую модель позиции имплантатов.
Балки этого типа, как правило, имеют параллельные боковые стенки (фрезеруются под углом 0") и успешно противодействуют непроизвольным движениям протеза. Воздействующие нагрузки равномерно распределяются между всеми опорными имплантатами. При большом вертикальном расстоянии между челюстями - а, следовательно, и высоте балки - фрезерование рекомендуется проводить под углом 2°, что позволяет уменьшить величину усилия, необходимого для снятия и фиксации.
внешней конструкции реставрации.
Вторичные детали могут изготавливаться из сплавов, не содержащих благородных металлов, сплавов на основе благородных металлов и гальванического золота (рис. 10-13). Каркас третичной конструкции, как правило, изготавливается из сплавов, не содержащих благородных металлов. Вторичные детали из сплавов на основе благородных металлов чаще всего используются при изготовлении конструкций типа балка-замок, когда необходимо соединить несколько подвижных частей (рис, 19-20).


Рис. 18а. Современные трансферные абатменты легко устанавливаются на имплантатах и значительно упрощают процесс снятия слепка, а также фиксацию регистрирующих шаблонов CAMlog-System (Altatec, Wurmberg/Гврмания).
Рис. 18Ь. Слепочные абатменты CAMlog с красными фиксирующими гильзами для регистрирующих шаблонов (Altatec, Wurmberg/ Германия).
Рис. 1 8с. Трансферные абатменты с фиксирующими гильзами на модели (CAMlog-System, Altatec, Wurmberg/Гврмания).
Рис 1 8d. Регистрирующий шаблон на верхней челюсти зафиксирован на винтах, на нижней челюсти — с помощью фиксирующих гильз CAMlog.
Рис. 18е. Увеличенный снимок винтового соединения регистрирующего шаблона.
Внешние конструкции с гальваническими вторичными деталями отличаются прецизионной точностью фиксации и свободной посадкой. Однако в этом случае для обеспечения прочности конструкции тонкие гальванические детали необходимо вклеивать в отдельно изготавливаемую внешнюю конструкцию - третичный каркас из сплава, не содержащего благородных металлов (рис. 10-11). Вторичные детали из сплавов, не содержащих благородных металлов, изготавливаются при дефиците свободного пространства. Они обладают высокой стабильностью и не требуют изготовления промежуточных элементов конструкции.
Конструкция типа балка-замок Конструкции типа балка-замок состоят из индивидуальной фрезерованной балки, замка и полного съемного протеза (рис. 19, 20). Фиксация съемного протеза осуществляется без фрикционного контакта, а только с помощью горизонтального замка, который вводится в специальное углубление, сформированное в соединительной балке. Благодаря высокой вариативности структуры базиса протеза, этот тип конструкции отличается максимальным комфортом для пациента.
Любые недостатки и анатомические особенности устраняются или корректируются в процессе изготовления протеза. Конструкции этого типа отличаются превосходной стабильностью. Процесс открытия и закрытия замка пациенты осваивают за несколько дней. По механизму замыкания различают задвижные, шарнирные и выдвижные замки. Конструкции типа балка-замок изготавливаются на основе полной восковой модели реставрации, которая определяет ее размеры и внешнюю форму и после ее примерки в полости рта пациента. Изготовление таких конструкций состоит из множества мелких рабочих этапов и требует значительных затрат рабочего времени. Поэтому их себестоимость несколько выше, чем у конструкций другого типа [28, 42-44].
В профессиональной литературе часто публикуются статьи, авторы которых пропагандируют достоинства «своих» методов лечения и используемых соединительных элементов. В качестве доказательства своей правоты они зачастую приводят совершенно заурядные реставрации, на примере которых просто невозможно проанализировать возможные недостатки, обусловленные недостаточной точностью их фиксации в полости рта или неправильным выбором типа соединительных элементов. В связи с этим необходимо подчеркнуть, что любые соединительные элементы настолько хороши, насколько точно стоматолог учел показания и противопоказания к их применению и насколько правильно зубной техник интегрировал их в конструкцию реставрации!

Рис. 1 9a.
Клинический случай 1. Исходная ситуация: пациент с очевидными последствиями травмы.
В данном случае речь идет об изготовлении съемной реставрации нижней челюсти с опорой на имплантаты и соединительным элементом типа балка-замок.
До имплантации на верхней челюсти будет установлена временная реставрация длительного ношения с металлическим каркасом.
Рис. 19Ь.
Примерка Wax-up модели реставрации верхней челюсти и Set-up модели реставрации нижней челюсти Wax-up/Set-up представляют собой прекрасную основу для изготовления временных реставраций длительного ношения и выбора оптимальной позиции имплантатов, а также оценки фонетических, эстетических и функциональных характеристик будущих реставраций.
Рис. 19с. После примерки и коррекции структуры восковой модели на ее основе изготавливается временная реставрация нижней челюсти, которая позднее используется для изготовления хирургического шаблона.
Рис. 19d.
Ситуация через 6 недель после введения 6 имплантатов типо Steri-Oss и непосредственно после их вскрытия.
Рис. 19е.
Ситуация через 8 дней после вскрытия имплантатов.
Рис. 19f.
Подготовка к снятию слепка с помощью индивидуальной открытой ложки.
Рис. 19g.
Контрольный рентгеновский снимок имплантатов со слепочными обатментами.
Рис. 19h.
После регистрации взаимного расположения челюстей изготавливается второй комплект Wax-up/Set-up моделей на основе полимерного базиса с жестким винтовым соединением.
Рис. 19i. Искусственные керамические зубы реставрации нижней челюсти еще не полностью обожжены. Жевательные зубы на месте винтов съемные и изготовлены из полиуретана (Fa. Alpina, UNterhaching) Временная реставрация длительного ношения верхней челюсти выполнена с учетом выбранной концепции окклюзии и артикуляции.
Рис. 19j. В ходе примерки моделей в полости рта проводится контроль их эстетических, фонетических и функциональных характеристик с учетом индивидуальных пожеланий пациента.

Рис. 19к. Одной из основных проблем изготовления конструкций типа балка-замок является обеспечение прецизионной точности фиксации массивной литой балки (Sheffield-твст).
Рис. 19l. Задвижка замка фрезеруется под углом 0°. Это позволяет отказаться от формирования направляющей оси. Необходимый упор обеспечивается маленьким металлическим штифтом.
Рис. 19m. Высота перемычки не должна быть слишком маленькой, поскольку это приводит к образованию неблагоприятного взаимоотношения между рычагами приложения сил. Поверхность углубления, в которое входит задвижка замка, должна быть достаточно большой.
Рис 19n Направление сдвига определяется положением углубления и внешней поверхности открывающей головки.
Рис. 19о. При максимальной высоте балки для вторичной детали остается мало места.
Рис. 19р. Моделирование искусственных зубов поверх корпуса замка осуществляется только после изготовления вторичной детали.

Рис. 19q. Изготовление искусственных керамических зубов требует от зубного техника точного представления о форме и практического опыта послойной облицовки. После изготовления керамические зубы наклеиваются на вторичный каркас. Чтобы предотвратить окисление задвижки при изготовлении открывающей головки, перед моделированием ее нужно покрыть флюсом.

Рис. 19r.
Готовая реставрация с соединительным элементов типа балка-замок: вид со стороны поверхности окклюзии.
Рис. 19s.
Задвижной замок в открытом состоянии.
Рис. 19t.
Готовый протез нижней челюсти: вид спереди.
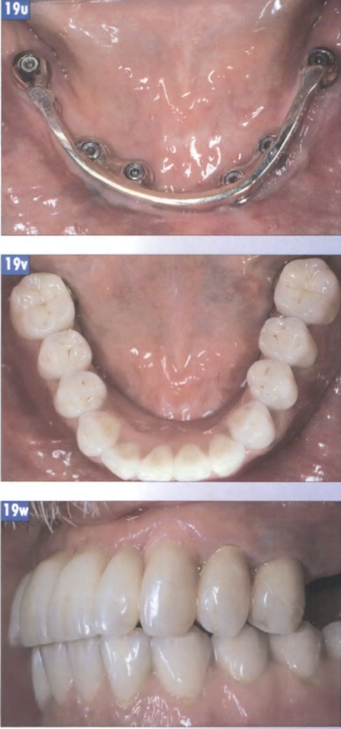
Рис. 19и.
Зеркальный снимок первичной балки in situ: вид со стороны поверхности окклюзии.
Рис. 19v. Ситуация после фиксации протеза: вид со стороны поверхности окклюзии.
Рис. 19w. Промежуточный результат: новая реставрация с соединительным элементом балка-замок на нижней челюсти и временная реставрация длительного ношения (облицована полимерными материалами) на верхней челюсти.

Рис. 20а. Клинический случай 2. Фото пациентки в молодости В данном случае речь идет об изготовлении полного съемного протеза верхней челюсти с соединительным элементом типа балка-замок. Основное внимание будет уделено техническим этапам изготовления соединительной балки и других элементов конструкции.
Рис. 20Ь. Примерка восковой модели с облицованными керамическими зубами.
Рис. 20с. Клиническая ситуация после вскрытия имплантатов, остео-интегрированные имплантаты с заживляющими абатментами.
Рис. 20d. Рабочая модель с аналогами имплантатов и съемной десневой маской из полиуретана.
Рис. 20е. На основе восковой модели изготавливаются прессованная пленочная шина и силиконовый шаблон, которые используются для визуального контроля результатов моделирования и изготовления различных элементов конструкции.
Рис. 20f. Восковая модель соединительной балки.
Рис. 20j. Вспомогательная деталь из синей пластмассы точно воспроизводит положение и размеры соответствующего участка Set-up. Она изготавливается на основе силиконового шаблона и обеспечивает точную ориентацию задвижек в пространстве

Рис. 20g. Углубление для задвижки определенной толщины препарируется с помощью диска, закрепленного в фрезеровальном приборе.
Рис 20h. Параллельно фрезерованная балка с препарированным углублением.
Рис. 20i. Полиэтиленовый блок с вертикальным штырем образует рабочую поверхность для фрезерования внешней и внутренней дуги.
Рис 20l С помощью силиконового шаблона мы в любой момент может точно определить положение искусственных зубов, что значительно облегчает интеграцию Tuberculli Corabelli в.
структуру замка.
Рис 20m Для удобства работы укороченные остатки литников не удаляются вплоть до изготовление вторичного каркаса. Для моделирования каркаса лучше всего использовать материал Pattern Resin.
Рис. 20р. При планировании и на всех этапах лечения мы стремились удовлетворить желание пациентки восстановить естественный внешний вид зубов и направляли все свои усилия но достижение именно этой цели.
Рис. 20q. Благодаря точному планированию все элементы конструкции реставрации имеют оптимальные размеры, которые определяются только индивидуальными особенностями строения челюстей пациентки и степенью атрофии мягких и костных тканей.

Рис. 20m. После пескоструйной обработки поверхность керамических зубов протравливается вплоть до границы десневой борозды, что позволяет обеспечить максимальную прочность их соединения с полимерным материалом и предотвратить изменение цвета в этой переходной области.
Рис. 20п. Протравленная поверхность силанируется и смачивается активирующей жидкостью.
Рис. 20о. Искусственные зубы соединяются с опаковым вторичным каркасом с помощью полимерного материала Espe Sinfonie.
Рис 20г. Готовая первичная балка с промывным каналом: вид со стороны нёбной поверхности.
.
Для обеспечения эстетического совершенства полных реставраций огромное значение имеет выбор искусственных зубов. Наша главная задача состоит в том, чтобы изготовить реставрацию, которая будет выглядеть максимально естественно, что во многом зависит от морфологии и внешнего вида зубов [47]. Искусственные зубы должны соответствовать возрасту, полу и индивидуальным особенностям строения зубочелюстной системы и лица пациента. В зависимости от его финансовых возможностей для изготовления реставраций мы можем использовать:.
■ стандартные полимерные или керамические искусственные зубы,.
Таблица 3. Показания к применению различных соединительных элементов
Качество. костных. тканей | Количество. имплантатов | Длина. имплантатов | Атачмены со сферической головкой | Магниты | Двойные. коронки | Snap-балка | Балка-замок |
D1.D2 | >10 | 0 | 0 | 0 | + | ||
2 | >10 | 0 | + | ||||
D3 | 4 | >10 | + | + | + | + | 0 |
6 | >10 | + | + | + | + | + | |
>6 | >10 | + | + | + | + | + | |
2 | >10 | + | + | + | + | 0 | |
D4 | 4. 6 | >10. >10 | +. + | +. + | +. + | +. + | 0. + |
>6 | >10 | + | + | + | + | + | |
После. аугментации | не менее 4 6 >6 | >10. >10. >10 | 0. 0. 0 | 0. 0. 0 | 0. +. + | +. +. + | 0. 0. + |
Глубокое дно | Глубокое дно | для балок | |||||
Анатомические | полости рта | полости рта | Dolder | ||||
ограничения | много мягких тканей | много мягких тканей | глубокое дно полости рта | ||||
+ | + | ++++ | |||||
Долговечность | замена. матрицы | замена | +++++ | активация. Snap | +++++ | ||
Сложность. изготовления | И | + | +++ | ++++ | +++++ | ||
Стоимость | ( + ) | + | +++ | ++++ | +++++ | ||
Удобство для пациента | ++++ | ++++ | ++++ | ++++ | +++ | ||
Ретенция | + | + | ++++ | ++++ | +++++ | ||
Комфорт | + | + | ++++ | ++++ | +++++ | ||
Свободное. нёбо | 0 | 0 | не менее 6 имплантатов | UO UOLIOO R ПС MCI lUVi. имплантатов | не менее 6 имплантатов |
■ индивидуализированные керамические искусственные зубы (например, Candulor, Wangen/CH),.
■ индивидуально облицованные стандартные полимерные.
искусственные зубы,.
■ индивидуально облицованные искусственные зубы на полимерной основе или с NEM-каркасом,


Рис. 20s. Открывающая головка должна быть легко доступна и открываться до упора без чрезмерных усилий: максимальная амплитуда перемещения составляет порядка 5 мм.
Рис. 20t. Контрольный рентгеновский снимок ситуации после фиксации соединительной балки на верхней челюсти.
Рис. 20и. Готовый протез в полости рта.
Рис. 20v. Итоговая ситуация.
Рис. 20w. Для большой работы нужно много вспомогательных средств!
■ индивидуальные металлокерамические искусственные зубы,.
■ индивидуальные цельнокерамические искусственные зубы.
Точно воспроизвести морфологию зубов можно только в процессе их индивидуальной облицовки. В своей практике мы предпочитаем использовать керамические зубы, которые обладают хорошими оптическими свойствами, высокой стабильностью цвета и стойкостью к абразивному износу, а также меньшим сродством к налету, чем полимерные зубы.
РЕЗЮМЕ.
Планирование и изготовление съемных реставраций с опорой на имплантаты является сложной задачей даже для профессиональной команды. Только четкое выполнение плана и объединение усилий всех членов команды позволяет добиваться предсказуемого результата, удовлетворяющего объективным критериям оценки качества и индивидуальным пожеланиям пациента. Сегодня в нашем распоряжении находятся все необходимые технологии, материалы и инструменты, которые позволяют успешно реализовать практически любое индивидуальное решение, разработанное с учетом особенностей конкретного клинического случая. Возможность достижения нужного результата уже не вызывает сомнения, поэтому мы можем позволить себе подумать о минимизации сопутствующих затрат. В заключение данной части статьи приводим основные показаниями к применению различных соединительных элементов (табл. 3).