Фтористо-апатитовая лейцитная стеклокерамика IPS d.SIGN была разработана по образцу самой природы, при этом вкачестве модели были взяты важнейшие свойства живых зубов. Живой зубвсвоей неорганической составляющей представляет собой преимущественно кристаллы апатита, вкоторые встроены гидроксильные и частично карбонатные группы. Фтористо-апатитовая лейцитная стеклокерамика, в свою очередь, содержит ионыфтора, которые придают керамике IPS d.SIGN очень высокую химическую устойчивость. Кроме этого, и в этом состоит существенное преимущество этойновой стеклокерамики, упомянутая специфика материала обуславливает его чрезвычайно хорошие оптические свойства. Повышенная светлая тональность, блеск, а также улучшенная сохранность цвета в течение длительного времени и живая флюоресцентность - вот результат разработки этого материала.

Срез под микроскопом - традиционная керамика на основе полевого шпата
Благодаря новой структуре поверхности IPS d.SIGN обладает очень хорошей полируемостью и вызывает минимальную стираемость антагонистов. Массы IPS d.SIGN очень стабильны и проходят обжиг при температуре ниже 900C. Откройте для себя новые возможности! Фтористый апатит - вот волшебное слово.
Стираемость эмали зубов-антагонистов

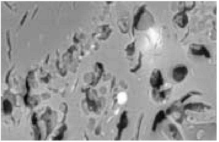
Срез под микроскопом - живой зуб

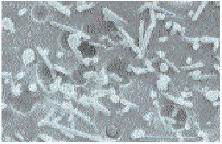
Срез под микроскопом (после протравливания поверхности) - IPS d.SIGN