
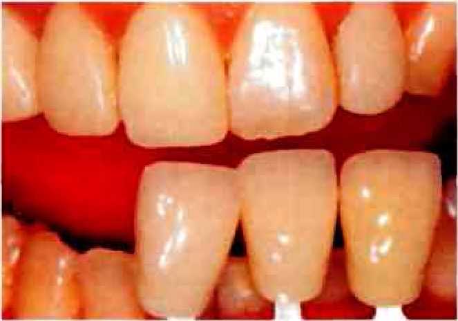
До начала лечения.
Рис. 84
Клинический пример исправления неэстетичной реставрации между зубами 21 и 12. Верхний левый центральный резец отличался от соседних зубов формой, цветом и рельефом поверхности. Для Изготовления новой металлокерамической коронки в качестве базовой расцветки была выбрана А,, однако из-за ее недостаточного совпадения с цветом натуральных зубов пациентки предпочтение было отдано оригинальной расцветке NA
3

До начала лечения.
Рис. 86
Клиническое наблюдение В.
Так как пвет натуральных зубов обладает меньшей цветовой насыщенностью по сравнению с образцом расцветки А„ в качестве базовой расцветки была выбрана более светлая (более белесая) масса NW„. (из новых расцветок керамики Норитакэ).

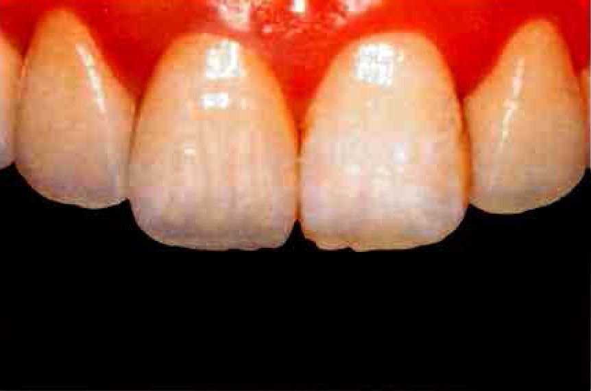
После эстетического лечения.
Рис. 85
Готовая металлокерамическая коронка. Так как при шеечные области натуральных зубов пациентки отличались высокой цветовой насыщенностью, для подкрашивания коронки был взят внутренний краситель "Пришеечный-1", а для раскрашивания мамелонов "Оранжевый для мамелонов 2". В качестве базовой расцветки эмали выбран люстровый фарфор LT,; в области режущего края нанесена масса Tblue, а эффект ореола по режущему краю коронки имитирован с помощью внутреннего красителя Incisial Aureola. Обратите внимание на скурпулезно выполненный рельеф поверхности коронки. Благодаря есгественому блеску и точной передаче анатомических особенностей поверхности металлокерамическая коронка гармонично сочетается с соседними натуральными зубами.
Работу выполнили:.
Клиника Хокабэ врач - ортопед О. Хпку-сэисэй Зуботехнический центр Канарз - зубной техник С. Накащра-сзнсзй

Рис. 87
Для передачи цвета слоновой кости, наблюдаемой у натуральных зубов пациентки, была использована люстровая эмаль LT Natural, которую наносили на нижнюю треть коронки мазками в направлении к режущему краю. Для воспроизведения характерной белесой окраски зубов в.
прншеечной области использовали внутренний краситель "White" (Белый), люстровую кремовую эмаль Creamy Enamel, которые наносили на пршпеечное керамическое покрытие CCV-2.
Работу выполнили:.
Станционная стоматологическая клиника - врач-ортопед X. Ыиурв-сэнсэй Зуботехнический центр Каиарэ - зубной техник М. Фукусима-сэнсэй.
Клиническое наблюдение С.
После эстетического лечения.

До начала лечения.
Рис. 88


Пример задания (рис. 88 ajb)
Готовая работа во рту пациента. Аоктор - ДжеральИ Чайч. Зубной техник - Хитоси Аосима-сэнсэй.
Клиническое наблюдение D

После эстетического лечения.

До начала лечения.
Рис. 90

Пример задания (рис. 90 а,Ь)
Готовая работа во рту пациента. AoKtnov - Ажеиаяъд Чайч. Зибноа техник - Хитоси Аосима-свнсзй.