|
Считаю должным упомянуть лишь тот факт, что с помощью масс, предлагаемых компаниями Ivoclar/ Vivadent, Shaan, у вас есть все возможности — от самых простых до подобранных индивидуально — изготовить керамическую реставрацию желаемого оттенка. В вашем распоряжении — керамические заготовки, дентин, эффект-массы, мамелоновые массы, транспа-массы, дентин для окклюзальной поверхности, корректирующие массы, интенсивные и оттеночные краски, тени, а также массы для глазуровки. При этом дентин и керамические заготовки представлены в цветовых исполнениях «Chromaskop» и «Vita». Вы видите, что ассортимент по своему разнообразию ничем не уступает другим системам в области керамики. При нанесении слоев многое зависит от творческого подхода и опыта зубного техника. Поэтому я всегда даю совет: экспериментируйте с отдельными компонентами, изучая их поведение и получение цвета при обжиге, пробуйте различные смеси и пробные колпачки, чтобы потом, при работе с пациентом, точно знать, какую массу вам лучше всего использовать для достижения желаемого эффекта. При использовании моделирующей жидкости наслоение благодаря структуре керамической массы Empress-2 — происходит
|
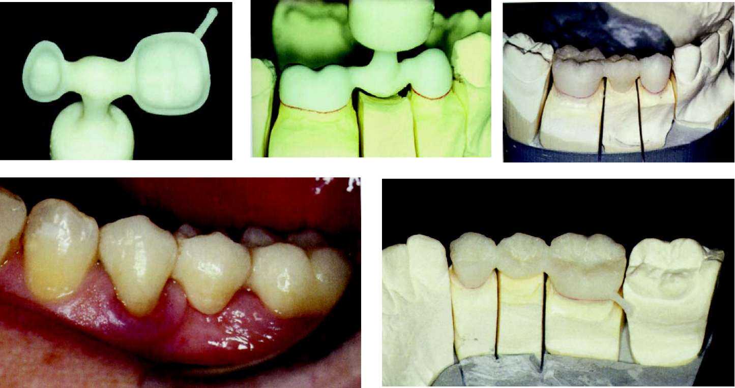
очень удобно, так как нанесенные порции хорошо сохраняют свою форму, поэтому форма реставрации уже на этом этапе имеет четкость и можно провести все работы по доведению ее до окончательного вида. Части с наслоением мы немного уплотняем с помощью нанесения бороздок, ямок и в конце процедуры, как обычно — окрашиваем (Рис. 60). После этого отдельные части устанавливаются на закругленные сверху металлические штифты или термостойкую вату для обжига. В этой публикации я бы не хотел более подробно останавливаться на пара-
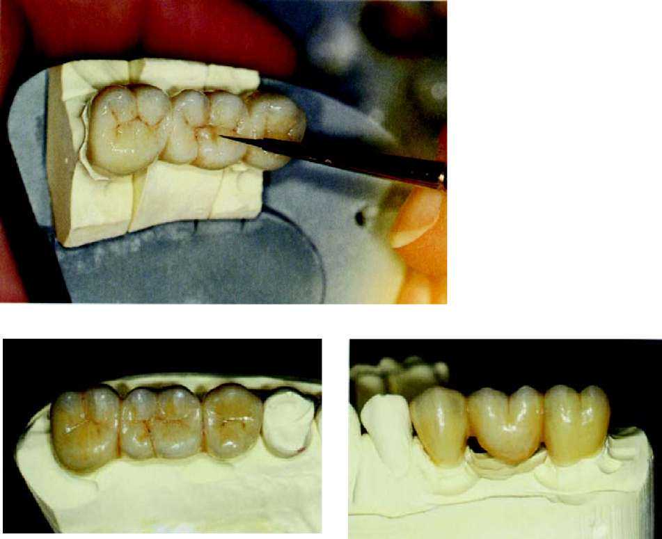
метрах обжига. Важно только отметить, что при изготовлении керамики путем наслоения апатита фтора мы ведем речь о материале, который требует обжига при температуре 760 — 800 °С. Более подробную информацию, вы можете получить из таблиц фирмы-производителя. После первого обжига мы вынимаем каркас нашего внимания из печи без его длительного охлаждения и ждем, пока он не достигнет комнатной температуры. После этого под микроскопом исследуются внутренние стороны коронок. Если на внутренней стороне остались излишние частицы керамики, которые попали на внутреннюю сторону при нанесении кисточкой массы для уплотнения, то их можно легко удалить алмазным шариком, после чего проводится примерка на остове.
Рис. 63 и 64. Мост, покрытый глазурью. После этого проводится шлифование контактных пунктов с соседними зубами и, в случае необходимости проводится корректировка с помощью алмазного бора. Когда после этого мост садится на модель без какого-либо сопротивления, теперь в артикуляторе мы можем проконтролировать окклюзальную сторону и, в случае необходимости, с помощью алмазного шарика провести корректировку. В зависимости от степени уплотнения, нанесенной при наслоении керамической массы — готовая обожженная керамика в большей или меньшей степени уменьшается в объеме, и должна быть подкорректирована нанесением новой керамики (корректировочный обжиг с применением массы Add-on) и ее обжигом. Но прежде чем вновь наносить керамику, мы обрабатываем керамическую (пескоструйный аппарат) поверхность 110 мц оксида алюминия при давлении 2 бар и для очистки используем пароструй. Теперь мы дополняем недостающие части или уменьшенные в объеме межзубные области слоями керамики (масса add-on 780°С), вновь их уплотняем и производим обжиг моста во второй раз при максимальной температуре 780 °С. После этого проводится та же процедура, что и после первого обжига. Когда форма, посадка и окклюзия завершены, мы переходим к оформлению поверхности. Теперь прорабатываются аппроксимальные края буккальных поверхностей, а также текстура. Как ориентир мы используем естественные зубы пациента. Можно исходить из того, что у более возрастных пациентов. Поверхность зубов более гладкая, чем у более юных пациентов. У последних нам часто встречаются поперечные структуры, в виде неравномерных волн. Речь идет о перикиматиях, которые с течением времени гладко полируются и становятся практически невидимы. Если они сохранились в оставшихся зубах пациента, мы имитируем их с помощью тонких, алмазных шариков, для достижения эффекта «черепицы», наложенной друг на друга. |
![]() |
| Рис. 66 и 67. После полировки. |
![]() |
| Рис. 69. И буккально. |
![]() |
| Рис. 65... базально. |
![]() |
| Рис. 68. Результат окклюзально.. |
![]() |
| Рис. 70. Ситуация. Рис. 71. Ситуация на модели. Рисунки 70—82 представляют интересные для специалистов случаи |
|
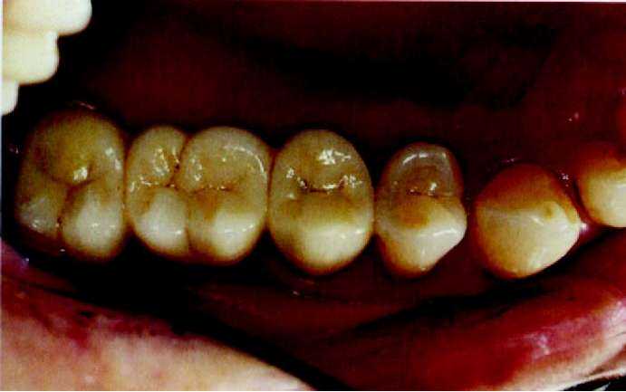
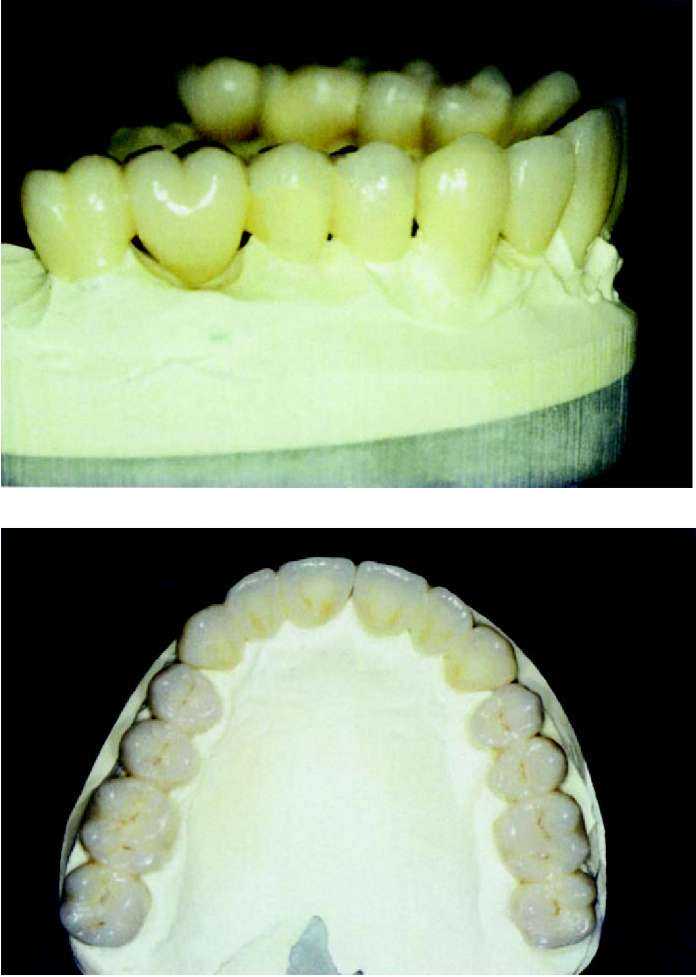
Но и здесь помните: Лучше меньше, да лучше! Если структуру наносить слишком сильно, это выглядит, во-первых, неестественно, а во-вторых, таким образом, мы создаем идеальные условия для образования налета, что способствует образованию отложений. Умеренное нанесение имитирующих структуру неровностей создает очень изящную оптику, которая возникает при преломлении света на краях отдельных поперечных структур. Вся реставрация теперь обрабатывается с помощью алмазосодержащих силиконовых полирующих средств для того, чтобы сделать поверхность более «мягкой». После этого необходима полировка щеткой из козьей шерсти и большим количеством влажного пемзового порошка, чтобы удалить слой силикона с поверхности перед нанесением глазури. Глазурь совершенно необходима для защиты керамики! Некоторые коллеги утверждают, что из-за нанесения глазури зубы неестественно блестят. Конечно, они правы! Но только в том случае, если это было сделано неверно. Мы в нашей работе делаем обжиг глазури, чтобы улучшить структуру керамики, подверженной обжигу. Это означает, что те неровности и микропоры, которые видны только под микроскопом, наполняются тонким слоем расплавленной керамики и тем самым получают защиту от окислительных, щелочных реакций и т.п. (Рис. 62 — 65). Процесс старения керамики, причиной которого является коррозия, тем самым значительно замедляется, а материал получает надежную защиту. При незначительных корректировках цвета можно работать с так называемыми тенями — окрашенными глазурованными пастами. Но в целом цвет должен соответствовать требуемому, уже с этапа наслоения, в противном случае лучше всего начать процесс с самого начала. Обжиг глазури производится при 750 °С, и в зависимости от желаемой степени блеска по времени может быть более или менее продолжительным. Особо важное значение этот процесс имеет для межзубных |
![]() |
| Рис. 72. После извлечения из кюветы.. |
|
областей и базальной поверхности каркаса. В этих местах нанесение должно быть более плотным, чтобы исключить возможность появления налета и уязвимых мест. После охлаждения реставрации мы переходим к тяжелой физической работе — механической полировке. Это необходимо, так как при рассмотрении глазурованной поверхности более чем в 100-кратном увеличении мы увидим небольшие заострения на поверхности глазури. Даже самые незначительные неровности недопустимы и должны быть устранены. (Рис. 66 и 67). В нашей лаборатории мы используем для этого большое количество пемзового порошка средней грануляции и льняной полировальный круг. С помощью этих средств мы полируем реставрацию под сильным нажимом на высоких оборотах (3000 об/в мин.) Это довольно утомительная, длительная процедура, требующая много сил. На каждую часть нам требуется 3 — 4 минуты (мост, состоящий из трех частей, требует по времени 10—12 минут). Но результат того стоит! Поверхность, которую мы получаем, абсолютно ровная и гладкая, блестящая или матовая — в зависимости от степени надавливания, при этом сохраняется структура, которая не уступает структуре естественных зубов. Прекрасный вид и отличное качество — чего еще можно желать! (Рис. 68 и 69) Чистка моста с целью удаления частиц жира и пемзового порошка производится в ультразвуковой ванне с помощью горячей воды и бытового чистящего средства. Вам нисколько не стоит опасаться, что вследствие такой обработки в материале могут возникнуть трещины. Об этом специалисты отдела научно-исследовательских разработок компании Ivoclar позаботились заранее, разработав достаточно прочный материал. И даже если это произошло, то пусть лучше на данном этапе, потому что, если трещины появятся тогда, когда пациент будет пить горячие напитки или что-то еще, это было бы фатально! Однако это еще не завершающий этап в работе зубного техника, так как теперь необходимо установить готовую керамику на упомянутую в самом начале необточенную модель. В большинстве случаев на этом этапе требуются небольшие корректировки в местах соединений и блоках в окклюзии. Именно эти корректировки, которые легко осуществимы на модели, избавят врача от последующего шлифования в ротовой полости пациента. Мы все знаем, что зачастую получение оптимальных аппроксимальных соединений и блоков в ротовой полости пациента требует много времени и терпения, если эта работа не была проведена в лаборатории. Помимо этого, в лабораторных условиях намного легче довести керамику до отличного состояния. Последним рабочим этапом в лаборатории является обработка пескоструйным аппаратом внутренних сторон коронок оксидом алюминия 110 мц с целью подготовки изделия для установки в ротовой полости. Если изделие будет устанавливаться с помощью приклеивания, не обрабатывайте части моста фтористоводородной кислотой в лабораторных условиях. Если реставрация снова будет устанавливаться на модель, или будет опробована в ротовой полости, клеящиеся поверхности будут уже радиоактивно загрязнены. Врач, стараясь обезопасить себя, использует связывающее средство в количестве на более чем 60% меньше положенного — и допускает тем |
![]() | Рис. 75. Начальная посадка. |
| Рис. 76 ...без шлифования. |
![]() |
| Продолжение на странице 24. |
![]() |
| Рис. 77 и 78. Первый обжиг. |
![]() |
| Рис. 81. Результат, на модели. |
![]() |
|
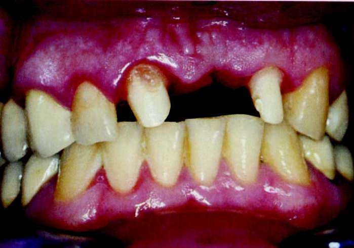
Рис. 83. Прижигание. Рис. 82.... и результат в ротовой полости самым серьезную ошибку! Поэтому именно теперь начинается работа зубного врача, в соответствии с лозунгом: «Доктор, ваша очередь!» (Рис. 83 — 85). Будущее в форме безметалловых керамических мостов уже наступило. На выбор представлены различные системы — Empress 2, Inceram, оксид циркония. Необходимо только учесть, что в различных случаях требуется применение различных материалов. И если Вы, как и мы в представленном случае, хотите на собственный риск выйти за рамки рекомендаций, данных производителем, провести иную подготовку к препарированию или изменить пропорции, необходимо, чтобы и пациент, и лечащий врач были об этом проинформированы, выразили свое согласие и знали о наличии возможных рисков. И прежде чем проводить такую работу, Вам необходимо собрать опыт по проведению более простых реставраций, по которым существует достаточно справочной литературы. Рис. 79. Корректировка. |
![]() |
| Рис. 84. Установка с помощью коффердама. |
![]() | Рис. 86. Клинический случай. |
![]() | Рис. 87. Вид буккально. |
![]() |
| Рис. 89. Мост — общий вид... |
![]() | Рис. 92. Достойный результат. |
![]() |
| Рис. 93—97. Случай: мост для боковых зубов, состоящий из 3-х частей. |
![]() |
| Рис. 85. Полимеризация материала для фиксации моста. |
![]() |
| Рис. 88. Препарирование. |
![]() |
| Рис. 90.... и вид резцов. |
![]() |
|
Рис. 91. Рисунок губ после установки моста.
|
|
|
![]() | Рис. 103. Так пациентка выглядела при первом осмотре. |
![]() |
| Рис. 105. Слепок. |
![]() |
| Рис. 106 и Рис. 107. Оконченная работа. |
![]() |
| Рис. 109. .... и после окончания работы.. |
| Рис. 108. Работа на модели. | ![]() |
![]() |
| Рис. 111.... еще со следами раздражения на деснах от временного протеза. |
![]() |
| Рис. 110. Сразу же после соединения. |
![]() |
| Рис. 112. Пять месяцев спустя. |
![]() |
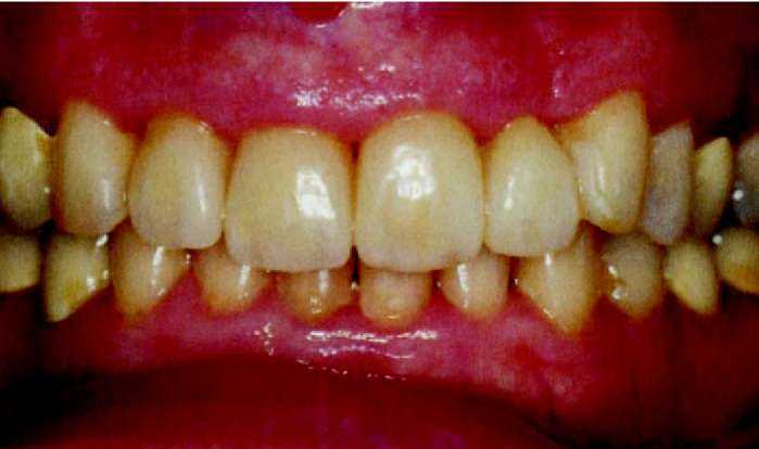
| Рис. 113. Девять месяцев спустя. Рис. 114. И наконец — прекрасный результат! |
|
Такие реставрации прощают мелкие ошибки, в отличие от сложных случаев, где любая оплошность может перечеркнуть всю работу зубного техника или врача. В моей лаборатории уже более трех лет мы изготавливаем мосты Empress 2, и по поводу этой многократно оправдавшей себя системы я могу сказать только самые теплые слова. Прежде всего, это убежденность в том, что технологии постоянно совершенствуются и будущее предоставит нам много новинок. Материал предоставлен официальным дилером компании «Ivoclar - Vivadent» фирмой «ХАРИКО ДЕНТА МЕД». |





























Рис. 104. После препарирования.







