|
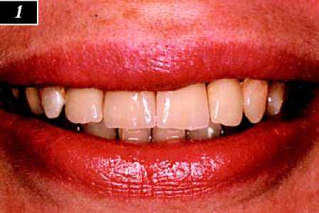
Если бы удалось пользоваться керамикой, которая отвечала бы всем этим критериям, большинство работ зубного техника, при умелом использовании, было бы неотличимо от натуральных зубов (фото 2).
ОПАЛЕСЦЕНЦИЯ Одним из элементов светодинамики обладает природный камень опал (отсюда термин опалесценция) (фото 3).
Свет, попадающий на камень, не отражается одинаково, а в зависимости от направления светового потока камень отражает либо коротковолновую составляющую (синий свет), (фото 4)
либо, пропуская длинноволновой спектр, приобретает янтарный оттенок (фото 5).
Полупрозрачная, естественная зубная эмаль реагирует на освещение таким же образом (фото 6), (фото 7).
Структура призм зубной эмали приводит к динамической игре цвета между светло-синим и янтарным, при этом собственный цвет зуба уходит на второй план (фото 8) (фото 9).
Особо прозрачный режущий (фото 10)
край кажется голубоватым при отраженном свете и желтоватооранжевым при проникающем (фото 11) (фото 12).
ФЛЮОРЕСЦЕНЦИЯ Флюоресценция — другая составляющая светодинамики, которая характеризуется отражением невидимого ультрафиолетового спектра светового потока. Материал, обладающий флюоресценцией, реагирует
на невидимое глазу воздействие ультрафиолета увеличением степени яркости. Именно ультрафиолет повышает белизну флюоресцирующего материала, который становится тем ярче, чем больше составляющая ультрафиолета в световом потоке. Это явление, хорошо заметно там где преобладает ультрафиолетовое освещение (дискотеки, клубы и т.д.). Предметы, обладающие флюоресценцией, светятся очень ярко, а все остальное остается темным. Ткани естественных зубов также обладают флюоресценцией и реагируют на ультрафиолет повышением степени яркости (фото 13) (фото 14).
Поэтому при ярком солнечном свете, в ультрафиолете они всегда ярче, светлее, чем реставрация из керамики или композита прошлого поколения, не обладающая флюоресценцией. Зубному технику, применяющему стандартную, а точнее, примитивную технику послойного нанесения керамики, вряд ли стоит утруждать себя выбором керамического материала. Из того ассортимента керамических масс, предлагаемых сегодня на рынке, практически любая подходит для простейшего использования. Если же, техник ориентирован на возможность, достигать очень хороших эстетических результатов, то вопрос выбора керамики требует другого подхода. На мой взгляд, в этой сфере следует доверять фирмам-производителям, имеющим богатый опыт в производстве керамических масс. Что является актуальным в этой области положением вещей, наглядно демонстрирует фирма Degussa Dental (ныне DeguDent) с помощью керамических масс, которые стали брэндами, указывающими на компетентность в сфере производства керамических масс, и по праву заслужили признание и авторитет в клиниках и лабораториях всего мира. Благодаря наличию уникальных специфических компонентов с помощью |
|
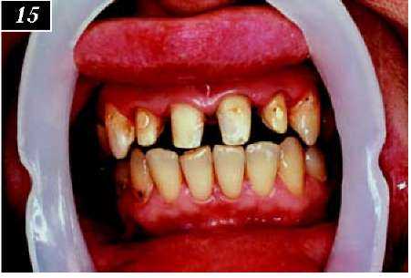
керамических масс от DeguDent возможно эффективно создавать глубину и многомерность восприятия, насыщенности цвета и т.д. Только у этих керамик флюоресценция начинается уже с опакового слоя. Решающую роль в успехе реставрации привносят элементы светодинамики. Они придают керамике свойства опалесценции, флюоресценции, прозрачность и игру цвета, аналогичные естественным зубам, выполняя тем самым самые высокие эстетические требования. Массы светодинамики разработаны для таких систем керамики как Duceragold, Symbio, Allceram, Duceratin Plus, Cercon Ceram и позволяют достигать превосходных результатов в широком спектре показаний. На примере одного клинического случая хотелось бы поделиться секретом успешной реализации высоких эстетических запросов пациента. Пациентка Н. обратилась в клинику с жалобой на косметический дефект фронтальной группы зубов. При осмотре были выявлены композитные реставрации с искажением цвета и нарушением краевого прилегания, наличие вторичного кариеса и т.п. С целью достижения максимальной эстетики было принято решение об изготовлении виниров из прессованной керамики Cergo. Из-за кариозных поражений было решено проводить препарирование без сохранения контактных пунктов (фото 15—17)
и пойти на изготовление практически 3/4 коронок с сохранением контакта с антагонистами на естественных тканях зуба из-за глубокого резцового перекрытия. Прессование Штампики на рабочей модели были покрыты дистанционным лаком фирмы DeguDent (фото 18). Лак выпускается нескольких цветов и при толщине от 15—30 мкм обеспечивает цвет культи зуба, что очень помогает при коррекции цветовой гаммы (фото 19).
|
|
Также была сделана восковая модель будущей реставрации с целью определения формы и положения зубов в зубной дуге в соответствии с функционально-эстетическими требованиями (фото 20 а—г).
Смоделированные виниры (3/4 коронки), редуцировались с лабиальной, инцизальной и дистальной сторон, обеспечивая объем для последующего послойного нанесения (фото 21).
По инструкции по применению прессованной керамики Cergo были установлены литники диаметром 3,5 мм (фото 22).
Для паковки использовалась «быстрая» паковочная масса Cergofeet speed, которая позволяет уже через 1 час начинать процесс прессования. Собственно процесс прессования занимает не более 45 минут. Тщательно сбалансированные компоненты паковочной массы Cergo-feet speed и правильный режим прессования дают отличный результат припасовки — 3 винира из 4 точно сели на модель сразу после распаковки (фото 23 а—в).
Припасовка 4-го винира заняла не больше минуты. Ситуация на модели перед нанесением масс светодинамики (фото 24 а—б).
Послойное нанесение Для пришеечной зоны использовалась масса ЗД-дентин (фото 25 ).
Для обеспечения естественной флюоресценции прессованной керамики каркас из дентиновой массы покрывается массой BBF — 3 из набора светодинамики (фото 26 а—в).
В области режущего края идет оформление мамелоновых структур. Мамелоны подчеркиваются с помощью массы Twin-dentin (красным цветом) (фото 27 а).
Twin-dentin представляет собой флюоресцирующий, интенсивный дентин для цервикальной зоны и области мамелонов (фото 27 б).
Для того, чтобы лучше выделить мамелоны, можно подчеркнуть их с помощью массы TOS 10B, или TOS 10 (фото 28 а).
Учитывая средний возраст пациентки, эти наслоения были сделаны осторожно, в неагрессивном варианте (фото 28 б).
Для лучшего контроля наслоения массы окрашены в различные цвета (фото 29).
Дальнейшие наслоения происходит с помощью эмалевой массы с опаловым эффектом TOS-59 (фото 30 а-д).
Подчеркнуть мелкие зоны пигментации решено было на этом этапе с помощью массы OS-50 и Fludentin Bright (фото 30 а—в).
Обжиг керамики Первый обжиг проводится на так называемом «летящем ковре», в печи «CERGO Press» (фото 32 а—б).
Важно: Соблюдать режим обжига: 1: Температура создания полного вакуума 450 градусов, 2: Температура сушки до 450 градусов, 3: Время сушки — 2—4 минуты. 4: Режим преднагрева — 3 минуты, 5: Скорость нагрева — 55 градусов в минуту, 6: Конечная температура — 800 градусов, 7: Выдержка при конечной температуре — 1 минута без вакуума , 8: Охлаждение — 0 минут. После обжига работа установлена на модель (фото 33).
Дополнительные наслоения проводятся с использованием различных по прозрачности и оттенку транспарантных масс с опаловым эффектом (фото 34 а—ж).
|
|
Аппроксимально пришеечные зоны подчеркнуты с помощью Twindentin, что позволяет достичь оптимизации цветовой коммуникации (фото 35 а—в).
Второй обжиг проходит с сохранением первоначальных параметров также без замедленного охлаждения, т.к. КТР облицовочной керамики DUCERAGOLD оптимально согласован с прессованной основной Cergo. После второго обжига работа была аккуратно припасована на рабочей модели (фото 36, 37).
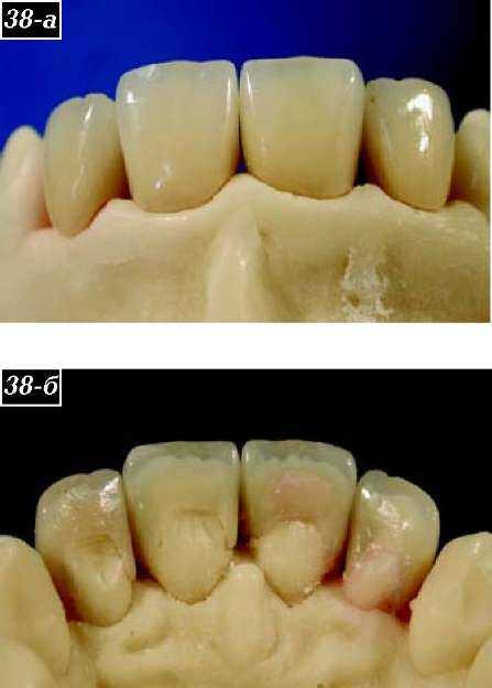
Коррекция формы алмазными инструментами была незначительной, благодаря хорошим моделировочным свойствам керамики DUCERAGOLD (это касается всех керамик от DeguDent). Основные анатомические контуры были созданы на этом наслоении. Глазуровочный обжиг Если нет необходимости в применении красок Body-Malfarben (единственные флюоресцирующие краски, которые не заглушают флюэффект), то можно добиться великолепного шелковистого блеска полировкой без обжига. Эта гидротермальная керамика, которую отличают плотная, гомогенная поверхность очень хорошо полируется, обладает максимальной степенью маргинальной адаптации и минимальным абразивным свойством по отношению к антагонистам. Если с помощью красок необходимо внести коррективы, то керамика глазируется либо с промежуточ-
ным подкрашиванием, либо одновременно с глазурью. Глазуровочный обжиг проходит при температуре на 10 градусов ниже без вакуума. Работа на контрольной модели после глазуровки (фото 38 а—е).
Прогнозируемый результат был достигнут. Все участники процесса были удовлетворены хорошим эстетическим эффектом (фото 39 а—в).
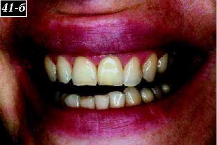
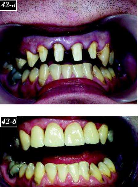
Резюме: Работа с керамическими системами, производимыми компанией DeguDent не является сложной. Принципы послойного нанесения, дающие возможность достигать хороших эстетических результатов, типичны для всех этих систем (8 видов керамики на сегодняшний день) (фото — схема послойного нанесения). Флюоресценция и опаловый эффект придают керамическим реставрациям живой и естественный вид. Это обеспечивает довольных пациентов и экономический успех, поэтому у зубных техников, умело работающих с массами от DeguDent, есть все шансы добиваться хороших результатов. (Фото некоторых работ 40, 41, 42.)
|




























































