|
На рис. 1 показано влияние преобладающего цвета участков, окружающих белые зубы с неподкрашенными губами. На рис. 2 эти зубы выглядят значительно светлее, так как подкрашенные губы образуют более интенсивный цветовой контраст. Оптический эффект основан на физиологическом феномене синхронного контраста. Белое поле кажется еще более белым, если оно окружено черной рамкой. Это явление называют бесцветным синхронным контрастом. Для нашего зрения он имеет наибольшее значение. Контуры предметов выглядят в результате этого эффекта выраженнее, облегчая их восприятие. Так черные буквы данного текста мы видим темно-черными, так как белый цвет бумаги усиливает черный цвет букв. На рис. 3 винир на черном фоне смотрится светлее, чем винир на красном фоне. Наряду с бесцветным синхронным контрастом можно наблюдать и цветной синхронный контраст. Простой пример хорошо иллюстрирует этот эффект: если на красную бумагу положить небольшой лист серой бумаги и закрыть его тонкой бесцветной папирусной бумагой, то серый лист бумаги будет казаться зеленым. На желтой бумаге тот же серый бумажный лист выглядит голубоватым. На рис. 4. эффект цветного синхронного контраста прослеживается еще лучше. Фиолетовый четырехугольник на синем фоне кажется светлее или ярче, чем на желтом. Фиолетовый цвет меняется под действием цветового контраста. Так мы часто видим вместо серого цвета цветные фигуры, чаще голубые тени, например, при свете луны или ранним утром на белом снегу. Родственным и интересным оптическим феноменом является постепенный (последовательный) контраст. Если зафиксировать взгляд на несколько секунд на красном предмете, расположенном на темном фоне, а затем посмотреть на белую стену, то красный предмет будет казаться зеленым. Колбочки сетчатки глаз, чувствительные к красному цвету, и их нейроны адаптировались к цвету и благодаря освещению всего спектра становятся менее восприимчивы, чем колбочки сетчатки, чувствительные к зеленому и фиолетовому цветам, и их нейроны. Поэтому комплементарный цвет кажется зеленоватым». В полости рта зуб оптически разделяется на три цветовые сегмента. Режущий участок зуба ограничен темным фоном полости рта, апп-роксимальные участки — желтовато-красноватым цветом соседних зубов, пришеечная часть зуба обрамлена красными сосочками и десной. Эмаль зуба благодаря высокой прозрачности очень хорошо проводит свет, поэтому цвет сосочков «переходит» в цвет пришеечной части зуба, «наслаиваясь» на него. Так называемый эффект хамелеона способствует тому, что различия в цвете между соседними зубами взаимно выравниваются. Цвет десны генетически зависит от содержания меланина и бывает светло- или темно-красным. Часто присутствуют и незначительные фиолетовые оттенки. При короткой верхней губе во время смеха хорошо визуализируется широкая гирлянда десны, усиливающая яркость и «силу» зубов благодаря синхронному контрасту.
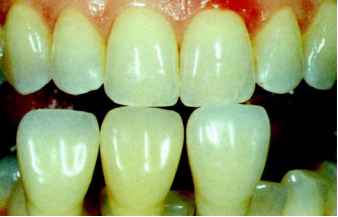
Специалисты, критически оценивающие цвет, безусловно, заметили тот факт, что после удаления зубы меняют свой цвет, заметно «сдвигающийся» в сторону красного. Реально же цвет удаленного зуба не меняется. Этот эффект находится под влиянием субъективного восприятия и объясняется отсутствием синхронного контраста с красной десной и губами. Эффект изменения цвета зуба до и после удаления очень трудно зафиксировать на фото. При традиционном определении цвета мы сравниваем естественный зуб с цветом зуба-образца расцветки, расположенного рядом (рис. 5). Последний находится в другой плоскости освещения из-за его толщины в 7 — 8 мм, поэтому имеет место опасность, что губы будут бросать тень на естественные зубы. Освещение зубов будет единым, если режущий край зуба из расцветки расположен у режущего края естественного зуба (рис. 6). В этом случае цвет резцовой и дентино-вой массы можно будет точно определить. Образцу расцветки, по нашему мнению, не достает красного сосочка у шейки. Все известные расцветки (Vita-classical, Vitapan 3D-Master фирмы Vita, Biodent фирмы Dentsply De Trey; Chromascop фирмы Ivoclar Vivadent) содержат образцы зубов из керамики или пластмассы с намеченной шейкой, толщиной в 1—2 мм. Дополнительно пришеечные участки выделяются «пришеечными» цветами или, как в наборе Vitapan 3D-Master оформляются цветом дентина. Пришеечные цвета, может, и соответствуют естественной шейке зуба, но, как правило, отсутствуют у препарированных зубов. Если мы правильно определили цвет верхней трети зуба с помощью расцветки, цвет коронки будет неверный. При установке в полости рта обнаружится, что коронка не имеет необходимого
|
![]() |
|
Рис. 5. При обычной методике определения цвета присутствует, опасность различного освещения зубов благодаря тени от. губ. Рис. 6. Естественный зуб и зуб-образец из расцветки находятся на одной плоскости, поэтому их освещение одинаковые. |
![]() |
|
Рис. 7. Сосочек изменяет форму зуба из расцветки Рис. 8. Шейка зуба влияет на наше восприятие формы и его цвет в пришеечной области. и цвета зуба (сравни с рис. 7). |
| красноватого оттенка, насыщенности и интенсивности. Японский специалист М. Ямамото очень наглядно описал эту проблематику. Он смоделировал из воска сосочек вокруг зуба расцветки и установил, что цвет шейки зуба изменился, стал светлее, получив желтоватый оттенок. С целью исследования нами были смоделированы десневые маски одной одиночной коронки из пластмассы Paladur (Heraeus Kulzer), которые мы расположили над различными зубами из расцветки. На рис. 7 видно, как маска меняет форму зуба и цвет его пришеечной части, обеспечивая более естественный вид. Становится ясна причина сошлифовывания шеек зубов-образцов расцветки многими врачами и зубными техниками (рис. 8). Но эти образцы являются реликвией и известны с тех времен, когда еще не было металлокерамики. Такие образцы выпускали лишь с целью подбора для зубных протезов искусственных зубов, которым нужна была база для фиксации в протезе. Правда, образцы с «шейками» смотрятся элегантнее и стройнее (рис. 7). |
![]() |
|
Рис. 10. Десневая маска Gumy 3-х цветов: светлая — L; средней яркости — М; темно-красная — D. |
![]() |
| Рис. 9. Десневая маска Gumy для определения цвета зубов. |
![]() |
| Рис. 11. Влияние Gumy-сосочка на цвет пришеечной области зуба. |
![]() |
| Рис. 12. Десневая маска Gumy с тремя образцами зубов. |
![]() |
| Рис. 13. Обычная методика определения цвета зубов. |
![]() |
| Рис. 15. Расцветки керамики Vintage-Halo, Red-Shift и Value-Plus. |
![]() |
| Рис. 14. Определение цвета зубов с использованием десневой маски. |
![]() |
| Рис. 16. Светлые коронки на гипсе аналогичного цвета Рис. 17. Десневая маска корректирует влияние цвета смотрятся темнее. гипса и имитирует, реальную ситуацию полости рта. |











