

Рис. 5-51. Первый премоляр верхней челюсти имеет несколько меньшую, чем требуется, высоту клинической коронки. Препарирование проведено с использованием двух проточек на каждой проксимальной поверхности. Тот факт, что проксимальные поверхности были интактны, не позволил препарировать две проксимальные коробчатые полости.
Рис. 5-52. Трехчетвертная коронка используется для восстановления моляра верхней челюсти после проведенного эндодонтического лечения и амальгамной реставрации (слева). Поскольку зуб имеет низкую клиническую коронку, то для повышения ретенции и устойчивости реставрации было решено использовать несколько ретенционных проточек. На гипсовой модели препарированного зуба эти детали хорошо видны (справа).
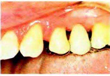
Рис. 5-53. Первый премоляр и первый моляр верхней челюсти, пораженные пародонтитом, препарированы под трехчетвертные опорные коронки по модифицированной методике. Планируется изготовление мостовидного протеза для замещения отсутствующего второго премоляра.
Рис. 5-54. Гипсовая модель верхней челюсти Хорошо видны две коробчатые полости на премоляре и комбинация медиальной коробчатой полости и нескольких проточек на первом моляре




Рис. 5-55. Мостовидный протез с опорой на модифицированные трехчетвертные коронки Видна степень рецессии десны у опорных зубов. В данном случае использование полных металлокерамических коронок было бы слишком разрушительно для твердых тканей зубов После разъяснения пациентке возможных вариантов лечения она предпочла частичные коронки. Незначительный объем металла, видимый с щечной поверхности, она сочла приемлемым.
Рис. 5-56. Трехчетвертная коронка используется для восстановления первого моляра верхней челюсти после проведенного эндодонтического лечения и постановки амальгамной реставрации. Проведено минимальное препарирование проксимальных поверхностей во избежание излишней визуализации к.
Рис. 5-57. Внешний вид завершенной реставрации. Минимальное препарирование проксимальных поверхностей и неширокий окклюзионный скос в сочетании с созданным во время полировки сглаженным переходом щечной поверхности в окклюзионную привели к незначительной визуализации золотого ободка при виде спереди.
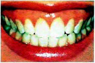
Рис. 5-58. С «расстояния обычного общения» металлический ободок вокруг вестибулярной поверхности зуба совершенно незаметен. Эстетический результат превзошел ожидания 26-летней пациентки


