


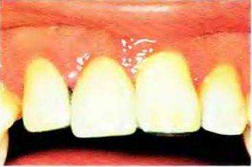
Рис. 7-49. Внешний вид готовой реставрации. На обоих зубах лишь незначительно видны проксимальные металлические участки реставраций Консервативное препарирование опорных зубов в проксимальных отделах и тщательная попировка режущего края приводят к отражению попадающего на реставрацию света вниз. Для стороннего наблюдателя режущий край выглядит не блестящей металлической каемкой, а темной полоской, которая с темным фоном п.
Рис. 7-50. Кпык препарирован под трехчетвертную коронку, которая будет частью мостовидного протеза Испопьзована классическая техника препарирования, поскольку клык обладает достаточным размером, а промежуточная часть мостовидного протеза будет невелика
Рис. 7-51. Язычный вид того же клыка Видны детали препарирования культи и длина зуба



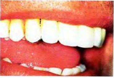
Рис. 7-52. Внешний вид готового мостовидного протеза. Металл минимально выходит на режущий край, а в проксимальных отделах практически незаметен.
Рис. 7-53. Клык препарирован под трехчетвертную коронку, которая будет частью мостовидного протеза На проксимальных поверхностях препарировано по две проточки, обеспечивающих дополнительную ретенцию протеза, замещающего два отсутствующих зуба. Проксимальные отделы вестибулярной поверхности препарированы минимально.
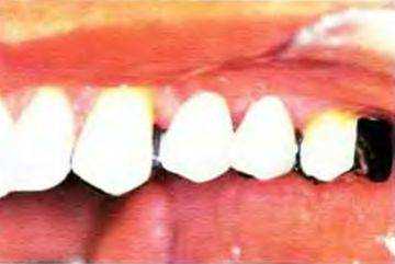
Рис. 7-54. Внешний вид готового мостовидного протеза. Металлический край на медиальной поверхности клыка незаметен. Видимые в данной проекции металлические части реставрации на дистальной поверхности мало заметны с «расстояния обычного общения». Дистальная опорная конструкция представлена коронкой 7/8.
Рис. 7-55. Еще один клык, препарированный под трехчетвертную коронку. На окклюзионном виде визуализируется щадящее препарирование зуба в проксимальных отделах вестибулярной поверхности. На гипсовой модели хорошо видна длина проксимальных проточек и соединяющих их окклюзионных проточек, придающих реставрации жесткость

Трехчетвертные коронки, в конструкцию которых входят парапульпарные штифты (штифтовые трехчетвертные коронки), являются достаточно эстетичными и щадящими реставрациями.Штифты повышают ретенцию, сниженную из-за отсутствия некоторых осевых стенок частичной коронки. Штифтовые трехчетвертные коронки представляют собой наиболее щадящий вид коронок с точки зрения сохранения эмали осевых стенок зуба.
Ретенция таких конструкций достигается за счет штифтов, фиксированных в препарированных в дентине каналах. Однако при неблагоприятной форме, малом размере зуба или отсутствии достаточного опыта у стоматолога существует опасность создания канала в непосредственной близости от пульпы или даже перфорации стенки пульповой камеры. По этой причине штифтовые частичные коронки не изготавливают для мелких зубов/ зубов с малым вестибулярно-оральным размером,-` при наличии больших пульповых камер, а также для дистопированных зубов.
Штифтовая трехчетвертная коронка считается идеальной при использовании интактного зуба в качестве опоры для мостовидного протеза в эстетически значимой зоне* Однако в последнее время в таких случаях все чаще применяют адгезивные композитные конструкции (см. главу 17). Штифтовые трехчетвертные коронки с меньшей степенью перекрывания проксимальных поверхностей успешно применяют для устранения выраженной стираемости язычной поверхности."" Когда-то штифтовые реставрации достаточно широко использовали для восстановления коронковых частей резцов с дефектами IV класса по Блэку." " " Однако в настоящее время эти дефекты чаще устраняют с помощью композитных материалов или металлокерамических коронок.
Штифтовые трехчетвертные коронки обычно используют на резцах и клыках верхней челюсти.
1,1
При достаточном размере зуба такие коронки также применяют и на боковых резцах верхней челюсти. Края этих эстетичных реставраций практически не заходят под десну, что способствует сохранению здорового состояния пародонта.
14
Штифтовые трехчетвертные коронки достаточно давно появились в арсенале стоматологов и в последние годы вновь получили признание с развитием новых технологий. Еще в 1880 г. Litch ` и в 1896 г. Gabriel" описали мостовидные протезы со штифтовыми накладками или крылышками, отходящими от промежуточной части к язычным поверхностям опорных зубов. Близкая к современной методика создания штифтовой трехчетвертной коронки была предложена Burgess,` который наносил золотой припой на золотую фольгу, обжатую по препарированной поверхности зуба вокруг штифтов.`
8
Другая методика изготовления коронки предусматривала формирование фиссурным бором № 560 ретенционных углублений на глубину 1,0 мм
г
Однако штифтовые частичные коронки стали популярны только после 1960 г., когда были разработаны спиральные сверла, а при получении оттисков стали пользоваться нейлоновыми штифтами, что позволило сверлить в дентине каналы правильной формы и аккуратно отображать их в оттисках."
