|
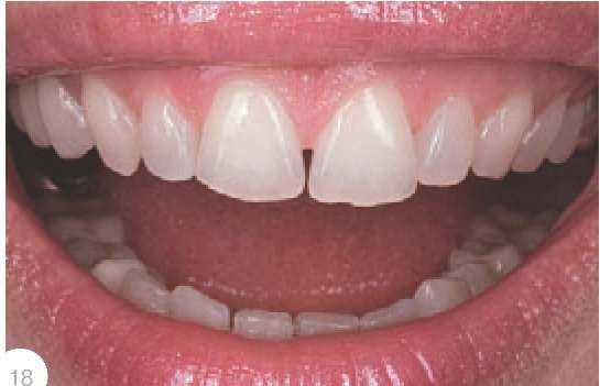
Рис. 1, 2. Исходная ситуация: функциональные проблемы отсутствуют, однако необходима эстетическая коррекция, поскольку пациентка недовольна внешним видом своей улыбки. Объективно: классические зубы в форме «сосулек». Для решения проблемы авторы воспользовались технологией керамических виниров Рис. 3. Подбор цвета реставрации |
![]() ![]() |
|
| Рис. 4. Изготовлены огнеупорные штампики Рис. 5. Окно на модели дает возможность контролировать точное позиционирование штампиков Рис. 6-8. Этапы нанесения масс - все готово к обжигу Рис. 9. Примерка виниров на модели Рис. 10. Готовые к установке виниры |
|
Изготовление винира С помощью залитого оттиска фронтальных зубов 12 и 22 изготовили модель для огнеупорных штампиков. Имея такую модель, необязательно изготавливать еще и рабочую модель, т.к. здесь уже есть информация о десне. Необходимо пришлифовать на штампиках ограничители по высоте. Благодаря этому можно будет контролировать расширение огнеупорных штампиков и таким образом контролировать окклюзию. После промывочных обжигов (T*50%/AD-T 50%) последовал обжиг масс режущего края и эффект-масс (E3, LT1, LT0), кромку режущего края дополнительно акцентировали Inzisal Aureola (керамические массы Dental Ceramik -Cerabien ZR). Обработка формы и поверхности должна выполняться в соответствии с особенностями естественных зубов. Примерка в целях контроля эстетики На примерке в лаборатории или в клинике для выполнения контроля цвета следует использовать светопроводящий материал (глицериновый гель или пасты Try-In) между виниром и зубом. Адгезивная установка работы После чистки зубов в борозду поместили нити. Также был установлен коффердам. Поверхность эмали зубов протравили в течение 30 секунд и затем промыли в течение минимум 60 секунд сильным воздушно-водяным спреем. Параллельно этому виниры были протравлены 9% плавиковой кислотой (HF) и промыты спустя 90 секунд. Работу очистили в ультразвуковой ванночке со спиртом и затем дважды силанизировали. |
|
Затем работу покрыли и защитили от света. Преимущество данного светоотверждаемого композита состоит в том, что в данном случае можно абсолютно спокойно удалить лишний материал. Подготовленные, заполненные композитом виниры были установлены на зубы и размещены в нужном положении. ишний материал тщательно удалили. Выполнили начальную полимеризацию с палатинальной стороны, затем с вестибулярной соответственно по 5 секунд. Виниры по-лимеризовали со всех сторон по 60 секунд. Переходы обработали резиновым полиром и затем отполировали с использованием полировальной пасты. L A B
Выражение признательности Я хотел бы сердечно поблагодарить Яна-Хольгера Белльманна, Кристиана Ханнкера и д-ра Ральфа Петерса. Данный результат не был бы возможен без постоянного сотрудничества и обмена знаниями с этими коллегами. Waldemar Fritzler: e-mail: Этот адрес электронной почты защищён от спам-ботов. У вас должен быть включен JavaScript для просмотра. |






