♦ починка и устранения дефектов керамической облицовки металлокерамическх протезов в полости рта.
Для выполнения первых трех задач требуется адекватная адгезия пластмассы к конкретному сплаву, тогда как в последнем случае может быть использован любой сплав, даже неизвестного состава. Все случаи непростые, поэтому созданы многочисленные новые полимерные адгезивы и способы обработки поверхности.
В целях улучшения прочности соединения между металлом и полимером разработано множество различных подходов. Первоначально создавались макроретенционные пункты, но постепенно на смену этому методу пришли технологии, в основе которых использованы адгезивные свойства полимеров на основе микромеханической и/или химической адгезии. Химического соединения можно достичь с помощью полимерного адгезива, имеющего функциональные группы, способные непосредственно взаимодействовать с металлом. Другой подход заключается в применении стимуляторов (промоторов) адгезии типа покрытия поверхностей оксидом кремния, лужения, нанесением химических покрытий трением и нанесением на металл праймеров или подслоев, которые были разработаны для улучшения соединения между металлом и традиционно применяющимися пластмассами на основе Бис-ГМА и УДМА. Кроме того, методы обработки поверхностей не одинаковы для драгоценных металлов и неблагородных металлических сплавов, что вносит дополнительные трудности в решение проблемы соединения металлов и пластмасс.
Макромеханическая адгезия.
Начиная с 40-х годов XX века для облицовки кобальтхромовых частичных протезов применяли пластмассу. В то время использовалась полиметилметакрилатная пластмасса, которая фиксировалась к металлическому каркасу посредством механической ретенции. Однако из-за большой полимеризационной усадки не удавалось получить плотного соединения пластмассы с металлами, так как образовывались микротрещины, отмечалось изменение цвета пластмасс, ослабление прочностных свойств соединения и полное его разрушение. Многие из этих проблем были решены с появлением металлокерамических протезов в 60-х годах. Интерес к применению пластмасс в качестве облицовочного материала для металлических каркасов зубных протезов вновь возник в 80-х годах, что совпало с выпуском к этому времени более совершенных композитных пластмасс. Однако адгезионная связь и в эти годы все еще обеспечивалась механической ретенцией.
В 1973 году стоматолог Rochette одним из первых сообщил об использовании металлической шины, которую он укрепил на протравленной эмали зубов с помощью пластмассы. Эта шина представляла собой тонкую перфорированную металлическую отливку, которая закреплялась на зубах с помощью акриловой пластмассы холодного отверждения. Она предназначалась для иммобилизации подвижных нижних резцов, вызванных прогрессирующей утратой костной ткани. Отмечая в дальнейшем успешную ретенцию зубов фиксирующими шинами, ему однажды пришлось удалить у пациента один из резцов и тогда у него возникла идея фиксировать искусственную коронку зуба на шине для замещения образовавшегося дефекта. Так появилась альтернатива для восстановления отсутствующего зуба при минимальном препарировании опорных зубов. По мере улучшения технологии производства пластмасс этот подход в протезировании зубов был подробно изучен и развит другими специалистами. Одним из недостатков предложенного Rochette метода было наличие небольших перфораций на шине для ее укрепления на эмали опорных зубов. Фиксирующая пластмасса изнашивалась, что ослабляло прочность ее соединения с металлической опорой на относительно малой площади. Не помогали улучшить это соединение и другие лабораторные методы создания макроретенций на металлической части протеза.
Микромеханическая адгезия.
Недостатки, связанные с нанесением полимерного материала на металлическую поверхность с макроретенционными захватами, частично были преодолены в начале 80-х годов, когда был разработан оригинальный метод обработки Ni-Cr сплавов. При использовании этого метода вся контактная поверхность металлического каркаса в результате электролитической обработки или травления кислотным гелем могла обеспечивать микромеханическое соединение с полимерным материалом для фиксации. Причем подобной обработке поддавались только Ni-Cr и Со-Сг сплавы, имеющие эвтектическую структуру (Рис. 3.6.7), хотя для металлокерамических протезов чаще применяют Ni-Cr, чем Со-Сг из-за большей сложности наплавления керамики на последний. В результате процесса травления сплава удаляется одна из фаз, и на его поверхности образуется множество углублений и бороздок (Рис. 3.6.8), которые обеспечивают прочное микромеханическое соединение с композитным фиксирующим материалом. Композитный материал соединяет всю площадь металлического каркаса с протравленной эмалью, и металл

Рис. 3.6.7. Отображение эвтектической микроструктуры никелево-хромового сплава под сканирующим электронным микроскопом, полученное методом обратного рассеянного отображения
защищает подлежащую пластмассу. Минимальная толщина металлического каркаса может быть около 0,3 мм. Его отливают непосредственно на огнеупорной модели после удаления воска, и в результате получают хорошее прилегание протеза. Мостовидные протезы, изготовленные с применением метода электролитического травления были названы мостовидными протезами Мэрилэнд. По мере внедрения других методов соединения пластмасса-металл в настоящее время их называют как «мостовидные протезы на полимерной основе» или «мостовидные протезы при минимальном препарировании».
Поскольку электролитическое травление требует высокого профессионализма и специального оборудования, из двух упомянутых выше методов наибольшее распространение получило травление гелем. Гель — высококонцентрированный раствор фтористоводородной кислоты, которая очень токсична и требует очень осторожного обращения.

Рис. 3.6.8. Поверхность никель-хромового сплава после обработки травящим гелем под сканирующим электронным м икроскопом

Рис. 3.6.9. Поверхность никель-хромового сплава под сканирующим электронным микроскопом после его пескоструйной обработки порошком оксида алюминия
Основные преимущества мостовидных протезов, фиксированных с помощью полимерных материалов являются следующие:.
♦ минимальное препарирование эмали, не требующее применения местной анестезии.
♦ минимальное препарирование зуба сохраняет возможность применения традиционно использующихся методов протезирования.
♦ предотвращается воспаление пульпы, так как дентин при обработке зуба остается интактным Недостатки этого вида протезирования включают:.
♦ высокая частота расцементирования протезов.
♦ изменения цвета переднего опорного зуба в результате просвечивания металлического каркаса.
♦ применяется только с никель-хромовыми сплавами.
Проблемы эстетичности протеза можно решать путем использования окрашенных непрозрачных полимерных композитов для фиксации. Однако уменьшить число случаев отсоединения протеза довольно сложно и для этого требуется улучшение металлической конструкции протеза и свойств выпускаемых пластмасс.
Для крепления протезов требуется значительная площадь интактной эмали опорных зубов. Поэтому невысокие коронки зубов, малая площадь поверхности эмали и ее врожденные дефекты не позволят создать надежную фиксацию металлических конструкций полимерными материалами. Поэтому в таких случаях данный метод протезировании применять противопоказано, а обычные конструкции мостовидных протезов могут оказаться более надежными.
Полимерные композиты для фиксации очень похожи на композиты для пломбирования или восстановления зубов, содержащие Бис-ГМА или УДМА и стеклонаполнитель. Отличаются они тем, что фиксирующие материалы всегда являются системой типа паста-паста химического или двойного отверждения, поскольку отверждение светом невозможно из-за перекрытия его металлом. Размер частиц наполнителя в материалах для фиксации составляет менее 20 мкм для того, чтобы толщина пленки полимерного цемента была как можно меньше. Для предотвращения просвечивания металла можно применять замутнители, например, оксид титана.
Некоторые клиницисты неохотно применяют никелевые сплавы, так как никель известен как аллерген. Кроме того, ряд сплавов содержат бериллий, который в свободном состоянии является сильно токсичным веществом. Бериллий обычно добавляется для улучшения жидкотекучести никель-хромового сплава и обеспечения высококлассной эвтектической структуры для эффективного травления. Однако, он может выделяться при шлифовании и полировании отливок, и зубные техники подвергаются большему риску, чем врачи-стоматологи и пациенты. В этой связи во многих зуботехнических лабораториях используются сплавы, не содержащие бериллия, которые плохо поддаются травлению кислотой.
Другим ограничением применения рассматриваемого вида протезирования зубов является невозможность травления драгоценных сплавов, т.к. эти металлы имеют довольно гомогенную микроструктуру. Следовательно для таких сплавов невозможно применять методику травления, которая необходима для адгезионной фиксации драгоценных сплавов полимерными материалами.
Полимерные материалы для химического метода фиксации.
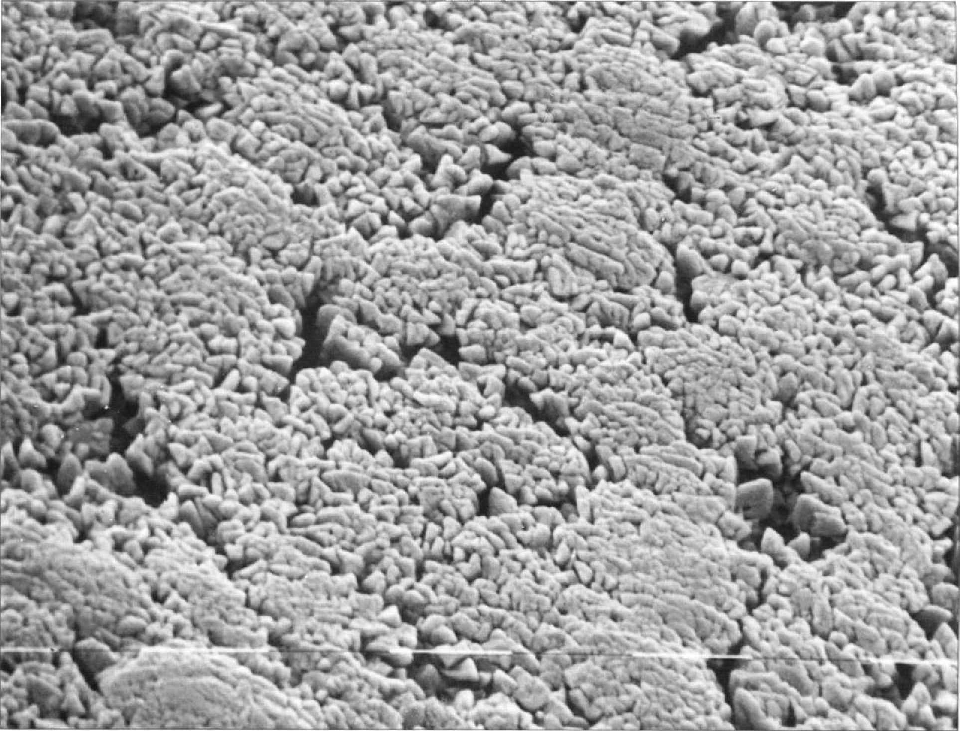
Во многих зуботехнических лабораториях никельхромовые сплавы имеют ограниченное применение из-за наличия в них бериллия, а также из-за необходимости проведения процесса травления сплава. В тоже время без такой предварительной обработки поверхности невозможно добиться хорошей адгезии к сплаву полимерных материалов на основе таких олигомеров как Бис-ГМА и УДМА, так как их соединение с металлами основано на принципах микромеханической и физической адгезии. А в таком случае соединение легко разрушается гидролитическим действием, при котором вода адсорбированная металлической поверхностью замещает полимер. Пескоструйная обработка сплавов неблагородных металлов порошком оксида алюминия с размером частиц 50 мкм обеспечивает некоторую шероховатость поверхности для микромеханической адгезии (Рис. 3.6.9). Однако такая шероховатость не имеет той конфигурации, которая характерна для травления кислотой, поверхность более гладкая и однородная и не способна образовывать достаточно прочное соединение. По этой причине композитные пластмассы на основе Бис-ГМА или УДМА не могут быть использованы для соединения с поверхностью никель-хромовых сплавов после пескоструйной обработки.
Для улучшения адгезионного соединения с металлической поверхностью разработан ряд композитных материалов для фиксации, в которых полимерное связующее было специально модифицировано, чтобы придать материалу способность к химическому взаи-

Рис. 3.6.10. Структура мономеров 4-МЕТА и МДФ
модействию с подготовленным для этого металлом. Для того, чтобы отличить эти модификации от традиционных материалов на основе Бис-ГМА, полимерные композиты для фиксации обычно называют полимерными материалами для фиксации с химической адгезией. В одной из таких систем активной составляющей является карбоновый мономер 4-МЕТА (4-метакрилоксиэтилтримеллитатовый ангидрид), выпускается под названием С&В Superbond (Sun Medical Co., Шига, Япония). Другая фиксирующая пластмасса содержит модифицированный фосфатный мономер типа МДФ (метакрилоксиэтиленфенилфосфат). Примером этого вида полимерного материала для фиксации с химической адгезией является материал Panavia 21 (Kuraray, Осака, Япония). Адгезия полимерных материалов к металлам обеспечивается здесь высокой степенью химического сродства производных карбоксильной или фосфорной кислоты в модифицированных мономерах к оксидам металлов на поверхности неблагородных сплавов (Рис. 3.6.10).
Поскольку эти полимерные материалы способны обеспечить надежное соединение с поверхностью никель-хромового сплава, обработанного пескоструйным методом, то отпадает необходимость в процедуре травления, специальном лабораторном оборудовании и токсических химических реагентах. С появлением этих пластмасс в настоящее время можно создать прочное адгезионное соединение между сплавом неблагородного металла и протравленной эмалью. Тем не менее, они обладают относительно малым сродством по отношению к сплавам драгоценных металлов, таких как золото и платина, из-за того, что на их поверхности отсутствует оксидная пленка.
Химическая модификация поверхности сплава.
Низкая прочность соединения между драгоценными металлами и полимерными адгезивами является следствием низкой химической активности поверхности сплавов драгоценных металлов по сравнению со сплавами неблагородных металлов. Этот недостаток может быть устранен путем модификации поверхности драгоценного металла таким образом, чтобы сделать ее более активной и способной к адгезионному взаимодействию с полимерным фиксирующим материалом. Существуют три. наиболее известных варианта модификации:.
♦ Создание микромеханических ретенций путем лужения.
Изменение химии поверхности с использованием оксида кремния или трибохимического покрытия.
♦ Нанесение подслоя ( праймера) специального состава на поверхность металла.
Лужение.
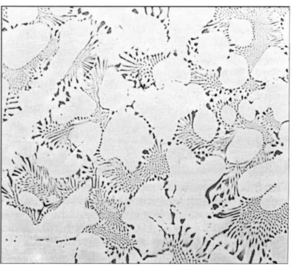
Предложение предварительно наносить на металлические поверхности оловянное покрытие, которое можно проводить во время приема пациента, основано на способности полимерных материалов создавать адгезионные соединения с благородными металлами, обработанными лужением. В результате такой обработки на поверхности сплава откладывается слой олова, и поверхность сплава приобретает сероватый оттенок. Этот поверхностный слой имеет неравномерную форму и создает микромеханические зацепы или ретенционньге пункты для пластмассы, в тоже время, образуя прочную химическую связь с поверхностью сплава (Рис. 3.6.11). Метод лужения используется при восстановлении дефектов металлокерамических реставраций при обнажении металла с помощью композитных пластмасс непосредственно во рту.
Однако метод лужения в полости рта, как показали данные лабораторных испытаний, имеет много существенных недостатков, в числе которых недостаточная прочность соединения сплава с пластмассой из-за трудности нанесения покрытия определенной толщины. Было установлено, что при слишком толстом оловянном покрытии адгезионная прочность данного соединения снижается, т.к. образуется слишком толстая оксидная пленка. Кроме того, зачастую невозможно определить тип сплава, из которого изготовлен данный протез. Так, если обнаженный металл является никель-хромовым сплавом, то лужение не окажется эффективным и, более того, ухудшит качество адгезионного соединения.
Покрытие оксидом кремния.
Применение силановых связывающих агентов — аппретов для усиления адгезии при фиксации керамики к структуре зуба посредством композитной пластмассы хорошо известно (см. выше). Возможности силанизации поверхности металлической отливки ограничены из-за отсутствия или очень малого количества соответствующих активных групп на поверхности сплава. Наоборот, их гораздо большее количество имеется на кремневокислой керамической поверхности, например, силанолов, т.е. — Si — ОН. В настоящее время стало возможным получение покрытия из оксида кремния на металлических поверхностях, что делает их более активными для соединения с силаном и создания прочной адгезионной связи с пластмассой. Для этой цели существуют два метода: первый заключается в том, что на сплав наносится специальное покрытие при определенной температуре, второй основан на трибохимическом подходе.

Рис. 3.6.11. Поверхности драгоценного сплава после лужения под электронным микроскопом
Система Silicoater (Kulzer Со GmbH, Фридрихсдорф, Германия).
По технологии системы Silicoater поверхность металла проходит обработку в пламени смеси пропан-воздух, в котором одновременно происходит разложение тетраметоксисилана. В результате образуется промежуточный слой SiO
s
, обеспечивающий группы — Si — ОН для соединения с силаном (Рис. 3.6.12). Затем силановый аппрет наносится на покрытую оксидом кремния поверхность, который в свою очередь способен образовывать соединение с полимерным материалом.
Трибохимическое покрытие.
При этой технологии поверхность сплава подвергается пескоструйной обработке под высоким давлением специальным порошком, который содержит мельчайшие частицы оксида алюминия и коллоидные частицы оксида кремния. Для этого выпускается специальное оборудование как для использования в лаборатории, так и непосредственно в полости рта пациента (Rocatec и Cojet, ЗМ ESPE).
Целью создания тонкого слоя оксида кремния (Si0
8
-C), который содержит достаточное количество свободных гидроксильных (-ОН) групп — которые создают условия для адгезионного соединения с полимерными материалами с помощью силанов (Рис. 3.6.13). Эта методика известна как трибохимическое покрытие оксидом кремния, так как было установлено, что коллоидальные частицы оксида кремния, обладающие высокой энергией, соударяясь с поверхностью сплава создают на ней физически спекшийся слой оксида кремния, который считается стабильным. После этого поверхность сплава обрабатывается силаном, что обеспечивает его прочное соединение с пластмассой.
Система нанесения покрытия в полости рта пациента разработана для починки металлокерамических протезов с обнажившейся поверхностью металла в результате откола керамической облицовки, когда необходимо создание условий для адгезии композитных материалов к металлической поверхности. Кроме того, данная система признана эффективной для обработки при починке восстановлений из полимерных композитов.
Одним из существенных недостатков этой технологии является необходимость приобретения специального оборудования. Кроме того, сложная и многоэтапная методика может привести к большому количеству ошибок при ее выполнении.