Распространенная проблема: Широкие межзубные пространства в переднем отделе верхней челюсти, беспокоящие пациента.
Пациентка обратилась в стоматологическую клинику с жалобами на широкое пространство между боковым и центральным резцами верхней челюсти, которое беспокоило ее в течение многих лет. В течение продолжительного времени пациентка крайне редко улыбалась, избегая демонстрации эстетического де-

Рис. 2-25а. Пациентка недовольна состоянием своих зубов и видом улыбки фекта. Лечащий стоматолог, установивший коронки на оба верхние центральные резца, проинформировал ее о невозможности изменения ситуации и необходимости адаптации к состоянию (рис. с 2-25а по 2-2 5с).
После тщательного обследования автор обсудил варианты решения эстетической проблемы и их стоимость. Предполагаемое лечение включало в себя создание виниров для боковых резцов и цельнокерамических коронок на центральные резцы верхней челюсти, что позволило бы исправить центральную линию и улучшить эстетику передней группы зубов.

Рис. 2-25Ь. При улыбке визуализируется неэстетичный промежуток между передними зубами

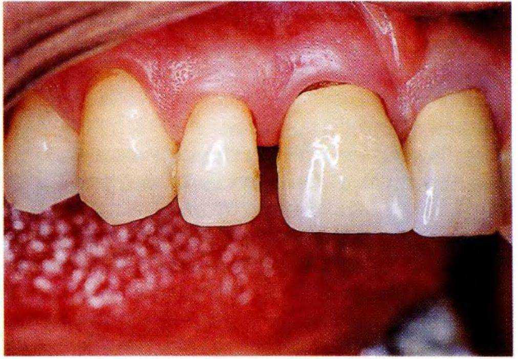
Рис. 2-25с. Значительное пространство между верхними правыми центральным и боковым резцами
Рис. 2-25е. Препарирование завершено

Рис. 2-25края десны в проксимальной области
Рис. 2-25f. Протравливание препарированной поверхности
Рис. 2-25д. После промывания и высушивания проверяют состояние препарированных поверхностей
Поскольку финансовое состояние пациентки не позволяло немедленно приступить к оптимальному лечению, возникла необходимость в достижении эстетически приемлемого результата, хотя бы на некоторое время, более экономичным способом.