
Рис. 3-31. Провизорный мостовидный протез
такой подход требует дополнительных затрат времени и расходов на лабораторию, что в общем увеличивает стоимость лечения. Специальный набор для быстрого обжима позволяет изготовить шаблон по имеющейся модели всего за несколько минут. Это позволяет сократить затраты времени, снизить стоимость и упростить процесс, однако без ущерба для окончательного результата.
Полупрямой метод.
При использовании полупрямого метода заготовку провизорного мостовидного протеза изготавливают в зуботехнической лаборатории. Такая заготовка представляет собой внешнюю оболочку (своеобразную эмаль) реставрации. После этого проводят перебазирование протеза непосредственно в полости рта пациента. Данный метод позволяет получить прекрасный результат при наличии высоких требований к функциональным и эстетическим характеристикам провизорных реставраций.
Непрямой метод.
Оптимально изготовление провизорных реставраций в зуботехнической лаборатории, однако это сопряжено со значительными затратами времени и средств. Кроме того, такой подход требует создания временных реставраций, которые используются на время создания провизорных протезов. Тем не менее, именно непрямой метод изготовления провизорных несъемных конструкций рекомендован при необходимости изменения окклюзии, увеличении межальвеолярного расстояния, проведении косметических хирургических вмешательств на мягких тканях, а также при тестировании новых материалов, функциональных и эстетических параметров.
Материалы, перечисленные в табл. 3-2, могут быть использованы для изготовления провизорных реставраций прямым методом. Необходимо отметить, что в ней указаны материалы, применяемые только в практике автора данной книги, однако этот список не является исчерпывающим.
В рутинной стоматологической практике создание провизорных реставраций с помощью набора для быстрого обжима является методом выбора, который позволяет обеспечить достаточно высокую точность припасовки, хороший эстетический и функциональный результат. Однако окончательные реставрации должны быть установлены в течение нескольких недель.
Набор Перфект-Пласт (Perfect-Plast Kit) для быстрого обжима.
Спрей из набора Перфект-Пласт предназначен для изоляции используемой модели (рабочая или дубли-

Табл. 3.2.
Материалы для.
изготовления.
провизорных.
коронок.
и мостовидных.
протезов.
прямым.
методом.
* При полимеризации выделяет тепло, но не обжигает
Рис. 3-32Ь. Рабочую модель обрабатывают силиконовым спреем

Рис. 3-32а. Набор для быстрого обжимания

Рис. 3-32d. Мягкую пластину размещают над моделью
Рис. 3-32с. Пластмассовую пластину размягчают нагреванием в пламени горелки

кат восковой диагностической модели) (рис. 3-32а и 3-32Ь). Силиконовую массу размягчают и прижимают ею размягченную пластмассу к модели.
Пластмассовую пленку устанавливают в рамку и размягчают над пламенем горелки. Обычно размягченная пластмасса становится более прозрачной (рис. 3-32с). После этого пластину обжимают по модели с помощью силиконовой массы (рис. 3-32d и 3-32е). Приблизительно через одну минуту остывшую матрицу снимают с модели и обрезают ножницами (рис. 3-32f и 3-32д). Все перечисленные выше этапы являются подготовительными для изготовления провизорных реставраций.
Подготовленный пластмассовый шаблон примеряют и адаптируют в полости рта (рис. 3-32h). Затем пластмассу или композитную массу для провизорных реставраций вводят в шаблон (рис. 3-32i) с помощью картриджа (рис. 3-32j). Необходимо убедиться в отсутствии воздушных пузырьков в толще пластмассы (рис. 3-32к). После этого заполненный пластмассой шаблон обжимают по препарированным опорным зубам (рис. 3-321). Еще до окончательной полимери-

Рис. 3-32е. Мягкую пластину обжимают поверх модели с помощью силикона.
зации пластмассы шаблон удаляют из полости рта и аккуратно вынимают заготовку провизорного протеза. Излишки пластмассы срезают ножницами (рис. с 3-32т по 3-32о) и снова устанавливают реставрацию в полости рта во избежание искажения ее параметров в результате полимеризации материала.
При использовании для изготовления провизорного протеза материала светового отверждения необходи-

Рис. 3-32д. Шаблон обрезают ножницами
Рис. 3-32f. Отвердевший шаблон
Рис. 3-32И. Отпрепарированы опорные зубы для изготовления несъемного мостовидного протеза

Рис. 3-32i. Внутренняя поверхность подготовленного шаблона мостовидного протеза

Рис. 3-32j. Картридж с пластмассой для изготовления временных реставраций
Рис. 3-32к. Шаблон аккуратно заполняют пластмассой
мо проводить предварительную полимеризацию в полости рта только с окклюзионной стороны. После этого реставрацию удаляют и обрезают частично полимеризованные края ножницами. Затем реставрацию повторно устанавливают в полости рта и завершают полимеризацию со всех сторон. Потом протез помещают в световой бокс для окончательной полимеризации.
При использовании композита двойного отверждения провизорные реставрации оставляют в полости рта до начала полимеризации. Затем их удаляют, обрезают ножницами, повторно устанавливают в полости рта и проводят постепенную полимеризацию. Нельзя проводить полимеризацию провизорных реставраций из такого материала вне полости рта пациента. Окончательную полимеризацию проводят в световом боксе.
Под увеличением с помощью бинокуляров или стереомикроскопа края препарирования маркируют тон-
Рис. 3-32т. После полимеризации пластмассы шаблон удаляют из полости рта

Рис. 3-321. Провизорный мостовидный протез полимеризуют непосредственно на опорных зубах в полости рта
Рис. 3-32п. Заготовку провизорного мостовидного протеза вынимают из шаблона

Рис. 3-32о. Излишки пластмассы вдоль краев протеза обрезают ножницами
Рис. 3-32р (слева). Границы препарирования краев реставрации маркируют тонким карандашом.
Рис. 3-32q (справа). Инструменты для проведения окончательной обработки, сошлифовывания и полирования. Задний ряд (слева направо): финишный бор с зубцами, расположенными в шахматном порядке; карборундовый камень; абразивный темный диск для интерпроксимальных промежутков; диск наждачной бумаги. Передний ряд (слева направо): два вида резиновых чашек и полировочная щеточка.


ким карандашом (рис. 3-32р), после чего проводят окончательную обработку реставрации с помощью боров и резиновых чашек (рис. 3-32q и 3-32г). Затем корректируют окклюзию методом избирательного сошлифовывания, проверяют межзубные контакты с прилегающими зубами и детализируют интерпроксимальные пространства в области самого протеза (рис. 3-32s и 3-32t). В последнюю очередь с помощью специальных красителей окрашивают фиссуры и интерпроксимальные участки протеза и проводят окончательное полирование провизорной реставрации (рис. 3-32и).
Перед фиксацией несъемного мостовидного протеза опорные зубы необходимо обработать десенситайзером, например Глума (Gluma). Автор рекомендует фиксировать провизорные реставрации с помощью карбоксилатного цемента, например Дюрелона (Durelon), причем при установке индивидуальных коронок следует использовать очень тонкий слой этого
Рис. 3-32г. Провизорная реставрация после завершения обработки пришеечной части

Рис. 3-32s. Коррекция окклюзии посредством пришлифовывания маркированных участков

Рис. 3-32t. Окклюзионный вид реставрации после полирования и придания индивидуальных характеристик

Рис. 3-32и. Вестибулярный вид мостовидного протеза

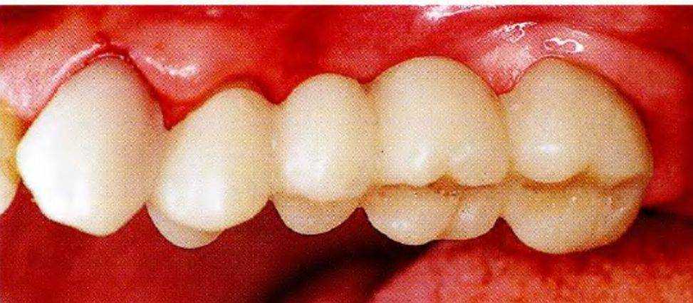
Рис. 3-32v. Вестибулярный вид провизорного мостовидного протеза после его фиксации в полости рта
Рис. 3-32w. Окклюзионный вид провизорной реставрации
материала. Такой цемент обеспечивает надежное запечатывание краев реставраций в течение продолжительного времени и предотвращает смещение провизорных протезов. Нужно отметить, что снятие провизорных реставраций при использовании карбоксилатного цемента довольно затруднительно, однако с помощью коронкоснимателя, например Коронафлекс (Coronaflex) (см. главу 1), это можно сделать практически без усилий (рис. 3-32v и 3-32w).
Материалы.
Набор Перфект-Пласт для быстрой лепки (Хагер и Веркен; Perfect-Plast Kit, Hager and Werken). Материалы для изготовления провизорных коронок и мостовидных протезов: Дентаколор (Хереус Кюльцер; Dentacolor, Heraeus Kulzer); Кронсин (Мерц Дентал; Cronsin, Merz Dental); Протемп 3 (ЗМ ЭСПЭ; Protemp 3
f
ЗМ ESPE); Люксатемп Автомикс и Люксатемп Автомикс Солар (Зенит; Luxatemp Automix,.
Luxatemp Automix Solar, Zenith); Таб 2000 (Kepp; Tab 2000, Kerr); Темпофит (Детакс; Tempofit, Detax). Тонкий карандаш (любой). Бинокуляры или стереомикроскоп. Боры, чашки, диски (Комет; Komet). Полировочная паста для Таргис/Вектрис (Targis/ Vectris) (ныне Адоро/Вектрис (AdoroA/ectris), Ивокляр Вивадент; Ivoclar Vivadent). Полировочные щеточки (Керр/Хаве; Kerr/Hawe). Артикуляционная бумага Ханел (Колтин Уэйлдент; Hanel articulating paper, Coltene Whaledent). Временный цемент для коронок и несъемных мостовидных протезов Дюрелон (ЗМ ЭСПЭ; Durelon). Цемент световой полимеризации для вкладок, накладок и частичных коронок (Провилинк, Вивадент; Provilink, Vivadent).
Коронкосниматель Коронафлекс (КаВо; Coronaflex, KaVo).
Десенситайзер Глума (Хереус Кюльцер; Gluma) для обработки препарированных зубов.