Рис. 6-5d. Клинический функциональный анализ

Рис. 6-5f. Аксиография
Рис. 6-5е. Инструментальный анализ функционального состояния
сообщили, что угол между сопряженной плоскостью и осевой глазничной плоскостью (СП-ОГП) почти всегда одинаков из-за центрального направления роста относительно сопряженной плоскости. У подростков этот угол составляет 31,3°, а у взрослых - 32°. Данный показатель является ключевым для определения вертикального расстояния, которое можно перенести в артикулятор (рис. 6-4а и 6-4Ь, табл. 6-1).
Клинический случай.
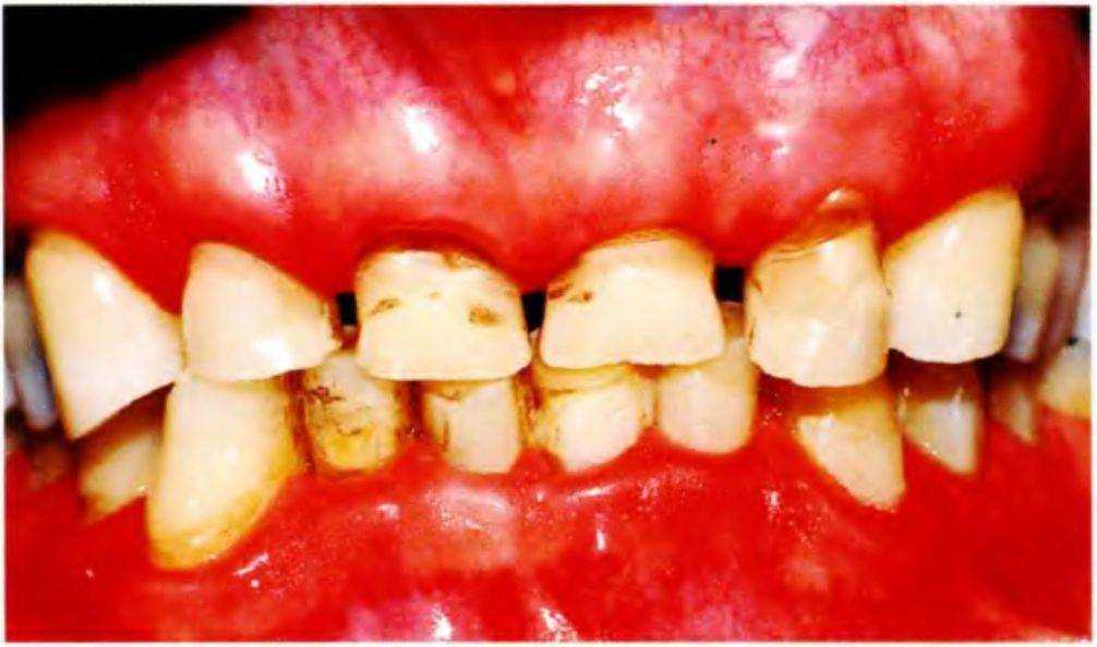
Пациент 55 лет страдает выраженным бруксизмом со значительной стираемостью зубов (рис. с 6-5а по 6-5с). Всем зубам показано восстановление с помощью коронок из-за значительной утраты твердых тканей и обнажения дентина, что сопровождается развитием гиперчувствительности. Требование пациента заключалось в создании эстетичных и функциональных реставраций.
Основной вопрос в подобных случаях заключается в степени увеличения межальвеолярного расстояния. Главное условие увеличения высоты окклюзии состоит в отсутствии патологии ВНЧС и жевательной мускулатуры, что подтверждается клиническим функциональным анализом (рис. с 6-5d по 6-5f).

Рис. 6-Бд. Функциональный анализ цефалограммы
Рис. 6-5h. Вертикальное расстояние

Рис. 6-5i. Вид перед проведением реставрационного лечения зубов верхней и нижней челюсти
Боковую цефалограмму для функционального анализа получают при расположении челюстей в центральном соотношении (рис. 6-5д). В данном случае угол СП-ОГП составил 31°. Таким образом, окклюзию можно увеличить так, чтобы угол СП-ОГП увеличился на 1°.
Для передачи этого показателя в артикулятор сопряженную плоскость нарисовали так, чтобы угол


Рис. 6-5j. Вид после восстановительной терапии
СП-ОГП составил 32° (рис. 6-5h). После этого измерили расстояние между двумя линиями на уровне режущего края нижнего переднего зуба, которое составило 2,5 мм.
Как можно увидеть в области основания носа, увеличение изображения на боковой цефалограмме составляет 1:1,10. Данную шкалу использовали для определеня степени увеличения окклюзии, с учетом чего откорректировали разделитель (4 мм). Таким образом, полученное значение перенесли в артикулятор и откорректировали резцовый штифт.
При отсутствии патологии ВНЧС или жевательной мускулатуры можно проверить возможность адаптации пациента к новому межальвеолярному расстоянию с помощью капп или провизорных реставраций. В данном случае после увеличения межальвеолярного расстояния контрольный период составил шесть месяцев, в течение которых у пациента не возникло дискомфорта. После этого изготовили окончательные коронки с учетом новых параметров (рис. 6-5i и 6-5j).
Функциональный анализ боковых цефалограмм не следует воспринимать в качестве математического анализа с точностью до сотых долей миллиметра. На самом деле функциональный анализ лишь помогает стоматологу определить вертикальное расстояние окклюзии, которое должно быть проверено клинически.