Определение и восстановление правильной высоты передних зубов
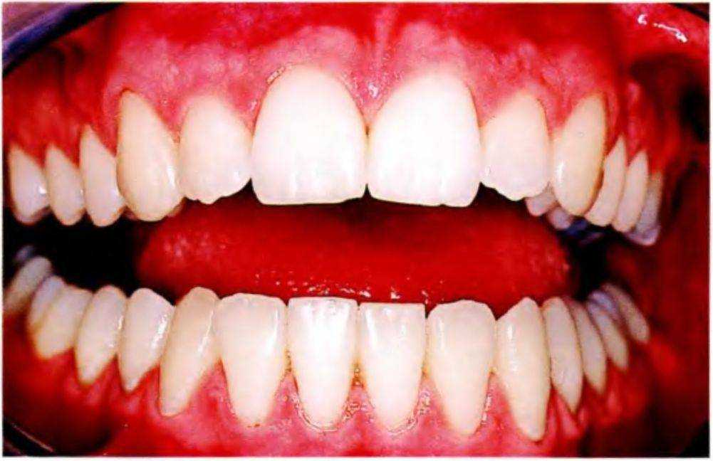
Рис. 6-13а (слева). Улыбка 28-летней пациентки до реконструкции передних зубов верхней челюсти


Рис. 6-1ЗЬ (справа). Улыбка после восстановительного лечения

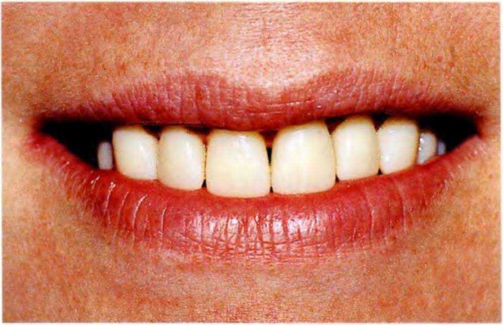
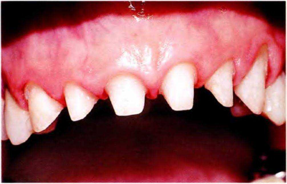
Рис. 6-1 Зс. Улыбка крупным планом перед реконструкцией передних зубов

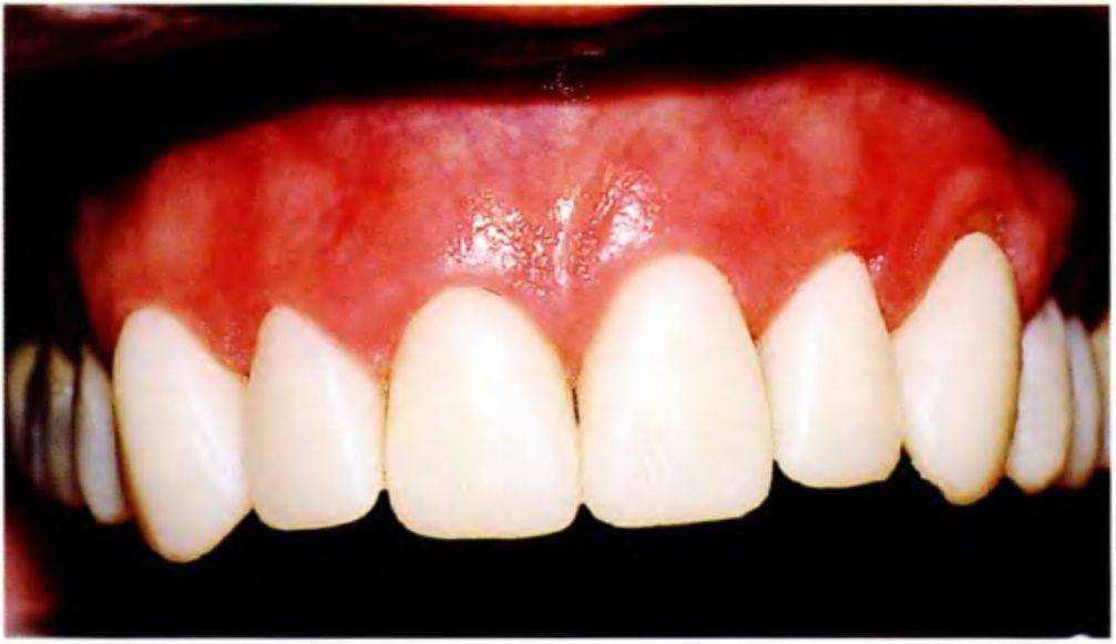
Рис. 6-13d. Улыбка крупным планом после реконструкции
Табл. 6.3. Взаимосвязь между ростом человека и длиной его верхних передних зубов

ности с приемом пищи. В некоторых случаях друзья и родственники пациента не принимают его нового внешнего вида.
Существует два условия успешной реконструкции передних зубов. Во-первых, пациент должен действительно хотеть и быть способным принять изменение внешнего вида. Во-вторых, стоматолог и зубной техник должны быть достаточно высоко квалифицированы для планирования и выполнения необходимого лечения, т.е. в первую очередь они должны владеть методами точного определения оптимальной высоты передних зубов. В настоящее время для этого используются: пробные провизорные реставрации, фотографии пациента в молодом возрасте, а также мнение родственников. Основная проблема в таких случаях заключается в наличии у пациента стойкого предубеждения, которое нередко выражается комментариями вроде: «Только учтите, доктор, в моей семье у всех были маленькие (белые и т.д.) зубы, так что не делайте из меня Дракулу!».
Таким образом, возникают вопросы: Может ли стоматолог получить надежные ориентиры для точного определения оптимальной длины зубов? Какова фактическая длина резцов и клыков у человека? Существуют ли возможности для проведения объективных измерений, которые можно использовать при проведении протезирования? Какие сведения существуют в современной научной литературе по данной проблеме?.
вание среднестатистических показателей может приводить к возникновению некоторых проблем у большинства пациентов. В качестве аналогии можно привести пример с одеждой. Например, средний рост в группе из 20 человек может составлять 180 см, однако существует большая вероятность того, что среднестатистический костюм не подойдет ни одному из участников группы.
Ханс Негерль (Hans Naegerl) - доктор из Гёттингенского университета - нашел решение этой проблемы. Он отметил, что в большинстве случаев размеры различных частей тела находятся в определенной пропорции между собой, за небольшим исключением. У высоких людей корпус, руки и ноги длинные, а у низких - напротив.
Следуя этой концепции, автор измерил длину зубов у ста своих пациентов в возрасте 20-25 лет. Требованиями включения в исследование были полное прорезывание передних зубов, отсутствие стираемости и отсутствие рецессии десны. Длину зубов измеряли от края десны до режущего края. Полученные показатели коррелировали с ростом пациента (табл. 6-3).
Боковые резцы верхней челюсти были короче клыков и центральных резцов на 1 мм со стороны как десны, так и режущего края (рис. 6-16), т.е. в общей сложности на 2 мм. Длина передних зубов нижней челюсти варьируется в значительно меньшей степени и обычно составляет 9-10 мм, что соответствует данным литературы.
Однако к этим цифрам не следует относиться, как к сугубо математическим показателям, поскольку они играют роль ориентиров для воскового моделирования и изготовления провизорных реставраций. При отсутствии иной информации об исходной длине зубов данные табл. 6-3 помогут в определении оптимальной длины для достижения хорошего функционального и эстетического результата. Другим хорошим ориентиром является пропорция ширины и длины зуба (табл. 6-4, рис. 6-17).
Эффективное решение: Определение длины передних зубов с помощью индивидуальных показателей.
По данным литературы длина верхних резцов составляет в среднем 11-12 мм, а нижних - 10 мм (рис. 6-14 и 6-15).
Однако по понятным причинам использо-
Табл. 6.4. Взаимосвязь между длиной и шириной зубов


Рис. 6-14. Определение оптимальной длины верхних резцов
Рис. 6-16. Боковые резцы на 1 мм короче клыков и центральных резцов с обеих сторон - со стороны десневого контура и со стороны режущего края (в общем на 2 мм)

Рис. 6-15. Схема из анатомического атласа Уиллера


Рис. 6-18. Пробная композитная реставрация верхних правых передних зубов (клыка и обоих резцов)

Рис. 6-17. Соотношение ширины и высоты зубов
Применение.
Возможность адаптации к изменению длины передних зубов необходимо проверять с помощью пробных провизорных реставраций (см. предыдущий раздел и рис. 6-18). При выраженной стираемости предпочтительнее использовать провизорные реставрации, изготовленные в зуботехнической лаборатории.

Рис. 6-19а. Выраженная стераемость зубов
Рис. 6-19Ь. Измерение высоты верхних передних зубов


Рис. 6-19с. Сепарация передних зубов
Рис. 6-19d. Введение ретракционной нити.
Клинический случай.
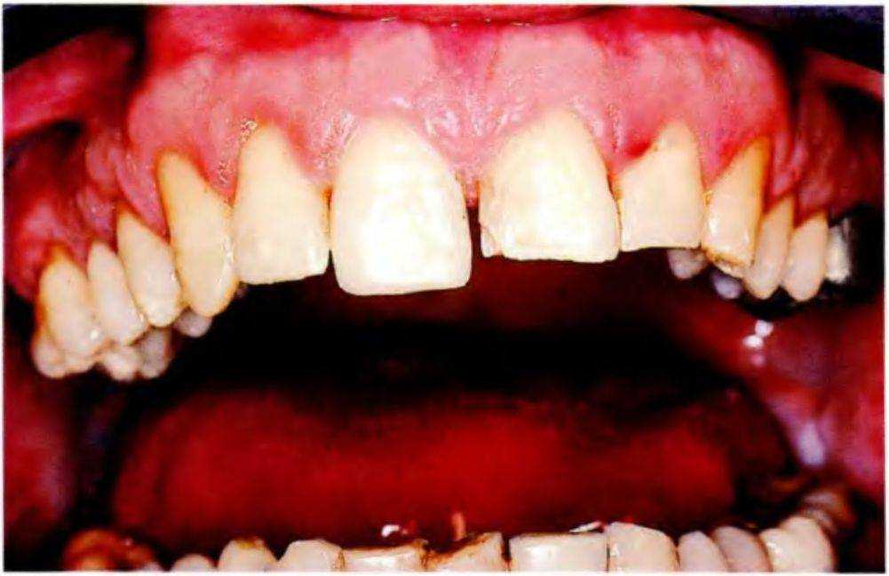
Пациентка 35 лет обратилась в стоматологическую клинику для проведения реставрационного лечения выраженной стираемости передних зубов.
Терапия с помощью окклюзионной каппы была успешной, симптомы патологии жевательной мускулатуры и ВНЧС отсутствовали. Для демонстрации пациентке степени утраты тканей зубов измерили и документировали высоту сохранившихся зубов (рис. 619а и 6-19Ь). Высота центральных резцов составила всего 7 мм. Учитывая рост пациентки 170 см, в соответствии с данными табл. 6-3 оптимальная длина центральных резцов должна составлять 11 мм. Другими словами, необходимо было восстановить 4 мм.
Сначала изготовили пробные провизорные коронки. После проведения местной анестезии зубы сепарировали и провели ретракцию десны с помощью неимпрегнированных ретракционных нитей (рис. с 6-19с по 6-19е). В ходе препарирования зубов и

Рис. 6-19е. Вид после установки ретракционной нити
Рис. 6-19f. Аккуратное препарирование передних зубов

Рис. 6-19д. Аккуратная финишная обработка препарированных передних зубов


Рис. 6-19h. Вид зубов после завершения препарирования.
на этапах обработки десневой край защищали с помощью специального инструмента (рис. 6-19f и 6-19д).
После препарирования (рис. 6-19h) из набора подобрали симметричные заготовки провизорных одиночных коронок (рис. 6-19i). Затем провели перебазирование заготовок с помощью самоотверждаемой пластмассы (рис. 6-19j) и финишную обработку. Коронки фиксировали на временный цемент (рис. 619k и 6-191).
Пациентка осталась довольна результатом (рис. 6-19т и 6-19п).
При проведении любых изменений передних зубов необходимо тщательно проверить дикцию, для чего пациента просят произнести звуки «ф», «с», «ш» и «т». Кроме того, следует убедиться в естественности мимики, включая линию нижней губы (линию улыбки). Режущие края передних зубов должны следовать изгибу нижней губы при улыбке и касаться ее в области перехода красной каймы в слизистую полости рта.
Рис. 6-19i. Набор заготовок провизорных коронок

Рис. 6-19j. Перебазирование выбранных заготовок

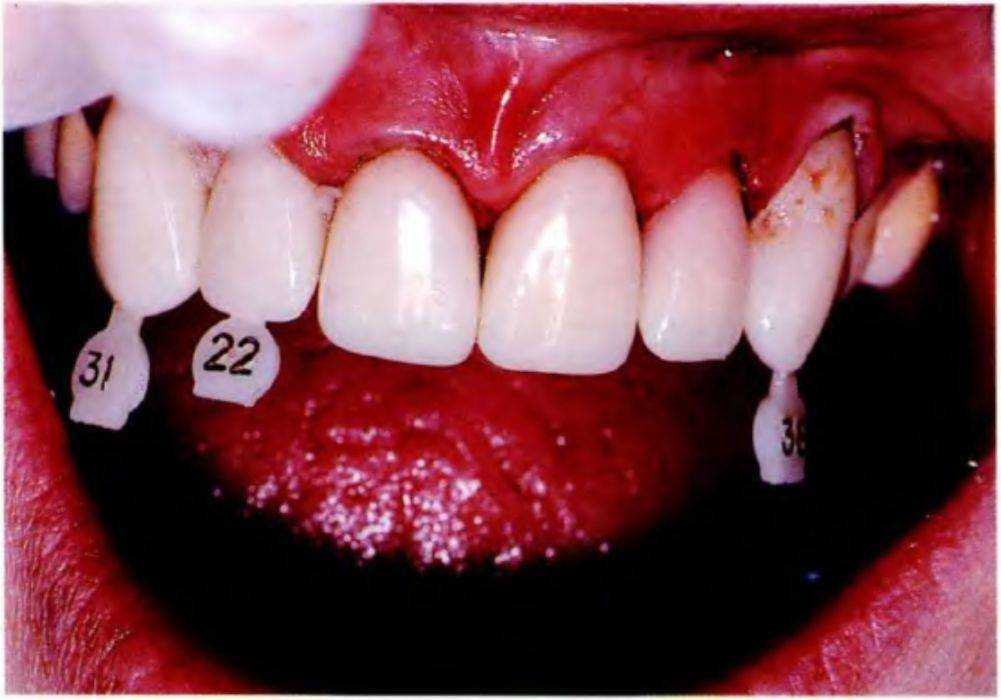
Рис. 6-19к. Вестибулярный вид установленных провизорных коронок

Рис. 6-191. Небный вид

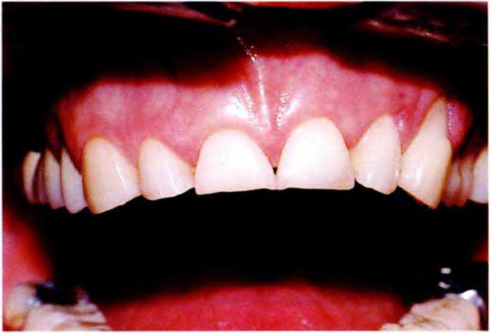
Рис. 6-19т. Улыбка пациентки после установления провизорных реставраций.
Рис. 6-19п. Довольная результатом пациентка
Материалы.
Стальная линейка.
Индивидуальные штангенциркули высокой точности Композит для изготовления пробных реставраций, например, Тетрик (Ивокляр Вивадент; Tetric, Ivoclar Vivident), Майрис (Колтен Уэйлдент; Miris, Coltene Whaledent) или Геркулайт (Kepp; Herculite, Kerr). Карманный калькулятор для расчета соотношений длины и ширины.
Алмазные боры для препарирования (Комет; Komet).
Ретракционные нити Ультрапак (Ультрадент; Ultrapak, Ultradent).
Коронки Ион (Ion), заготовки зубов для провизорных реставраций (ЗМ ЭСПЭ; ЗМ ESPE). Самополимеризуемая пластмасса Денталон Плюс для перебазирования (Хереус Кюльцер; Dentalon Plus, Heraeus Kulzer).
Временный цемент Дюрелон (ЗМ ЭСПЭ; Durelon). Фонетический тест (разработанный г-ном Юргом Штуком, Шенген, Германия).
Проблема правильного определения цвета зубов (вернее, оттенка), вероятно, навсегда останется в реставрационной стоматологии (рис. 6-20). На рис. 6-21 показаны статистические данные правильного определения оттенков. Оказывается, 65 % реставраций должно быть переделано по причине несоответствия цвета, причем пациенты в таком случае обречены на посещение стоматологической клиники более одного раза. В результате стоматолог и зубной техник тратят значительное время, пациент теряет доверие к стоматологу, а клиника теряет репутацию. При определении цвета возникают следующие вопросы:.
1 Все ли участники лечения (пациент, стоматолог и зубной техник) воспринимают цвет одинаково?.
2.
Важнее передавать цвет или оттенок?.
3.
Существует ли практическая возможность точного определения оттенка зуба?.
4.
Сколько стоматологов и зубных техников фактически знают о собственных дефектах цветовосприятия? Сколько знают об их отсутствии?.
5.
Кто должен определять оттенок зуба - стоматолог, зубной техник или ассистент?.
6.
Может ли пациент принимать решение самостоятельно, понимая всю степень ответственности?