Через две недели после обращения в клинику, на котором настояли члены семьи, пациенту исполнялось 75 лет, от празднования которого он вынужден был отказаться из-за состояния протезов.
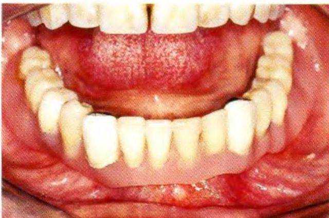
При осмотре определили выраженную атрофию альвеолярных гребней верхней и нижней челюсти, а также сниженную саливацию. Съемные протезы были несостоятельны (рис. 1 -9с). В связи с анамнезом и данными осмотра возникло несколько вопросов:.
1.
Каким образом можно увеличить ретенцию имеющихся протезов хотя бы на две недели?.
2.
Какая помощь может быть оказана немедленно?.
3.
Какой вариант окончательного протезирования может быть использован?
Первая помощь при несостоятельности съемных полных протезов

Рис. 1-9Ь. Для обеспечения устойчивости протезов пациент вынужден стискивать зубы

Рис. 1-9а. Попытки улыбнуться вызывают у пациента боль, кроме того, ему приходится стабилизировать положение съемного протеза языком.
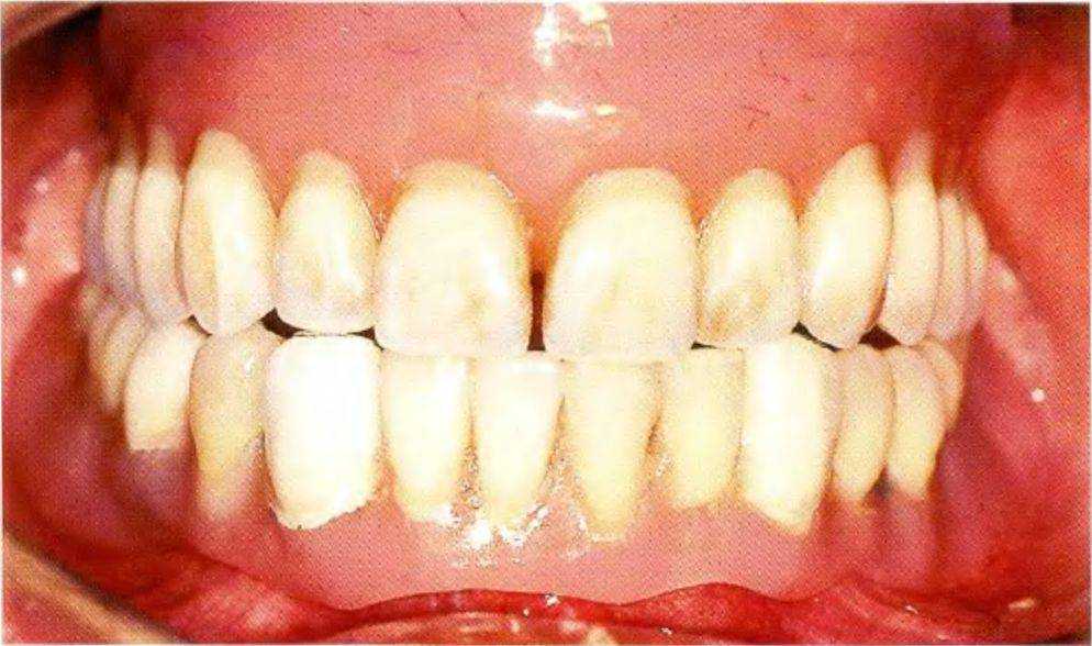
Рис. 1-9с. Плохоприпасованная пара съемных полных протезов

Рис. 1-9q. Препарирование ложа второго имплантата
Рис. 1-9г. Установка остальных имплантатов

Рис. 1-9t. Вестибулярный вид имплантатов после выравнивания

Рис. 1-9s. С помощью ручного ключа проводят выравнивание бороздок установленных имплантатов, так, чтобы они формировали общую линию, параллельную гребню
Рис. 1-9u. Окклюзионный вид имплантатов после выравнивания.
помощью шаблонов (рис. 1-9v) и припасовали изогнутую балку к пазам в головках имплантатов (рис. 1-9w). Поскольку временные имплантаты довольно сложно установить на одном уровне, потребовалось сошлифовать изогнутую балку для ее адекватной припасовки (рис. 1-9х и 1-9у).
Рис. 1-9v. Проверка степени выравнивания с помощью шаблонов.
Поверх имплантатов установили белые пластмассовые направляющие колпачки и зафиксировали балку адгезивом световой полимеризации (рис. с 19z по 1-9сс). Затем провели сошлифовывание и адаптацию протеза нижней челюсти (рис. с 1-9dd по 1-9ff).
Рис. 1-9х. Вторая примерка после нанесения проточек на заготовку балки

Рис. 1-9w. Первая примерка заготовки балки

Рис. 1-9z. Окклюзионный вид установленной балки
Рис. 1-9у. Точное припасовывание балки

Рис. 1-9аа. Окклюзионный вид после установки направляющих колпачков
Рис. 1-9bb. Вестибулярный вид балки с направляющими колпачками. В пришеечной области визуализируются красные резиновые кольца, закрывающие поднутрения
После этого протез перебазировали с помощью самоотверждаемой пластмассы и отполимеризовали балку внутри протеза, закрыв поднутрения красными резиновыми кольцами (см. рис. 1-9bb). На рис. с 1-9gg по 1-9ii продемонстрированы различные поверхности подготовленного протеза, который надежно фиксировался в полости рта пациента (рис. 1 -9jj).
Выполненные манипуляции позволили обеспечить высокую ретенцию протезов и провести пациенту празднование 75-го дня рождения (рис. 1-9kk). Окончательный план лечения включал в себя изго-

Рис. 1-9dd. Готовый протез нижней челюсти

Рис. 1-9сс. Направляющие колпачки, фиксированные светоотверждающим адгезивом

Рис. 1-9ее. Высверленное отверстие для балки


Рис. 1-9ff. Примерка протеза с высверленным отверстием поверх балки.
Рис. 1-9gg. Основание протеза нижней челюсти с полимеризованной в его основании балкой.
Рис. 1-9hh. Вид основания съемного протеза. Четко визуализируются направляющие колпачки балки


Рис. 1-9ii. Готовый отполированный протез нижней челюсти.
Рис. 1-9jj. Обеспечение надежной ретенции съемного протеза.
Рис. 1-9kk. Выполнение поставленных задач - обеспечена высокая стабильность съемных протезов
товление новых съемного полного протеза верхней челюсти с опорой на балку, фиксированную к четырем имплантатам, и съемного полного протеза нижней челюсти с телескопической фиксацией к имплантатам.
Материалы.
Лейкопластырь.
Термопластическая пластмасса зеленого или коричневого цвета (Керр; Kerr).
Самополимеризуемая пластмасса для базисов съемных протезов Паладур (Хереус Кюльцер; Paladur, Неreus Kulzer).
Провизорные имплантаты системы MTI (Дентатус; Dentatus).
Ортодонтический адгезив световой полимеризации Гелиосит (Ивокляр Вивадент; Heliosit, Ivoclar Vivadent).