3.
Фиксация штифтов с помощью стандартного цемента вместо адгезива.
4.
Слишком короткая культя над уровнем десны (менее 2 мм по периметру).
Б. Винтовые штифты оказывают на зуб раскалывающую нагрузку, что гарантирует возникновение перелома.
В середине 1990-х гг. Velvert и соавт. доказали, что штифт является только опорой для надстройки и никоим образом не укрепляет эндодонтически леченный зуб. Установка слишком длинных и толстых штифтов в значительной степени увеличивает вероятность перелома зуба, который произойдет рано или поздно, но практически наверняка.
В большинстве случаев штифтовые культевые конструкции, фиксированные с помощью стандартных цементов, относительно легко можно удалять с помощью набора трепанов Массерана (рис. 1-10). В современной эстетической стоматологии для установки штифтов, изготовленных из диоксида циркония, используют адгезивные технологии, что, с одной стороны, увеличивает прочность фиксации, но с другой осложняет удаление штифтов в случае их перелома.
Эффективное решение: Прямая реставрация с помощью надстройки и использования трепана.
Штифты из диоксида циркония крайне редко удается удалить без перелома корня. Каковы способы сохранения зуба? Каким образом можно повторно использовать коронку при переломе зуба? Брандау (Brandau) разработал титановый штифт, набор для установки которого выпускается компанией Брасселер (Brasseler). На примере представленного ниже клинического случая описано применение данной системы в качестве последнего средства для сохранения зуба со штифтом из оксида циркония.
Перелом внутрикорневого штифта

Рис. 1-10. Набор Массерана включает в себя комплект трепанов для удаления сломанных штифтов и фрагментов сломанных инструментов, используемых для препарирования канала

Рис. 1-11а. Перелом верхнего правого бокового резца
Рис. 1-11Ь. Перелом коронки на уровне десны


Рис. 1-11 е. Отломанная коронка

Рис. 1-11с. Визуализация в центре сломанного штифта из оксида циркония.
Рис. 1-11ма сломанного зуба.
Рис. 1-11f. Отломанная коронка с остатками цемента
Рис. 1-11h. Схема штифтовой культевой конструкции, устанавливаемой с помощью трепанов


Рис. 1-11 д. Набор № 4317 для ремонта сломанных штифтов
Клинический случай.
Пациент 60 лет обратился по поводу перелома верхнего правого бокового резца. Перелом произошел на уровне десны. До перелома коронку повторно цементировали дважды с помощью композита, причем фиксация нарушалась через несколько часов (рис. с 1-11а по 1-11f).
Культевая надстройка, расположенная непосредственно под коронкой, не поддавалась удалению. Штифт из оксида циркония был фиксирован с помощью адгезива. Некоторое время назад единственный вариант в подобных случаях заключался в экстракции зуба и изготовлении несъемного или съемного частичного протеза или установке имплантата. Однако использование титанового штифта и набора трепанов (набор № 4317, Комет) позволило прибегнуть к последнего средству для сохранения зуба (рис. 1-11 g и 1-11 h).
Сломанный циркониевый штифт (рис. 1 -11 к и 1-111) высверлили с помощью трепана (рис. 1—111 и 1-11j). Процедура наглядно продемонстрирована на примере удаленного зуба на рис. с 1-11т по 1-11q. Автор настоятельно рекомендует попрактиковаться на удаленных зубах, прежде чем перейти к клиническому применению данной методики.
Штифт примерили в полости рта (рис. 1 -11 г). Для фиксации титанового штифта использовали специ-
Перелом внутрикорневого штифта
Рис. 1-11 к. Высверливание штифта из оксида циркония трепаном

Рис. 1-111. Вид после препарирования зуба по периметру штифта трепаном

Рис. 1-11i. Трепаны, входящие в комплект

Рис. 1-11j. Режущие края трепанов

Рис. 1-11т. Препарирование вокруг штифта трепаном на удаленном зубе

Рис. 1-11 п. Штифтовая культевая вкладка, устанавливаемая с помощью трепанов. Культевая часть соответствует опорной системе Влок (Брасселер)

Рис. 1-11 о. Позиционер

Рис. 1-11р. Демонстрация процедуры на удаленном зубе

Рис. 1-11q. Выступ из зуба культевой части


Рис. 1-11г. Установка штифтовой культевой вкладки в верхний правый боковой резец. Проверка длины и диаметра
Рис. 1-11s. Адгезив DTK
Рис. 1-11t. Фиксированная штифтовая культевая вкладка
Рис. 1-11и. Поперечный распил зуба с установленной штифтовой культевой вкладкой. Хорошая визуализация обтурированного корневого канала, обломка штифта из оксида циркония и штифтовой культевой вкладки, установленной с помощью трепанов



Рис. 1-11v. Крупный план поперечного распила зуба. Хорошая припасовка штифтовой культевой вкладки.
Рис. 1-11w. Вид основания высверленной коронки
Рис. 1-11 х. Нанесение на культевую часть вкладки композитного цемента

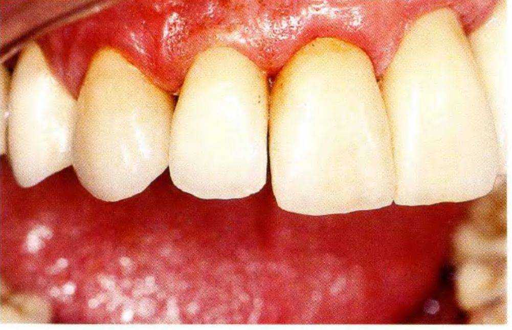
Рис. 1-11у. Окончательный результат
альный адгезив ДТК (DTK), который можно подвергнуть предварительной полимеризации светом (рис. 1-11s и 1-1 It). Период полимеризации составляет 12 мин, что необходимо контролировать с помощью секундомера. На рис. 1-11 и и 1 -11 v представлен распил удаленного зуба для демонстрации соотношения между тканями зуба и штифтом.
В зуботехнической лаборатории под контролем стереомикроскопа из коронки аккуратно высверлили остатки зуба и надстройки (рис. 1-11 w). Подготовленную коронку примерили в полости рта. После абразивной обработки выступающей части штифта на нее нанесли адгезив ДТК, который так же нанесли кисточкой на внутреннюю поверхность коронки, и зафиксировали коронку (рис. 1-11х). При возникновении трудностей при установке коронки необходимо изготовлять специальный резцовый позиционер из самополимеризуемой пластмассы (например, Паттерн Резин; Pattern Resin).
На рис. 1 -11 у показана коронка in situ. Работа считается законченной после тщательной проверки окклюзии и артикуляции.
Материалы.
Набор для ремонта штифтов № 4317 (Комет; Komet). Адгезив ДТК (Бредент; DTK, Bredent). Самополимеризуемая беззольная пластмасса Паттерн Резин (Pattern Resin, GC). Набор Массерана (Микро-Мега; Masseran kit, MicroMega).