
Рис. 4-Зс. Биологическая ширина (опубликовано с разрешения из статьи Gargulio et al.
2
)

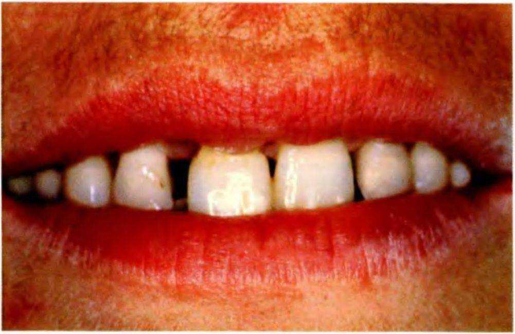
Рис. 4-3d. При проведении лечения не была учтена биологическая ширина, что привело к развитию гингивита, несмотря на тщательную гигиену

Рис. 4-Зе. Вероятность заполнения десневым сосочком межзубного пространства в зависимости от расстояния между контактным пунктом и краем кости (Tarnow et al.
3
).
межзубное пространство и с учетом данного обстоятельства проводили протезирование, в том числе передней группы зубов (рис. 4-3f и 4-Зд). Корональная граница межзубного контакта предопределяется эстетическими критериями, а апикальная зависит от расстояния до альвеолярной кости (рис. 4-3h).
В статье, посвященной особенностям зубодесневого комплекса, Kois
s
описал использование пародонтологических параметров при планировании ортопедического лечения и способ определения контура края альвеолярного гребня. Именно этот автор впервые продемонстрировал целесообразность зондирования кости перед проведением протезирования.
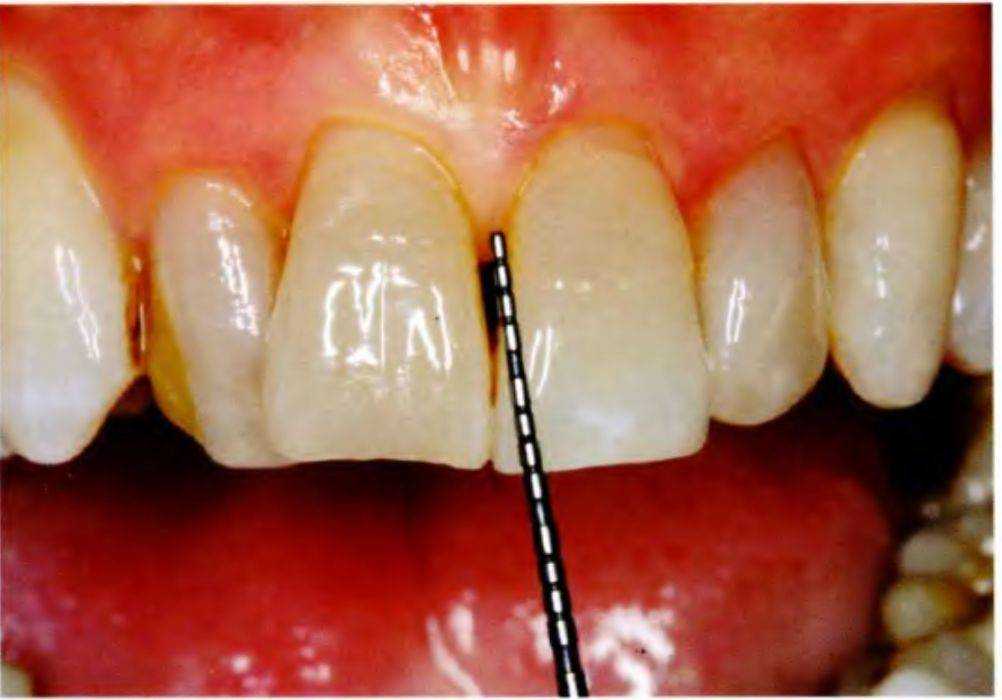
После проведения местной анестезии пародонтологический зонд вводят до контакта с костью (рис. 4-3i.
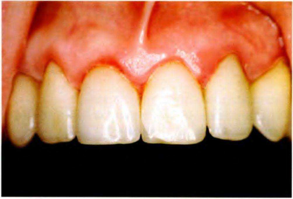
Рис. 4-3f. Симметричное расположение контактных пунктов в переднем отделе верхнего зубного ряда.
и 4-3j), полученные значения документируют в карте пациента (рис. 4-Зк). В дальнейшем эти данные могут быть использованы при создании композитной реставрации, ортодонтическом перемещении зубов и изготовлении протезов, например виниров и коронок (рис. 4-31 и 4-Зт).
Без тщательного анализа параметров зубодесневого комплекса невозможно добиться предсказуемой регенерации десневых сосочков (рис. 4-Зп).
Применение описанной выше методики и использование полученных данных при проведении протезирования позволяют получить удовлетворительный результат (рис. 4-Зо).
Рис. 4-Зд. Восковое моделирование верхних передних зубов (Kubein-Meesenberg et al.
4
). Локализация контактных пунктов определяется с помощью интерпроксимальных конусов

Рис. 4-3h. Соотношение между апикальной границей межзубного контактного пункта и уровнем альвеолярного гребня (Tarnow et al.
J
)

Рис. 4-3j. Зондирование костного гребня

Рис. 4-3i. Измерение величины десневого сосочка и расстояния между уровнем кости и контактным пунктом

Рис. 4-Зк. Документирование показателей в специальной форме

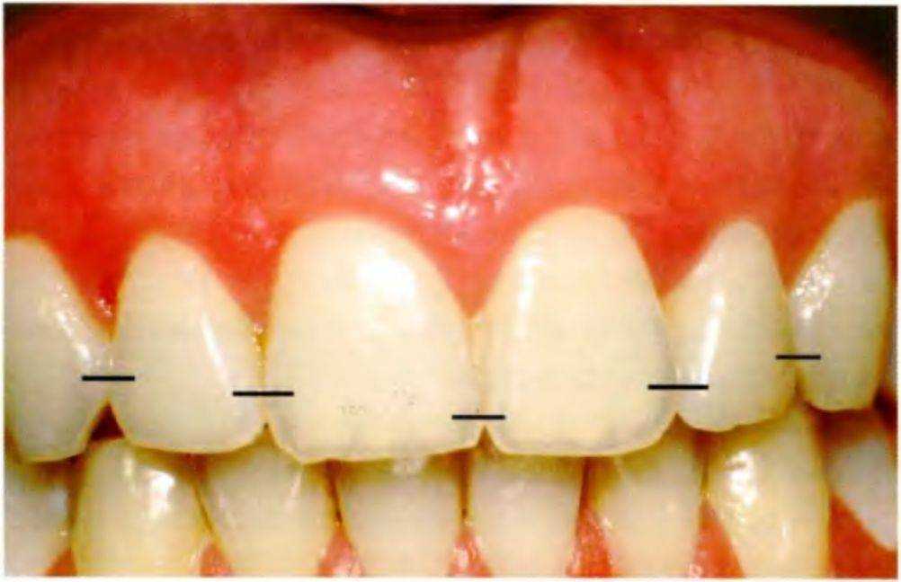
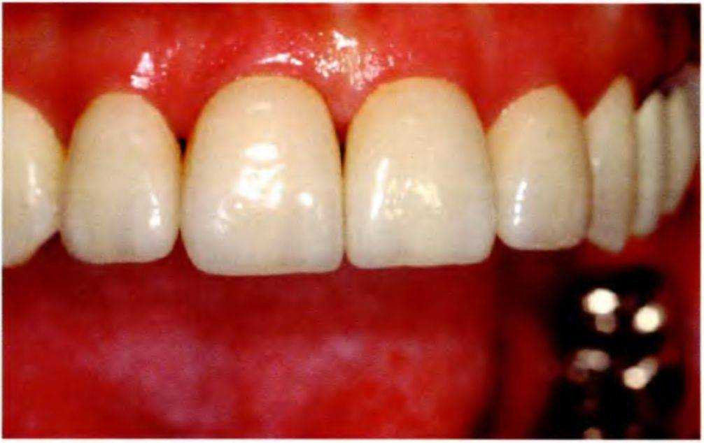
Рис. 4-31. Восстановление передних зубов верхней челюсти. Вид через одну неделю после протезирования, «черные треугольники» сохраняются

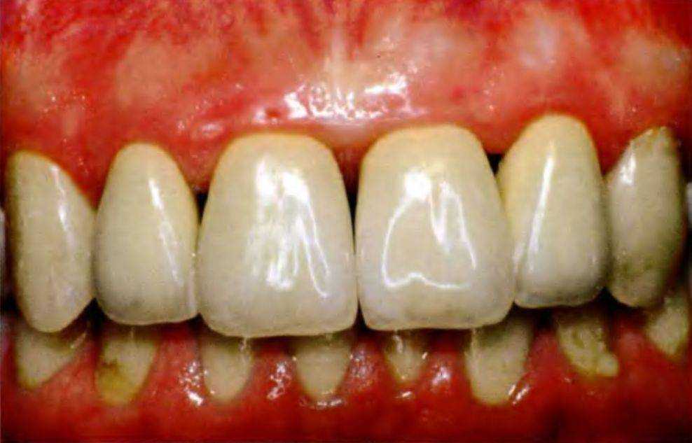
Рис. 4-Зт. Вид через три месяца - наблюдается восстановление межзубных сосочков. Положительная динамика позволяет предположить возможность полного заполнения межзубного пространства

Рис. 4-Зп. Почти полное заполнение межзубных пространств.
Материалы.
Пародонтологический зонд с миллиметровой калибровкой (Хью-Фриди; Hu-Friedy). Специальная карта, позволяющая документировать показатели биологической ширины, разработана автором данной книги (планируется к опубликованию).
Рис. 4-Зо. Пациентка довольна результатом

