По данным Wolff, отсутствие нагрузки приводит к дегенерации кости, в то время как физиологическая нагрузка способствует достижению баланса между остеогенезом и резорбцией костной ткани. Однако при чрезмерной нагрузке на кость происходит ее атрофия. Имплантаты подобно зубам передают нагрузку на костную ткань, что способствует сохранению ее объема и качества. Давление на обширную поверхность (например, при использовании съемного протеза) приводит к резорбции наружного слоя кости (рис. 5-8). С другой стороны, при отсутствии нагрузки ухудшается качество кости, т.е. происходит ее внутренняя резорбция (рис. 5-9). Из вышесказанного следует, что физиологическая нагрузка предупреждает снижение качества и объема кости.
Установка имплантатов в кость IV типа, которая встречается в основном в дистальных отделах верхней челюсти, представляет собой одну из наиболее сложных задач в стоматологической имплантации. При создании ложа имплантатов в данной ситуации только с помощью сверл невозможно обеспечить надежную первичную фиксацию, кроме того, в таком случае после остеоинтеграции площадь контакта имплантата с костью оказывается довольно незна-

Рис. 5-4. Пористая костная ткань типа D4 (с разрешения проф. Klaus-Ulrich Веппег, Мюнхенский институт анатомии)
Рис. 5-5. Тонкий альвеолярный гребень («лезвие ножа») верхней челюсти


Рис. 5-6. Классификация качества кости по Лекхольму и Зарбу

Рис. 5-7а. Характеристики кости типа D1 по Джуди и Мишу; ИКК - площадь имплантата, контактирующая с костью

Рис. 5-7с. Характеристики кости типа D3 по Джуди и Мишу; ИКК - площадь имплантата, контактирующая с костью

Рис. 5-8. Различная степень атрофии нижней челюсти
Рис. 5-7Ь. Характеристики кости типа D2 по Джуди и Мишу; ИКК - площадь имплантата, контактирующая с костью чительной (25 %). Ниже описаны приемы качественной и количественной оптимизации ложа имплантата в кости IV типа (рис. с 5-7а по 5-7d).

Рис. 5-7d. Характеристики кости типа D4 по Джуди и Мишу; ИКК - площадь имплантата, контактирующая с костью

Рис. 5-9. Внутренняя атрофия кости приводит к образованию полостей в толще ткани
Эффективное решение: Использование остеотомов.
В начале 1990-х гг. Роберт Саммерс (Robert В. Summers) предложил методику с использованием специальных инструментов - остеотомов. Данная методика заключается в применении остеотомов конической формы с вогнутой торцевой поверхностью для расширения ложа имплантата и уплотнения кости. В стандартный набор входят пять остеотомов разного диаметра с миллиметровой разметкой по глубине (рис. с 5-10 по 5-12).
Показания.
Уплотнение кости.
При создании ложа имплантата с помощью остеотомов кость не иссекается, а уплотняется по всему периметру контакта с инструментом (рис. 5-13).
Увеличение объема кости внутри ложа.
Через подготовленное ложе можно заполнить пустоты в кости аутогенной костью или другим костным материалом. Такой подход позволяет увеличить площадь контакта имплантата с костной тканью (рис. 5-14).
Расширение альвеолярного гребня.
При наличии тонкой и гибкой кортикальной пластинки (кость III и IV типа, резорбция класса А, В и С верхней челюсти) возможно расширение альвеолярного гребня (рис. 5-15). Данную манипуляцию выполняют под прямым визуальным контролем для предупреждения перелома кости (рис. 5-16). При наличии плотной кортикальной кости вместо расширения рекомендуется проводить расщепление гребня.
Закрытый синус-лифтинг одновременно с установкой имплантатов.
Данная методика показана при высоте кости в области вмешательства не менее 5 мм. Необходимым условием также является достаточно широкое для использования остеотомов открывание рта. Кроме того, оператор может применять угловые остеотомы, которые, однако, несколько сложнее в исполь-

Рис. 5-10. Набор остеотомов с молоточком

Рис. 5-11. Стандартный набор из пяти остеотомов

Рис. 5-12. Режущая поверхность полого долота
зовании, особенно при обеспечении тактильной чувствительности во время прохождения инструмента в толщу кости (5-17 и 5-18).

Рис. 5-15. Классы резорбции по Лекхольму и Зарбу`
Рис. 5-17b. Схема закрытого синус-лифтинга после установки имплантатов (с разрешения д-ра Richard Lazzara, 3i)

Рис. 5-13 {слева). Принципы использования остеотомов: подготовка и конденсация (с разрешения д-ра Richard Lazzara, 3i)
Рис. 5-14 (справа). Введение костного материала с помощью остеотома (с разрешения д-ра Richard Lazzara, 3i)

Рис. 5-16. Установка имплантатов произведена после создания ложа с помощью остеотомов


Рис. 5-17а. Схема закрытого синус-лифтинга (с разрешения д-ра Richard Lazzara, 3i)

Рис. 5-18а (слева). Контрольная рентгенограмма на этапе закрытого синуслифтинга с введенным в ложе штифтом для определения параллельности

Рис. 5-18Ь (справа). Контрольная рентгенограмма после проведения закрытого синус-лифтинга и установки имплантатов
Рис. 5-19а. Трепанирование дна пазухи (с разрешения д-ра Richard Lazzara, 3i)

Рис. 5-19b. Перемещение трепанированных участков в просвет пазухи (с разрешения д-ра Richard Lazzara, 3i)


Рис. 5-20. Специальные кюреты для отслаивания слизистой пазухи и введения костного материала
Рис. 5-21. Поднятие дна верхнечелюстной пазухи для последующей имплантации
Закрытый синус-лифтинг без одновременной установки имплантатов.
Доступ через дно верхнечелюстной пазухи подготавливают трепанами диаметром 6,5 мм или больше (рис. 5-19а), а затем отделенный участок кости приподнимают остеотомом № 5 (рис. 5-19Ь). Слизистая дна пазухи отслаивается с помощью специальных кюрет (рис. 5-20), после чего подготовленную полость заполняют костным материалом и изолируют резорбируемой мембраной (рис. 5-21). Имплантаты устанавливают через 4-6 мес. На рис. 5-22 перечислены показания к различным способам закрытого синус-лифтинга.
Методика.
Залогом успеха закрытого синус-лифтинга является строгое соблюдение протокола вмешательства.
Для оценки объема кости перед вмешательством изготавливают полную серию прицельных снимков, обзорную рентгенограмму (1:1,25, либо другую в зависимости от типа ортопантомографа) и (или) проводят компьютерную томографию. При проведении лучевой диагностики рекомендуется использование рентгеноконтрастных маркеров (шариков диаметром 5 мм) для определения степени искажения рентгеновских снимков.
К лечению приступают после получения информированного согласия пациента на проведение вмешательства. Придерживание головы пациента ассистентом во время использования молоточка позволяет снизить дискомфорт. После анестезии откидывают слизисто-надкостничный лоскут и фиксируют его временным швом к слизистой щеки.
С помощью хирургического шаблона шаровидным бором намечают участки установки имплантатов. Пилотное сверло диаметром 2 мм не доводят до дна верхнечелюстной пазухи (так называемая рабочая глубина). На этом этапе необходимо быть крайне внимательным, чтобы не перфорировать пазуху. После этого в отверстие вводят калиброванный глубиномер и делают прицельный рентгеновский снимок.
После измерения глубины приступают к использованию остеотомов, начиная с остеотома минимального диаметра (№ 1). Инструменты вводят на рабочую глубину, стараясь не проломить дно пазухи. Хирург должен прислушиваться к звуку во время использования молоточка, поскольку приглушение звука указывает на начало проламывания дна верхнечелюстной пазухи. Для проверки перфорации можно использовать холодное зеркало. Признаками нарушения целостности слизистой оболочки синуса являются быстрое запотевание зеркала и появление пузырьков воздуха из ложа.
Костный материал вводят с помощью инструмента для амальгамы и уплотняют плаггером. Данную манипуляцию повторяют необходимое число раз, стараясь не поднимать дна пазухи более чем на 1 мм. Для проверки степени поднятия дна пазухи рекомендуется сделать контрольную прицельную рентгенограмму.

Рис. 5-22. Показания к проведению закрытого и открытого синус-лифтинга
После введения последней порции костного материала устанавливают остеотом необходимого диаметра (№ 3; 4 или 5 в зависимости от диаметра имплантата).
После этого проводят установку имплантата, причем вне зависимости от его типа (цилиндрический или винтовой) следует быть осторожным и избегать повреждения слизистой. Имплантат является своего рода последним остеотомом.
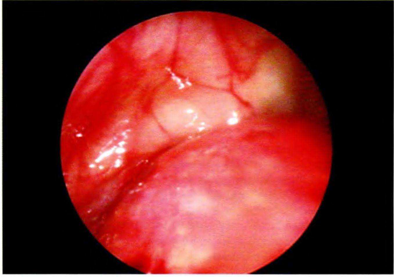
Лоскуты ушивают, например, нерезорбируемым шовным материалом ГорТекс CV-5 (GoreTex CV-5), и выполняют контрольную рентгенограмму. На рис. 5-23 продемонстрирован вид верхнечелюстной пазухи изнутри после закрытого синус-лифтинга одновременно с установкой имплантатов. Изображение получено с помощью оптоволоконного эндоскопа.
Устранение перфораций слизистой оболочки пазухи.
Перфорация слизистой верхнечелюстной пазухи приводит к попаданию костного материала в ее просвет. В случае обнаружения нарушения слизистой пазухи во время операции вмешательство следует прекратить. Повторную попытку синус-лифтинга можно проводить через 3 мес. В качестве альтернативного варианта можно перейти к открытому синус-лифтингу через боковой доступ и провести отслаивание слизистой для устранения перфорации (например, с помощью коллагеновой мембраны).
Пациента необходимо информировать о ходе хирургического вмешательства и его возможных осложнениях. В течение нескольких дней после операции у пациента может выделяться кровь из носа с фрагментами костного материала.
Остеотомы для различных систем имплантации.
Остеотомы Саммерса подходят для всех цилиндрических имплантатов диаметром от 3 до 5 мм. Тем не менее, производители систем имплантации выпускают специальные остеотомы, предназначенные для имплантатов определенной формы, например Фриалит 2 (Frialit 2) (рис. 5-24) или Камлог (Camlog) (рис. 5-25).
Рис. 5-23. Эндоскопическое исследование пазухи после синус-лифтинга и установки имплантатов (с разрешения проф. W. Engelke, Гёттингенский университет)


Рис. 5-24. Остеотомы системы Фриалит 2
Заключение.
При планировании имплантации в кость III или IV типа всегда необходимо иметь наготове набор остеотомов, применение которых практически всегда позволяет улучшить состояние костной ткани вокруг ложа имплантатов. Отработка навыков использования остеотомов во время фантомных курсов позволяет избежать осложнений.

Рис. 5-25. Остеотомы системы Камлог
Материалы.
Остеотомы Саммерса (3i).
Остеотомы системы Камлог (Camlog).
Остеотомы системы Фриалит 2 (Frialit 2).
Набор с трепанами для синус-лифтинга (разработан.
Киршем и Акерманном; Kirsch и Ackermann) (Фри-.
адент; Friadent).
Костный материал Био-Осс (Гайштлих; Bio-Oss, Geistlich).
Коллагеновая мембрана Био-Гайд (Гайштлих; BioGide).
Система фиксации штифтами Фриос (Фриадент; Frios).
Шовный материал ГорТекс CV-5 (Гор; GoreTex CV-5, Gore).