
Рис. 5-2. Окклюзионные контакты в области передних зубов при наличии нормальной окклюзии. Окклюзионный свод показан от медиальной поверхности верхнего правого клыка до медиальной поверхности верхнего левого клыка. Дистальные половины клыков относятся к боковым сегментам

Рис. 5-За. Тринадцатилетний пациент с врожденным отсутствием боковых резцов верхней челюсти с помощью ортодонтических методов и последующее протезирование позволяют получить эстетически и функционально благоприятный долгосрочный результат. Таким образом достигается естественное положение клыков, оптимальное как с функциональной, так и с эстетической точки зрения. Только в нем они способны выполнять направляющую функцию при боковых и протрузионных движениях нижней челюсти. К передней группе зубов относится только медиальная часть клыка, дистальная часть относится к дистальной группе (рис. 5-2).
Эффективное решение: Увеличение пространства для установки имплантатов и ортопедической реабилитации.
Ниже на примере клинического случая приведено поэтапное описание лечения пациента 13 лет с врожденным отсутствием верхних боковых резцов.

Рис. 5-ЗЬ. Рентгенограмма области отсутствующего верхнего бокового резца

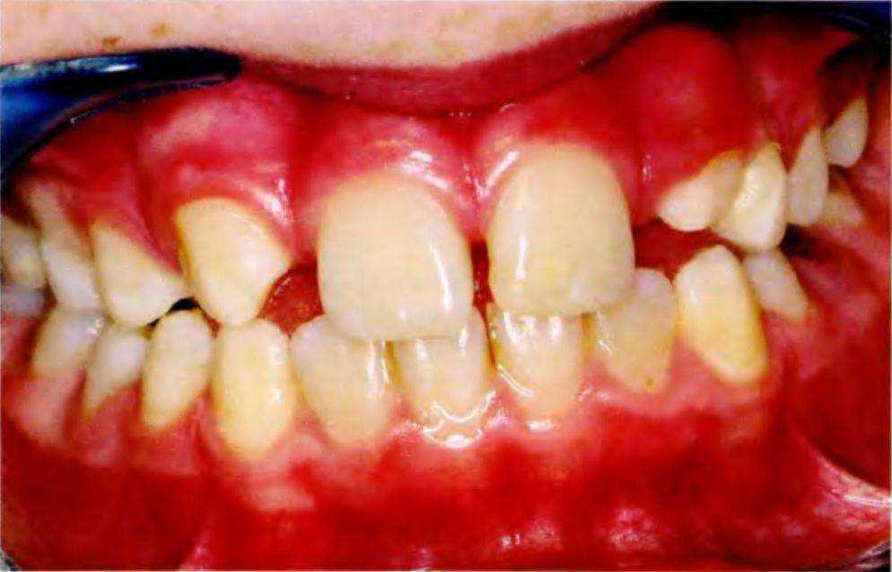
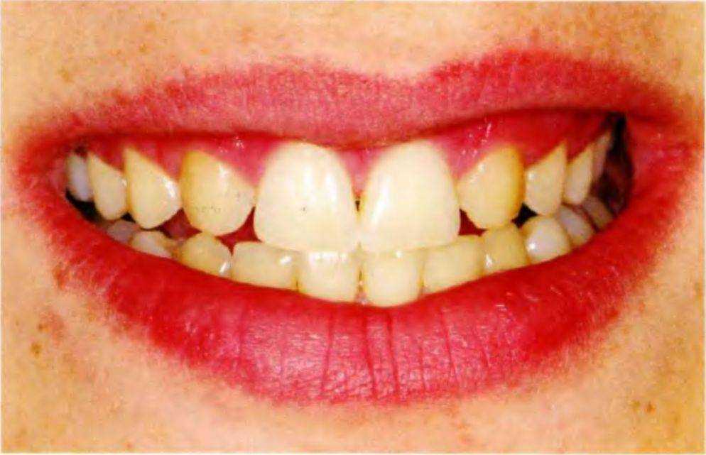
Рис. 5-Зс. Линия улыбки пациента
Рис. 5-3d. Клиническая картина после увеличения пространства ортодонтическими методами

Рис. 5-Зе. Увеличенные пространства (небный вид)

Рис. 5-Зд. На опорных зубах отпрепарировали направляющие борозды

Рис. 5-3f. Вид после удаления проволоки
Планируется перемещение зубов латерально для создания пространства для установки имплантатов и последующего протезирования (рис. с 5-За по 5-Зе).
Известно, что имплантация противопоказана до завершения роста лицевого черепа, в противном случае по мере роста окружающих имплантат структур лечение приводило бы к катастрофическим эстетическим и функциональным последствиям, которые крайне сложно поддаются коррекции. Большинство авторов считают минимальным возрастом для имплантации 17-18 лет.
По указанным выше причинам пациенту установили временные коронки из композита с использованием системы Таргис/Вектрис (Targis/Vectris), которая представляет собой комбинацию композита и стекловолокон, что особенно удобно при создании временных реставраций. После достижения пациентом 18-летнего возраста планировалась установка двух имплантатов и коронок на них. Пациент и его родители предоставили информированное согласие на проведение лечения.
Из брекетов извлекли дугу (рис. 5-3f), на небных поверхностях клыков и центральных резцов отпрепарировали небольшие борозды (рис. 5-Зд). Перед получением полиэфирного оттиска брекеты закрыли воском (рис. 5-3h). Затем с помощью оттиска отлили рабочую гипсовую модель (рис. 5-3i и 5-3j). После этого ортодонтическую ретракционную дугу установили в прежнее положение для обеспечения ретенции (рис. 5-3 к).
Каркас временной реставрации изготовили в зуботехнической лаборатории из плетеных стекловолокон (Вектрис), использование стандартных волокон для промежуточных единиц было невозможно из-за недостаточного пространства между зубами (рис. 5-3I). Каркас покрыли композитом (Таргис) и отполировали (рис. с 5-Зт по 5-Зо).
До адгезивной фиксации сняли ортодонтическую дугу и установили коффердам (рис. 5-Зр и 5-3q). Перед нанесением адгезива поверхности зубов протравили фосфорной кислотой в течение 30 с (рис. 5-3 г), промыли и осушили. Границы подготовленной пове-
Рис. 5-3h. Брекеты, покрытые воском

Рис. 5-3i. Оттиск

Рис. 5-3k. Повторная установка ортодонтической проволоки для сохранения положения опорных зубов
Рис. 5-3j. Рабочая модель
Рис. 5-3m. Небный вид готовых несъемных частичных протезов

Рис. 5-31. Создание каркаса с помощью стекловолоконной матрицы Вектрис

Рис. 5-Зп. Вестибулярный вид готовых несъемных частичных протезов
Рис. 5-Зо. Реставрации готовы к фиксации
Рис. 5-3q. Резинка коффердама удерживается с помощью кламмеров и лигатур

Рис. 5-Зр. Клиническая картина после наложения коффердама

Рис. 5-Зг. Протравливание опорных поверхностей фосфорной кислотой
Рис. 5-3s. Проверка качества протравливания

Рис. 5-Зи. Вид после фиксации мостовидных протезов

Рис. 5-3v. Небный вид фиксированных мостовидных протезов

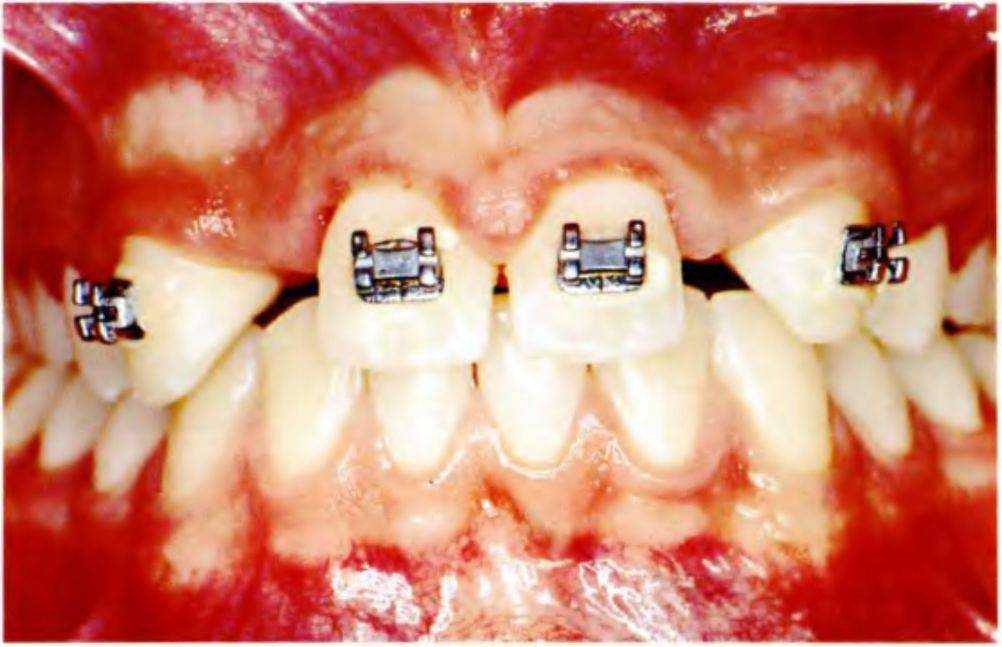
Рис. 5-3w. Фиксированы новые брекеты для дополнительного увеличения пространства с целью последующей установки имплантатов
Рис. 5-3t. Адгезивная фиксация мостовидных протезов с тщательной полимеризацией
Рис. 5-Зх. Небный вид после установки новых брекетов

Рис. 5-Зу. Вид после удаления проволоки непосредственно перед снятием брекетов
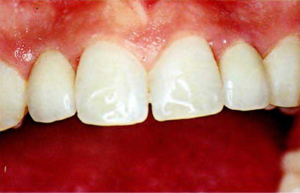
Рис. 5-Заа. Пациент удовлетворен результатом лечения

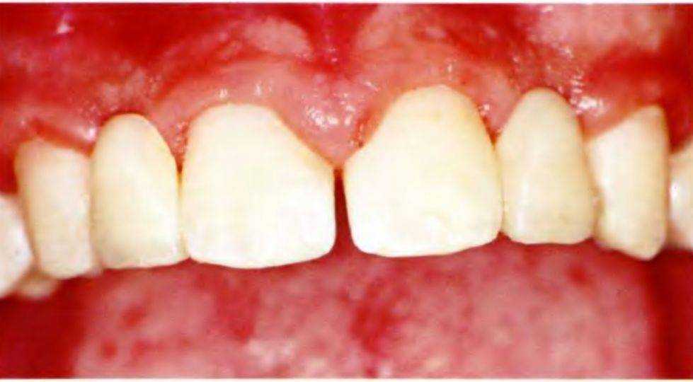
Рис. 5-3z. Цельнокерамические коронки с опорой на имплантаты
рхности были хорошо видны (рис. 5-3s). Для адгезивной фиксации использовали композит двойного отверждения средней вязкости, полимеризацию проводили со всех сторон (рис. 5-3t).
После проверки реставрации провели фторирование зубов. Внешний вид временной конструкции полностью удовлетворил пациента (рис. 5-Зи и 5-3v).
В течение всего периода использования несколько раз нарушалась фиксация протеза, что требовало его повторной установки. Однако это обстоятельство не является редкостью для большинства временных конструкций с адгезивной фиксацией. Необходимо отметить, что пациент активно занимался спортом, что увеличивало риск повреждения временных реставраций. После исполнения пациенту 17 лет на непродолжительное время были установлены брекеты для увеличения пространств в области.
отсутствующих латеральных резцов (рис. с 5-3w по 5-Зу).
После достижения 18 лет пациенту была проведена установка имплантатов в участках адентии, а через 3 мес после этого были фиксированы окончательные реставрации (рис. 5-3z). На рис. 5-Заа представлен окончательный результат лечения, удовлетворивший пациента.
Материалы.
Система Таргис/Вектрис (Ивокляр Вивадент; Tergis/Vectris, Ivoclar Vivadent). Импрегум (Impregum; ЗМ ESPE). Цемент Вариолинк Ультра (Ивокляр Вивадент).

