
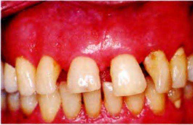
Рис. 6-36а. Пациент с веерообразно расходящимися верхними передними зубами


Рис. 6-36Ь. Несоответствие размеров зубов, альвеолярной дуги и срединной линии
Рис. 6-37а. Врожденное отсутствие верхнего правого центрального резца

Рис. 6-37Ь. Крайне сложно определить истинное положение срединной линии

Рис. 6-38Ь (справа). То же изображение, что на рис. 6-38а, с нанесенными линиями лица (опубликовано с разрешения из книги Goldstein
1
`)

Рис. 6-38а (слева). Портретная фотография строго анфас (опубликовано с разрешения из книги Goldstein")
4) носогубная складка (philtrum);.
5) уздечка верхней губы;.
6) срединные линии верхнего и нижнего зубного ряда;.
7) уздечка нижней губы;.
8) кончик подбородка.
Из опыта автора, наиболее надежными ориентирами являются межзрачковое расстояние (рис. 6-40Ь) и уздечка верхней губы (рис. 6-40с). Однако после определения срединной линии лица необходимо отметить отношение к ней всех перечисленных выше ориентиров для получения общего представления. Вряд ли найдется хотя бы один человек, у которого все ориентиры окажутся строго по срединной линии или на одинаковом от нее расстоянии.
Помимо этого практически у всех людей ширина правой и левой половин лица отличается (рис. 6-41 d).
Эмбриологи и анатомы предполагают, что данный феномен возникает из-за латерального положения в утробе матери во время формирования черепа из трех основных жаберных дуг. Кроме того, на асимметрию лица может влиять предпочтительное поло-
Рис. 6-39. Зеркальное изображение половин лица. Наверху: исходная фотография. Внизу слева: зеркальное изображение левой половины лица. Внизу справа: зеркальное изображение правой половины лица (с разрешения Stefan Schunke, MDT)


Рис. 6-40а. Срединная точка на межзрачковой линии

Рис. 6-40Ь. Для определения срединной линии необходима точка отсчета

Рис. 6-40с. Уздечка верхней губы

Рис. 6-40ные изгибы боковых поверхностей лица
жение новорожденного на одном или другом боку. При изготовлении коронок зубной техник должен учитывать данный феномен для коррекции асимметрии (следуя контуру лица) или создания симметрии (невзирая на асимметрию контуров лица).
Процедура.
Срединную линию можно проанализировать с помощью прозрачной линейки, на которую стоматолог наносит эту линию. Кроме того, рекомендуется посмотреть на лицо пациента сверху и сзади, чтобы отвлечься от деталей лица. Такой прием помогает определить локализацию срединной линии.
При обнаружении разницы между срединными линиями лица и зубного ряда необходимо проведение более тщательного анализа. Документацию состояния рекомендуется проводить с помощью фотографий. Оптимально использование зеркальных камер, с помощью которых получают снимки в стандартной проекции. Фотография анфас должна быть выполнена строго по срединной линии лица.
Рис. 6-41 а (слева). Прикусная вилка специального устройства для определения срединной линии



Рис. 6-41 с. Прикусная вилка в центральном положении (вид сверху)

Рис. 6-41 b (справа). Прикусная вилка с силиконовым оттиском
Рис. 6-41 d. Прикусная вилка в центральном положении (вид спереди).
Рис. 6-41 е (слева). Коррекция положения стержня, фиксированного с помощью магнитов.
Рис. 6-41 f (справа). Коррегирующий стержень системы Лайнфайндер

Рис. 6-41 h. Прикусная вилка на установленной в артикуляторе модели верхней челюсти
Рис. 6-41 д. Прикусная вилка удалена

Рис. 6-41j. Индикатор срединной линии фиксирован в башмачке на артикуляторе
Рис. 6-41 i. Индикатор срединной линии артикулятора

Рис. 6-41 к. Анализ срединной линии в артикуляторе

Рис. 6-411. Крупный план переднего отдела модели верхней челюсти в артикуляторе при определении срединной линии
При переносе срединной линии лица на модели, установленные в артикуляторе, перечисленные выше ориентиры следует отметить на лице пациента фломастером. Затем регистрируют центральное соотношение челюстей с помощью силиконового оттиска и прикусной вилки из комплекта Лайнфайндер (Лангнер; Langner Linefinder) (рис. с 6-41 а по 6-41 d). Во время препарирования оттиска корректируют положение коррегирующего стержня, фиксированного к вилке с помощью магнита (рис. 6-41 е и 6-41 f). Верхнюю часть артикулятора поднимают и прикусную вилку устанавливают на модель верхней челюсти. Наконец, коррегирующий стержень заменяют на индикатор срединной линии артикулятора и фиксируют индикатор с помощью пластмассы на специальной подставке (сапожке) верхней части артикулятора (рис. с 6-41 g по 6-41 j).
Индикатор срединной линии можно снимать и повторно фиксировать в любой момент. Таким образом, стоматолог или зубной техник может определять смещение срединной линии на моделях и корректировать ее при изготовлении реставраций (рис. 6-41 к и 6-411).
В следующем разделе описаны горизонтальные плоскости и их отношение к срединной линии при проведении полного эстетического анализа положения зубов.
Материалы.
Прозрачная линейка (срединную линию вырезают скальпелем) и фломастер.
Система Лайнфайндер (Лангнер; Linefinder, Langner). Беззольная пластмасса Паттерн Резин (Pattern Resin, GC).
