
Рис. 6-42а (слева). Горизонтальные линии лица: межзрачковая, мышечная. окклюзионная
Рис. 6-42с (справа внизу). Десневые линии

Рис. 6-42Ь (справа вверху). Передняя окклюзионная линия проходит через кончики клыков

Рис. 6-43а {слева). Срединная линия и горизонтальные плоскости негармоничны


Рис. 6-43Ь (справа вверху). Плоскость, проходящая через уголки рта, негоризонтальна

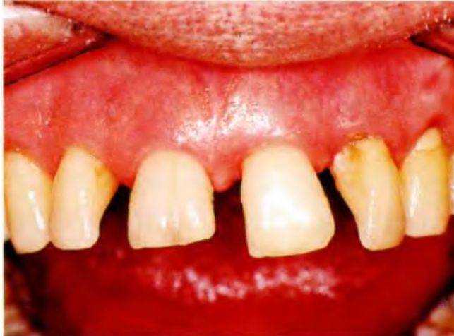
Рис. 6-43с (справа внизу). Положение и наклон передних зубов затрудняют достижение высокого эстетического результата

Рис. 6-44а,Ь. При отсутствии параллельности между межзрачковой и окклюзионной линиями, на что ориентироваться при восстановлении зубов?
ной линии (например, кривой нос или смещенный подбородок); асимметрией межзрачковой линии (в случае расположения глаз на разном уровне); скошенной мышечной линией (при расположении уголков рта на разном уровне); деформацией губ.
Кроме того, могут быть и другие эстетические проблемы (рис. с 6-43а по 6-43с): скошенная окклюзионная плоскость; скошенные оси зубов; диастемы; скученность передних зубов; протрузия зубов; ретрузия зубов; несимметричный контур зубов (особенно проблематичный при наличии десневой улыбки).
Трудность заключается в правильном позиционировании реставраций зубов (рис. 6-44).
Эффективное решение: Использование зуболицевого анализатора.
Зуболицевой анализатор, разработанный д-ром Коисом (Kois),
12
включает в себя лицевую дугу, магнитный стержень и прикусную вилку, к которой фиксируется корректируемая ложка (рис. 6-45а и 6-45Ь). В комплект анализатора также входит масштабный циркуль для определения «золотой пропорции» (длины и положения зубов) (рис. 6-45с).
Использование зубодесневого анализатора основывается на следующих принципах:.
1.
В качестве ориентира дуга использует горизонтальную плоскость, а не франкфуртскую горизонталь, как в случае с лицевами дугами с произвольными или индивидуальными ориентирами. Дуга анализатора применяется с учетом поперечного и сагиттального уровней (рис. 6-45d и 6-45е).
2.
Положение моделей в артикуляторе, установленных по данному методу, совершенно идентично их позиции при использовании произвольных ориентиров, что было подтверждено в ходе обширных исследований
12
(рис. 6-45f).
3.
Расстояние от передней точки между центральными резцами до головки нижней челюсти составляет 100 мм (рис. 6-45д).
Процесс регистрации показателей.
Небольшие кусочки клейкой пластмассы Байт-Таб (Bite-Tab) прикрепляют к ложке прикусной вилки и погружают ее в горячую воду на 3 мин (рис. с 6-45И по 6-45j). Лицевую дугу устанавливают так, чтобы верхние резцы накусывали сразу позади резцового ограничителя на ложке (рис. 6-45к и 6-451). Лицевую дугу устанавливают параллельно горизонтальной плоскости с помощью корректируемого магнитного уровня, при этом пациент сидит прямо, не откидываясь назад. Срединную линию корректируют с помощью вертикального стержня (рис. 6-45т и 6-45п). Резиновые кольца на вертикальном стержне корректируют относительно различных линий лица (рис. 6-45о).
Лицевую дугу снимают и освобождают ложку (рис. 6-45р). Затем ложку фиксируют к платформе, привинченной к артикулятору (рис. 6-45q и 6-45г). В данном случае используют артикулятор Панадент (Panadent), однако зуболицевой анализатор может применяться и с другими артикуляторами. Модель верхней челюсти устанавливают на ложку и подготавливают по обычной методике (рис. 6-45s и 6-45t).
Анализ.
Линию губы и линию улыбки для верхней губы переносят на модель (рис. 6-45и и 6-45v). Затем анализируют зубы и десну безотносительно улыбки пациента, но при произнесении им длинного звука «и». Определяют симметрию десневого контура.
После этого ложку удаляют и устанавливают восковой шаблон в соответствии с размером альвеолярной дуги. В набор включены подставки для восковых шаблонов шести размеров (рис. 6-45w и 6-45х).
Пропорции зубов (особенно их длину и ширину) относительно лица устанавливают с помощью масштабного циркуля для определения «золотой пропорции» (рис. 6-45у). Это особенно удобно для определения длины и ширины зубов.
Планирование эстетических реставраций.
Исходные или новые эстетически предпочтительные размеры зубов можно определить несколькими способами:.
1 Длина зубов пропорциональна росту человека.
(см. табл. 6-3). 2. Соотношение между длиной и шириной коронки зуба см. в табл. 6-4.

Рис. 6-45а. Составляющие части зуболицевого анализатора Коиса (Kois)

Рис. 6-45Ь. Зубодесневой анализатор в собранном состоянии

Рис. 6-45с. Циркуль для определения «золотой пропорции» («золотого сечения»)

Рис. 6-45d. Сагиттальное выравнивание лицевой дуги
Рис. 6-45е. Поперечное выравнивание лицевой дуги

Рис. 6-45д. Среднее расстояние 100 мм на рентгенограмме

Рис. 6-45h. Байт-Таб представляют собой небольшие кусочки самоклеющейся массы

Рис. 6-45i. Байт-Таб установлены на шаблон
Рис. 6-45f. Средние расстояния между суставной шарнирной осью и режущим краем нижнего центрального резца

Рис. 6-45j. Зубодесневой анализатор подготовлен к регистрации показателей.
Рис. 6-45к. Резцы верхней челюсти накусывают сразу же позади резцового ограничителя

Рис. 6-451. Пациентка накусывает позади резцового ограничителя. В случае наклона окклюзионной плоскости массу можно фиксировать с учетом горизонтальной коррекции

Рис. 6-45т. Уровень используют для определения степени сагиттальной коррекции

Рис. 6-45п. Уровень используют для коррекции поперечной плоскости и срединной линии.
Рис. 6-45о. Резиновые кольца на вертикальном стержне установлены в соответствии с горизонтальными плоскостями лица
Рис. 6-45р. Лицевую дугу снимают и высвобождают шаблон

Рис. 6-45q. Платформу прикрепляют к артикулятору
Рис. 6-45г. Шаблон устанавливают на платформу

Рис. 6-45s. Модель верхней челюсти устанавливают на шаблоне.
Рис. 6-45t. Крупный план модели верхней челюсти на шаблоне
Рис. 6-45u. Линию губы (синий цвет) наносят на модель верхней челюсти

Рис. 6-45v. Линию улыбки (красный цвет) наносят на модель верхней челюсти


Рис. 6-45w. Восковые шаблоны бывают шести размеров
3. Распределение зубов по ширине в соответствии с правилом Леви (Levy)
23
(рис. 6-46).
Восковые шаблоны смоделированы с учетом этих пропорций в соответствии с размером альвеолярной дуги. Такие заготовки способствуют анализу и реконструкции зубов при их установке, восковом моделировании и при изготовлении окончательных реставраций.
Контур десны отмечают в области каждого переднего зуба, определяют исходный и эстетически предпочтительный контур, уровень и зенит. Полученные данные и ориентиры можно использовать при планировании изменения края десны (рис. 6-47).

Рис. 6-45у. Зубы оценивают относительно лица с помощью циркуля «золотых пропорций»

Рис. 6-47. Планирование коррекции уровня десневого контура (зеленая линия)
Заключение.
Зуболицевой анализатор Коиса (Kois Dento-Facial Analyzer
) представляет собой устройство для логического анализа пропорций лица и создания реставраций в соответствии с научными принципами. Данный анализатор стал незаменимым инструментом в реставрационной стоматологии и в работе зубных техников (рис. 6-48).

Рис. 6-45х. Подбирают правильный размер дуги

Рис. 6-46. Распределение ширины зубов по Леви

Рис. 6-48. Успешная эстетическая реставрация
Материалы.
Зуболицевой анализатор Коиса (Панадент; Kois Dento-Facial Analyzer, Panadent). Артикуляторы Панадент (Панадент). Масштабный циркуль для определения «золотой пропорции» (Golden Ruler) входит в комплект зуболицевого анализатора, но может быть приобретен отдельно Сафидент (Safident).